Hamburger Menu Button
Thermo Fisher Scientific Logo
登录
没有账号?建立账号 注册
  • 产品
    • 抗体
    • 引物合成
    • GeneArt Gene Synthesis Instant Designer
    • TaqMan Assay and Array Search
    • PCR 设备和耗材
    • 色谱柱和纯化柱
    • 实验室离心机
    • 分子生物学试剂和试剂盒
    • 实验室塑料耗材及用品
    • 查看所有产品分类
  • 应用和技术
    • 色谱
    • 细胞转染和培养
    • 实时荧光定量PCR
    • 质谱
    • 实验室塑料耗材及用品
    • 电子显微镜
    • 蛋白质生物学
    • PCR
    • RNAi
    • 环境
    • 查看所有应用和技术
  • 服务
    • 定制服务
    • 企业级实验室信息化服务
    • 金融&租赁服务
    • 仪器服务
    • OEM和商业供应
    • 培训服务
    • 360° CDMO 和 CRO 服务
    • CDMO 服务
    • 临床试验 CRO 服务
    • Unity Lab Services
    • 查看所有帮助和支持
  • 帮助和支持
    • 学习中心
    • 联系我们
    • 更改国家或地区
    • 查看所有帮助和支持
  • 热门产品
    • TaqMan Real-Time PCR Assays
      TaqMan 实时荧光定量 PCR 试剂盒
    • Antibodies
      抗体
    • Oligos, Primers & Probes
      寡核苷酸、引物、探针
    • GeneArt Gene Synthesis
      GeneArt 基因合成
    • Cell Culture Plastics
      细胞培养耗材
  • Who We Serve
    • 抗体治疗解决方案
    • 细胞与基因治疗解决方案
    • 学术科研
    • 工业与应用
  • 联系我们
  • 货号直购
  • 订单查询
  • 查找文件&证书
Thermo Fisher Scientific Logo

Search

搜索全部或下列指定分类
Search button
          • 联系我们
          • 货号直购
          • 登录
            登录
            没有账号?建立账号 注册
            • 我的账号
            • 订单
            • 会员中心
            • 账单及发票查询
            • 定制产品及项目
          • Primary Antibodies ›
          • EGFR Antibodies

          Huabio

          EGFR Polyclonal Antibody

          查看其他264个EGFR抗体

          {{$productOrderCtrl.translations['antibody.pdp.commerceCard.promotion.promotions']}}

          {{$productOrderCtrl.translations['antibody.pdp.commerceCard.promotion.viewpromo']}}

          {{$productOrderCtrl.translations['antibody.pdp.commerceCard.promotion.promocode']}}: {{promo.promoCode}} {{promo.promoTitle}} {{promo.promoDescription}}. {{$productOrderCtrl.translations['antibody.pdp.commerceCard.promotion.learnmore']}}

          说明书
          证书
          实验方案
          问题与答案
          技术支持
          说明书
          证书
          实验方案
          问题与答案
          技术支持
          说明书
          证书
          实验方案
          问题与答案
          技术支持

          Cite EGFR Polyclonal Antibody

          Additional Information:
          {{banner.description}}
          {{$ctrl.isSkuNotesCollapsed ? 'View more' : 'View less'}}
          • 抗体检测数据 (8)
          EGFR Antibody in Immunocytochemistry (ICC/IF)
          Group 53 Created with Sketch.
          EGFR Antibody in Immunocytochemistry (ICC/IF)
          Group 53 Created with Sketch.

          图: 1 / 8

          {{ $ctrl.currentElement.advancedVerification.fullName }}
          {{ $ctrl.currentElement.advancedVerification.text }}

          EGFR Antibody (R1608-3) in ICC/IF

          ICC staining EGFR in HepG2 cells (green). The nuclear counter stain is DAPI (blue). Cells were fixed in paraformaldehyde, permeabilized with 0.25% Triton X100/PBS. {{ $ctrl.currentElement.advancedVerification.fullName }} 验证信息 View more
          已发表图片由___提供 benchsci-logo
          PMID: {{$ctrl.currentElement.benchSciPubmedId}}
          查看产品

          {{$ctrl.videoDesc}}

          {{$ctrl.videoLongDesc}}

          EGFR Antibody in Immunocytochemistry (ICC/IF)
          EGFR Antibody in Immunocytochemistry (ICC/IF)
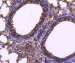
          EGFR Antibody in Immunohistochemistry (Paraffin) (IHC (P))
          EGFR Antibody in Immunohistochemistry (Paraffin) (IHC (P))
          EGFR Antibody in Immunohistochemistry (Paraffin) (IHC (P))
          EGFR Antibody in Immunohistochemistry (Paraffin) (IHC (P))
          EGFR Antibody in Western Blot (WB)
          EGFR Antibody in Flow Cytometry (Flow)
          EGFR Polyclonal Antibody

          产品信息

          R1608-3

          应用
          建议稀释比
          已发表文章

          免疫印迹 (WB)

          1:500-1:2,000
          -

          免疫组化(石蜡) (IHC (P))

          1:50-1:200
          -

          免疫细胞化学 (ICC/IF)

          1:50-1:200
          -

          流式细胞分析 (Flow)

          1:50-1:200
          -
          产品规格

          种属反应

          Human, Mouse, Rat

          宿主/亚型

          Rabbit / IgG

          分类

          Polyclonal

          类型

          Antibody

          抗原

          Recombinant protein within human EGFR aa 944-1120.
          3D表位/免疫原

          偶联物

          Unconjugated Unconjugated Unconjugated

          形式

          Liquid

          浓度

          1 mg/mL

          规格

          100 µg

          纯化类型

          Protein A

          保存液

          PBS, pH 7.4, with 0.2% BSA, 50% glycerol

          内含物

          0.05% sodium azide

          保存条件

          Store at 4°C short term. For long term storage, store at -20°C, avoiding freeze/thaw cycles.

          运输条件

          Ambient (domestic); Wet ice (international)

          靶标信息

          EGFR, epidermal growth factor receptor, is a receptor tyrosine kinases that signals in response to various growth factors. Overexpression has been linked to numerous types of cancer and EGFR is the target of both biological and small molecular therapeutics. EGFR is encoded by the EGFR gene located on chromosome 7 in humans. EGFR belongs to the HER/ERbB family of proteins that includes three other receptor tyrosine kinases, ERbB2, ERbB3, ERbB4. EGFR is a transmembrane receptor and binding of its cognate ligands such as EGF (Epidermal Growth Factor) and TGF alpha (Transforming Growth Factor alpha) to the extracellular domain leads to EGFR dimerization followed by autophosphorylation of the tyrosine residues in the cytoplasmic domain. Overexpression is observed in tumors of the head and neck, brain, bladder, stomach, breast, lung, endometrium, cervix, vulva, ovary, esophagus, stomach and in squamous cell carcinoma.

          仅用于科研。不用于诊断过程。未经明确授权不得转售。

          篇参考文献 (0)

          您是否在文献中引用过该产品?请点击下方按钮邮件告知我们。
          引用该产品

          生物信息学

          蛋白别名: 2.7.10.1; avian erythroblastic leukemia viral (v-erb-b) oncogene homolog; avian erythroblastic leukemia viral (v-erbB) oncogene homolog; cell growth inhibiting protein 40; cell proliferation-inducing protein 61; contains extracellular domain; EC 2.7.10.1; EGFR vIII; EGFR-related peptide; Epidermal growth factor receptor; Epidermal growth factor receptor formerly avian erythroblastic leukemia viral (v-erbB) oncogene homolog (Erbb1); epidermal growth factor receptor tyrosine kinase domain; epidermal growth factor receptor, formerly avian erythroblastic leukemia viral (v-erbB) oncogene homolog (Erbb1); erb-b2 receptor tyrosine kinase 1; GIG40; kinase EGFR; membrane protein; Oncogene ERBB; PIG61; Proto-oncogene c-ErbB-1; Receptor tyrosine-protein kinase erbB-1; unnamed protein product; Urogastrone; waved 2

          查看更多 收起

          基因别名: 9030024J15Rik; AI552599; EGFR; ERBB; ErbB-1; ERBB1; Errb1; ERRP; HER1; mENA; NISBD2; NNCIS; PIG61; wa-2; wa2; Wa5

          查看更多 收起

          UniProt ID: (Human) P00533, (Mouse) Q01279

          查看更多 收起

          Entrez Gene ID: (Human) 1956, (Mouse) 13649, (Rat) 24329

          查看更多 收起

          功能
          nucleotide binding virus receptor activity chromatin binding double-stranded DNA binding protein kinase activity MAP kinase kinase kinase activity protein tyrosine kinase activity transmembrane receptor protein tyrosine kinase activity transmembrane signaling receptor activity epidermal growth factor-activated receptor activity protein binding ATP binding kinase activity transferase activity enzyme binding kinase binding protein phosphatase binding protein tyrosine kinase activator activity ubiquitin protein ligase binding identical protein binding cadherin binding epidermal growth factor binding actin filament binding ATPase binding glycoprotein binding receptor signaling protein tyrosine kinase activity signal transducer activity receptor binding integrin binding transferase activity, transferring phosphorus-containing groups protein kinase binding nitric-oxide synthase regulator activity protein heterodimerization activity transmembrane signal receptor
          参与通路
          MAPK cascade cell morphogenesis ossification embryonic placenta development positive regulation of protein phosphorylation hair follicle development signal transduction cell surface receptor signaling pathway transmembrane receptor protein tyrosine kinase signaling pathway epidermal growth factor receptor signaling pathway salivary gland morphogenesis learning or memory cell proliferation positive regulation of cell proliferation epidermis development cerebral cortex cell migration neuron differentiation positive regulation of cell growth positive regulation of cell migration positive regulation of peptidyl-serine phosphorylation ERBB2-EGFR signaling pathway negative regulation of epidermal growth factor receptor signaling pathway regulation of cell proliferation negative regulation of protein catabolic process positive regulation of phosphorylation negative regulation of apoptotic process positive regulation of MAPK cascade protein kinase B signaling positive regulation of DNA repair positive regulation of DNA replication positive regulation of transcription from RNA polymerase II promoter viral entry into host cell positive regulation of fibroblast proliferation digestive tract morphogenesis epithelial cell proliferation positive regulation of epithelial cell proliferation regulation of peptidyl-tyrosine phosphorylation protein insertion into membrane positive regulation of protein kinase B signaling morphogenesis of an epithelial fold eyelid development in camera-type eye response to UV-A positive regulation of ERK1 and ERK2 cascade cellular response to amino acid stimulus cellular response to growth factor stimulus cellular response to epidermal growth factor stimulus cellular response to estradiol stimulus positive regulation of protein kinase C signaling positive regulation of canonical Wnt signaling pathway cell-cell adhesion positive regulation of G1/S transition of mitotic cell cycle positive regulation of pri-miRNA transcription from RNA polymerase II promoter positive regulation of protein localization to plasma membrane negative regulation of cardiocyte differentiation activation of MAPKK activity translation protein phosphorylation multicellular organism development magnesium ion homeostasis phosphorylation single organismal cell-cell adhesion peptidyl-tyrosine phosphorylation positive regulation of cyclin-dependent protein serine/threonine kinase activity involved in G1/S transition of mitotic cell cycle positive regulation of superoxide anion generation positive regulation of catenin import into nucleus intracellular signal transduction ovulation cycle positive regulation of MAP kinase activity positive regulation of nitric oxide biosynthetic process positive regulation of vasoconstriction positive regulation of vasodilation negative regulation of mitotic cell cycle protein autophosphorylation astrocyte activation positive regulation of smooth muscle cell proliferation neuron projection morphogenesis positive regulation of inflammatory response regulation of nitric-oxide synthase activity response to calcium ion positive regulation of synaptic transmission, glutamatergic liver development response to osmotic stress response to oxidative stress circadian rhythm response to organic cyclic compound diterpenoid metabolic process signal transduction by protein phosphorylation lung development response to estradiol response to cobalamin response to hydroxyisoflavone response to lipid cellular response to drug hydrogen peroxide metabolic process tongue development cellular response to mechanical stimulus cellular response to dexamethasone stimulus
          It has to be done as per old AB suggested Products section.

          Disclaimer

          Close

          Clicking the images or links will redirect you to a website hosted by BenchSci that provides third-party scientific content. Neither the content nor the BenchSci technology and processes for selection have been evaluated by us; we are providing them as-is and without warranty of any kind, including for use or application of the Thermo Fisher Scientific products presented.

          guarantee_icon

          性能保障

          只要您发现Invitrogen抗体在实验中的表现与网站或说明书的所述内容不符,您即可享受免费退换货服务。*

          了解更多
          help_icon

          随时为您服务

          获取常见问题的专家解答,或者直接联系我们的技术专家,咨询应用、设备、常规产品使用问题。

          联系技术支持
          订购 Plus Icon Minus Icon
          • 订单状态查询
          • 订单支持
          • 货号直购
          • 现货供应中心
          • 电子采购
          支持 Plus Icon Minus Icon
          • 帮助&支持
          • 联系我们 - 400 820 8982
          • 技术支持中心
          • 查找文件&证书
          • 报告网站问题
          资源 Plus Icon Minus Icon
          • 学习中心
          • 促销
          • 活动&研讨会
          • 社交媒体
          关于赛默飞 Plus Icon Minus Icon
          • 关于我们
          • 招聘 招聘
          • 投资者关系 投资者关系
          • 新闻 新闻
          • 社会责任 社会责任
          • 商标
          • 政策和通知
          品牌 Plus Icon Minus Icon
          • Thermo Scientific
          • Applied Biosystems
          • Invitrogen
          • Gibco
          • Ion Torrent
          • Unity Lab Services
          • Patheon
          • PPD
          • 服务条款
          • 隐私政策
          • 定价和运输保险政策
          © 2006-2026 Thermo Fisher Scientific Inc. All rights reserved. All trademarks are the property of Thermo Fisher Scientific and its subsidiaries unless otherwise specified.
          China flag icon
          China
          本网站销售的所有产品均不得用于人类或动物之临床诊断或治疗,仅可用于工业或者科研等非医疗目的。
             电子营业执照 | 经营证照公示 | ICP备案号:沪ICP备11003924号 | 沪公网安备 31011502006935号

          Your items have has been added!


          Host server : magellan-search-green-6479c7f679-k9lz7:80/100.66.74.142:80.
          git-commit: b70c0dceb888abc3b0dcebb5bc3a5b8753e7e816
          git-url: https://github.com/thermofisher/magellan-search
          git-branch: release/2.50.0-Offline