Hamburger Menu Button
Thermo Fisher Scientific Logo
登录
没有账号?建立账号 注册
  • 产品
    • 抗体
    • 引物合成
    • GeneArt Gene Synthesis Instant Designer
    • TaqMan Assay and Array Search
    • PCR 设备和耗材
    • 色谱柱和纯化柱
    • 实验室离心机
    • 分子生物学试剂和试剂盒
    • 实验室塑料耗材及用品
    • 查看所有产品分类
  • 应用和技术
    • 色谱
    • 细胞转染和培养
    • 实时荧光定量PCR
    • 质谱
    • 实验室塑料耗材及用品
    • 电子显微镜
    • 蛋白质生物学
    • PCR
    • RNAi
    • 环境
    • 查看所有应用和技术
  • 服务
    • 定制服务
    • 企业级实验室信息化服务
    • 企业服务
    • 金融&租赁服务
    • 仪器服务
    • OEM和商业供应
    • 培训服务
    • 360° CDMO 和 CRO 服务
    • CDMO 服务
    • 临床试验 CRO 服务
    • 查看所有帮助和支持
  • 帮助和支持
    • 学习中心
    • 联系我们
    • 更改国家或地区
    • 查看所有帮助和支持
  • 热门产品
    • TaqMan Real-Time PCR Assays
      TaqMan 实时荧光定量 PCR 试剂盒
    • Antibodies
      抗体
    • Oligos, Primers & Probes
      寡核苷酸、引物、探针
    • GeneArt Gene Synthesis
      GeneArt 基因合成
    • Cell Culture Plastics
      细胞培养耗材
  • 联系我们
  • 货号直购
  • 订单查询
  • 查找文件&证书
Thermo Fisher Scientific Logo

Search

搜索全部或下列指定分类
Search button
          • 联系我们
          • 货号直购
          • 登录
            登录
            没有账号?建立账号 注册
            • 我的账号
            • 订单
            • 账单及发票查询
            • 定制产品及项目

          Disclaimer

          Clicking the images or links will redirect you to a website hosted by BenchSci that provides third-party scientific content. Neither the content nor the BenchSci technology and processes for selection have been evaluated by us; we are providing them as-is and without warranty of any kind, including for use or application of the Thermo Fisher Scientific products presented.

          • Primary Antibodies ›
          • Her-2 (ErbB2) Antibodies

          OriGene

          ERBB2 Monoclonal Antibody (OTI3F11), TrueMAB™

          高级验证
          查看其他149个Her-2 (ErbB2)抗体

          {{$productOrderCtrl.translations['antibody.pdp.commerceCard.promotion.promotions']}}

          {{$productOrderCtrl.translations['antibody.pdp.commerceCard.promotion.viewpromo']}}

          {{$productOrderCtrl.translations['antibody.pdp.commerceCard.promotion.promocode']}}: {{promo.promoCode}} {{promo.promoTitle}} {{promo.promoDescription}}. {{$productOrderCtrl.translations['antibody.pdp.commerceCard.promotion.learnmore']}}

          说明书
          证书
          实验方案
          问题与答案
          技术支持
          说明书
          证书
          实验方案
          问题与答案
          技术支持
          说明书
          证书
          实验方案
          问题与答案
          技术支持

          Cite ERBB2 Monoclonal Antibody (OTI3F11), TrueMAB™

          • 抗体检测数据 (11)
          • 高级验证 (1)
          ERBB2 Antibody in Immunocytochemistry (ICC/IF)
          Group 53 Created with Sketch.
          ERBB2 Antibody in Immunocytochemistry (ICC/IF)
          Group 53 Created with Sketch.

          图: 1 / 12

          {{ $ctrl.currentElement.advancedVerification.fullName }}
          {{ $ctrl.currentElement.advancedVerification.text }}

          ERBB2 Antibody (TA503525) in ICC/IF

          Anti-ERBB2 mouse monoclonal antibody (TA503525) immunofluorescent staining of COS7 cells transiently transfected by pCMV6-ENTRY ERBB2(RC212583). {{ $ctrl.currentElement.advancedVerification.fullName }} 验证信息 View more
          已发表图片由___提供 benchsci-logo
          PMID: {{$ctrl.currentElement.benchSciPubmedId}}
          查看产品

          {{$ctrl.videoDesc}}

          {{$ctrl.videoLongDesc}}

          ERBB2 Antibody in Immunocytochemistry (ICC/IF)
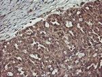
          ERBB2 Antibody in Immunohistochemistry (Paraffin) (IHC (P))
          ERBB2 Antibody in Immunohistochemistry (Paraffin) (IHC (P))
          ERBB2 Antibody in Immunohistochemistry (Paraffin) (IHC (P))
          ERBB2 Antibody in Immunohistochemistry (Paraffin) (IHC (P))
          ERBB2 Antibody in Immunohistochemistry (Paraffin) (IHC (P))
          ERBB2 Antibody in Immunohistochemistry (Paraffin) (IHC (P))
          ERBB2 Antibody in Western Blot (WB)
          ERBB2 Antibody in Western Blot (WB)
          ERBB2 Antibody in Flow Cytometry (Flow)
          ERBB2 Antibody in Flow Cytometry (Flow)
          ERBB2 Antibody
          ERBB2 Monoclonal Antibody (OTI3F11), TrueMAB™

          产品信息

          TA503525

          应用
          建议稀释比
          已发表文章

          免疫印迹 (WB)

          1:2,000
          -

          免疫组化(石蜡) (IHC (P))

          1:150
          -

          免疫细胞化学 (ICC/IF)

          1:100
          -

          流式细胞分析 (Flow)

          1:100
          -
          产品规格

          种属反应

          Human

          宿主/亚型

          Mouse / IgG2b

          分类

          Monoclonal

          类型

          Antibody

          克隆号

          OTI3F11

          抗原

          Human recombinant protein fragment corresponding to amino acids 676-1255 of human ERBB2 produced in HEK293T cell.
          查看免疫原

          偶联物

          Unconjugated Unconjugated Unconjugated
          • Biotin 
          • Request custom conjugation

          形式

          Liquid

          浓度

          0.88 mg/mL

          纯化类型

          Affinity chromatography

          保存液

          PBS with 1% BSA, 50% glycerol

          内含物

          0.02% sodium azide

          保存条件

          -20°C, Avoid Freeze/Thaw Cycles

          运输条件

          Ambient (domestic); Wet ice (international)

          靶标信息

          ErbB2 (HER2) is a receptor tyrosine kinase that is overexpressed in some breast tumors. Herceptin, used in treatment of metastatic Her2-positive cancer, is monoclonal antibody targeting this kinase.

          仅用于科研。不用于诊断过程。未经明确授权不得转售。

          篇参考文献 (0)

          您是否在文献中引用过该产品?请点击下方按钮邮件告知我们。
          引用该产品

          生物信息学

          蛋白别名: c-erb B2/neu protein; CD antigen CD340; CD340; erb-b2; erbb 2; ErbB2 (pTyr1139); ErbB2 (pY1139); ErbB2 phospho Y1139; her 2; herstatin; human epidermal growth factor receptor 2; metas; Metastatic lymph node gene 19 protein; MLN 19; neuro/glioblastoma derived oncogene homolog; neuroblastoma/glioblastoma derived oncogene homolog; p185erbB2; phospho ErbB2; Proto-oncogene c-ErbB-2; Proto-oncogene Neu; Receptor tyrosine-protein kinase erbB-2; Tyrosine kinase-type cell surface receptor HER2; v-erb-b2 avian erythroblastic leukemia viral oncogene homolog 2; v-erb-b2 avian erythroblastic leukemia viral oncoprotein 2; v-erb-b2 erythroblastic leukemia viral oncogene homolog 2, neuro/glioblastoma derived oncogene homolog

          查看更多 收起

          基因别名: CD340; ERBB2; HER-2; HER-2/neu; HER2; MLN 19; MLN19; NEU; NGL; TKR1

          查看更多 收起

          UniProt ID: (Human) P04626

          查看更多 收起

          Entrez Gene ID: (Human) 2064

          查看更多 收起

          功能
          RNA polymerase I core binding protein tyrosine kinase activity transmembrane receptor protein tyrosine kinase activity receptor signaling protein tyrosine kinase activity transmembrane signaling receptor activity Ras guanyl-nucleotide exchange factor activity protein binding ATP binding protein C-terminus binding growth factor binding protein phosphatase binding identical protein binding ErbB-3 class receptor binding phosphatidylinositol-4,5-bisphosphate 3-kinase activity protein heterodimerization activity protein dimerization activity transmembrane signal receptor
          参与通路
          MAPK cascade positive regulation of protein phosphorylation transcription, DNA-templated protein phosphorylation signal transduction cell surface receptor signaling pathway enzyme linked receptor protein signaling pathway transmembrane receptor protein tyrosine kinase signaling pathway peripheral nervous system development heart development neuromuscular junction development motor neuron axon guidance cell proliferation phosphatidylinositol 3-kinase signaling regulation of phosphatidylinositol 3-kinase signaling peptidyl-tyrosine phosphorylation positive regulation of cell growth regulation of microtubule-based process negative regulation of immature T cell proliferation in thymus ERBB2 signaling pathway wound healing myelination positive regulation of MAP kinase activity positive regulation of GTPase activity positive regulation of translation regulation of angiogenesis positive regulation of cell adhesion positive regulation of transcription from RNA polymerase I promoter positive regulation of transcription from RNA polymerase III promoter protein autophosphorylation phosphatidylinositol phosphorylation phosphatidylinositol-mediated signaling oligodendrocyte differentiation positive regulation of epithelial cell proliferation regulation of ERK1 and ERK2 cascade cellular response to growth factor stimulus cellular response to epidermal growth factor stimulus positive regulation of protein targeting to membrane regulation of cell motility
          It has to be done as per old AB suggested Products section.
          guarantee_icon

          性能保障

          只要您发现Invitrogen抗体在实验中的表现与网站或说明书的所述内容不符,您即可享受免费退换货服务。*

          了解更多
          help_icon

          随时为您服务

          获取常见问题的专家解答,或者直接联系我们的技术专家,咨询应用、设备、常规产品使用问题。

          联系技术支持
          订购 Plus Icon Minus Icon
          • 订单状态查询
          • 订单支持
          • 货号直购
          • 现货供应中心
          • 电子采购
          支持 Plus Icon Minus Icon
          • 帮助&支持
          • 联系我们 - 400 820 8982
          • 技术支持中心
          • 查找文件&证书
          • 报告网站问题
          资源 Plus Icon Minus Icon
          • 学习中心
          • 促销
          • 活动&研讨会
          • 社交媒体
          关于赛默飞 Plus Icon Minus Icon
          • 关于我们
          • 招聘 招聘
          • 投资者关系 投资者关系
          • 新闻 新闻
          • 社会责任 社会责任
          • 商标
          • 政策和通知
          品牌 Plus Icon Minus Icon
          • Thermo Scientific
          • Applied Biosystems
          • Invitrogen
          • Gibco
          • Ion Torrent
          • Patheon
          • PPD
          • 服务条款
          • 隐私政策
          • 定价和运输保险政策
          © 2006-2026 Thermo Fisher Scientific Inc. All rights reserved. All trademarks are the property of Thermo Fisher Scientific and its subsidiaries unless otherwise specified.
          China flag icon
          China
          本网站销售的所有产品均不得用于人类或动物之临床诊断或治疗,仅可用于工业或者科研等非医疗目的。
             电子营业执照 | 经营证照公示 | ICP备案号:沪ICP备11003924号 | 沪公网安备 31011502006935号

          Your items have has been added!


          Host server : magellan-search-blue-55ff9ddd88-8xmpc:80/100.66.75.107:80.
          git-commit: d366ff9721d93504b2ac26a183b2b3e3d0e7d9ec
          git-url: https://github.com/thermofisher/magellan-search
          git-branch: release/2.42.0-2026.01.03-1.0