Hamburger Menu Button
Thermo Fisher Scientific Logo
登录
没有账号?建立账号 注册
  • 产品
    • 抗体
    • 引物合成
    • GeneArt Gene Synthesis Instant Designer
    • TaqMan Assay and Array Search
    • PCR 设备和耗材
    • 色谱柱和纯化柱
    • 实验室离心机
    • 分子生物学试剂和试剂盒
    • 实验室塑料耗材及用品
    • 查看所有产品分类
  • 应用和技术
    • 色谱
    • 细胞转染和培养
    • 实时荧光定量PCR
    • 质谱
    • 实验室塑料耗材及用品
    • 电子显微镜
    • 蛋白质生物学
    • PCR
    • RNAi
    • 环境
    • 查看所有应用和技术
  • 服务
    • 定制服务
    • 企业级实验室信息化服务
    • 金融&租赁服务
    • 仪器服务
    • OEM和商业供应
    • 培训服务
    • 360° CDMO 和 CRO 服务
    • CDMO 服务
    • 临床试验 CRO 服务
    • Unity Lab Services
    • 查看所有帮助和支持
  • 帮助和支持
    • 学习中心
    • 联系我们
    • 更改国家或地区
    • 查看所有帮助和支持
  • 热门产品
    • TaqMan Real-Time PCR Assays
      TaqMan 实时荧光定量 PCR 试剂盒
    • Antibodies
      抗体
    • Oligos, Primers & Probes
      寡核苷酸、引物、探针
    • GeneArt Gene Synthesis
      GeneArt 基因合成
    • Cell Culture Plastics
      细胞培养耗材
  • Who We Serve
    • 抗体治疗解决方案
    • 细胞与基因治疗解决方案
    • 学术科研
    • 工业与应用
  • 联系我们
  • 货号直购
  • 订单查询
  • 查找文件&证书
Thermo Fisher Scientific Logo

Search

搜索全部或下列指定分类
Search button
          • 联系我们
          • 货号直购
          • 登录
            登录
            没有账号?建立账号 注册
            • 我的账号
            • 订单
            • 会员中心
            • 账单及发票查询
            • 定制产品及项目
          • Primary Antibodies ›
          • ERCC1 Antibodies

          Proteintech

          ERCC1 Polyclonal Antibody

          17 篇参考文献
          查看其他28个ERCC1抗体

          {{$productOrderCtrl.translations['antibody.pdp.commerceCard.promotion.promotions']}}

          {{$productOrderCtrl.translations['antibody.pdp.commerceCard.promotion.viewpromo']}}

          {{$productOrderCtrl.translations['antibody.pdp.commerceCard.promotion.promocode']}}: {{promo.promoCode}} {{promo.promoTitle}} {{promo.promoDescription}}. {{$productOrderCtrl.translations['antibody.pdp.commerceCard.promotion.learnmore']}}

          说明书
          证书
          实验方案
          问题与答案
          技术支持
          说明书
          证书
          实验方案
          问题与答案
          技术支持
          说明书
          证书
          实验方案
          问题与答案
          技术支持

          Cite ERCC1 Polyclonal Antibody

          Additional Information:
          {{banner.description}}
          {{$ctrl.isSkuNotesCollapsed ? 'View more' : 'View less'}}
          • 抗体检测数据 (17)
          ERCC1 Antibody in Immunocytochemistry (ICC/IF)
          Group 53 Created with Sketch.
          ERCC1 Antibody in Immunocytochemistry (ICC/IF)
          Group 53 Created with Sketch.

          图: 1 / 17

          {{ $ctrl.currentElement.advancedVerification.fullName }}
          {{ $ctrl.currentElement.advancedVerification.text }}

          ERCC1 Antibody (14586-1-AP) in ICC/IF

          Immunofluorescent analysis of ( 10% Formaldehyde ) fixed MCF-7 cells using 14586-1-AP (ERCC1 antibody) at dilution of 1:50 and Alexa Fluor 488-conjugated AffiniPure Goat Anti-Rabbit IGG (H+L). {{ $ctrl.currentElement.advancedVerification.fullName }} 验证信息 View more
          已发表图片由___提供 benchsci-logo
          PMID: {{$ctrl.currentElement.benchSciPubmedId}}
          查看产品

          {{$ctrl.videoDesc}}

          {{$ctrl.videoLongDesc}}

          ERCC1 Antibody in Immunocytochemistry (ICC/IF)
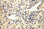
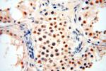
          ERCC1 Antibody in Immunohistochemistry (Paraffin) (IHC (P))
          ERCC1 Antibody in Immunohistochemistry (Paraffin) (IHC (P))
          ERCC1 Antibody in Immunohistochemistry (Paraffin) (IHC (P))
          ERCC1 Antibody in Immunohistochemistry (Paraffin) (IHC (P))
          ERCC1 Antibody in Immunohistochemistry (Paraffin) (IHC (P))
          ERCC1 Antibody in Immunohistochemistry (Paraffin) (IHC (P))
          ERCC1 Antibody in Immunohistochemistry (Paraffin) (IHC (P))
          ERCC1 Antibody in Immunohistochemistry (Paraffin) (IHC (P))
          ERCC1 Antibody in Immunohistochemistry (Paraffin) (IHC (P))
          ERCC1 Antibody in Immunohistochemistry (Paraffin) (IHC (P))
          ERCC1 Antibody in Western Blot (WB)
          ERCC1 Antibody in Western Blot (WB)
          ERCC1 Antibody in Western Blot (WB)
          ERCC1 Antibody in Western Blot (WB)
          ERCC1 Antibody in Western Blot (WB)
          ERCC1 Antibody in Immunoprecipitation (IP)

          产品信息

          14586-1-AP

          应用
          建议稀释比
          已发表文章

          免疫印迹 (WB)

          1:500-1:2,000
          查看13篇已发表文章 13篇已发表文章

          免疫组化 (IHC)

          -
          查看3篇已发表文章 3篇已发表文章

          免疫组化(石蜡) (IHC (P))

          1:20-1:200
          -

          免疫细胞化学 (ICC/IF)

          1:50-1:500
          -

          免疫沉淀 (IP)

          0.5-4.0 µg
          -

          其他PubMed (Misc)

          -
          查看1篇已发表文章 1篇已发表文章
          产品规格

          种属反应

          Human, Mouse, Rat

          已发表种属

          Human

          宿主/亚型

          Rabbit / IgG

          分类

          Polyclonal

          类型

          Antibody

          抗原

          ERCC1 Fusion Protein Ag6112 (1-323 aa encoded by BC052813)

          偶联物

          Unconjugated Unconjugated Unconjugated

          形式

          Liquid

          浓度

          0.22 mg/mL

          规格

          33 µg

          纯化类型

          Antigen affinity chromatography

          保存液

          PBS, pH 7.3, with 50% glycerol

          内含物

          0.02% sodium azide

          保存条件

          -20°C

          运输条件

          Wet ice (domestic); Dry ice (international)

          产品详细信息

          Immunogen sequence: MDPGKDKEG VPQPSGPPAR KKFVIPLDED EVPPGVAKPL FRSTQSLPTV DTSAQAAPQT YAEYAISQPL EGAGATCPTG SEPLAGETPN QALKPGAKSN SIIVSPRQRG NPVLKFVRNV PWEFGDVIPD YVLGQSTCAL FLSLRYHNLH PDYIHGRLQS LGKNFALRVL LVQVDVKDPQ QALKELAKMC ILADCTLILA WSPEEAGRYL ETYKAYEQKP ADLLMEKLEQ DFVSRVTECL TTVKSVNKTD SQTLLTTFGS LEQLIAASRE DLALCPGLGP QKVRALGKNP RSWGKERAPN KHNLRPQSFK VKKEPKTRHS GFRL (1-323 aa encoded by BC052813)

          靶标信息

          ERCC1 is a non-catalytic component of a structure-specific DNA repair endonuclease responsible for the 5'-incision during DNA repair. It is responsible, in conjunction with SLX4, for the first step in the repair of interstrand cross-links (ICL). It participates in the processing of anaphase bridge-generating DNA structures, which consist in incompletely processed DNA lesions arising during S or G2 phase, and can result in cytokinesis failure. ERCC1 is also required for homology-directed repair (HDR) of DNA double-strand breaks, in conjunction with SLX4. (Uniprot)

          仅用于科研。不用于诊断过程。未经明确授权不得转售。

          生物信息学

          蛋白别名: clone 2B3; DNA excision repair protein ERCC-1; excision repair cross-complementation group 1; excision repair cross-complementing 1; excision repair cross-complementing rodent repair deficiency, complementation group 1; excision repair cross-complementing rodent repair deficiency, complementation group 1 (includes overlapping antisense sequence); unnamed protein product

          查看更多 收起

          基因别名: COFS4; Ercc-1; ERCC1; RAD10; UV20

          查看更多 收起

          UniProt ID: (Human) P07992, (Mouse) P07903

          查看更多 收起

          Entrez Gene ID: (Human) 2067, (Rat) 292673, (Mouse) 13870

          查看更多 收起

          功能
          single-stranded DNA endodeoxyribonuclease activity TFIID-class transcription factor binding DNA binding damaged DNA binding single-stranded DNA binding protein binding 3' overhang single-stranded DNA endodeoxyribonuclease activity promoter-specific chromatin binding molecular_function protein C-terminus binding TBP-class protein binding protein domain specific binding structure-specific DNA binding nuclease activity endonuclease activity hydrolase activity endodeoxyribonuclease
          参与通路
          pyrimidine dimer repair by nucleotide-excision repair telomere maintenance DNA repair nucleotide-excision repair double-strand break repair double-strand break repair via nonhomologous end joining DNA recombination mitotic recombination syncytium formation cellular response to DNA damage stimulus response to oxidative stress germ cell development spermatogenesis cell proliferation determination of adult lifespan male gonad development UV protection response to X-ray regulation of telomere maintenance negative regulation of telomere maintenance post-embryonic hemopoiesis multicellular organism growth interstrand cross-link repair isotype switching insulin-like growth factor receptor signaling pathway cell development oogenesis chromosome organization positive regulation of transcription initiation from RNA polymerase II promoter telomeric DNA-containing double minutes formation UV-damage excision repair replicative senescence t-circle formation positive regulation of t-circle formation negative regulation of protection from non-homologous end joining at telomere DNA catabolic process, endonucleolytic replicative cell aging nucleotide-excision repair, DNA incision, 3'-to lesion nucleotide-excision repair, DNA incision, 5'-to lesion response to nutrient response to sucrose multicellular organism aging embryonic organ development
          It has to be done as per old AB suggested Products section.

          Disclaimer

          Close

          Clicking the images or links will redirect you to a website hosted by BenchSci that provides third-party scientific content. Neither the content nor the BenchSci technology and processes for selection have been evaluated by us; we are providing them as-is and without warranty of any kind, including for use or application of the Thermo Fisher Scientific products presented.

          guarantee_icon

          性能保障

          只要您发现Invitrogen抗体在实验中的表现与网站或说明书的所述内容不符,您即可享受免费退换货服务。*

          了解更多
          help_icon

          随时为您服务

          获取常见问题的专家解答,或者直接联系我们的技术专家,咨询应用、设备、常规产品使用问题。

          联系技术支持
          订购 Plus Icon Minus Icon
          • 订单状态查询
          • 订单支持
          • 货号直购
          • 现货供应中心
          • 电子采购
          支持 Plus Icon Minus Icon
          • 帮助&支持
          • 联系我们 - 400 820 8982
          • 技术支持中心
          • 查找文件&证书
          • 报告网站问题
          资源 Plus Icon Minus Icon
          • 学习中心
          • 促销
          • 活动&研讨会
          • 社交媒体
          关于赛默飞 Plus Icon Minus Icon
          • 关于我们
          • 招聘 招聘
          • 投资者关系 投资者关系
          • 新闻 新闻
          • 社会责任 社会责任
          • 商标
          • 政策和通知
          品牌 Plus Icon Minus Icon
          • Thermo Scientific
          • Applied Biosystems
          • Invitrogen
          • Gibco
          • Ion Torrent
          • Unity Lab Services
          • Patheon
          • PPD
          • 服务条款
          • 隐私政策
          • 定价和运输保险政策
          © 2006-2026 Thermo Fisher Scientific Inc. All rights reserved. All trademarks are the property of Thermo Fisher Scientific and its subsidiaries unless otherwise specified.
          China flag icon
          China
          本网站销售的所有产品均不得用于人类或动物之临床诊断或治疗,仅可用于工业或者科研等非医疗目的。
             电子营业执照 | 经营证照公示 | ICP备案号:沪ICP备11003924号 | 沪公网安备 31011502006935号

          Your items have has been added!


          Host server : magellan-search-green-6479c7f679-k9lz7:80/100.66.74.142:80.
          git-commit: b70c0dceb888abc3b0dcebb5bc3a5b8753e7e816
          git-url: https://github.com/thermofisher/magellan-search
          git-branch: release/2.50.0-Offline