Hamburger Menu Button
Thermo Fisher Scientific Logo
登录
没有账号?建立账号 注册
  • 产品
    • 抗体
    • 引物合成
    • GeneArt Gene Synthesis Instant Designer
    • TaqMan Assay and Array Search
    • PCR 设备和耗材
    • 色谱柱和纯化柱
    • 实验室离心机
    • 分子生物学试剂和试剂盒
    • 实验室塑料耗材及用品
    • 查看所有产品分类
  • 应用和技术
    • 色谱
    • 细胞转染和培养
    • 实时荧光定量PCR
    • 质谱
    • 实验室塑料耗材及用品
    • 电子显微镜
    • 蛋白质生物学
    • PCR
    • RNAi
    • 环境
    • 查看所有应用和技术
  • 服务
    • 定制服务
    • 企业级实验室信息化服务
    • 金融&租赁服务
    • 仪器服务
    • OEM和商业供应
    • 培训服务
    • 360° CDMO 和 CRO 服务
    • CDMO 服务
    • 临床试验 CRO 服务
    • Unity Lab Services
    • 查看所有帮助和支持
  • 帮助和支持
    • 学习中心
    • 联系我们
    • 更改国家或地区
    • 查看所有帮助和支持
  • 热门产品
    • TaqMan Real-Time PCR Assays
      TaqMan 实时荧光定量 PCR 试剂盒
    • Antibodies
      抗体
    • Oligos, Primers & Probes
      寡核苷酸、引物、探针
    • GeneArt Gene Synthesis
      GeneArt 基因合成
    • Cell Culture Plastics
      细胞培养耗材
  • Who We Serve
    • 抗体治疗解决方案
    • 细胞与基因治疗解决方案
    • 学术科研
    • 工业与应用
  • 联系我们
  • 货号直购
  • 订单查询
  • 查找文件&证书
Thermo Fisher Scientific Logo

Search

搜索全部或下列指定分类
Search button
          • 联系我们
          • 货号直购
          • 登录
            登录
            没有账号?建立账号 注册
            • 我的账号
            • 订单
            • 会员中心
            • 账单及发票查询
            • 定制产品及项目
          • Primary Antibodies ›
          • EAAC1 Antibodies

          Invitrogen

          EAAC1 Recombinant Rabbit Monoclonal Antibody (JU39-69)

          1 篇参考文献
          查看其他8个EAAC1抗体

          {{$productOrderCtrl.translations['antibody.pdp.commerceCard.promotion.promotions']}}

          {{$productOrderCtrl.translations['antibody.pdp.commerceCard.promotion.viewpromo']}}

          {{$productOrderCtrl.translations['antibody.pdp.commerceCard.promotion.promocode']}}: {{promo.promoCode}} {{promo.promoTitle}} {{promo.promoDescription}}. {{$productOrderCtrl.translations['antibody.pdp.commerceCard.promotion.learnmore']}}

          说明书
          证书
          实验方案
          问题与答案
          技术支持
          说明书
          证书
          实验方案
          问题与答案
          技术支持
          说明书
          证书
          实验方案
          问题与答案
          技术支持

          Cite EAAC1 Recombinant Rabbit Monoclonal Antibody (JU39-69)

          Additional Information:
          {{banner.description}}
          {{$ctrl.isSkuNotesCollapsed ? 'View more' : 'View less'}}
          • 抗体检测数据 (8)
          EAAC1 Antibody in Immunocytochemistry (ICC/IF)
          Group 53 Created with Sketch.
          EAAC1 Antibody in Immunocytochemistry (ICC/IF)
          Group 53 Created with Sketch.

          图: 1 / 8

          {{ $ctrl.currentElement.advancedVerification.fullName }}
          {{ $ctrl.currentElement.advancedVerification.text }}

          EAAC1 Antibody (MA5-34614) in ICC/IF

          Immunofluorescent analysis of EAAT3 in SH-SY5Y cells (green). Samples were fixed in paraformaldehyde and permeabilised with 0.25% Triton X100/PBS, incubated with EAAT3 monoclonal antibody (Product # MA5-34614), followed by DAPI (blue). {{ $ctrl.currentElement.advancedVerification.fullName }} 验证信息 View more
          已发表图片由___提供 benchsci-logo
          PMID: {{$ctrl.currentElement.benchSciPubmedId}}
          查看产品

          {{$ctrl.videoDesc}}

          {{$ctrl.videoLongDesc}}

          EAAC1 Antibody in Immunocytochemistry (ICC/IF)
          EAAC1 Antibody in Immunocytochemistry (ICC/IF)
          EAAC1 Antibody in Immunocytochemistry (ICC/IF)
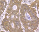
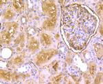
          EAAC1 Antibody in Immunohistochemistry (Paraffin) (IHC (P))
          EAAC1 Antibody in Immunohistochemistry (Paraffin) (IHC (P))
          EAAC1 Antibody in Immunohistochemistry (Paraffin) (IHC (P))
          EAAC1 Antibody in Immunohistochemistry (Paraffin) (IHC (P))
          EAAC1 Antibody in Western Blot (WB)
          EAAC1 Recombinant Rabbit Monoclonal Antibody (JU39-69)

          产品信息

          MA5-34614

          应用
          建议稀释比
          已发表文章

          免疫印迹 (WB)

          1:2000
          -

          免疫组化(石蜡) (IHC (P))

          1:50-1:200
          -

          免疫细胞化学 (ICC/IF)

          1:50-1:200
          查看1篇已发表文章 1篇已发表文章

          流式细胞分析 (Flow)

          1:1,000
          -
          产品规格

          种属反应

          Human

          已发表种属

          Human

          宿主/亚型

          Rabbit / IgG

          Expression System

          HEK293 cells

          分类

          Recombinant Monoclonal

          类型

          Antibody

          克隆号

          JU39-69

          抗原

          Recombinant protein within Human EAAT3 aa 80-209.
          3D表位/免疫原

          偶联物

          Unconjugated Unconjugated Unconjugated

          形式

          Liquid

          浓度

          1 mg/mL

          规格

          100 µg

          纯化类型

          Protein A

          保存液

          TBS, pH 7.4, with 40% glycerol, 0.05% BSA

          内含物

          0.05% sodium azide

          保存条件

          -20°C, Avoid Freeze/Thaw Cycles, store in dark

          运输条件

          Ambient (domestic); Wet ice (international)

          RRID

          AB_2848522

          产品详细信息

          Positive Control: Mouse liver tissue lysate, HUVEC, LOVO, SH-SY5Y, rat brain tissue, human tonsil tissue, human colon cancer tissue, human kidney tissue.Cell membrane.

          靶标信息

          L-glutamate is the major excitatory neurotransmitter in mammalian central nervous systems. To maintain glutamate levels below excitoxic levels, excess glutamate at excitatory synaptic clefts is removed by ion-coupled glutamate transporters. Four glutamate transporters have been identified: the sodium-dependent GLAST-1, GLT-1, EAAC-1 and the chloride-dependent EAAT-4. EAAC-1 is expressed in the CNS and also found in kidney and small intestine. Structural features of glutamate transporters are believed to include eight membrane-spanning alpha-helices and a loop-pore structure which is unique among secondary transporters but may resemble loop-pores found in ion channels. A second distinctive structural feature is the presence of a highly amphipathic membrane-spanning helix that provides a hydrophilic path through the membrane. Mice with homozygous deletions of the EAAC-1 transporter gene develop dicarboxylic aminoaciduria and display reduced spontaneous locomotor activity although no neurodegeneration was observed over a period of 12 months.

          仅用于科研。不用于诊断过程。未经明确授权不得转售。

          生物信息学

          蛋白别名: excitatory amino acid carrier 1; Excitatory amino acid transporter 3; Excitatory amino-acid carrier 1; Neuronal and epithelial glutamate transporter; Sodium-dependent glutamate/aspartate transporter 3; solute carrier family 1 (neuronal/epithelial high affinity glutamate transporter, system Xag), member 1; Solute carrier family 1 member 1; unnamed protein product

          查看更多 收起

          基因别名: DCBXA; EAAC1; EAAT3; HEAAC1; SCZD18; SLC1A1

          查看更多 收起

          UniProt ID: (Human) P43005

          查看更多 收起

          Entrez Gene ID: (Human) 6505

          查看更多 收起

          功能
          anion channel activity L-glutamate transmembrane transporter activity high-affinity glutamate transmembrane transporter activity protein binding chloride transmembrane transporter activity L-aspartate transmembrane transporter activity symporter activity glutamate:sodium symporter activity cysteine transmembrane transporter activity identical protein binding metal ion binding D-aspartate transmembrane transporter activity
          参与通路
          behavioral fear response response to amphetamine regulation of heart rate glutathione metabolic process glutathione biosynthetic process superoxide metabolic process ion transport neurotransmitter transport amino acid transport cellular zinc ion homeostasis dopamine receptor signaling pathway glutamate receptor signaling pathway chemical synaptic transmission brain development learning or memory memory grooming behavior locomotory behavior response to xenobiotic stimulus positive regulation of heart rate gene expression retina layer formation L-glutamate transport cytokine-mediated signaling pathway neurogenesis adult behavior cellular response to oxidative stress maintenance of blood-brain barrier response to decreased oxygen levels dopamine metabolic process cysteine transport response to morphine negative regulation of neuron apoptotic process establishment of protein localization blood vessel morphogenesis response to axon injury synapse organization neuron apoptotic process L-glutamate import righting reflex retina development in camera-type eye heart contraction long-term synaptic potentiation motor behavior transepithelial transport D-aspartate transmembrane transport L-aspartate transmembrane transport D-aspartate import cellular response to ammonium ion cellular response to mercury ion cellular response to cocaine zinc II ion transmembrane transport response to anesthetic regulation of protein targeting to membrane glutamate homeostasis motor neuron apoptotic process import into cell L-glutamate import across plasma membrane neurotransmitter receptor transport to plasma membrane postsynaptic modulation of chemical synaptic transmission L-aspartate import across plasma membrane transport across blood-brain barrier chloride transmembrane transport cysteine transmembrane transport cellular response to bisphenol A conditioned place preference
          It has to be done as per old AB suggested Products section.

          Disclaimer

          Close

          Clicking the images or links will redirect you to a website hosted by BenchSci that provides third-party scientific content. Neither the content nor the BenchSci technology and processes for selection have been evaluated by us; we are providing them as-is and without warranty of any kind, including for use or application of the Thermo Fisher Scientific products presented.

          guarantee_icon

          性能保障

          只要您发现Invitrogen抗体在实验中的表现与网站或说明书的所述内容不符,您即可享受免费退换货服务。*

          了解更多
          help_icon

          随时为您服务

          获取常见问题的专家解答,或者直接联系我们的技术专家,咨询应用、设备、常规产品使用问题。

          联系技术支持
          订购 Plus Icon Minus Icon
          • 订单状态查询
          • 订单支持
          • 货号直购
          • 现货供应中心
          • 电子采购
          支持 Plus Icon Minus Icon
          • 帮助&支持
          • 联系我们 - 400 820 8982
          • 技术支持中心
          • 查找文件&证书
          • 报告网站问题
          资源 Plus Icon Minus Icon
          • 学习中心
          • 促销
          • 活动&研讨会
          • 社交媒体
          关于赛默飞 Plus Icon Minus Icon
          • 关于我们
          • 招聘 招聘
          • 投资者关系 投资者关系
          • 新闻 新闻
          • 社会责任 社会责任
          • 商标
          • 政策和通知
          品牌 Plus Icon Minus Icon
          • Thermo Scientific
          • Applied Biosystems
          • Invitrogen
          • Gibco
          • Ion Torrent
          • Unity Lab Services
          • Patheon
          • PPD
          • 服务条款
          • 隐私政策
          • 定价和运输保险政策
          © 2006-2026 Thermo Fisher Scientific Inc. All rights reserved. All trademarks are the property of Thermo Fisher Scientific and its subsidiaries unless otherwise specified.
          China flag icon
          China
          本网站销售的所有产品均不得用于人类或动物之临床诊断或治疗,仅可用于工业或者科研等非医疗目的。
             电子营业执照 | 经营证照公示 | ICP备案号:沪ICP备11003924号 | 沪公网安备 31011502006935号

          Your items have has been added!


          Host server : magellan-search-green-6479c7f679-zb4k5:80/100.66.74.142:80.
          git-commit: b70c0dceb888abc3b0dcebb5bc3a5b8753e7e816
          git-url: https://github.com/thermofisher/magellan-search
          git-branch: release/2.50.0-Offline