Hamburger Menu Button
Thermo Fisher Scientific Logo
登录
没有账号?建立账号 注册
  • 产品
    • 抗体
    • 引物合成
    • GeneArt Gene Synthesis Instant Designer
    • TaqMan Assay and Array Search
    • PCR 设备和耗材
    • 色谱柱和纯化柱
    • 实验室离心机
    • 分子生物学试剂和试剂盒
    • 实验室塑料耗材及用品
    • 查看所有产品分类
  • 应用和技术
    • 色谱
    • 细胞转染和培养
    • 实时荧光定量PCR
    • 质谱
    • 实验室塑料耗材及用品
    • 电子显微镜
    • 蛋白质生物学
    • PCR
    • RNAi
    • 环境
    • 查看所有应用和技术
  • 服务
    • 定制服务
    • 企业级实验室信息化服务
    • 企业服务
    • 金融&租赁服务
    • 仪器服务
    • OEM和商业供应
    • 培训服务
    • 360° CDMO 和 CRO 服务
    • CDMO 服务
    • 临床试验 CRO 服务
    • 查看所有帮助和支持
  • 帮助和支持
    • 学习中心
    • 联系我们
    • 更改国家或地区
    • 查看所有帮助和支持
  • 热门产品
    • TaqMan Real-Time PCR Assays
      TaqMan 实时荧光定量 PCR 试剂盒
    • Antibodies
      抗体
    • Oligos, Primers & Probes
      寡核苷酸、引物、探针
    • GeneArt Gene Synthesis
      GeneArt 基因合成
    • Cell Culture Plastics
      细胞培养耗材
  • 联系我们
  • 货号直购
  • 订单查询
  • 查找文件&证书
Thermo Fisher Scientific Logo

Search

搜索全部或下列指定分类
Search button
          • 联系我们
          • 货号直购
          • 登录
            登录
            没有账号?建立账号 注册
            • 我的账号
            • 订单
            • 账单及发票查询
            • 定制产品及项目

          Disclaimer

          Clicking the images or links will redirect you to a website hosted by BenchSci that provides third-party scientific content. Neither the content nor the BenchSci technology and processes for selection have been evaluated by us; we are providing them as-is and without warranty of any kind, including for use or application of the Thermo Fisher Scientific products presented.

          • Primary Antibodies ›
          • ERK2 Antibodies

          Huabio

          ERK2 Monoclonal Antibody (A10D2)

          查看其他49个ERK2抗体

          {{$productOrderCtrl.translations['antibody.pdp.commerceCard.promotion.promotions']}}

          {{$productOrderCtrl.translations['antibody.pdp.commerceCard.promotion.viewpromo']}}

          {{$productOrderCtrl.translations['antibody.pdp.commerceCard.promotion.promocode']}}: {{promo.promoCode}} {{promo.promoTitle}} {{promo.promoDescription}}. {{$productOrderCtrl.translations['antibody.pdp.commerceCard.promotion.learnmore']}}

          说明书
          证书
          实验方案
          问题与答案
          技术支持
          说明书
          证书
          实验方案
          问题与答案
          技术支持
          说明书
          证书
          实验方案
          问题与答案
          技术支持

          Cite ERK2 Monoclonal Antibody (A10D2)

          • 抗体检测数据 (9)
          ERK2 Antibody in Immunohistochemistry (Paraffin) (IHC (P))
          Group 53 Created with Sketch.
          ERK2 Antibody in Immunohistochemistry (Paraffin) (IHC (P))
          Group 53 Created with Sketch.

          图: 1 / 9

          {{ $ctrl.currentElement.advancedVerification.fullName }}
          {{ $ctrl.currentElement.advancedVerification.text }}

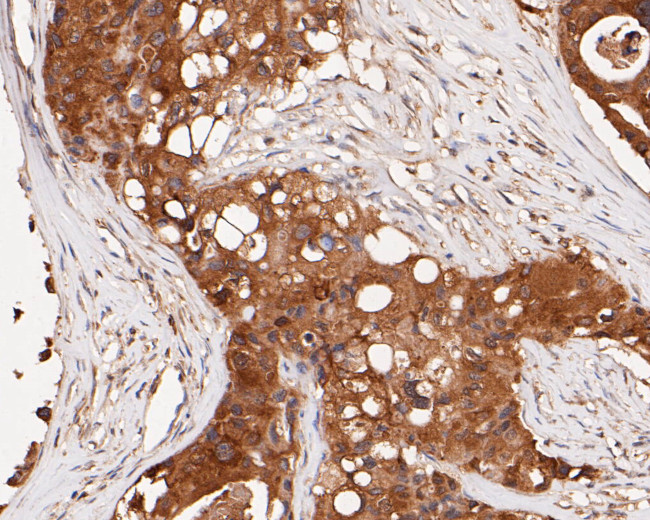
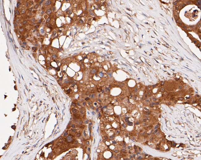
          ERK2 Antibody (EM1901-54) in IHC (P)

          Immunohistochemical analysis of paraffin-embedded human breast carcinoma tissue using anti-ERK2 antibody. The section was pre-treated using heat mediated antigen retrieval with sodium citrate buffer (pH 6.0) for 20 minutes. The tissues were blocked in 5% BSA for 30 minutes at room temperature, washed with ddH2O and PBS, and then probed with the primary antibody (EM1901-54, 1:100) for 30 minutes at room temp... View More {{ $ctrl.currentElement.advancedVerification.fullName }} 验证信息 View more
          已发表图片由___提供 benchsci-logo
          PMID: {{$ctrl.currentElement.benchSciPubmedId}}
          查看产品

          {{$ctrl.videoDesc}}

          {{$ctrl.videoLongDesc}}

          ERK2 Antibody in Immunohistochemistry (Paraffin) (IHC (P))
          ERK2 Antibody in Immunohistochemistry (Paraffin) (IHC (P))
          ERK2 Antibody in Immunohistochemistry (Paraffin) (IHC (P))
          ERK2 Antibody in Immunohistochemistry (Paraffin) (IHC (P))
          ERK2 Antibody in Immunohistochemistry (Paraffin) (IHC (P))
          ERK2 Antibody in Immunohistochemistry (Paraffin) (IHC (P))
          ERK2 Antibody in Immunohistochemistry (Paraffin) (IHC (P))
          ERK2 Antibody in Western Blot (WB)
          ERK2 Antibody in Flow Cytometry (Flow)
          ERK2 Monoclonal Antibody (A10D2)

          产品信息

          EM1901-54

          应用
          建议稀释比
          已发表文章

          免疫印迹 (WB)

          1:500-1:2,000
          -

          免疫组化(石蜡) (IHC (P))

          1:50-1:200
          -

          流式细胞分析 (Flow)

          1:50-1:100
          -
          产品规格

          种属反应

          Human, Mouse

          宿主/亚型

          Mouse / IgG1

          分类

          Monoclonal

          类型

          Antibody

          克隆号

          A10D2

          抗原

          Recombinant protein within human ERK2 aa 200-360.
          查看免疫原

          偶联物

          Unconjugated Unconjugated Unconjugated

          形式

          Liquid

          浓度

          2 mg/mL

          纯化类型

          Protein G

          保存液

          PBS, pH 7.4, with 0.2% BSA, 50% glycerol

          内含物

          0.05% sodium azide

          保存条件

          Store at 4°C short term. For long term storage, store at -20°C, avoiding freeze/thaw cycles.

          运输条件

          Ambient (domestic); Wet ice (international)

          靶标信息

          MAPK1 (ERK2) is a serine/threonine kinase that acts as an important activator of p90 RSK, MSK, ELK1, and Stat3, and is involved in the MAPK pathway. MAP kinases, also known as extracellular signal-regulated kinases (ERKs), act as an integration point for multiple biochemical signals, and are involved in a wide variety of cellular processes such as proliferation, differentiation, transcription regulation and development. The activation of this kinase requires its phosphorylation by upstream kinases. Upon activation, this kinase translocates to the nucleus of the stimulated cells, where it phosphorylates nuclear targets.

          仅用于科研。不用于诊断过程。未经明确授权不得转售。

          篇参考文献 (0)

          您是否在文献中引用过该产品?请点击下方按钮邮件告知我们。
          引用该产品

          生物信息学

          蛋白别名: ERK-2; ERT1; Extracellular signal-regulated kinase 2; MAP kinase 1; MAP kinase 2; MAP kinase isoform p42; MAPK 1; MAPK 2; mitogen activated protein kinase 1; Mitogen-activated protein kinase 1; Mitogen-activated protein kinase 2; p42-MAPK; protein tyrosine kinase ERK2

          查看更多 收起

          基因别名: 9030612K14Rik; AA407128; AU018647; C78273; ERK; ERK-2; ERK2; ERT1; Mapk; MAPK1; MAPK2; p38; p40; p41; p41mapk; p42-MAPK; P42MAPK; PRKM1; PRKM2

          查看更多 收起

          UniProt ID: (Human) P28482, (Mouse) P63085

          查看更多 收起

          Entrez Gene ID: (Human) 5594, (Mouse) 26413

          查看更多 收起

          功能
          phosphotyrosine binding DNA binding protein serine/threonine kinase activity MAP kinase activity protein binding ATP binding transcription factor binding RNA polymerase II carboxy-terminal domain kinase activity kinase activity phosphatase binding mitogen-activated protein kinase kinase kinase binding identical protein binding nucleotide binding protein kinase activity transferase activity transferase activity, transferring phosphorus-containing groups protein kinase binding non-receptor serine/threonine protein kinase
          参与通路
          MAPK cascade activation of MAPK activity MAPK import into nucleus transcription, DNA-templated protein phosphorylation apoptotic process chemotaxis response to stress cellular response to DNA damage stimulus cell cycle signal transduction chemical synaptic transmission axon guidance positive regulation of cell proliferation fibroblast growth factor receptor signaling pathway response to toxic substance positive regulation of peptidyl-threonine phosphorylation regulation of phosphatidylinositol 3-kinase signaling viral process peptidyl-serine phosphorylation peptidyl-threonine phosphorylation sensory perception of pain cytosine metabolic process platelet activation positive regulation of cell migration thyroid gland development regulation of protein stability lipopolysaccharide-mediated signaling pathway positive regulation of telomere maintenance via telomerase regulation of stress-activated MAPK cascade mammary gland epithelial cell proliferation Fc-epsilon receptor signaling pathway Fc-gamma receptor signaling pathway involved in phagocytosis ERBB signaling pathway outer ear morphogenesis response to exogenous dsRNA response to estrogen negative regulation of cell differentiation positive regulation of translation positive regulation of transcription, DNA-templated thymus development T cell receptor signaling pathway B cell receptor signaling pathway regulation of sequence-specific DNA binding transcription factor activity regulation of cytoskeleton organization positive regulation of telomerase activity Bergmann glial cell differentiation long-term synaptic potentiation face development JAK-STAT cascade involved in growth hormone signaling pathway lung morphogenesis trachea formation labyrinthine layer blood vessel development cardiac neural crest cell development involved in heart development ERK1 and ERK2 cascade response to epidermal growth factor caveolin-mediated endocytosis regulation of Golgi inheritance cellular response to granulocyte macrophage colony-stimulating factor stimulus regulation of cellular response to heat positive regulation of telomere capping regulation of early endosome to late endosome transport organ morphogenesis phosphorylation response to lipopolysaccharide intracellular signal transduction cellular response to organic substance
          It has to be done as per old AB suggested Products section.
          guarantee_icon

          性能保障

          只要您发现Invitrogen抗体在实验中的表现与网站或说明书的所述内容不符,您即可享受免费退换货服务。*

          了解更多
          help_icon

          随时为您服务

          获取常见问题的专家解答,或者直接联系我们的技术专家,咨询应用、设备、常规产品使用问题。

          联系技术支持
          订购 Plus Icon Minus Icon
          • 订单状态查询
          • 订单支持
          • 货号直购
          • 现货供应中心
          • 电子采购
          支持 Plus Icon Minus Icon
          • 帮助&支持
          • 联系我们 - 400 820 8982
          • 技术支持中心
          • 查找文件&证书
          • 报告网站问题
          资源 Plus Icon Minus Icon
          • 学习中心
          • 促销
          • 活动&研讨会
          • 社交媒体
          关于赛默飞 Plus Icon Minus Icon
          • 关于我们
          • 招聘 招聘
          • 投资者关系 投资者关系
          • 新闻 新闻
          • 社会责任 社会责任
          • 商标
          • 政策和通知
          品牌 Plus Icon Minus Icon
          • Thermo Scientific
          • Applied Biosystems
          • Invitrogen
          • Gibco
          • Ion Torrent
          • Patheon
          • PPD
          • 服务条款
          • 隐私政策
          • 定价和运输保险政策
          © 2006-2026 Thermo Fisher Scientific Inc. All rights reserved. All trademarks are the property of Thermo Fisher Scientific and its subsidiaries unless otherwise specified.
          China flag icon
          China
          本网站销售的所有产品均不得用于人类或动物之临床诊断或治疗,仅可用于工业或者科研等非医疗目的。
             电子营业执照 | 经营证照公示 | ICP备案号:沪ICP备11003924号 | 沪公网安备 31011502006935号

          Your items have has been added!


          Host server : magellan-search-blue-55ff9ddd88-8jdkq:80/100.66.75.107:80.
          git-commit: d366ff9721d93504b2ac26a183b2b3e3d0e7d9ec
          git-url: https://github.com/thermofisher/magellan-search
          git-branch: release/2.42.0-2026.01.03-1.0