Hamburger Menu Button
Thermo Fisher Scientific Logo
登录
没有账号?建立账号 注册
  • 产品
    • 抗体
    • 引物合成
    • GeneArt Gene Synthesis Instant Designer
    • TaqMan Assay and Array Search
    • PCR 设备和耗材
    • 色谱柱和纯化柱
    • 实验室离心机
    • 分子生物学试剂和试剂盒
    • 实验室塑料耗材及用品
    • 查看所有产品分类
  • 应用和技术
    • 色谱
    • 细胞转染和培养
    • 实时荧光定量PCR
    • 质谱
    • 实验室塑料耗材及用品
    • 电子显微镜
    • 蛋白质生物学
    • PCR
    • RNAi
    • 环境
    • 查看所有应用和技术
  • 服务
    • 定制服务
    • 企业级实验室信息化服务
    • 金融&租赁服务
    • 仪器服务
    • OEM和商业供应
    • 培训服务
    • 360° CDMO 和 CRO 服务
    • CDMO 服务
    • 临床试验 CRO 服务
    • Unity Lab Services
    • 查看所有帮助和支持
  • 帮助和支持
    • 学习中心
    • 联系我们
    • 更改国家或地区
    • 查看所有帮助和支持
  • 热门产品
    • TaqMan Real-Time PCR Assays
      TaqMan 实时荧光定量 PCR 试剂盒
    • Antibodies
      抗体
    • Oligos, Primers & Probes
      寡核苷酸、引物、探针
    • GeneArt Gene Synthesis
      GeneArt 基因合成
    • Cell Culture Plastics
      细胞培养耗材
  • Who We Serve
    • 抗体治疗解决方案
    • 细胞与基因治疗解决方案
    • 学术科研
    • 工业与应用
  • 联系我们
  • 货号直购
  • 订单查询
  • 查找文件&证书
Thermo Fisher Scientific Logo

Search

搜索全部或下列指定分类
Search button
          • 联系我们
          • 货号直购
          • 登录
            登录
            没有账号?建立账号 注册
            • 我的账号
            • 订单
            • 会员中心
            • 账单及发票查询
            • 定制产品及项目
          • Primary Antibodies ›
          • DNMT3A Antibodies

          Invitrogen

          DNMT3A Monoclonal Antibody (64B1446)

          高级验证
          3个已发表图片
          3 篇参考文献
          查看其他27个DNMT3A抗体

          {{$productOrderCtrl.translations['antibody.pdp.commerceCard.promotion.promotions']}}

          {{$productOrderCtrl.translations['antibody.pdp.commerceCard.promotion.viewpromo']}}

          {{$productOrderCtrl.translations['antibody.pdp.commerceCard.promotion.promocode']}}: {{promo.promoCode}} {{promo.promoTitle}} {{promo.promoDescription}}. {{$productOrderCtrl.translations['antibody.pdp.commerceCard.promotion.learnmore']}}

          说明书
          证书
          实验方案
          问题与答案
          技术支持
          说明书
          证书
          实验方案
          问题与答案
          技术支持
          说明书
          证书
          实验方案
          问题与答案
          技术支持

          Cite DNMT3A Monoclonal Antibody (64B1446)

          Additional Information:
          {{banner.description}}
          {{$ctrl.isSkuNotesCollapsed ? 'View more' : 'View less'}}
          • 抗体检测数据 (6)
          • 已发表图片 (3)
          • 高级验证 (1)
          DNMT3A Antibody in Immunocytochemistry (ICC/IF)
          Group 53 Created with Sketch.
          DNMT3A Antibody in Immunocytochemistry (ICC/IF)
          Group 53 Created with Sketch.

          图: 1 / 10

          {{ $ctrl.currentElement.advancedVerification.fullName }}
          {{ $ctrl.currentElement.advancedVerification.text }}

          DNMT3A Antibody (MA5-16171) in ICC/IF

          Immunocytochemistry analysis of DNMT3A in Ntera2 cells. Samples were incubated with DNMT3A monoclonal antibody (Product # MA5-16171) using a dilution of 1:200 dilution overnight at 4°C followed by anti-mouse DyLight 488 (Green) at a dilution of 1:500. Cells were fixed for 10 minutes using 10% formalin and then permeabilized for 5 minutes using 1X TBS + 0.5% Triton-X100. Actin was detected with Phalloidin 568 (Red) at a 1:200 dilution. Nuclei were counterstained with DAPI (Blue). Cells were imaged using a 40X objective. {{ $ctrl.currentElement.advancedVerification.fullName }} 验证信息 View more
          已发表图片由___提供 benchsci-logo
          PMID: {{$ctrl.currentElement.benchSciPubmedId}}
          查看产品

          {{$ctrl.videoDesc}}

          {{$ctrl.videoLongDesc}}

          DNMT3A Antibody in Immunocytochemistry (ICC/IF)
          DNMT3A Antibody in Immunohistochemistry (Paraffin) (IHC (P))
          DNMT3A Antibody in Western Blot (WB)
          DNMT3A Antibody in Western Blot (WB)
          DNMT3A Antibody in Western Blot (WB)
          DNMT3A Antibody in Flow Cytometry (Flow)
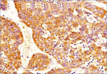
          DNMT3A Antibody in Immunohistochemistry (IHC)
          DNMT3A Antibody in Western Blot (WB)
          DNMT3A Antibody in ChIP Assay (ChIP)
          DNMT3A Antibody
          DNMT3A Monoclonal Antibody (64B1446)

          产品信息

          MA5-16171

          应用
          建议稀释比
          已发表文章

          免疫印迹 (WB)

          2 µg/mL
          查看1篇已发表文章 1篇已发表文章

          免疫组化 (IHC)

          -
          查看1篇已发表文章 1篇已发表文章

          免疫组化(石蜡) (IHC (P))

          5 µg/mL
          -

          免疫细胞化学 (ICC/IF)

          1:10-1:500
          -

          流式细胞分析 (Flow)

          1 µg/10^6 cells
          -

          染色质免疫沉淀 实验 (ChIP)

          Assay-Dependent
          查看1篇已发表文章 1篇已发表文章
          产品规格

          种属反应

          Human, Mouse, Rat

          已发表种属

          Gerbil, Mouse

          宿主/亚型

          Mouse / IgG1, kappa

          分类

          Monoclonal

          类型

          Antibody

          克隆号

          64B1446

          抗原

          Bacteria expressed recombinant mouse Dnmt3a.
          3D表位/免疫原

          偶联物

          Unconjugated Unconjugated Unconjugated

          形式

          Liquid

          浓度

          1 mg/mL

          规格

          100 µg

          纯化类型

          Protein G

          保存液

          PBS

          内含物

          0.05% sodium azide

          保存条件

          Store at 4°C short term. For long term storage, store at -20°C, avoiding freeze/thaw cycles.

          运输条件

          Ambient (domestic); Wet ice (international)

          RRID

          AB_2537690

          产品详细信息

          In Western blot, this antibody detects a band at approximately 120 kDa (predicted molecular weight: 102 kDa).

          Staining of formalin-fixed tissues is enhanced by boiling tissue sections in 10 mM sodium citrate buffer, pH 6.0 for 10-20 min followed by cooling at RT for 20 min.

          Suggested positive control: antigen standard for DNMT3A (transient overexpression lysate), transfected cell lysate (WB), HeLa cells (ICC).

          靶标信息

          Methylation of DNA at cytosine residues plays an important role in regulation of gene expression, genomic imprinting and is essential for mammalian development. Hypermethylation of CpG islands in tumor suppressor genes or hypomethylation of bulk genomic DNA may be linked with development of cancer. To date, 3 families of mammalian DNA methyltransferase genes have been identified which include Dnmt1, Dnmt2 and Dnmt3. Dnmt1 is constitutively expressed in proliferating cells and inactivation of this gene causes global demethylation of genomic DNA and embryonic lethality. Dnmt2 is expressed at low levels in adult tissues and its inactivation does not affect DNA methylation or maintenance of methylation. The Dnmt3 family members, Dnmt3a and Dnmt3b, are strongly expressed in ES cells but their expression is down regulated in differentiating ES cells and is low in adult somatic tissue. Recently, it has been shown that naturally occurring mutations of Dnmt3b gene occurs in patients with a rare autosomal recessive disorder, termed ICF (immunodeficiency, centromeric instability, and facial anomalies) syndrome.

          仅用于科研。不用于诊断过程。未经明确授权不得转售。

          生物信息学

          蛋白别名: AU015806; Cysteine methyltransferase DNMT3A; DNA (cytosine-5)-methyltransferase 3A; DNA (cytosine-5-)-methyltransferase 3 alpha; DNA cytosine methyltransferase 3A2; DNA methyltransferase 3A; DNA methyltransferase HsaIIIA; DNA methyltransferase MmuIIIA; DNA MTase HsaIIIA; DNA MTase MmuIIIA; Dnmt3a; W91664

          查看更多 收起

          基因别名: DNMT3A; DNMT3A2; HESJAS; M.HsaIIIA; MmuIIIA; TBRS

          查看更多 收起

          UniProt ID: (Human) Q9Y6K1, (Mouse) O88508, (Rat) Q1LZ53

          查看更多 收起

          Entrez Gene ID: (Human) 1788, (Mouse) 13435, (Rat) 444984

          查看更多 收起

          功能
          RNA polymerase II core promoter proximal region sequence-specific DNA binding DNA binding chromatin binding transcription corepressor activity DNA (cytosine-5-)-methyltransferase activity protein binding methyltransferase activity zinc ion binding transferase activity identical protein binding unmethylated CpG binding metal ion binding RNA polymerase II sequence-specific DNA binding transcription factor binding lncRNA binding protein-cysteine methyltransferase activity DNA (cytosine-5-)-methyltransferase activity, acting on CpG substrates DNA methyltransferase
          参与通路
          negative regulation of transcription from RNA polymerase II promoter chromatin organization methylation-dependent chromatin silencing spermatogenesis response to xenobiotic stimulus response to toxic substance post-embryonic development response to ionizing radiation response to lead ion regulation of gene expression neuron differentiation chromatin silencing by small RNA heterochromatin assembly response to nutrient levels methylation response to estradiol response to vitamin A response to cocaine DNA methylation involved in embryo development hypermethylation of CpG island response to ethanol negative regulation of transcription, DNA-templated cellular response to amino acid stimulus cellular response to ethanol cellular response to hypoxia genetic imprinting hepatocyte apoptotic process autosome genomic imprinting transposable element silencing by piRNA-mediated DNA methylation positive regulation of cellular response to hypoxia cellular response to bisphenol A DNA methylation regulation of gene expression by genetic imprinting transcription, DNA-templated regulation of transcription, DNA-templated maintenance of DNA methylation DNA methylation on cytosine within a CG sequence positive regulation of cell death chromatin modification DNA methylation on cytosine DNA methylation involved in gamete generation S-adenosylhomocysteine metabolic process S-adenosylmethioninamine metabolic process C-5 methylation of cytosine mitotic cell cycle aging response to antidepressant response to drug
          It has to be done as per old AB suggested Products section.

          Disclaimer

          Close

          Clicking the images or links will redirect you to a website hosted by BenchSci that provides third-party scientific content. Neither the content nor the BenchSci technology and processes for selection have been evaluated by us; we are providing them as-is and without warranty of any kind, including for use or application of the Thermo Fisher Scientific products presented.

          guarantee_icon

          性能保障

          只要您发现Invitrogen抗体在实验中的表现与网站或说明书的所述内容不符,您即可享受免费退换货服务。*

          了解更多
          help_icon

          随时为您服务

          获取常见问题的专家解答,或者直接联系我们的技术专家,咨询应用、设备、常规产品使用问题。

          联系技术支持
          订购 Plus Icon Minus Icon
          • 订单状态查询
          • 订单支持
          • 货号直购
          • 现货供应中心
          • 电子采购
          支持 Plus Icon Minus Icon
          • 帮助&支持
          • 联系我们 - 400 820 8982
          • 技术支持中心
          • 查找文件&证书
          • 报告网站问题
          资源 Plus Icon Minus Icon
          • 学习中心
          • 促销
          • 活动&研讨会
          • 社交媒体
          关于赛默飞 Plus Icon Minus Icon
          • 关于我们
          • 招聘 招聘
          • 投资者关系 投资者关系
          • 新闻 新闻
          • 社会责任 社会责任
          • 商标
          • 政策和通知
          品牌 Plus Icon Minus Icon
          • Thermo Scientific
          • Applied Biosystems
          • Invitrogen
          • Gibco
          • Ion Torrent
          • Unity Lab Services
          • Patheon
          • PPD
          • 服务条款
          • 隐私政策
          • 定价和运输保险政策
          © 2006-2026 Thermo Fisher Scientific Inc. All rights reserved. All trademarks are the property of Thermo Fisher Scientific and its subsidiaries unless otherwise specified.
          China flag icon
          China
          本网站销售的所有产品均不得用于人类或动物之临床诊断或治疗,仅可用于工业或者科研等非医疗目的。
             电子营业执照 | 经营证照公示 | ICP备案号:沪ICP备11003924号 | 沪公网安备 31011502006935号

          Your items have has been added!


          Host server : magellan-search-green-6479c7f679-sz4vp:80/100.66.76.236:80.
          git-commit: b70c0dceb888abc3b0dcebb5bc3a5b8753e7e816
          git-url: https://github.com/thermofisher/magellan-search
          git-branch: release/2.50.0-Offline