Hamburger Menu Button
Thermo Fisher Scientific Logo
登录
没有账号?建立账号 注册
  • 产品
    • 抗体
    • 引物合成
    • GeneArt Gene Synthesis Instant Designer
    • TaqMan Assay and Array Search
    • PCR 设备和耗材
    • 色谱柱和纯化柱
    • 实验室离心机
    • 分子生物学试剂和试剂盒
    • 实验室塑料耗材及用品
    • 查看所有产品分类
  • 应用和技术
    • 色谱
    • 细胞转染和培养
    • 实时荧光定量PCR
    • 质谱
    • 实验室塑料耗材及用品
    • 电子显微镜
    • 蛋白质生物学
    • PCR
    • RNAi
    • 环境
    • 查看所有应用和技术
  • 服务
    • 定制服务
    • 企业级实验室信息化服务
    • 金融&租赁服务
    • 仪器服务
    • OEM和商业供应
    • 培训服务
    • 360° CDMO 和 CRO 服务
    • CDMO 服务
    • 临床试验 CRO 服务
    • Unity Lab Services
    • 查看所有帮助和支持
  • 帮助和支持
    • 学习中心
    • 联系我们
    • 更改国家或地区
    • 查看所有帮助和支持
  • 热门产品
    • TaqMan Real-Time PCR Assays
      TaqMan 实时荧光定量 PCR 试剂盒
    • Antibodies
      抗体
    • Oligos, Primers & Probes
      寡核苷酸、引物、探针
    • GeneArt Gene Synthesis
      GeneArt 基因合成
    • Cell Culture Plastics
      细胞培养耗材
  • Who We Serve
    • 抗体治疗解决方案
    • 细胞与基因治疗解决方案
    • 学术科研
    • 工业与应用
  • 联系我们
  • 货号直购
  • 订单查询
  • 查找文件&证书
Thermo Fisher Scientific Logo

Search

搜索全部或下列指定分类
Search button
          • 联系我们
          • 货号直购
          • 登录
            登录
            没有账号?建立账号 注册
            • 我的账号
            • 订单
            • 会员中心
            • 账单及发票查询
            • 定制产品及项目
          • Primary Antibodies ›
          • FAS (CD95) Antibodies

          Invitrogen

          FAS Recombinant Rabbit Monoclonal Antibody (5D10O3)

          高级验证
          查看其他85个FAS (CD95)抗体

          {{$productOrderCtrl.translations['antibody.pdp.commerceCard.promotion.promotions']}}

          {{$productOrderCtrl.translations['antibody.pdp.commerceCard.promotion.viewpromo']}}

          {{$productOrderCtrl.translations['antibody.pdp.commerceCard.promotion.promocode']}}: {{promo.promoCode}} {{promo.promoTitle}} {{promo.promoDescription}}. {{$productOrderCtrl.translations['antibody.pdp.commerceCard.promotion.learnmore']}}

          说明书
          证书
          实验方案
          问题与答案
          技术支持
          说明书
          证书
          实验方案
          问题与答案
          技术支持
          说明书
          证书
          实验方案
          问题与答案
          技术支持

          Cite FAS Recombinant Rabbit Monoclonal Antibody (5D10O3)

          Additional Information:
          {{banner.description}}
          {{$ctrl.isSkuNotesCollapsed ? 'View more' : 'View less'}}
          • 抗体检测数据 (3)
          • 高级验证 (1)
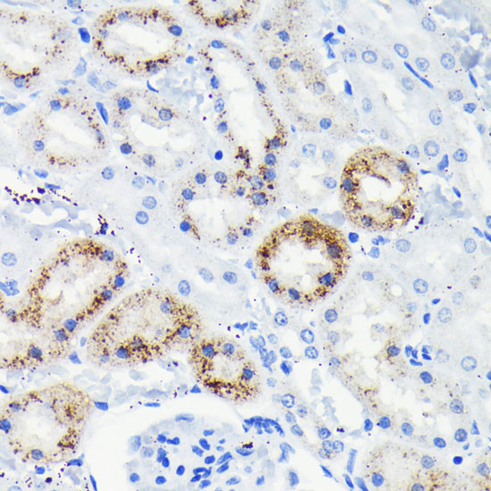
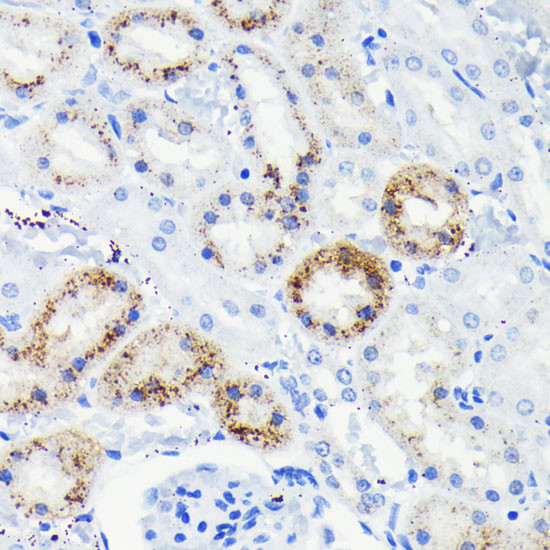
          FAS Antibody in Immunohistochemistry (Paraffin) (IHC (P))
          Group 53 Created with Sketch.
          FAS Antibody in Immunohistochemistry (Paraffin) (IHC (P))
          Group 53 Created with Sketch.

          图: 1 / 4

          {{ $ctrl.currentElement.advancedVerification.fullName }}
          {{ $ctrl.currentElement.advancedVerification.text }}

          FAS Antibody (MA5-35308) in IHC (P)

          Immunohistochemistry analysis of FAS in paraffin-embedded rat kidney. Samples were incubated with FAS Monoclonal antibody (Product # MA5-35308) using a dilution of 1:100 (40x lens). Perform microwave antigen retrieval with 10 mM PBS buffer pH 7.2 before commencing with IHC staining protocol. {{ $ctrl.currentElement.advancedVerification.fullName }} 验证信息 View more
          已发表图片由___提供 benchsci-logo
          PMID: {{$ctrl.currentElement.benchSciPubmedId}}
          查看产品

          {{$ctrl.videoDesc}}

          {{$ctrl.videoLongDesc}}

          FAS Antibody in Immunohistochemistry (Paraffin) (IHC (P))
          FAS Antibody in Western Blot (WB)
          FAS Antibody in Western Blot (WB)
          FAS Antibody
          FAS Recombinant Rabbit Monoclonal Antibody (5D10O3)

          产品信息

          MA5-35308

          应用
          建议稀释比
          已发表文章

          免疫印迹 (WB)

          1:1,000-1:2,000
          -

          免疫组化(石蜡) (IHC (P))

          1:100-1:500
          -

          酶联免疫吸附实验 (ELISA)

          1 µg/mL
          -
          产品规格

          种属反应

          Human, Rat

          宿主/亚型

          Rabbit / IgG

          Expression System

          HEK293 cells

          分类

          Recombinant Monoclonal

          类型

          Antibody

          克隆号

          5D10O3

          抗原

          Synthetic peptide
          3D表位/免疫原

          偶联物

          Unconjugated Unconjugated Unconjugated

          形式

          Liquid

          浓度

          0.5 mg/mL

          规格

          50 µg

          纯化类型

          Affinity Chromatography

          保存液

          PBS, pH 7.3, with 50% glycerol, 0.05% BSA

          内含物

          0.02% sodium azide

          保存条件

          -20°C, Avoid Freeze/Thaw Cycles

          运输条件

          Ambient (domestic); Wet ice (international)

          RRID

          AB_2849210

          产品详细信息

          Immunogen sequence: EGLHHDGQFC HKPCPPGERK ARDCTVNGDE PDCVPCQEGK EYTDKAHFSS KCRRCRLCDE GHGLEVEINC TRTQNTKCRC KPNFFCNSTV CEHCDPCTKC E

          靶标信息

          CD95, also known as Fas or APO-1, is a 46 kDa transmembrane glycoprotein that functions as a cell death receptor in the tumor necrosis factor receptor (TNFR) superfamily. It is expressed by a wide range of hematopoietic and non-hematopoietic cells, including monocytes, neutrophils, lymphocytes, and fibroblasts. CD95 also exists in a soluble form weighing approximately 26 kDa. The interaction of CD95 with its ligand, FasL, induces apoptosis, playing a crucial role in peripheral tolerance and anti-viral immune responses. Upon stimulation, CD95 leads to the aggregation of its intracellular Fas-associated death domains (FADD), formation of the death-inducing signaling complex (DISC), and activation of caspases. This cascade results in apoptosis. CD95 is also involved in activating NF-kappaB, MAPK3/ERK1, and MAPK8/JNK, and transduces proliferative signals in normal diploid fibroblasts and T cells. There are at least eight alternatively spliced transcript variants encoding seven distinct isoforms of CD95. Isoforms lacking the transmembrane domain may negatively regulate apoptosis mediated by the full-length isoform. The Fas/Fas ligand system is implicated in several human diseases, including AIDS, hepatitis, and cancer, highlighting its importance in immune regulation and disease pathology.

          仅用于科研。不用于诊断过程。未经明确授权不得转售。

          篇参考文献 (0)

          您是否在文献中引用过该产品?请点击下方按钮邮件告知我们。
          引用该产品

          生物信息学

          蛋白别名: 774delG; 943dupG; Apo-1 antigen; APO-1 cell surface antigen; Apo-1 Fas; Apo1 antigen; apoptosis antigen 1; apoptosis signaling receptor FAS; Apoptosis-mediating surface antigen FAS; CD95; CD95 antigen; FAS; Fas (TNF receptor superfamily, member 6); Fas AMA; Fas antigen (ATP1); Fas receptor; FAS9; FASLG receptor; mutant tumor necrosis receptor superfamily member 6; OTTHUMP00000020045; OTTHUMP00000020046; OTTHUMP00000020051; OTTHUMP00000059646; TNF receptor superfamily member 6; TNFRSF6; Tumor necrosis factor receptor superfamily member 6; Tumor necrosis factor receptor superfamily, member 6; unnamed protein product

          查看更多 收起

          基因别名: ALPS1A; APO-1; APT1; CD95; FAS; FAS1; FASTM; TNFRSF6

          查看更多 收起

          UniProt ID: (Human) P25445, (Rat) Q63199

          查看更多 收起

          Entrez Gene ID: (Human) 355, (Rat) 246097

          查看更多 收起

          功能
          transmembrane signaling receptor activity tumor necrosis factor-activated receptor activity protein binding calmodulin binding kinase binding signaling receptor activity identical protein binding protease binding receptor activity protein complex binding transmembrane signal receptor
          参与通路
          apoptotic process activation-induced cell death of T cells immune response signal transduction extrinsic apoptotic signaling pathway via death domain receptors regulation of stress-activated MAPK cascade tumor necrosis factor-mediated signaling pathway cellular response to amino acid starvation Fas signaling pathway regulation of apoptotic process positive regulation of apoptotic process negative regulation of apoptotic process protein-containing complex assembly cellular response to mechanical stimulus cellular response to hyperoxia motor neuron apoptotic process extrinsic apoptotic signaling pathway necroptotic signaling pathway positive regulation of reactive oxygen species biosynthetic process positive regulation of apoptotic signaling pathway ovarian follicle atresia response to hypoxia immunoglobulin production renal system process inflammatory cell apoptotic process obsolete transformed cell apoptotic process spermatogenesis aging circadian rhythm response to toxic substance response to inorganic substance gene expression regulation of gene expression positive regulation of cell death B cell mediated immunity telencephalon development dendrite regeneration positive regulation of protein homooligomerization response to lipopolysaccharide response to cytokine regulation of cell proliferation response to drug ovulation cycle chordate embryonic development T cell homeostasis positive regulation of cysteine-type endopeptidase activity involved in apoptotic process response to peptide hormone response to estrogen negative thymic T cell selection regulation of lymphocyte differentiation regulation of myeloid cell differentiation response to cycloheximide spleen development negative regulation of B cell activation protein homooligomerization response to glucocorticoid neuron apoptotic process maternal process involved in female pregnancy cellular response to hydrogen peroxide response to growth factor cellular response to phenylalanine cellular response to cobalt ion cellular response to lithium ion cellular response to glucose stimulus cellular response to cytokine stimulus cellular response to interleukin-1 cellular response to tumor necrosis factor cellular response to estrogen stimulus cellular response to organic cyclic compound cellular response to hypoxia cellular response to hydrostatic pressure apoptotic signaling pathway extrinsic apoptotic signaling pathway in absence of ligand hepatocyte apoptotic process liver regeneration response to fluoride positive regulation of extrinsic apoptotic signaling pathway in absence of ligand
          It has to be done as per old AB suggested Products section.

          Disclaimer

          Close

          Clicking the images or links will redirect you to a website hosted by BenchSci that provides third-party scientific content. Neither the content nor the BenchSci technology and processes for selection have been evaluated by us; we are providing them as-is and without warranty of any kind, including for use or application of the Thermo Fisher Scientific products presented.

          guarantee_icon

          性能保障

          只要您发现Invitrogen抗体在实验中的表现与网站或说明书的所述内容不符,您即可享受免费退换货服务。*

          了解更多
          help_icon

          随时为您服务

          获取常见问题的专家解答,或者直接联系我们的技术专家,咨询应用、设备、常规产品使用问题。

          联系技术支持
          订购 Plus Icon Minus Icon
          • 订单状态查询
          • 订单支持
          • 货号直购
          • 现货供应中心
          • 电子采购
          支持 Plus Icon Minus Icon
          • 帮助&支持
          • 联系我们 - 400 820 8982
          • 技术支持中心
          • 查找文件&证书
          • 报告网站问题
          资源 Plus Icon Minus Icon
          • 学习中心
          • 促销
          • 活动&研讨会
          • 社交媒体
          关于赛默飞 Plus Icon Minus Icon
          • 关于我们
          • 招聘 招聘
          • 投资者关系 投资者关系
          • 新闻 新闻
          • 社会责任 社会责任
          • 商标
          • 政策和通知
          品牌 Plus Icon Minus Icon
          • Thermo Scientific
          • Applied Biosystems
          • Invitrogen
          • Gibco
          • Ion Torrent
          • Unity Lab Services
          • Patheon
          • PPD
          • 服务条款
          • 隐私政策
          • 定价和运输保险政策
          © 2006-2026 Thermo Fisher Scientific Inc. All rights reserved. All trademarks are the property of Thermo Fisher Scientific and its subsidiaries unless otherwise specified.
          China flag icon
          China
          本网站销售的所有产品均不得用于人类或动物之临床诊断或治疗,仅可用于工业或者科研等非医疗目的。
             电子营业执照 | 经营证照公示 | ICP备案号:沪ICP备11003924号 | 沪公网安备 31011502006935号

          Your items have has been added!


          Host server : magellan-search-green-6479c7f679-v472f:80/100.66.78.195:80.
          git-commit: b70c0dceb888abc3b0dcebb5bc3a5b8753e7e816
          git-url: https://github.com/thermofisher/magellan-search
          git-branch: release/2.50.0-Offline