Hamburger Menu Button
Thermo Fisher Scientific Logo
登录
没有账号?建立账号 注册
  • 产品
    • 抗体
    • 引物合成
    • GeneArt Gene Synthesis Instant Designer
    • TaqMan Assay and Array Search
    • PCR 设备和耗材
    • 色谱柱和纯化柱
    • 实验室离心机
    • 分子生物学试剂和试剂盒
    • 实验室塑料耗材及用品
    • 查看所有产品分类
  • 应用和技术
    • 色谱
    • 细胞转染和培养
    • 实时荧光定量PCR
    • 质谱
    • 实验室塑料耗材及用品
    • 电子显微镜
    • 蛋白质生物学
    • PCR
    • RNAi
    • 环境
    • 查看所有应用和技术
  • 服务
    • 定制服务
    • 企业级实验室信息化服务
    • 企业服务
    • 金融&租赁服务
    • 仪器服务
    • OEM和商业供应
    • 培训服务
    • 360° CDMO 和 CRO 服务
    • CDMO 服务
    • 临床试验 CRO 服务
    • 查看所有帮助和支持
  • 帮助和支持
    • 学习中心
    • 联系我们
    • 更改国家或地区
    • 查看所有帮助和支持
  • 热门产品
    • TaqMan Real-Time PCR Assays
      TaqMan 实时荧光定量 PCR 试剂盒
    • Antibodies
      抗体
    • Oligos, Primers & Probes
      寡核苷酸、引物、探针
    • GeneArt Gene Synthesis
      GeneArt 基因合成
    • Cell Culture Plastics
      细胞培养耗材
  • 联系我们
  • 货号直购
  • 订单查询
  • 查找文件&证书
Thermo Fisher Scientific Logo

Search

搜索全部或下列指定分类
Search button
          • 联系我们
          • 货号直购
          • 登录
            登录
            没有账号?建立账号 注册
            • 我的账号
            • 订单
            • 账单及发票查询
            • 定制产品及项目

          Disclaimer

          Clicking the images or links will redirect you to a website hosted by BenchSci that provides third-party scientific content. Neither the content nor the BenchSci technology and processes for selection have been evaluated by us; we are providing them as-is and without warranty of any kind, including for use or application of the Thermo Fisher Scientific products presented.

          • Primary Antibodies ›
          • DNMT1 Antibodies

          Invitrogen

          DNMT1 Polyclonal Antibody

          2个已发表图片
          1 篇参考文献
          查看其他40个DNMT1抗体

          {{$productOrderCtrl.translations['antibody.pdp.commerceCard.promotion.promotions']}}

          {{$productOrderCtrl.translations['antibody.pdp.commerceCard.promotion.viewpromo']}}

          {{$productOrderCtrl.translations['antibody.pdp.commerceCard.promotion.promocode']}}: {{promo.promoCode}} {{promo.promoTitle}} {{promo.promoDescription}}. {{$productOrderCtrl.translations['antibody.pdp.commerceCard.promotion.learnmore']}}

          说明书
          证书
          实验方案
          问题与答案
          技术支持
          说明书
          证书
          实验方案
          问题与答案
          技术支持
          说明书
          证书
          实验方案
          问题与答案
          技术支持

          Cite DNMT1 Polyclonal Antibody

          • 抗体检测数据 (3)
          • 已发表图片 (2)
          DNMT1 Antibody in Immunocytochemistry (ICC/IF)
          Group 53 Created with Sketch.
          DNMT1 Antibody in Immunocytochemistry (ICC/IF)
          Group 53 Created with Sketch.

          图: 1 / 5

          {{ $ctrl.currentElement.advancedVerification.fullName }}
          {{ $ctrl.currentElement.advancedVerification.text }}

          DNMT1 Antibody (PA5-80557) in ICC/IF

          Immunofluorescence staining of DNMT1 in HeLa cells. Cells were fixed with 4% PFA, permeabilzed with 0.3% Triton X-100 in PBS, blocked with 10% serum, and incubated with DNMT1 Polyclonal Antibody (Product # PA5-80557, 1:1,000) at 4°C overnight. Then cells were stained with the Alexa Fluor®594-conjugated Goat Anti-rabbit IgG secondary antibody (red). Positive staining was localized to nucleus. {{ $ctrl.currentElement.advancedVerification.fullName }} 验证信息 View more
          已发表图片由___提供 benchsci-logo
          PMID: {{$ctrl.currentElement.benchSciPubmedId}}
          查看产品

          {{$ctrl.videoDesc}}

          {{$ctrl.videoLongDesc}}

          DNMT1 Antibody in Immunocytochemistry (ICC/IF)
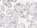
          DNMT1 Antibody in Immunohistochemistry (Paraffin) (IHC (P))
          DNMT1 Antibody in Immunohistochemistry (Paraffin) (IHC (P))
          DNMT1 Antibody in Western Blot (WB)
          DNMT1 Antibody in Western Blot (WB)
          DNMT1 Polyclonal Antibody

          产品信息

          PA5-80557

          应用
          建议稀释比
          已发表文章

          免疫印迹 (WB)

          -
          查看1篇已发表文章 1篇已发表文章

          免疫组化(石蜡) (IHC (P))

          1:250-1:1,000
          -

          免疫细胞化学 (ICC/IF)

          1:300-1:10,000
          -
          产品规格

          种属反应

          Human

          宿主/亚型

          Rabbit / IgG

          分类

          Polyclonal

          类型

          Antibody

          抗原

          A synthetic peptide corresponding to the N-terminus of the Human DNMT1
          查看免疫原

          偶联物

          Unconjugated Unconjugated Unconjugated

          形式

          Liquid

          浓度

          2.05 mg/mL

          纯化类型

          Protein A, Antigen affinity chromatography

          保存液

          PBS

          内含物

          no preservative

          保存条件

          Store at 4°C short term. For long term storage, store at -20°C, avoiding freeze/thaw cycles.

          运输条件

          Ambient (domestic); Wet ice (international)

          RRID

          AB_2787858

          产品详细信息

          This product is preservative free. It is recommended to add sodium azide to avoid contamination (final concentration 0.05%-0.1%).

          This antibody has specificity for Human DNMT1.

          靶标信息

          This gene encodes a subunit of the augmin complex, which regulates centrosome and mitotic spindle integrity, and is necessary for the completion of cytokinesis. The encoded protein was identified by interaction with ubiquitin C-terminal hydrolase 37. Alternative splicing results in multiple transcript variants.

          仅用于科研。不用于诊断过程。未经明确授权不得转售。

          生物信息学

          蛋白别名: CXXC-type zinc finger protein 9; DNA (cytosine-5)-methyltransferase 1; DNA methyltransferase HsaI; DNA MTase HsaI; Dnmt1; FLJ16293; MCMT; MGC104992

          查看更多 收起

          基因别名: ADCADN; AIM; CXXC9; DNMT; DNMT1; HSN1E; m.HsaI; MCMT

          查看更多 收起

          UniProt ID: (Human) P26358

          查看更多 收起

          Entrez Gene ID: (Human) 1786

          查看更多 收起

          功能
          DNA binding double-stranded DNA binding RNA binding DNA (cytosine-5-)-methyltransferase activity protein binding zinc ion binding methyl-CpG binding DNA-methyltransferase activity protein domain specific binding estrogen receptor binding histone deacetylase binding unmethylated CpG binding DNA (cytosine-5-)-methyltransferase activity, acting on CpG substrates promoter-specific chromatin binding DNA metabolism protein DNA methyltransferase nucleic acid metabolism protein
          参与通路
          negative regulation of transcription from RNA polymerase II promoter DNA methylation transcription, DNA-templated Ras protein signal transduction brain development aging response to heat response to toxic substance response to ionizing radiation maintenance of DNA methylation DNA methylation on cytosine within a CG sequence positive regulation of gene expression response to activity gene silencing covalent chromatin modification neuron differentiation response to caffeine response to estradiol response to lipopolysaccharide response to vitamin A response to testosterone cellular response to platelet-derived growth factor stimulus response to antidepressant regulation of cell proliferation DNA hypermethylation response to ethanol negative regulation of gene expression, epigenetic S-adenosylhomocysteine metabolic process S-adenosylmethioninamine metabolic process S-adenosylmethionine metabolic process positive regulation of histone H3-K4 methylation negative regulation of histone H3-K9 methylation cellular response to amino acid stimulus cellular response to lead ion cellular response to transforming growth factor beta stimulus C-5 methylation of cytosine positive regulation of methylation-dependent chromatin silencing cellular response to nerve growth factor stimulus
          It has to be done as per old AB suggested Products section.
          guarantee_icon

          性能保障

          只要您发现Invitrogen抗体在实验中的表现与网站或说明书的所述内容不符,您即可享受免费退换货服务。*

          了解更多
          help_icon

          随时为您服务

          获取常见问题的专家解答,或者直接联系我们的技术专家,咨询应用、设备、常规产品使用问题。

          联系技术支持
          订购 Plus Icon Minus Icon
          • 订单状态查询
          • 订单支持
          • 货号直购
          • 现货供应中心
          • 电子采购
          支持 Plus Icon Minus Icon
          • 帮助&支持
          • 联系我们 - 400 820 8982
          • 技术支持中心
          • 查找文件&证书
          • 报告网站问题
          资源 Plus Icon Minus Icon
          • 学习中心
          • 促销
          • 活动&研讨会
          • 社交媒体
          关于赛默飞 Plus Icon Minus Icon
          • 关于我们
          • 招聘 招聘
          • 投资者关系 投资者关系
          • 新闻 新闻
          • 社会责任 社会责任
          • 商标
          • 政策和通知
          品牌 Plus Icon Minus Icon
          • Thermo Scientific
          • Applied Biosystems
          • Invitrogen
          • Gibco
          • Ion Torrent
          • Patheon
          • PPD
          • 服务条款
          • 隐私政策
          • 定价和运输保险政策
          © 2006-2026 Thermo Fisher Scientific Inc. All rights reserved. All trademarks are the property of Thermo Fisher Scientific and its subsidiaries unless otherwise specified.
          China flag icon
          China
          本网站销售的所有产品均不得用于人类或动物之临床诊断或治疗,仅可用于工业或者科研等非医疗目的。
             电子营业执照 | 经营证照公示 | ICP备案号:沪ICP备11003924号 | 沪公网安备 31011502006935号

          Your items have has been added!


          Host server : magellan-search-blue-55ff9ddd88-lffdw:80/100.66.79.31:80.
          git-commit: d366ff9721d93504b2ac26a183b2b3e3d0e7d9ec
          git-url: https://github.com/thermofisher/magellan-search
          git-branch: release/2.42.0-2026.01.03-1.0