Hamburger Menu Button
Thermo Fisher Scientific Logo
登录
没有账号?建立账号 注册
  • 产品
    • 抗体
    • 引物合成
    • GeneArt Gene Synthesis Instant Designer
    • TaqMan Assay and Array Search
    • PCR 设备和耗材
    • 色谱柱和纯化柱
    • 实验室离心机
    • 分子生物学试剂和试剂盒
    • 实验室塑料耗材及用品
    • 查看所有产品分类
  • 应用和技术
    • 色谱
    • 细胞转染和培养
    • 实时荧光定量PCR
    • 质谱
    • 实验室塑料耗材及用品
    • 电子显微镜
    • 蛋白质生物学
    • PCR
    • RNAi
    • 环境
    • 查看所有应用和技术
  • 服务
    • 定制服务
    • 企业级实验室信息化服务
    • 金融&租赁服务
    • 仪器服务
    • OEM和商业供应
    • 培训服务
    • 360° CDMO 和 CRO 服务
    • CDMO 服务
    • 临床试验 CRO 服务
    • Unity Lab Services
    • 查看所有帮助和支持
  • 帮助和支持
    • 学习中心
    • 联系我们
    • 更改国家或地区
    • 查看所有帮助和支持
  • 热门产品
    • TaqMan Real-Time PCR Assays
      TaqMan 实时荧光定量 PCR 试剂盒
    • Antibodies
      抗体
    • Oligos, Primers & Probes
      寡核苷酸、引物、探针
    • GeneArt Gene Synthesis
      GeneArt 基因合成
    • Cell Culture Plastics
      细胞培养耗材
  • Who We Serve
    • 抗体治疗解决方案
    • 细胞与基因治疗解决方案
    • 学术科研
    • 工业与应用
  • 联系我们
  • 货号直购
  • 订单查询
  • 查找文件&证书
Thermo Fisher Scientific Logo

Search

搜索全部或下列指定分类
Search button
          • 联系我们
          • 货号直购
          • 登录
            登录
            没有账号?建立账号 注册
            • 我的账号
            • 订单
            • 会员中心
            • 账单及发票查询
            • 定制产品及项目
          • Primary Antibodies ›
          • ErbB4 Antibodies

          Invitrogen

          ErbB4 (Her4) Monoclonal Antibody (HFR1), eBioscience™

          查看其他34个ErbB4抗体

          {{$productOrderCtrl.translations['antibody.pdp.commerceCard.promotion.promotions']}}

          {{$productOrderCtrl.translations['antibody.pdp.commerceCard.promotion.viewpromo']}}

          {{$productOrderCtrl.translations['antibody.pdp.commerceCard.promotion.promocode']}}: {{promo.promoCode}} {{promo.promoTitle}} {{promo.promoDescription}}. {{$productOrderCtrl.translations['antibody.pdp.commerceCard.promotion.learnmore']}}

          说明书
          证书
          实验方案
          问题与答案
          技术支持
          说明书
          证书
          实验方案
          问题与答案
          技术支持
          说明书
          证书
          实验方案
          问题与答案
          技术支持

          Cite ErbB4 (Her4) Monoclonal Antibody (HFR1), eBioscience™

          Additional Information:
          {{banner.description}}
          {{$ctrl.isSkuNotesCollapsed ? 'View more' : 'View less'}}
          • 抗体检测数据 (1)
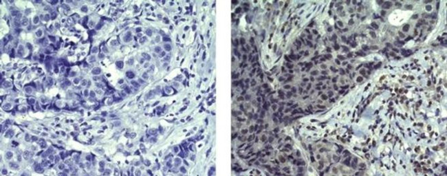
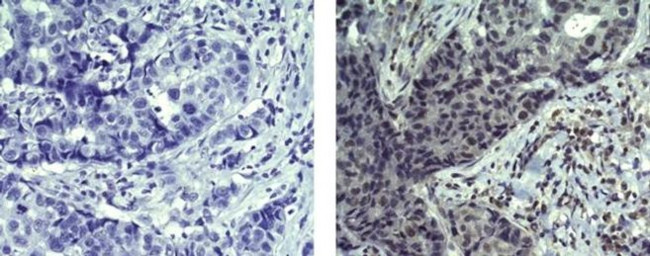
          ErbB4 (Her4) Antibody in Immunohistochemistry (Paraffin) (IHC (P))
          Group 53 Created with Sketch.
          ErbB4 (Her4) Antibody in Immunohistochemistry (Paraffin) (IHC (P))
          Group 53 Created with Sketch.

          图: 1 / 1

          {{ $ctrl.currentElement.advancedVerification.fullName }}
          {{ $ctrl.currentElement.advancedVerification.text }}

          ErbB4 (Her4) Antibody (14-9687-80) in IHC (P)

          Immunohistochemistry of formalin-fixed paraffin embedded human infiltrating ductal carcinoma using 10 µg/mL Mouse IgG2b K Isotype Control Purified (left) or 10 µg/mL Anti-Human/Mouse ErbB4 (Her4) Purified (right) followed by Anti-Mouse IgG Biotin and DAB visualization.Nuclei are counterstained with hematoxylin. {{ $ctrl.currentElement.advancedVerification.fullName }} 验证信息 View more
          已发表图片由___提供 benchsci-logo
          PMID: {{$ctrl.currentElement.benchSciPubmedId}}
          查看产品

          {{$ctrl.videoDesc}}

          {{$ctrl.videoLongDesc}}

          ErbB4 (Her4) Antibody in Immunohistochemistry (Paraffin) (IHC (P))

          产品信息

          14-9687-80

          应用
          建议稀释比
          已发表文章

          免疫印迹 (WB)

          Assay-Dependent
          -

          免疫组化(石蜡) (IHC (P))

          10 µg/mL
          -

          免疫细胞化学 (ICC/IF)

          10 µg/mL
          -

          免疫沉淀 (IP)

          Assay-Dependent
          -
          产品规格

          种属反应

          Human, Mouse

          宿主/亚型

          Mouse / IgG2b, kappa

          分类

          Monoclonal

          类型

          Antibody

          克隆号

          HFR1

          偶联物

          Unconjugated Unconjugated Unconjugated
          • Biotin 
          • Request custom conjugation

          形式

          Liquid

          浓度

          0.5 mg/mL

          规格

          25 µg

          纯化类型

          Affinity chromatography

          保存液

          PBS, pH 7.2

          内含物

          0.09% sodium azide

          保存条件

          4°C

          运输条件

          Ambient (domestic); Wet ice (international)

          RRID

          AB_2572955

          产品详细信息

          Description: The monoclonal antibody HFR1 recognizes human and mouse epidermal growth factor receptor 4 (ErbB4 or HER4). ErbB4 belongs to the family of receptor tyrosine kinases (RTK) of which HER1 (EGRF), HER2 (ErbB2), and HER3 (ErbB3) are members. RTKs function to affect a variety of cell processes including proliferation, differentiation, migration, survival and apoptosis and are often disregulated in cancer. The ErbB4 protein contains extracellular ligand binding domains, a transmembrane region, and a cytoplasmic tail containing the tyrosine kinase domain and the binding site for the HFR1 antibody. Upon ligand binding, ErbB4 homo- or hetero-dimerizes with other family members, becomes phosphorylated, and can be cleaved allowing translocation to the nucleus. The HRF1 antibody recognizes membrane-bound, cytoplasmic and nuclear ErbB4. Cytosolic ErbB4 expression was found to correlate with a positive prognosis in a subset of breast cancer patients, while nuclear ErbB4 expression was inversely correlated with tumor grade and aggressiveness of breast tumors.

          Applications Reported: This HFR1 antibody has been reported for use in immunoprecipitation, western blotting, immunohistochemical staining of formalin-fixed paraffin embedded tissue sections, and immunocytochemistry.

          Applications Tested: This HFR1 antibody has been tested by immunocytochemistry on fixed and permeablilized A431 cells and can be used at less than or equal to 10 µg/mL. The HFR1 antibody has also been tested by immunohistochemistry on human FFPE tissue with low pH antigen retrieval and can be used at less than or equal to 10 µg/mL. It is recommended that the antibody be carefully titrated for optimal performance in the assay of interest.

          Purity: Greater than 90%, as determined by SDS-PAGE.

          Aggregation: Less than 10%, as determined by HPLC.

          Filtration: 0.2 µm post-manufacturing filtered.

          靶标信息

          Oncogene ERBB4 (HER4) is a member of the type I receptor protein tyrosine subfamily that includes EGFR, ERBB2, and ERBB3. ERBB4 binds and is activated by neuregulins and other factors and induces a variety of cellular responses including mitogenesis and differentiation. ErbB 4 is activated by neuregulins and NTAK (neural and thymus derived activator for ErbB kinases). ErbB 4 is a receptor for heregulin and is capable of mediating HGL-stimulated tyrosine phosphorylation of itself. Like other protein kinases, ErbB 4 mediate most of the signal transduction in eukaryotic cells, regulating cellular metabolism, transcription, cell cycle progression, cytoskeletal rearrangement and cell movement, apoptosis, and differentiation. ErbB 4 is most predominantly expressed in several breast carcinoma cell lines, and in normal skeletal muscle, heart, pituitary, brain, and cerebellum. Breast tumor cell lines T47-D, MDA-MB-453, BT-474 and H3396 are found to have the highest levels of mRNA, and intermediate levels are seen in MCF-7, MDAMB-330 and MDA-MB-361. Expression of ErbB 4 is low or absent in some breast tumor cell lines such as MDA-MB-231, MDA-MB-157, MDA-MB-468, and SKBR-3. ErbB 4 levels have been found to be elevated in certain human tumor cell lines suggesting that it may play a role in some malignancies.

          仅用于科研。不用于诊断过程。未经明确授权不得转售。

          篇参考文献 (0)

          您是否在文献中引用过该产品?请点击下方按钮邮件告知我们。
          引用该产品

          生物信息学

          蛋白别名: avian erythroblastic leukemia viral (v-erb-b2) oncogene homolog 4; avian erythroblastosis oncogene B 4; human epidermal growth factor receptor 4; OTTHUMP00000209432; p180erbB4; Proto-oncogene-like protein c-ErbB-4; Receptor tyrosine-protein kinase erbB-4; Tyrosine kinase-type cell surface receptor HER4; v-erb-a erythroblastic leukemia viral oncogene homolog 4; v-erb-b2 avian erythroblastic leukemia viral oncogene homolog 4

          查看更多 收起

          基因别名: ALS19; c-erbB-4; ERBB4; HER4; Mer4; p180erbB4

          查看更多 收起

          UniProt ID: (Human) Q15303, (Mouse) Q61527

          查看更多 收起

          Entrez Gene ID: (Human) 2066, (Mouse) 13869

          查看更多 收起

          功能
          nucleotide binding transcription regulatory region sequence-specific DNA binding protein kinase activity protein tyrosine kinase activity transmembrane receptor protein tyrosine kinase activity epidermal growth factor-activated receptor activity epidermal growth factor receptor binding protein binding ATP binding kinase activity transferase activity neuregulin receptor activity protein homodimerization activity GABA receptor binding receptor signaling protein tyrosine kinase activity transferase activity, transferring phosphorus-containing groups transcription regulatory region DNA binding transmembrane signal receptor
          参与通路
          neural crest cell migration positive regulation of protein phosphorylation apoptotic process signal transduction cell surface receptor signaling pathway transmembrane receptor protein tyrosine kinase signaling pathway epidermal growth factor receptor signaling pathway JAK-STAT cascade nervous system development synapse assembly heart development lactation positive regulation of cell proliferation negative regulation of cell proliferation embryonic pattern specification positive regulation of biosynthetic process cell migration peptidyl-tyrosine phosphorylation central nervous system morphogenesis olfactory bulb interneuron differentiation neuron differentiation regulation of cell migration mammary gland development ERBB4 signaling pathway ERBB2-ERBB4 signaling pathway ERBB4-ERBB4 signaling pathway positive regulation of tyrosine phosphorylation of STAT protein negative regulation of apoptotic process positive regulation of MAPK cascade mitochondrial fragmentation involved in apoptotic process cell fate commitment positive regulation of transcription, DNA-templated positive regulation of phosphate metabolic process positive regulation of JAK-STAT cascade protein autophosphorylation positive regulation of epithelial cell proliferation positive regulation of protein kinase B signaling positive regulation of cardiac muscle cell proliferation mammary gland epithelial cell differentiation mammary gland alveolus development cardiac muscle tissue regeneration regulation of biological quality positive regulation of ERK1 and ERK2 cascade cellular response to epidermal growth factor stimulus establishment of planar polarity involved in nephron morphogenesis neurotransmitter receptor localization to postsynaptic specialization membrane positive regulation of protein localization to cell surface negative regulation of neuron migration transcription, DNA-templated regulation of transcription, DNA-templated protein phosphorylation multicellular organism development negative regulation of muscle cell apoptotic process phosphorylation positive regulation of cell migration positive regulation of synaptic transmission, GABAergic positive regulation of tyrosine phosphorylation of Stat5 protein surfactant homeostasis positive regulation of glucose import synapse maturation positive regulation of STAT protein import into nucleus
          It has to be done as per old AB suggested Products section.

          Disclaimer

          Close

          Clicking the images or links will redirect you to a website hosted by BenchSci that provides third-party scientific content. Neither the content nor the BenchSci technology and processes for selection have been evaluated by us; we are providing them as-is and without warranty of any kind, including for use or application of the Thermo Fisher Scientific products presented.

          guarantee_icon

          性能保障

          只要您发现Invitrogen抗体在实验中的表现与网站或说明书的所述内容不符,您即可享受免费退换货服务。*

          了解更多
          help_icon

          随时为您服务

          获取常见问题的专家解答,或者直接联系我们的技术专家,咨询应用、设备、常规产品使用问题。

          联系技术支持
          订购 Plus Icon Minus Icon
          • 订单状态查询
          • 订单支持
          • 货号直购
          • 现货供应中心
          • 电子采购
          支持 Plus Icon Minus Icon
          • 帮助&支持
          • 联系我们 - 400 820 8982
          • 技术支持中心
          • 查找文件&证书
          • 报告网站问题
          资源 Plus Icon Minus Icon
          • 学习中心
          • 促销
          • 活动&研讨会
          • 社交媒体
          关于赛默飞 Plus Icon Minus Icon
          • 关于我们
          • 招聘 招聘
          • 投资者关系 投资者关系
          • 新闻 新闻
          • 社会责任 社会责任
          • 商标
          • 政策和通知
          品牌 Plus Icon Minus Icon
          • Thermo Scientific
          • Applied Biosystems
          • Invitrogen
          • Gibco
          • Ion Torrent
          • Unity Lab Services
          • Patheon
          • PPD
          • 服务条款
          • 隐私政策
          • 定价和运输保险政策
          © 2006-2026 Thermo Fisher Scientific Inc. All rights reserved. All trademarks are the property of Thermo Fisher Scientific and its subsidiaries unless otherwise specified.
          China flag icon
          China
          本网站销售的所有产品均不得用于人类或动物之临床诊断或治疗,仅可用于工业或者科研等非医疗目的。
             电子营业执照 | 经营证照公示 | ICP备案号:沪ICP备11003924号 | 沪公网安备 31011502006935号

          Your items have has been added!


          Host server : magellan-search-green-6479c7f679-46l5g:80/100.66.76.236:80.
          git-commit: b70c0dceb888abc3b0dcebb5bc3a5b8753e7e816
          git-url: https://github.com/thermofisher/magellan-search
          git-branch: release/2.50.0-Offline