Hamburger Menu Button
Thermo Fisher Scientific Logo
登录
没有账号?建立账号 注册
  • 产品
    • 抗体
    • 引物合成
    • GeneArt Gene Synthesis Instant Designer
    • TaqMan Assay and Array Search
    • PCR 设备和耗材
    • 色谱柱和纯化柱
    • 实验室离心机
    • 分子生物学试剂和试剂盒
    • 实验室塑料耗材及用品
    • 查看所有产品分类
  • 应用和技术
    • 色谱
    • 细胞转染和培养
    • 实时荧光定量PCR
    • 质谱
    • 实验室塑料耗材及用品
    • 电子显微镜
    • 蛋白质生物学
    • PCR
    • RNAi
    • 环境
    • 查看所有应用和技术
  • 服务
    • 定制服务
    • 企业级实验室信息化服务
    • 金融&租赁服务
    • 仪器服务
    • OEM和商业供应
    • 培训服务
    • 360° CDMO 和 CRO 服务
    • CDMO 服务
    • 临床试验 CRO 服务
    • Unity Lab Services
    • 查看所有帮助和支持
  • 帮助和支持
    • 学习中心
    • 联系我们
    • 更改国家或地区
    • 查看所有帮助和支持
  • 热门产品
    • TaqMan Real-Time PCR Assays
      TaqMan 实时荧光定量 PCR 试剂盒
    • Antibodies
      抗体
    • Oligos, Primers & Probes
      寡核苷酸、引物、探针
    • GeneArt Gene Synthesis
      GeneArt 基因合成
    • Cell Culture Plastics
      细胞培养耗材
  • Who We Serve
    • 抗体治疗解决方案
    • 细胞与基因治疗解决方案
    • 学术科研
    • 工业与应用
  • 联系我们
  • 货号直购
  • 订单查询
  • 查找文件&证书
Thermo Fisher Scientific Logo

Search

搜索全部或下列指定分类
Search button
          • 联系我们
          • 货号直购
          • 登录
            登录
            没有账号?建立账号 注册
            • 我的账号
            • 订单
            • 账单及发票查询
            • 定制产品及项目
          • Primary Antibodies ›
          • DRD3 Antibodies

          Bioss

          DRD3 Polyclonal Antibody

          查看其他14个DRD3抗体

          {{$productOrderCtrl.translations['antibody.pdp.commerceCard.promotion.promotions']}}

          {{$productOrderCtrl.translations['antibody.pdp.commerceCard.promotion.viewpromo']}}

          {{$productOrderCtrl.translations['antibody.pdp.commerceCard.promotion.promocode']}}: {{promo.promoCode}} {{promo.promoTitle}} {{promo.promoDescription}}. {{$productOrderCtrl.translations['antibody.pdp.commerceCard.promotion.learnmore']}}

          说明书
          证书
          实验方案
          问题与答案
          技术支持
          说明书
          证书
          实验方案
          问题与答案
          技术支持
          说明书
          证书
          实验方案
          问题与答案
          技术支持

          Cite DRD3 Polyclonal Antibody

          Additional Information:
          {{banner.description}}
          {{$ctrl.isSkuNotesCollapsed ? 'View more' : 'View less'}}
          • 抗体检测数据 (3)
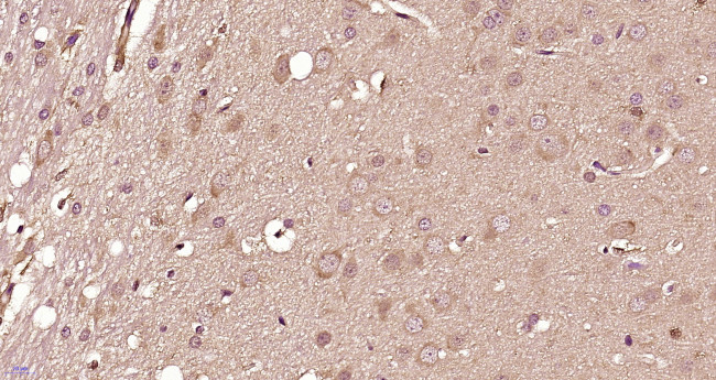
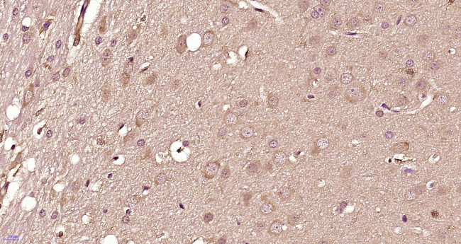
          DRD3 Antibody in Immunohistochemistry (Paraffin) (IHC (P))
          Group 53 Created with Sketch.
          DRD3 Antibody in Immunohistochemistry (Paraffin) (IHC (P))
          Group 53 Created with Sketch.

          图: 1 / 3

          {{ $ctrl.currentElement.advancedVerification.fullName }}
          {{ $ctrl.currentElement.advancedVerification.text }}

          DRD3 Antibody (BS-1743R) in IHC (P)

          Paraformaldehyde-fixed, paraffin embedded rat brain; Antigen retrieval by boiling in sodium citrate buffer (pH6) for 15min; Block endogenous peroxidase by 3% hydrogen peroxide for 30 minutes; Blocking buffer (normal goat serum) at 37°C for 20min; Antibody incubation with DRD3 Polyclonal Antibody, Unconjugated (bs-1743R) at 1:400 overnight at 4°C, followed by a conjugated secondary and DAB staining. {{ $ctrl.currentElement.advancedVerification.fullName }} 验证信息 View more
          已发表图片由___提供 benchsci-logo
          PMID: {{$ctrl.currentElement.benchSciPubmedId}}
          查看产品

          {{$ctrl.videoDesc}}

          {{$ctrl.videoLongDesc}}

          DRD3 Antibody in Immunohistochemistry (Paraffin) (IHC (P))
          DRD3 Antibody in Western Blot (WB)
          DRD3 Antibody in Flow Cytometry (Flow)
          DRD3 Polyclonal Antibody

          产品信息

          BS-1743R

          应用
          建议稀释比
          已发表文章

          免疫印迹 (WB)

          1:500
          -

          免疫组化(石蜡) (IHC (P))

          1:400
          -

          免疫组化(冰冻) (IHC (F))

          1:100-1:500
          -

          免疫细胞化学 (ICC/IF)

          1:50-1:200
          -

          流式细胞分析 (Flow)

          1:100
          -

          酶联免疫吸附实验 (ELISA)

          1:500-1:1,000
          -
          产品规格

          种属反应

          Human, Mouse, Rat

          宿主/亚型

          Rabbit / IgG

          分类

          Polyclonal

          类型

          Antibody

          抗原

          KLH conjugated synthetic peptide derived from mouse DRD3, amino acids 352-446.
          3D表位/免疫原

          偶联物

          Unconjugated Unconjugated Unconjugated

          形式

          Liquid

          浓度

          1 mg/mL

          规格

          100 µg

          纯化类型

          Protein A

          保存液

          0.01M TBS, pH 7.4, with 50% glycerol, 1% BSA

          内含物

          0.02% ProClin 300

          保存条件

          -20°C

          运输条件

          Ambient (domestic); Wet ice (international)

          靶标信息

          This gene encodes the D3 subtype of the five (D1-D5) dopamine receptors. The activity of the D3 subtype receptor is mediated by G proteins which inhibit adenylyl cyclase. This receptor is localized to the limbic areas of the brain, which are associated with cognitive, emotional, and endocrine functions. Genetic variation in this gene may be associated with susceptibility to hereditary essential tremor 1. Alternative splicing of this gene results in transcript variants encoding different isoforms, although some variants may be subject to nonsense-mediated decay (NMD).

          仅用于科研。不用于诊断过程。未经明确授权不得转售。

          篇参考文献 (0)

          您是否在文献中引用过该产品?请点击下方按钮邮件告知我们。
          引用该产品

          生物信息学

          蛋白别名: D(3) dopamine receptor; D3 receptor; D3nf; Dopamine 3 receptor; Dopamine D3 receptor; dopamine receptor 3; dopaminergic receptor D3; essential tremor 1; unnamed protein product

          查看更多 收起

          基因别名: D3DR; D3R; DRD3; ETM1; FET1

          查看更多 收起

          UniProt ID: (Human) P35462, (Rat) P19020, (Mouse) P30728

          查看更多 收起

          Entrez Gene ID: (Human) 1814, (Rat) 29238, (Mouse) 13490

          查看更多 收起

          功能
          dopamine neurotransmitter receptor activity, coupled via Gi/Go G-protein coupled receptor activity dopamine neurotransmitter receptor activity protein binding drug binding protein domain specific binding D1 dopamine receptor binding dopamine binding signal transducer activity G-protein coupled amine receptor activity G-protein coupled receptor
          参与通路
          synaptic transmission, dopaminergic G-protein coupled receptor internalization cellular calcium ion homeostasis signal transduction G-protein coupled receptor signaling pathway adenylate cyclase-modulating G-protein coupled receptor signaling pathway adenylate cyclase-activating dopamine receptor signaling pathway adenylate cyclase-inhibiting dopamine receptor signaling pathway learning or memory learning locomotory behavior visual learning response to xenobiotic stimulus regulation of dopamine secretion positive regulation of cytokinesis circadian regulation of gene expression response to histamine social behavior response to cocaine dopamine metabolic process regulation of potassium ion transport response to morphine response to ethanol negative regulation of G-protein coupled receptor protein signaling pathway negative regulation of blood pressure positive regulation of mitotic nuclear division acid secretion behavioral response to cocaine negative regulation of oligodendrocyte differentiation arachidonic acid secretion negative regulation of protein secretion musculoskeletal movement, spinal reflex action negative regulation of cytosolic calcium ion concentration regulation of dopamine uptake involved in synaptic transmission negative regulation of protein kinase B signaling regulation of amine transport negative regulation of synaptic transmission, glutamatergic prepulse inhibition phospholipase C-activating dopamine receptor signaling pathway positive regulation of dopamine receptor signaling pathway regulation of secretion by cell negative regulation of transcription from RNA polymerase II promoter response to amphetamine regulation of blood volume by renin-angiotensin negative regulation of adenylate cyclase activity dopamine receptor signaling pathway chemical synaptic transmission positive regulation of cell proliferation regulation of lipid metabolic process regulation of cAMP metabolic process negative regulation of sodium:proton antiporter activity gastric emptying positive regulation of renal sodium excretion regulation of locomotion regulation of multicellular organism growth response to drug regulation of circadian sleep/wake cycle, sleep positive regulation of transcription from RNA polymerase II promoter negative regulation of dopamine receptor signaling pathway regulation of locomotion involved in locomotory behavior sensory perception of chemical stimulus
          It has to be done as per old AB suggested Products section.

          Disclaimer

          Close

          Clicking the images or links will redirect you to a website hosted by BenchSci that provides third-party scientific content. Neither the content nor the BenchSci technology and processes for selection have been evaluated by us; we are providing them as-is and without warranty of any kind, including for use or application of the Thermo Fisher Scientific products presented.

          guarantee_icon

          性能保障

          只要您发现Invitrogen抗体在实验中的表现与网站或说明书的所述内容不符,您即可享受免费退换货服务。*

          了解更多
          help_icon

          随时为您服务

          获取常见问题的专家解答,或者直接联系我们的技术专家,咨询应用、设备、常规产品使用问题。

          联系技术支持
          订购 Plus Icon Minus Icon
          • 订单状态查询
          • 订单支持
          • 货号直购
          • 现货供应中心
          • 电子采购
          支持 Plus Icon Minus Icon
          • 帮助&支持
          • 联系我们 - 400 820 8982
          • 技术支持中心
          • 查找文件&证书
          • 报告网站问题
          资源 Plus Icon Minus Icon
          • 学习中心
          • 促销
          • 活动&研讨会
          • 社交媒体
          关于赛默飞 Plus Icon Minus Icon
          • 关于我们
          • 招聘 招聘
          • 投资者关系 投资者关系
          • 新闻 新闻
          • 社会责任 社会责任
          • 商标
          • 政策和通知
          品牌 Plus Icon Minus Icon
          • Thermo Scientific
          • Applied Biosystems
          • Invitrogen
          • Gibco
          • Ion Torrent
          • Unity Lab Services
          • Patheon
          • PPD
          • 服务条款
          • 隐私政策
          • 定价和运输保险政策
          © 2006-2026 Thermo Fisher Scientific Inc. All rights reserved. All trademarks are the property of Thermo Fisher Scientific and its subsidiaries unless otherwise specified.
          China flag icon
          China
          本网站销售的所有产品均不得用于人类或动物之临床诊断或治疗,仅可用于工业或者科研等非医疗目的。
             电子营业执照 | 经营证照公示 | ICP备案号:沪ICP备11003924号 | 沪公网安备 31011502006935号

          Your items have has been added!


          Host server : magellan-search-blue-744bc48644-fvx7n:80/100.66.78.247:80.
          git-commit: 747bde55a712f6f97bf7760408d445eefba4e16f
          git-url: https://github.com/thermofisher/magellan-search
          git-branch: release/2.48.0-Offline