Hamburger Menu Button
Thermo Fisher Scientific Logo
登录
没有账号?建立账号 注册
  • 产品
    • 抗体
    • 引物合成
    • GeneArt Gene Synthesis Instant Designer
    • TaqMan Assay and Array Search
    • PCR 设备和耗材
    • 色谱柱和纯化柱
    • 实验室离心机
    • 分子生物学试剂和试剂盒
    • 实验室塑料耗材及用品
    • 查看所有产品分类
  • 应用和技术
    • 色谱
    • 细胞转染和培养
    • 实时荧光定量PCR
    • 质谱
    • 实验室塑料耗材及用品
    • 电子显微镜
    • 蛋白质生物学
    • PCR
    • RNAi
    • 环境
    • 查看所有应用和技术
  • 服务
    • 定制服务
    • 企业级实验室信息化服务
    • 企业服务
    • 金融&租赁服务
    • 仪器服务
    • OEM和商业供应
    • 培训服务
    • 360° CDMO 和 CRO 服务
    • CDMO 服务
    • 临床试验 CRO 服务
    • 查看所有帮助和支持
  • 帮助和支持
    • 学习中心
    • 联系我们
    • 更改国家或地区
    • 查看所有帮助和支持
  • 热门产品
    • TaqMan Real-Time PCR Assays
      TaqMan 实时荧光定量 PCR 试剂盒
    • Antibodies
      抗体
    • Oligos, Primers & Probes
      寡核苷酸、引物、探针
    • GeneArt Gene Synthesis
      GeneArt 基因合成
    • Cell Culture Plastics
      细胞培养耗材
  • 联系我们
  • 货号直购
  • 订单查询
  • 查找文件&证书
Thermo Fisher Scientific Logo

Search

搜索全部或下列指定分类
Search button
          • 联系我们
          • 货号直购
          • 登录
            登录
            没有账号?建立账号 注册
            • 我的账号
            • 订单
            • 账单及发票查询
            • 定制产品及项目

          Disclaimer

          Clicking the images or links will redirect you to a website hosted by BenchSci that provides third-party scientific content. Neither the content nor the BenchSci technology and processes for selection have been evaluated by us; we are providing them as-is and without warranty of any kind, including for use or application of the Thermo Fisher Scientific products presented.

          • Primary Antibodies ›
          • DNM1L Antibodies

          OriGene

          DNM1L Monoclonal Antibody (OTI2E7), TrueMAB™

          查看其他32个DNM1L抗体

          {{$productOrderCtrl.translations['antibody.pdp.commerceCard.promotion.promotions']}}

          {{$productOrderCtrl.translations['antibody.pdp.commerceCard.promotion.viewpromo']}}

          {{$productOrderCtrl.translations['antibody.pdp.commerceCard.promotion.promocode']}}: {{promo.promoCode}} {{promo.promoTitle}} {{promo.promoDescription}}. {{$productOrderCtrl.translations['antibody.pdp.commerceCard.promotion.learnmore']}}

          说明书
          证书
          实验方案
          问题与答案
          技术支持
          说明书
          证书
          实验方案
          问题与答案
          技术支持
          说明书
          证书
          实验方案
          问题与答案
          技术支持

          Cite DNM1L Monoclonal Antibody (OTI2E7), TrueMAB™

          • 抗体检测数据 (8)
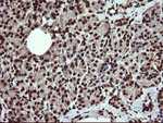
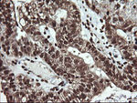
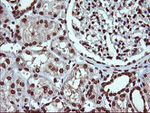
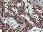
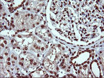
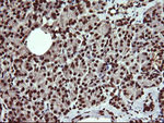
          DNM1L Antibody in Immunohistochemistry (Paraffin) (IHC (P))
          Group 53 Created with Sketch.
          DNM1L Antibody in Immunohistochemistry (Paraffin) (IHC (P))
          Group 53 Created with Sketch.

          图: 1 / 8

          {{ $ctrl.currentElement.advancedVerification.fullName }}
          {{ $ctrl.currentElement.advancedVerification.text }}

          DNM1L Antibody (TA506115) in IHC (P)

          Immunohistochemical staining of paraffin-embedded human pancreas tissue within the normal limits using anti-DNM1L mouse monoclonal antibody. (Heat-induced epitope retrieval by 10mM citric buffer, pH6.0, 120°C for 3min, TA506115) {{ $ctrl.currentElement.advancedVerification.fullName }} 验证信息 View more
          已发表图片由___提供 benchsci-logo
          PMID: {{$ctrl.currentElement.benchSciPubmedId}}
          查看产品

          {{$ctrl.videoDesc}}

          {{$ctrl.videoLongDesc}}

          DNM1L Antibody in Immunohistochemistry (Paraffin) (IHC (P))
          DNM1L Antibody in Immunohistochemistry (Paraffin) (IHC (P))
          DNM1L Antibody in Immunohistochemistry (Paraffin) (IHC (P))
          DNM1L Antibody in Immunohistochemistry (Paraffin) (IHC (P))
          DNM1L Antibody in Immunohistochemistry (Paraffin) (IHC (P))
          DNM1L Antibody in Western Blot (WB)
          DNM1L Antibody in Western Blot (WB)
          DNM1L Antibody in Western Blot (WB)

          产品信息

          TA506115

          应用
          建议稀释比
          已发表文章

          免疫印迹 (WB)

          1:200-1:4000
          -

          免疫组化(石蜡) (IHC (P))

          1:150
          -
          产品规格

          种属反应

          Human, Mouse, Rat

          宿主/亚型

          Mouse / IgG2b

          分类

          Monoclonal

          类型

          Antibody

          克隆号

          OTI2E7

          抗原

          Full length human recombinant protein of human DNM1L produced in HEK293T cell.

          偶联物

          Unconjugated Unconjugated Unconjugated

          形式

          Liquid

          浓度

          1 mg/mL

          纯化类型

          Affinity chromatography

          保存液

          PBS with 1% BSA, 50% glycerol

          内含物

          0.02% sodium azide

          保存条件

          -20°C, Avoid Freeze/Thaw Cycles

          运输条件

          Ambient (domestic); Wet ice (international)

          靶标信息

          A human dynamin-related protein, DRP1 contributes to mitochondrial division in mammalian cells. It plays this important role in mitochondrial fission at steady state and during apoptosis. DRP1 is required for proper cellular distribution of mitochondria, and in mutant neurons, mitochondria are largely absent from synapses, thus providing a genetic tool to assess the role of mitochondria at synapses.

          仅用于科研。不用于诊断过程。未经明确授权不得转售。

          篇参考文献 (0)

          您是否在文献中引用过该产品?请点击下方按钮邮件告知我们。
          引用该产品

          生物信息学

          蛋白别名: C-terminal region; Dnm1p/Vps1p-like protein; DVLP; Dymple; dynamin 1-like; Dynamin family member proline-rich carboxyl-terminal domain less; Dynamin-1-like protein; Dynamin-like protein; dynamin-like protein 1; Dynamin-like protein 4; Dynamin-like protein IV; Dynamin-related protein 1; DYNIV 11; DYNIV-11; EC 3.6.5.5; FLJ41912; HdynIV; N-terminal region; VPS1

          查看更多 收起

          基因别名: 6330417M19Rik; AI450666; DLP1; DNM1L; Dnml1; Dnmlp1; DRP1; DVLP; DYMPLE; EMPF; HDYNIV; python

          查看更多 收起

          UniProt ID: (Human) O00429, (Rat) O35303, (Mouse) Q8K1M6

          查看更多 收起

          Entrez Gene ID: (Human) 10059, (Rat) 114114, (Mouse) 74006

          查看更多 收起

          功能
          GTPase activity GTPase activator activity protein binding GTP binding lipid binding Rab GTPase binding GTP-dependent protein binding ubiquitin protein ligase binding protein homodimerization activity identical protein binding nucleotide binding hydrolase activity membrane traffic protein
          参与通路
          mitochondrial fission release of cytochrome c from mitochondria dynamin polymerization involved in mitochondrial fission endocytosis cellular component disassembly involved in execution phase of apoptosis regulation of mitochondrion organization peroxisome fission regulation of protein oligomerization positive regulation of apoptotic process positive regulation of GTPase activity mitochondrial fragmentation involved in apoptotic process positive regulation of protein secretion protein oligomerization protein homotetramerization heart contraction membrane fusion necroptotic process mitochondrion morphogenesis protein localization to mitochondrion positive regulation of mitochondrial fission mitochondrial membrane fission positive regulation of release of cytochrome c from mitochondria regulation of peroxisome organization regulation of mitophagy regulation of ATP metabolic process positive regulation of intrinsic apoptotic signaling pathway metabolic process programmed cell death
          It has to be done as per old AB suggested Products section.
          guarantee_icon

          性能保障

          只要您发现Invitrogen抗体在实验中的表现与网站或说明书的所述内容不符,您即可享受免费退换货服务。*

          了解更多
          help_icon

          随时为您服务

          获取常见问题的专家解答,或者直接联系我们的技术专家,咨询应用、设备、常规产品使用问题。

          联系技术支持
          订购 Plus Icon Minus Icon
          • 订单状态查询
          • 订单支持
          • 货号直购
          • 现货供应中心
          • 电子采购
          支持 Plus Icon Minus Icon
          • 帮助&支持
          • 联系我们 - 400 820 8982
          • 技术支持中心
          • 查找文件&证书
          • 报告网站问题
          资源 Plus Icon Minus Icon
          • 学习中心
          • 促销
          • 活动&研讨会
          • 社交媒体
          关于赛默飞 Plus Icon Minus Icon
          • 关于我们
          • 招聘 招聘
          • 投资者关系 投资者关系
          • 新闻 新闻
          • 社会责任 社会责任
          • 商标
          • 政策和通知
          品牌 Plus Icon Minus Icon
          • Thermo Scientific
          • Applied Biosystems
          • Invitrogen
          • Gibco
          • Ion Torrent
          • Patheon
          • PPD
          • 服务条款
          • 隐私政策
          • 定价和运输保险政策
          © 2006-2026 Thermo Fisher Scientific Inc. All rights reserved. All trademarks are the property of Thermo Fisher Scientific and its subsidiaries unless otherwise specified.
          China flag icon
          China
          本网站销售的所有产品均不得用于人类或动物之临床诊断或治疗,仅可用于工业或者科研等非医疗目的。
             电子营业执照 | 经营证照公示 | ICP备案号:沪ICP备11003924号 | 沪公网安备 31011502006935号

          Your items have has been added!


          Host server : magellan-search-blue-55ff9ddd88-lffdw:80/100.66.79.31:80.
          git-commit: d366ff9721d93504b2ac26a183b2b3e3d0e7d9ec
          git-url: https://github.com/thermofisher/magellan-search
          git-branch: release/2.42.0-2026.01.03-1.0