Hamburger Menu Button
Thermo Fisher Scientific Logo
登录
没有账号?建立账号 注册
  • 产品
    • 抗体
    • 引物合成
    • GeneArt Gene Synthesis Instant Designer
    • TaqMan Assay and Array Search
    • PCR 设备和耗材
    • 色谱柱和纯化柱
    • 实验室离心机
    • 分子生物学试剂和试剂盒
    • 实验室塑料耗材及用品
    • 查看所有产品分类
  • 应用和技术
    • 色谱
    • 细胞转染和培养
    • 实时荧光定量PCR
    • 质谱
    • 实验室塑料耗材及用品
    • 电子显微镜
    • 蛋白质生物学
    • PCR
    • RNAi
    • 环境
    • 查看所有应用和技术
  • 服务
    • 定制服务
    • 企业级实验室信息化服务
    • 金融&租赁服务
    • 仪器服务
    • OEM和商业供应
    • 培训服务
    • 360° CDMO 和 CRO 服务
    • CDMO 服务
    • 临床试验 CRO 服务
    • Unity Lab Services
    • 查看所有帮助和支持
  • 帮助和支持
    • 学习中心
    • 联系我们
    • 更改国家或地区
    • 查看所有帮助和支持
  • 热门产品
    • TaqMan Real-Time PCR Assays
      TaqMan 实时荧光定量 PCR 试剂盒
    • Antibodies
      抗体
    • Oligos, Primers & Probes
      寡核苷酸、引物、探针
    • GeneArt Gene Synthesis
      GeneArt 基因合成
    • Cell Culture Plastics
      细胞培养耗材
  • Who We Serve
    • 抗体治疗解决方案
    • 细胞与基因治疗解决方案
    • 学术科研
    • 工业与应用
  • 联系我们
  • 货号直购
  • 订单查询
  • 查找文件&证书
Thermo Fisher Scientific Logo

Search

搜索全部或下列指定分类
Search button
          • 联系我们
          • 货号直购
          • 登录
            登录
            没有账号?建立账号 注册
            • 我的账号
            • 订单
            • 会员中心
            • 账单及发票查询
            • 定制产品及项目
          • Primary Antibodies ›
          • DPP4 Antibodies

          Invitrogen

          DPP4 Recombinant Rabbit Monoclonal Antibody (PSH12-59)

          查看其他60个DPP4抗体

          {{$productOrderCtrl.translations['antibody.pdp.commerceCard.promotion.promotions']}}

          {{$productOrderCtrl.translations['antibody.pdp.commerceCard.promotion.viewpromo']}}

          {{$productOrderCtrl.translations['antibody.pdp.commerceCard.promotion.promocode']}}: {{promo.promoCode}} {{promo.promoTitle}} {{promo.promoDescription}}. {{$productOrderCtrl.translations['antibody.pdp.commerceCard.promotion.learnmore']}}

          说明书
          证书
          实验方案
          问题与答案
          技术支持
          说明书
          证书
          实验方案
          问题与答案
          技术支持
          说明书
          证书
          实验方案
          问题与答案
          技术支持

          Cite DPP4 Recombinant Rabbit Monoclonal Antibody (PSH12-59)

          Additional Information:
          {{banner.description}}
          {{$ctrl.isSkuNotesCollapsed ? 'View more' : 'View less'}}
          • 抗体检测数据 (10)
          DPP4 Antibody in Immunocytochemistry (ICC/IF)
          Group 53 Created with Sketch.
          DPP4 Antibody in Immunocytochemistry (ICC/IF)
          Group 53 Created with Sketch.

          图: 1 / 10

          {{ $ctrl.currentElement.advancedVerification.fullName }}
          {{ $ctrl.currentElement.advancedVerification.text }}

          DPP4 Antibody (MA569995) in ICC/IF

          Immunocytochemistry analysis of DPP4 in Caco-2 cells. Samples were incubated with DPP4 monoclonal antibody (Product # MA569995) using a dilution of 1:100 in 1% BSA in PBST overnight at 4°C followed by Goat Anti-Rabbit IgG H&L (iFluor™ 488) at a dilution of 1:1,000. Cells were fixed in 4% paraformaldehyde for 15 minutes at room temperature, permeabilized with 0.1% Triton X-100 in PBS for 15 minutes at room temperature, then blocked with 1% BSA in 10% negative goat serum for 1 hour at room temperature. PBS instead of the primary antibody was... View More {{ $ctrl.currentElement.advancedVerification.fullName }} 验证信息 View more
          已发表图片由___提供 benchsci-logo
          PMID: {{$ctrl.currentElement.benchSciPubmedId}}
          查看产品

          {{$ctrl.videoDesc}}

          {{$ctrl.videoLongDesc}}

          DPP4 Antibody in Immunocytochemistry (ICC/IF)
          DPP4 Antibody in Immunocytochemistry (ICC/IF)
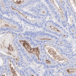
          DPP4 Antibody in Immunohistochemistry (Paraffin) (IHC (P))
          DPP4 Antibody in Immunohistochemistry (Paraffin) (IHC (P))
          DPP4 Antibody in Immunohistochemistry (Paraffin) (IHC (P))
          DPP4 Antibody in Western Blot (WB)
          DPP4 Antibody in Western Blot (WB)
          DPP4 Antibody in Flow Cytometry (Flow)
          DPP4 Antibody in Flow Cytometry (Flow)
          DPP4 Antibody in Immunoprecipitation (IP)
          DPP4 Recombinant Rabbit Monoclonal Antibody (PSH12-59)

          产品信息

          MA569995

          应用
          建议稀释比
          已发表文章

          免疫印迹 (WB)

          1:5,000
          -

          免疫组化(石蜡) (IHC (P))

          1:1,000
          -

          免疫细胞化学 (ICC/IF)

          1:100
          -

          流式细胞分析 (Flow)

          1:1,000
          -

          免疫沉淀 (IP)

          1-2 µg
          -
          产品规格

          种属反应

          Human

          宿主/亚型

          Rabbit / IgG

          Expression System

          HEK293 cells

          分类

          Recombinant Monoclonal

          类型

          Antibody

          克隆号

          PSH12-59

          抗原

          Recombinant protein within Human DPP4 aa 1-766.
          3D表位/免疫原

          偶联物

          Unconjugated Unconjugated Unconjugated

          形式

          Liquid

          浓度

          1 mg/mL

          规格

          100 µg

          纯化类型

          Protein A

          保存液

          PBS, pH 7.4, with 0.1% BSA, 40% glycerol

          内含物

          0.2% ProClin 950

          保存条件

          Store at 4°C short term. For long term storage, store at -20°C, avoiding freeze/thaw cycles.

          运输条件

          Ambient (domestic); Wet ice (international)

          产品详细信息

          Positive control: LoVo cell lysate, Caco-2 cell lysate, HT-29 cell lysate, human colon carcinoma tissue, human kidney tissue, human liver tissue.

          Subcellular location: Cell membrane, Apical cell membrane, Cell projection, invadopodium membrane, Cell projection, lamellipodium membraneCell junction, Membrane raft.

          靶标信息

          CD26 (dipeptidyl peptidase IV, DPP IV), adenosine deaminase (ADA) binding protein) is a homodimeric atypical serine protease belonging to the prolyl oligopeptidase family. CD26 is expressed on lymphocyte cells and is upregulated during T-cell activation. CD26 is also expressed on activated B cells and natural killer cells and abundantly on epithelia. CD26 is implicated in a variety of biological functions including T-cell activation, cell adhesion with extracellular matrix such as fibronectin or collagens, and in HIV infection. CD26 identical to adenosine deaminase complexing protein-2, and to the T-cell activation antigen CD26. Further, CD26 is an intrinsic membrane glycoprotein and a serine exopeptidase that cleaves X-proline dipeptides from the N-terminus of polypeptides. Alterations in CD26 peptidase activity are characteristic of malignant transformation, and the enzymatic activity increases dramatically with tumor grade and severity. CD26 is expressed in various blood cell types, but also in cells that are histogenetically related to activated fibroblasts. Alterations in CD26 density have been reported on circulating monocytes and CD4+ T cells during rheumatoid arthritis and systemic lupus erythematosus.

          仅用于科研。不用于诊断过程。未经明确授权不得转售。

          篇参考文献 (0)

          您是否在文献中引用过该产品?请点击下方按钮邮件告知我们。
          引用该产品

          生物信息学

          蛋白别名: ADABP; ADCP-2; Adenosine deaminase complexing protein 2; CD26; Dipeptidyl peptidase 4; Dipeptidyl peptidase IV; dipeptidylpeptidase 4; dipeptidylpeptidase IV (CD26, adenosine deaminase complexing protein 2); DPP IV; DPP-IV; Gly-Pro naphthylamidase; Post-proline dipeptidyl aminopeptidase IV; T-cell activation antigen CD26; TP103; Xaa-Pro-dipeptidylaminopeptidase

          查看更多 收起

          基因别名: ADABP; ADCP2; CD26; DPP4; DPPIV; TP103

          查看更多 收起

          UniProt ID: (Human) P27487

          查看更多 收起

          Entrez Gene ID: (Human) 1803

          查看更多 收起

          功能
          virus receptor activity protease binding aminopeptidase activity serine-type endopeptidase activity receptor binding protein binding peptidase activity serine-type peptidase activity dipeptidyl-peptidase activity hydrolase activity identical protein binding protein homodimerization activity chemorepellent activity
          参与通路
          behavioral fear response response to hypoxia proteolysis cell adhesion positive regulation of cell proliferation negative regulation of extracellular matrix disassembly peptide hormone processing receptor-mediated endocytosis of virus by host cell T cell costimulation regulation of cell-cell adhesion mediated by integrin locomotory exploration behavior psychomotor behavior T cell activation endothelial cell migration viral entry into host cell receptor-mediated virion attachment to host cell negative chemotaxis membrane fusion negative regulation of neutrophil chemotaxis glucagon processing
          It has to be done as per old AB suggested Products section.

          Disclaimer

          Close

          Clicking the images or links will redirect you to a website hosted by BenchSci that provides third-party scientific content. Neither the content nor the BenchSci technology and processes for selection have been evaluated by us; we are providing them as-is and without warranty of any kind, including for use or application of the Thermo Fisher Scientific products presented.

          guarantee_icon

          性能保障

          只要您发现Invitrogen抗体在实验中的表现与网站或说明书的所述内容不符,您即可享受免费退换货服务。*

          了解更多
          help_icon

          随时为您服务

          获取常见问题的专家解答,或者直接联系我们的技术专家,咨询应用、设备、常规产品使用问题。

          联系技术支持
          订购 Plus Icon Minus Icon
          • 订单状态查询
          • 订单支持
          • 货号直购
          • 现货供应中心
          • 电子采购
          支持 Plus Icon Minus Icon
          • 帮助&支持
          • 联系我们 - 400 820 8982
          • 技术支持中心
          • 查找文件&证书
          • 报告网站问题
          资源 Plus Icon Minus Icon
          • 学习中心
          • 促销
          • 活动&研讨会
          • 社交媒体
          关于赛默飞 Plus Icon Minus Icon
          • 关于我们
          • 招聘 招聘
          • 投资者关系 投资者关系
          • 新闻 新闻
          • 社会责任 社会责任
          • 商标
          • 政策和通知
          品牌 Plus Icon Minus Icon
          • Thermo Scientific
          • Applied Biosystems
          • Invitrogen
          • Gibco
          • Ion Torrent
          • Unity Lab Services
          • Patheon
          • PPD
          • 服务条款
          • 隐私政策
          • 定价和运输保险政策
          © 2006-2026 Thermo Fisher Scientific Inc. All rights reserved. All trademarks are the property of Thermo Fisher Scientific and its subsidiaries unless otherwise specified.
          China flag icon
          China
          本网站销售的所有产品均不得用于人类或动物之临床诊断或治疗,仅可用于工业或者科研等非医疗目的。
             电子营业执照 | 经营证照公示 | ICP备案号:沪ICP备11003924号 | 沪公网安备 31011502006935号

          Your items have has been added!


          Host server : magellan-search-green-6479c7f679-l2s7p:80/100.66.76.236:80.
          git-commit: b70c0dceb888abc3b0dcebb5bc3a5b8753e7e816
          git-url: https://github.com/thermofisher/magellan-search
          git-branch: release/2.50.0-Offline