Hamburger Menu Button
Thermo Fisher Scientific Logo
登录
没有账号?建立账号 注册
  • 产品
    • 抗体
    • 引物合成
    • GeneArt Gene Synthesis Instant Designer
    • TaqMan Assay and Array Search
    • PCR 设备和耗材
    • 色谱柱和纯化柱
    • 实验室离心机
    • 分子生物学试剂和试剂盒
    • 实验室塑料耗材及用品
    • 查看所有产品分类
  • 应用和技术
    • 色谱
    • 细胞转染和培养
    • 实时荧光定量PCR
    • 质谱
    • 实验室塑料耗材及用品
    • 电子显微镜
    • 蛋白质生物学
    • PCR
    • RNAi
    • 环境
    • 查看所有应用和技术
  • 服务
    • 定制服务
    • 企业级实验室信息化服务
    • 金融&租赁服务
    • 仪器服务
    • OEM和商业供应
    • 培训服务
    • 360° CDMO 和 CRO 服务
    • CDMO 服务
    • 临床试验 CRO 服务
    • Unity Lab Services
    • 查看所有帮助和支持
  • 帮助和支持
    • 学习中心
    • 联系我们
    • 更改国家或地区
    • 查看所有帮助和支持
  • 热门产品
    • TaqMan Real-Time PCR Assays
      TaqMan 实时荧光定量 PCR 试剂盒
    • Antibodies
      抗体
    • Oligos, Primers & Probes
      寡核苷酸、引物、探针
    • GeneArt Gene Synthesis
      GeneArt 基因合成
    • Cell Culture Plastics
      细胞培养耗材
  • Who We Serve
    • 抗体治疗解决方案
    • 细胞与基因治疗解决方案
    • 学术科研
    • 工业与应用
  • 联系我们
  • 货号直购
  • 订单查询
  • 查找文件&证书
Thermo Fisher Scientific Logo

Search

搜索全部或下列指定分类
Search button
          • 联系我们
          • 货号直购
          • 登录
            登录
            没有账号?建立账号 注册
            • 我的账号
            • 订单
            • 会员中心
            • 账单及发票查询
            • 定制产品及项目
          • Primary Antibodies ›
          • Dicer Antibodies

          Invitrogen

          Dicer Polyclonal Antibody

          查看其他24个Dicer抗体

          {{$productOrderCtrl.translations['antibody.pdp.commerceCard.promotion.promotions']}}

          {{$productOrderCtrl.translations['antibody.pdp.commerceCard.promotion.viewpromo']}}

          {{$productOrderCtrl.translations['antibody.pdp.commerceCard.promotion.promocode']}}: {{promo.promoCode}} {{promo.promoTitle}} {{promo.promoDescription}}. {{$productOrderCtrl.translations['antibody.pdp.commerceCard.promotion.learnmore']}}

          说明书
          证书
          实验方案
          问题与答案
          技术支持
          说明书
          证书
          实验方案
          问题与答案
          技术支持
          说明书
          证书
          实验方案
          问题与答案
          技术支持

          Cite Dicer Polyclonal Antibody

          Additional Information:
          {{banner.description}}
          {{$ctrl.isSkuNotesCollapsed ? 'View more' : 'View less'}}
          • 抗体检测数据 (5)
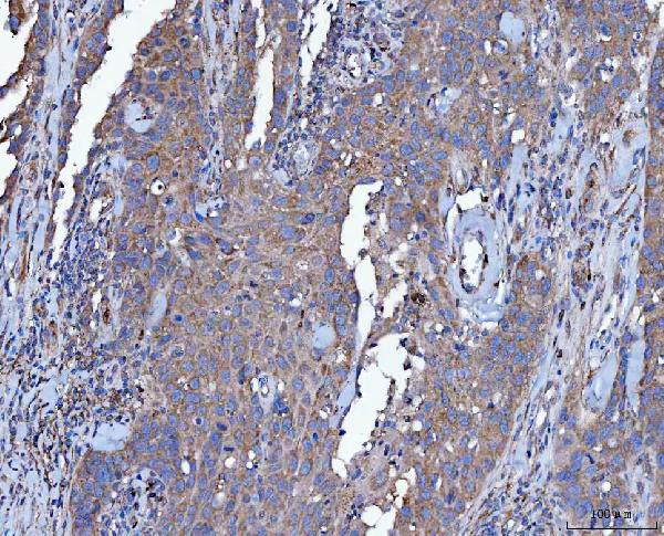
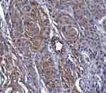
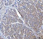
          Dicer Antibody in Immunohistochemistry (Paraffin) (IHC (P))
          Group 53 Created with Sketch.
          Dicer Antibody in Immunohistochemistry (Paraffin) (IHC (P))
          Group 53 Created with Sketch.

          图: 1 / 5

          {{ $ctrl.currentElement.advancedVerification.fullName }}
          {{ $ctrl.currentElement.advancedVerification.text }}

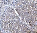
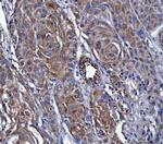
          Dicer Antibody (PA5-79154) in IHC (P)

          Immunohistochemical analysis of Dicer/DICER1 in a paraffin-embedded section of human penis squamous cell carcinoma tissue. Heat mediated antigen retrieval was performed in EDTA buffer (pH 8.0, epitope retrieval solution).The tissue section was blocked with 10% goat serum. The tissue section was then incubated with 2 μg/mL rabbit anti-Dicer/DICER1 antibody (Product # PA5-79154) overnight at 4°C. Peroxidase C... View More {{ $ctrl.currentElement.advancedVerification.fullName }} 验证信息 View more
          已发表图片由___提供 benchsci-logo
          PMID: {{$ctrl.currentElement.benchSciPubmedId}}
          查看产品

          {{$ctrl.videoDesc}}

          {{$ctrl.videoLongDesc}}

          Dicer Antibody in Immunohistochemistry (Paraffin) (IHC (P))
          Dicer Antibody in Immunohistochemistry (Paraffin) (IHC (P))
          Dicer Antibody in Immunohistochemistry (Paraffin) (IHC (P))
          Dicer Antibody in Western Blot (WB)
          Dicer Antibody in Flow Cytometry (Flow)
          Dicer Polyclonal Antibody

          产品信息

          PA5-79154

          应用
          建议稀释比
          已发表文章

          免疫印迹 (WB)

          0.1-0.5 µg/mL
          -

          免疫组化(石蜡) (IHC (P))

          2-5 µg/mL
          -

          流式细胞分析 (Flow)

          1-3 µg/1x10^6 cells
          -
          产品规格

          种属反应

          Human, Mouse, Rat

          宿主/亚型

          Rabbit / IgG

          分类

          Polyclonal

          类型

          Antibody

          抗原

          E.coli-derived human Dicer recombinant protein (Position: M1-N195).
          3D表位/免疫原

          偶联物

          Unconjugated Unconjugated Unconjugated

          形式

          Lyophilized

          浓度

          500 µg/mL

          规格

          100 µg

          纯化类型

          Antigen affinity chromatography

          保存液

          PBS with 4mg trehalose

          内含物

          no preservative

          保存条件

          -20°C

          运输条件

          Ambient (domestic); Wet ice (international)

          RRID

          AB_2746270

          产品详细信息

          Reconstitute with 0.2 mL of distilled water to yield a concentration of 500 µg/mL.

          Positive Control - WB: human Hela whole cell, human K562 whole cell, human HepG2 whole cell, human 293T whole cell, rat C6 whole cell, mouse brain tissue, mouse NIH/3T3 whole cell. IHC: human breast cancer tissue, human penis squamous cell carcinoma tissue, human cervical cancer tissue. Flow: MCF-7 cell.

          靶标信息

          Dicer is a double-stranded RNA (dsRNA) endoribonuclease playing a central role in short dsRNA-mediated post-transcriptional gene silencing. It cleaves naturally occurring long dsRNAs and short hairpin pre-microRNAs (miRNA) into fragments of twenty-one to twenty-three nucleotides with 3' overhang of two nucleotides, producing respectively short interfering RNAs (siRNA) and mature microRNAs. SiRNAs and miRNAs serve as guide to direct the RNA-induced silencing complex (RISC) to complementary RNAs to degrade them or prevent their translation. Gene silencing mediated by siRNAs, also called RNA interference, controls the elimination of transcripts from mobile and repetitive DNA elements of the genome but also the degradation of exogenous RNA of viral origin for instance. The miRNA pathway on the other side is a means to specifically regulate the expression of target genes.

          仅用于科研。不用于诊断过程。未经明确授权不得转售。

          篇参考文献 (0)

          您是否在文献中引用过该产品?请点击下方按钮邮件告知我们。
          引用该产品

          生物信息学

          蛋白别名: antiviral isoform of Dicer; DCR; DCR-1; dicer 1, double-stranded RNA-specific endoribonuclease; dicer 1, ribonuclease type III; Dicer1, Dcr-1 homolog; double-strand-specific ribonuclease mDCR-1; Endoribonuclease Dicer; Helicase MOI; Helicase with RNase motif; helicase-moi; unnamed protein product; variant of Dicer1

          查看更多 收起

          基因别名: 1110006F08Rik; aviD; D12Ertd7e; DCR1; DICER; DICER1; Dicer1e; GLOW; HERNA; K12H4.8-LIKE; KIAA0928; mKIAA0928; MNG1; RMSE2

          查看更多 收起

          UniProt ID: (Human) Q9UPY3

          查看更多 收起

          Entrez Gene ID: (Human) 23405, (Mouse) 192119, (Rat) 299284

          查看更多 收起

          功能
          nucleotide binding nucleic acid binding RNA binding double-stranded RNA binding helicase activity nuclease activity endonuclease activity endoribonuclease activity ribonuclease III activity deoxyribonuclease I activity protein binding ATP binding hydrolase activity endoribonuclease activity, producing 5'-phosphomonoesters protein domain specific binding siRNA binding metal ion binding regulatory RNA binding pre-miRNA binding miRNA binding molecular_function
          参与通路
          negative regulation of transcription from RNA polymerase II promoter meiotic spindle organization angiogenesis regulation of protein phosphorylation hair follicle development apoptotic DNA fragmentation RNA processing cell proliferation regulation of Notch signaling pathway post-embryonic development zygote asymmetric cell division regulation of gene expression negative regulation of Schwann cell proliferation positive regulation of gene expression regulation of muscle cell apoptotic process positive regulation of Schwann cell differentiation myoblast differentiation involved in skeletal muscle regeneration rRNA catabolic process stem cell population maintenance spinal cord motor neuron differentiation nerve development olfactory bulb interneuron differentiation cerebral cortex development lung development embryonic limb morphogenesis production of siRNA involved in RNA interference targeting of mRNA for destruction involved in RNA interference gene silencing by RNA pre-miRNA processing hair follicle morphogenesis regulation of myelination positive regulation of myelination peripheral nervous system myelin formation conversion of ds siRNA to ss siRNA involved in RNA interference siRNA loading onto RISC involved in RNA interference embryonic hindlimb morphogenesis production of miRNAs involved in gene silencing by miRNA multicellular organism growth miRNA loading onto RISC involved in gene silencing by miRNA conversion of ds siRNA to ss siRNA regulation of odontogenesis of dentin-containing tooth regulation of viral genome replication regulation of cell differentiation regulation of neuron differentiation positive regulation of transcription from RNA polymerase II promoter mRNA stabilization spleen development digestive tract development reproductive structure development regulation of oligodendrocyte differentiation epidermis morphogenesis branching morphogenesis of an epithelial tube neuron projection morphogenesis anatomical structure development regulation of neurogenesis cartilage development spindle assembly regulation of RNA metabolic process defense response to virus regulation of cell cycle cardiac muscle cell development inner ear receptor cell development negative regulation of glial cell proliferation intestinal epithelial cell development cardiac neural crest cell development involved in outflow tract morphogenesis ganglion development regulation of enamel mineralization hair follicle cell proliferation RNA phosphodiester bond hydrolysis RNA phosphodiester bond hydrolysis, endonucleolytic regulation of miRNA metabolic process positive regulation of miRNA metabolic process biological_process miRNA metabolic process negative regulation of gene expression negative regulation of tumor necrosis factor-mediated signaling pathway tRNA catabolic process posttranscriptional gene silencing negative regulation of tumor necrosis factor production regulation of multicellular organismal process small RNA loading onto RISC global gene silencing by mRNA cleavage
          It has to be done as per old AB suggested Products section.

          Disclaimer

          Close

          Clicking the images or links will redirect you to a website hosted by BenchSci that provides third-party scientific content. Neither the content nor the BenchSci technology and processes for selection have been evaluated by us; we are providing them as-is and without warranty of any kind, including for use or application of the Thermo Fisher Scientific products presented.

          guarantee_icon

          性能保障

          只要您发现Invitrogen抗体在实验中的表现与网站或说明书的所述内容不符,您即可享受免费退换货服务。*

          了解更多
          help_icon

          随时为您服务

          获取常见问题的专家解答,或者直接联系我们的技术专家,咨询应用、设备、常规产品使用问题。

          联系技术支持
          订购 Plus Icon Minus Icon
          • 订单状态查询
          • 订单支持
          • 货号直购
          • 现货供应中心
          • 电子采购
          支持 Plus Icon Minus Icon
          • 帮助&支持
          • 联系我们 - 400 820 8982
          • 技术支持中心
          • 查找文件&证书
          • 报告网站问题
          资源 Plus Icon Minus Icon
          • 学习中心
          • 促销
          • 活动&研讨会
          • 社交媒体
          关于赛默飞 Plus Icon Minus Icon
          • 关于我们
          • 招聘 招聘
          • 投资者关系 投资者关系
          • 新闻 新闻
          • 社会责任 社会责任
          • 商标
          • 政策和通知
          品牌 Plus Icon Minus Icon
          • Thermo Scientific
          • Applied Biosystems
          • Invitrogen
          • Gibco
          • Ion Torrent
          • Unity Lab Services
          • Patheon
          • PPD
          • 服务条款
          • 隐私政策
          • 定价和运输保险政策
          © 2006-2026 Thermo Fisher Scientific Inc. All rights reserved. All trademarks are the property of Thermo Fisher Scientific and its subsidiaries unless otherwise specified.
          China flag icon
          China
          本网站销售的所有产品均不得用于人类或动物之临床诊断或治疗,仅可用于工业或者科研等非医疗目的。
             电子营业执照 | 经营证照公示 | ICP备案号:沪ICP备11003924号 | 沪公网安备 31011502006935号

          Your items have has been added!


          Host server : magellan-search-blue-7c59b9b899-4kcjf:80/100.66.78.36:80.
          git-commit: 8ef7cf686e3c81d28b13492708ce56d167b2f995
          git-url: https://github.com/thermofisher/magellan-search
          git-branch: release/2.49.0-Offline