Hamburger Menu Button
Thermo Fisher Scientific Logo
登录
没有账号?建立账号 注册
  • 产品
    • 抗体
    • 引物合成
    • GeneArt Gene Synthesis Instant Designer
    • TaqMan Assay and Array Search
    • PCR 设备和耗材
    • 色谱柱和纯化柱
    • 实验室离心机
    • 分子生物学试剂和试剂盒
    • 实验室塑料耗材及用品
    • 查看所有产品分类
  • 应用和技术
    • 色谱
    • 细胞转染和培养
    • 实时荧光定量PCR
    • 质谱
    • 实验室塑料耗材及用品
    • 电子显微镜
    • 蛋白质生物学
    • PCR
    • RNAi
    • 环境
    • 查看所有应用和技术
  • 服务
    • 定制服务
    • 企业级实验室信息化服务
    • 金融&租赁服务
    • 仪器服务
    • OEM和商业供应
    • 培训服务
    • 360° CDMO 和 CRO 服务
    • CDMO 服务
    • 临床试验 CRO 服务
    • Unity Lab Services
    • 查看所有帮助和支持
  • 帮助和支持
    • 学习中心
    • 联系我们
    • 更改国家或地区
    • 查看所有帮助和支持
  • 热门产品
    • TaqMan Real-Time PCR Assays
      TaqMan 实时荧光定量 PCR 试剂盒
    • Antibodies
      抗体
    • Oligos, Primers & Probes
      寡核苷酸、引物、探针
    • GeneArt Gene Synthesis
      GeneArt 基因合成
    • Cell Culture Plastics
      细胞培养耗材
  • Who We Serve
    • 抗体治疗解决方案
    • 细胞与基因治疗解决方案
    • 学术科研
    • 工业与应用
  • 联系我们
  • 货号直购
  • 订单查询
  • 查找文件&证书
Thermo Fisher Scientific Logo

Search

搜索全部或下列指定分类
Search button
          • 联系我们
          • 货号直购
          • 登录
            登录
            没有账号?建立账号 注册
            • 我的账号
            • 订单
            • 会员中心
            • 账单及发票查询
            • 定制产品及项目
          • Primary Antibodies ›
          • FOXO3A Antibodies

          Proteintech

          FOXO3A Monoclonal Antibody (1F12D11)

          45 篇参考文献
          查看其他51个FOXO3A抗体

          {{$productOrderCtrl.translations['antibody.pdp.commerceCard.promotion.promotions']}}

          {{$productOrderCtrl.translations['antibody.pdp.commerceCard.promotion.viewpromo']}}

          {{$productOrderCtrl.translations['antibody.pdp.commerceCard.promotion.promocode']}}: {{promo.promoCode}} {{promo.promoTitle}} {{promo.promoDescription}}. {{$productOrderCtrl.translations['antibody.pdp.commerceCard.promotion.learnmore']}}

          说明书
          证书
          实验方案
          问题与答案
          技术支持
          说明书
          证书
          实验方案
          问题与答案
          技术支持
          说明书
          证书
          实验方案
          问题与答案
          技术支持

          Cite FOXO3A Monoclonal Antibody (1F12D11)

          Additional Information:
          {{banner.description}}
          {{$ctrl.isSkuNotesCollapsed ? 'View more' : 'View less'}}
          • 抗体检测数据 (15)
          FOXO3A Antibody in Immunocytochemistry (ICC/IF)
          Group 53 Created with Sketch.
          FOXO3A Antibody in Immunocytochemistry (ICC/IF)
          Group 53 Created with Sketch.

          图: 1 / 15

          {{ $ctrl.currentElement.advancedVerification.fullName }}
          {{ $ctrl.currentElement.advancedVerification.text }}

          FOXO3A Antibody (66428-1-IG) in ICC/IF

          Immunofluorescent analysis of ( 4% PFA ) fixed HepG2 cells using 66428-1-IG (FOXO3A antibody) at dilution of 1:50 and Alexa Fluor 488-conjugated AffiniPure Goat Anti-mouse IGG (H+L). {{ $ctrl.currentElement.advancedVerification.fullName }} 验证信息 View more
          已发表图片由___提供 benchsci-logo
          PMID: {{$ctrl.currentElement.benchSciPubmedId}}
          查看产品

          {{$ctrl.videoDesc}}

          {{$ctrl.videoLongDesc}}

          FOXO3A Antibody in Immunocytochemistry (ICC/IF)
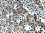
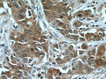
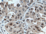
          FOXO3A Antibody in Immunohistochemistry (Paraffin) (IHC (P))
          FOXO3A Antibody in Immunohistochemistry (Paraffin) (IHC (P))
          FOXO3A Antibody in Immunohistochemistry (Paraffin) (IHC (P))
          FOXO3A Antibody in Immunohistochemistry (Paraffin) (IHC (P))
          FOXO3A Antibody in Immunohistochemistry (Paraffin) (IHC (P))
          FOXO3A Antibody in Immunohistochemistry (Paraffin) (IHC (P))
          FOXO3A Antibody in Immunohistochemistry (Paraffin) (IHC (P))
          FOXO3A Antibody in Immunohistochemistry (Paraffin) (IHC (P))
          FOXO3A Antibody in Western Blot (WB)
          FOXO3A Antibody in Western Blot (WB)
          FOXO3A Antibody in Western Blot (WB)
          FOXO3A Antibody in Western Blot (WB)
          FOXO3A Antibody in Western Blot (WB)
          FOXO3A Antibody in Immunoprecipitation (IP)
          FOXO3A Monoclonal Antibody (1F12D11)

          产品信息

          66428-1-IG

          应用
          建议稀释比
          已发表文章

          免疫印迹 (WB)

          1:1,000-1:4,000
          查看23篇已发表文章 23篇已发表文章

          免疫组化 (IHC)

          -
          查看4篇已发表文章 4篇已发表文章

          免疫组化(石蜡) (IHC (P))

          1:250-1:1,000
          -

          免疫细胞化学 (ICC/IF)

          1:50-1:500
          查看9篇已发表文章 9篇已发表文章

          免疫沉淀 (IP)

          0.5-4.0 µg
          查看6篇已发表文章 6篇已发表文章

          染色质免疫沉淀 实验 (ChIP)

          -
          查看1篇已发表文章 1篇已发表文章

          其他PubMed (Misc)

          -
          查看2篇已发表文章 2篇已发表文章
          产品规格

          种属反应

          Human, Mouse, Rat

          已发表种属

          Human, Mouse, Rat

          宿主/亚型

          Mouse / IgG2a

          分类

          Monoclonal

          类型

          Antibody

          克隆号

          1F12D11

          抗原

          FOXO3A Fusion Protein Ag1289 (325-673 aa encoded by BC021224)
          3D表位/免疫原

          偶联物

          Unconjugated Unconjugated Unconjugated

          形式

          Liquid

          浓度

          1 mg/mL

          规格

          150 µg

          纯化类型

          Protein A

          保存液

          PBS, pH 7.3, with 50% glycerol

          内含物

          0.02% sodium azide

          保存条件

          -20°C

          运输条件

          Wet ice (domestic); Dry ice (international)

          产品详细信息

          The calculated molecular weight of FOXO3 is 71 kDa, but some experiments using a FOXO3a specific antibody showed the expression of a 90 kDa full-length FOXO3a protein (Full) and a 40 kDa processed FOXO3a product (Short).

          Immunogen sequence: SPIMASTEL DEVQDDDAPL SPMLYSSSAS LSPSVSKPCT VELPRLTDMA GTMNLNDGLT ENLMDDLLDN ITLPPSQPSP TGGLMQRSSS FPYTTKGSGL GSPTSSFNST VFGPSSLNSL RQSPMQTIQE NKPATFSSMS HYGNQTLQDL LTSDSLSHSD VMMTQSDPLM SQASTAVSAQ NSRRNVMLRN DPMMSFAAQP NQGSLVNQNL LHHQHQTQGA LGGSRALSNS VSNMGLSESS SLGSAKHQQQ SPVSQSMQTL SDSLSGSSLY STSANLPVMG HEKFPSDLDL DMFNGSLECD MESIIRSELM DADGLDFNFD SLISTQNVVG LNVGNFTGAK QASSQSWVPG (325-673 aa encoded by BC021224)

          靶标信息

          USP48 is a protein containing domains that associate it with the peptidase family C19, also known as family 2 of ubiquitin carboxyl-terminal hydrolases. Family members function as deubiquitinating enzymes, recognizing and hydrolyzing the peptide bond at the C-terminal glycine of ubiquitin. Enzymes in peptidase family C19 are involved in the processing of poly-ubiquitin precursors as well as that of ubiquitinated proteins.

          仅用于科研。不用于诊断过程。未经明确授权不得转售。

          生物信息学

          蛋白别名: AF6q21 protein; forkhead box O3A; Forkhead box protein O3; forkhead homolog (rhabdomyosarcoma) like 1; Forkhead in rhabdomyosarcoma-like 1; forkhead protein FKHR2; forkhead, Drosophila, homolog of, in rhabdomyosarcoma-like 1; FOXO3A-; unnamed protein product

          查看更多 收起

          基因别名: 1110048B16Rik; 2010203A17Rik; AF6q21; C76856; Fkhr2; FKHRL1; FKHRL1P2; FOXO2; FOXO3; FOXO3A

          查看更多 收起

          UniProt ID: (Human) O43524, (Mouse) Q9WVH4

          查看更多 收起

          Entrez Gene ID: (Human) 2309, (Mouse) 56484, (Rat) 294515

          查看更多 收起

          功能
          transcription regulatory region sequence-specific DNA binding RNA polymerase II core promoter proximal region sequence-specific DNA binding RNA polymerase II transcription factor activity, sequence-specific DNA binding transcription cofactor binding transcriptional repressor activity, RNA polymerase II transcription regulatory region sequence-specific binding transcriptional activator activity, RNA polymerase II transcription regulatory region sequence-specific binding DNA binding transcription factor activity, sequence-specific DNA binding protein binding beta-catenin binding protein kinase binding chromatin DNA binding mitochondrial RNA polymerase binding promoter specificity activity sequence-specific DNA binding sequence-specific double-stranded DNA binding core promoter binding
          参与通路
          negative regulation of transcription from RNA polymerase II promoter ovulation from ovarian follicle initiation of primordial ovarian follicle growth antral ovarian follicle growth oocyte maturation transcription, DNA-templated regulation of transcription, DNA-templated regulation of transcription from RNA polymerase II promoter transcription from RNA polymerase II promoter regulation of translation apoptotic process anatomical structure morphogenesis cell differentiation DNA damage response, signal transduction by p53 class mediator cellular response to oxidative stress glucose homeostasis positive regulation of neuron apoptotic process positive regulation of erythrocyte differentiation positive regulation of transcription, DNA-templated positive regulation of transcription from RNA polymerase II promoter negative regulation of canonical Wnt signaling pathway neuronal stem cell population maintenance extrinsic apoptotic signaling pathway in absence of ligand regulation of neural precursor cell proliferation regulation of reactive oxygen species metabolic process transcription from mitochondrial promoter response to xenobiotic stimulus positive regulation of autophagy positive regulation of muscle atrophy negative regulation of cell migration response to nutrient levels tumor necrosis factor-mediated signaling pathway cellular response to glucose starvation response to starvation positive regulation of apoptotic process positive regulation of regulatory T cell differentiation negative regulation of neuron differentiation brain morphogenesis canonical Wnt signaling pathway response to fatty acid cellular response to glucose stimulus cellular response to corticosterone stimulus cellular response to hypoxia response to dexamethasone positive regulation of hydrogen peroxide-mediated programmed cell death positive regulation of pri-miRNA transcription from RNA polymerase II promoter positive regulation of reactive oxygen species biosynthetic process cellular response to beta-amyloid cellular response to nerve growth factor stimulus response to water-immersion restraint stress positive regulation of endothelial cell apoptotic process
          It has to be done as per old AB suggested Products section.

          Disclaimer

          Close

          Clicking the images or links will redirect you to a website hosted by BenchSci that provides third-party scientific content. Neither the content nor the BenchSci technology and processes for selection have been evaluated by us; we are providing them as-is and without warranty of any kind, including for use or application of the Thermo Fisher Scientific products presented.

          guarantee_icon

          性能保障

          只要您发现Invitrogen抗体在实验中的表现与网站或说明书的所述内容不符,您即可享受免费退换货服务。*

          了解更多
          help_icon

          随时为您服务

          获取常见问题的专家解答,或者直接联系我们的技术专家,咨询应用、设备、常规产品使用问题。

          联系技术支持
          订购 Plus Icon Minus Icon
          • 订单状态查询
          • 订单支持
          • 货号直购
          • 现货供应中心
          • 电子采购
          支持 Plus Icon Minus Icon
          • 帮助&支持
          • 联系我们 - 400 820 8982
          • 技术支持中心
          • 查找文件&证书
          • 报告网站问题
          资源 Plus Icon Minus Icon
          • 学习中心
          • 促销
          • 活动&研讨会
          • 社交媒体
          关于赛默飞 Plus Icon Minus Icon
          • 关于我们
          • 招聘 招聘
          • 投资者关系 投资者关系
          • 新闻 新闻
          • 社会责任 社会责任
          • 商标
          • 政策和通知
          品牌 Plus Icon Minus Icon
          • Thermo Scientific
          • Applied Biosystems
          • Invitrogen
          • Gibco
          • Ion Torrent
          • Unity Lab Services
          • Patheon
          • PPD
          • 服务条款
          • 隐私政策
          • 定价和运输保险政策
          © 2006-2026 Thermo Fisher Scientific Inc. All rights reserved. All trademarks are the property of Thermo Fisher Scientific and its subsidiaries unless otherwise specified.
          China flag icon
          China
          本网站销售的所有产品均不得用于人类或动物之临床诊断或治疗,仅可用于工业或者科研等非医疗目的。
             电子营业执照 | 经营证照公示 | ICP备案号:沪ICP备11003924号 | 沪公网安备 31011502006935号

          Your items have has been added!


          Host server : magellan-search-green-6479c7f679-zb4k5:80/100.66.74.142:80.
          git-commit: b70c0dceb888abc3b0dcebb5bc3a5b8753e7e816
          git-url: https://github.com/thermofisher/magellan-search
          git-branch: release/2.50.0-Offline