Hamburger Menu Button
Thermo Fisher Scientific Logo
登录
没有账号?建立账号 注册
  • 产品
    • 抗体
    • 引物合成
    • GeneArt Gene Synthesis Instant Designer
    • TaqMan Assay and Array Search
    • PCR 设备和耗材
    • 色谱柱和纯化柱
    • 实验室离心机
    • 分子生物学试剂和试剂盒
    • 实验室塑料耗材及用品
    • 查看所有产品分类
  • 应用和技术
    • 色谱
    • 细胞转染和培养
    • 实时荧光定量PCR
    • 质谱
    • 实验室塑料耗材及用品
    • 电子显微镜
    • 蛋白质生物学
    • PCR
    • RNAi
    • 环境
    • 查看所有应用和技术
  • 服务
    • 定制服务
    • 企业级实验室信息化服务
    • 金融&租赁服务
    • 仪器服务
    • OEM和商业供应
    • 培训服务
    • 360° CDMO 和 CRO 服务
    • CDMO 服务
    • 临床试验 CRO 服务
    • Unity Lab Services
    • 查看所有帮助和支持
  • 帮助和支持
    • 学习中心
    • 联系我们
    • 更改国家或地区
    • 查看所有帮助和支持
  • 热门产品
    • TaqMan Real-Time PCR Assays
      TaqMan 实时荧光定量 PCR 试剂盒
    • Antibodies
      抗体
    • Oligos, Primers & Probes
      寡核苷酸、引物、探针
    • GeneArt Gene Synthesis
      GeneArt 基因合成
    • Cell Culture Plastics
      细胞培养耗材
  • Who We Serve
    • 抗体治疗解决方案
    • 细胞与基因治疗解决方案
    • 学术科研
    • 工业与应用
  • 联系我们
  • 货号直购
  • 订单查询
  • 查找文件&证书
Thermo Fisher Scientific Logo

Search

搜索全部或下列指定分类
Search button
          • 联系我们
          • 货号直购
          • 登录
            登录
            没有账号?建立账号 注册
            • 我的账号
            • 订单
            • 会员中心
            • 账单及发票查询
            • 定制产品及项目
          • Primary Antibodies ›
          • E6AP Antibodies

          Invitrogen

          E6AP Polyclonal Antibody

          高级验证
          查看其他16个E6AP抗体

          {{$productOrderCtrl.translations['antibody.pdp.commerceCard.promotion.promotions']}}

          {{$productOrderCtrl.translations['antibody.pdp.commerceCard.promotion.viewpromo']}}

          {{$productOrderCtrl.translations['antibody.pdp.commerceCard.promotion.promocode']}}: {{promo.promoCode}} {{promo.promoTitle}} {{promo.promoDescription}}. {{$productOrderCtrl.translations['antibody.pdp.commerceCard.promotion.learnmore']}}

          说明书
          证书
          实验方案
          问题与答案
          技术支持
          说明书
          证书
          实验方案
          问题与答案
          技术支持
          说明书
          证书
          实验方案
          问题与答案
          技术支持

          Cite E6AP Polyclonal Antibody

          Additional Information:
          {{banner.description}}
          {{$ctrl.isSkuNotesCollapsed ? 'View more' : 'View less'}}
          • 抗体检测数据 (7)
          • 高级验证 (1)
          E6AP Antibody in Immunocytochemistry (ICC/IF)
          Group 53 Created with Sketch.
          E6AP Antibody in Immunocytochemistry (ICC/IF)
          Group 53 Created with Sketch.

          图: 1 / 8

          {{ $ctrl.currentElement.advancedVerification.fullName }}
          {{ $ctrl.currentElement.advancedVerification.text }}

          E6AP Antibody (PA5-95918) in ICC/IF

          Immunofluorescence analysis of E6AP was performed using 70% confluent log phase A549 cells. The cells were fixed with 4% paraformaldehyde for 10 minutes, permeabilized with 0.01% Triton™ X-100 for 10 minutes, and blocked with 2% BSA for 10 minutes at room temperature. The cells were labeled with E6AP Polyclonal Antibody (Product # PA5-95918) at 1:100 dilution in 0.1% BSA, incubated at 4 degree celsius overnight and then labeled with Goat anti-Rabbit IgG (Heavy Chain) Superclonal™ Recombinant Secondary Antibody, Alexa Fluor® 488 conjugate (... View More {{ $ctrl.currentElement.advancedVerification.fullName }} 验证信息 View more
          已发表图片由___提供 benchsci-logo
          PMID: {{$ctrl.currentElement.benchSciPubmedId}}
          查看产品

          {{$ctrl.videoDesc}}

          {{$ctrl.videoLongDesc}}

          E6AP Antibody in Immunocytochemistry (ICC/IF)
          E6AP Antibody in Immunocytochemistry (ICC/IF)
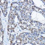
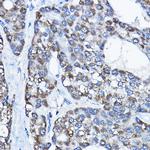
          E6AP Antibody in Immunohistochemistry (Paraffin) (IHC (P))
          E6AP Antibody in Immunohistochemistry (Paraffin) (IHC (P))
          E6AP Antibody in Western Blot (WB)
          E6AP Antibody in Western Blot (WB)
          E6AP Antibody in Western Blot (WB)
          E6AP Antibody
          E6AP Polyclonal Antibody

          产品信息

          PA5-95918

          应用
          建议稀释比
          已发表文章

          免疫印迹 (WB)

          1:100-1:500
          -

          免疫组化(石蜡) (IHC (P))

          1:50-1:200
          -

          免疫细胞化学 (ICC/IF)

          1:50-1:200
          -

          酶联免疫吸附实验 (ELISA)

          1 µg/mL
          -
          产品规格

          种属反应

          Human, Mouse

          宿主/亚型

          Rabbit / IgG

          分类

          Polyclonal

          类型

          Antibody

          抗原

          Recombinant fusion protein containing a sequence corresponding to amino acids 300-590 of human UBE3A (NP_5708531)
          3D表位/免疫原

          偶联物

          Unconjugated Unconjugated Unconjugated

          形式

          Liquid

          浓度

          0.13 mg/mL

          规格

          13 µg

          纯化类型

          Affinity Chromatography

          保存液

          PBS, pH 7.3, with 50% glycerol

          内含物

          0.02% sodium azide

          保存条件

          -20°C, Avoid Freeze/Thaw Cycles

          运输条件

          Ambient (domestic); Wet ice (international)

          RRID

          AB_2807720

          产品详细信息

          Immunogen sequence: KLIRLWSKYN ADQIRRMMET FQQLITYKVI SNEFNSRNLV NDDDAIVAAS KCLKMVYYAN VVGGEVDTNH NEEDDEEPIP ESSELTLQEL LGEERRNKKG PRVDPLETEL GVKTLDCRKP LIPFEEFINE PLNEVLEMDK DYTFFKVETE NKFSFMTCPF ILNAVTKNLG LYYDNRIRMY SERRITVLYS LVQGQQLNPY LRLKVRRDHI IDDALVRLEM IAMENPADLK KQLYVEFEGE QGVDEGGVSK EFFQLVVEEI FNPDIGMFTY DESTKLFWFN PSSFETEGQF T; Positive Samples: 293T, SKOV3, BT-474, U-251MG, Jurkat, Mouse brain, Mouse heart, Mouse thymus, Rat brain; Cellular Location: Cytoplasm, Nucleus

          靶标信息

          UBE3A (ubiquitin-protein ligase E3A, AKA E6AP) is an E3 ubiquitin-protein ligase which accepts ubiquitin from an E2 ubiquitin-conjugating enzyme in the form of a thioester and transfers it to its substrates. Several substrates have been identified including the ARNTL/BMAL1, ARC, RAD23A, RAD23B, MCM7, annexin A1, the PML tumor suppressor, and the cell cycle regulator CDKN1B. Additionally, UBE3A may function as a cellular quality control ubiquitin ligase by helping the degradation of the cytoplasmic misfolded proteins. UBE3A also plays an important role in the regulation of the circadian clock. Defects in UBE3A are a cause of Angelman syndrome (AS).

          仅用于科研。不用于诊断过程。未经明确授权不得转售。

          篇参考文献 (0)

          您是否在文献中引用过该产品?请点击下方按钮邮件告知我们。
          引用该产品

          生物信息学

          蛋白别名: CTCL tumor antigen se37-2; E6-AP; E6-AP ubiquitin protein ligase; E6AP ubiquitin-protein ligase; FLJ26981; HECT-type ubiquitin transferase E3A; human papilloma virus E6-associated protein; Human papillomavirus E6-associated protein; Oncogenic protein-associated protein E6-AP; Renal carcinoma antigen NY-REN-54; ubiquitin conjugating enzyme E3A; Ubiquitin-protein ligase E3A; unnamed protein product

          查看更多 收起

          基因别名: 4732496B02; 5830462N02Rik; A130086L21Rik; ANCR; AS; E6-AP; E6AP; EPVE6AP; HPVE6A; mKIAA4216; PIX1; UBE3A

          查看更多 收起

          UniProt ID: (Human) Q05086, (Mouse) O08759

          查看更多 收起

          Entrez Gene ID: (Human) 7337, (Mouse) 22215

          查看更多 收起

          功能
          transcription coactivator activity ubiquitin-protein transferase activity protein binding zinc ion binding transferase activity metal ion binding ubiquitin protein ligase activity UDP-N-acetylmuramoylalanyl-D-glutamyl-2,6-diaminopimelate-D-alanyl-D-alanine ligase activity ligase activity ribosomal S6-glutamic acid ligase activity coenzyme F420-0 gamma-glutamyl ligase activity coenzyme F420-2 alpha-glutamyl ligase activity protein-glycine ligase activity protein-glycine ligase activity, initiating protein-glycine ligase activity, elongating tubulin-glycine ligase activity protein-glutamic acid ligase activity tubulin-glutamic acid ligase activity ubiquitin-protein ligase
          参与通路
          protein polyubiquitination ovarian follicle development proteolysis ubiquitin-dependent protein catabolic process brain development positive regulation of macromolecule metabolic process protein ubiquitination intracellular steroid hormone receptor signaling pathway androgen receptor signaling pathway positive regulation of protein ubiquitination cellular response to nutrient levels response to progesterone sperm entry regulation of circadian rhythm proteasome-mediated ubiquitin-dependent protein catabolic process positive regulation of transcription from RNA polymerase II promoter regulation of synaptic plasticity rhythmic process animal organ development system development modulation of synaptic transmission progesterone receptor signaling pathway protein autoubiquitination positive regulation of protein kinase B signaling prostate gland growth protein K48-linked ubiquitination regulation of primary metabolic process positive regulation of protein localization to lysosome negative regulation of TORC1 signaling positive regulation of TORC1 signaling positive regulation of Golgi lumen acidification regulation of protein ubiquitination involved in ubiquitin-dependent protein catabolic process positive regulation of phosphatidylinositol 3-kinase signaling protein ubiquitination involved in ubiquitin-dependent protein catabolic process regulation of nucleic acid-templated transcription
          It has to be done as per old AB suggested Products section.

          Disclaimer

          Close

          Clicking the images or links will redirect you to a website hosted by BenchSci that provides third-party scientific content. Neither the content nor the BenchSci technology and processes for selection have been evaluated by us; we are providing them as-is and without warranty of any kind, including for use or application of the Thermo Fisher Scientific products presented.

          guarantee_icon

          性能保障

          只要您发现Invitrogen抗体在实验中的表现与网站或说明书的所述内容不符,您即可享受免费退换货服务。*

          了解更多
          help_icon

          随时为您服务

          获取常见问题的专家解答,或者直接联系我们的技术专家,咨询应用、设备、常规产品使用问题。

          联系技术支持
          订购 Plus Icon Minus Icon
          • 订单状态查询
          • 订单支持
          • 货号直购
          • 现货供应中心
          • 电子采购
          支持 Plus Icon Minus Icon
          • 帮助&支持
          • 联系我们 - 400 820 8982
          • 技术支持中心
          • 查找文件&证书
          • 报告网站问题
          资源 Plus Icon Minus Icon
          • 学习中心
          • 促销
          • 活动&研讨会
          • 社交媒体
          关于赛默飞 Plus Icon Minus Icon
          • 关于我们
          • 招聘 招聘
          • 投资者关系 投资者关系
          • 新闻 新闻
          • 社会责任 社会责任
          • 商标
          • 政策和通知
          品牌 Plus Icon Minus Icon
          • Thermo Scientific
          • Applied Biosystems
          • Invitrogen
          • Gibco
          • Ion Torrent
          • Unity Lab Services
          • Patheon
          • PPD
          • 服务条款
          • 隐私政策
          • 定价和运输保险政策
          © 2006-2026 Thermo Fisher Scientific Inc. All rights reserved. All trademarks are the property of Thermo Fisher Scientific and its subsidiaries unless otherwise specified.
          China flag icon
          China
          本网站销售的所有产品均不得用于人类或动物之临床诊断或治疗,仅可用于工业或者科研等非医疗目的。
             电子营业执照 | 经营证照公示 | ICP备案号:沪ICP备11003924号 | 沪公网安备 31011502006935号

          Your items have has been added!


          Host server : magellan-search-blue-7c59b9b899-4kcjf:80/100.66.78.36:80.
          git-commit: 8ef7cf686e3c81d28b13492708ce56d167b2f995
          git-url: https://github.com/thermofisher/magellan-search
          git-branch: release/2.49.0-Offline