Hamburger Menu Button
Thermo Fisher Scientific Logo
登录
没有账号?建立账号 注册
  • 产品
    • 抗体
    • 引物合成
    • GeneArt Gene Synthesis Instant Designer
    • TaqMan Assay and Array Search
    • PCR 设备和耗材
    • 色谱柱和纯化柱
    • 实验室离心机
    • 分子生物学试剂和试剂盒
    • 实验室塑料耗材及用品
    • 查看所有产品分类
  • 应用和技术
    • 色谱
    • 细胞转染和培养
    • 实时荧光定量PCR
    • 质谱
    • 实验室塑料耗材及用品
    • 电子显微镜
    • 蛋白质生物学
    • PCR
    • RNAi
    • 环境
    • 查看所有应用和技术
  • 服务
    • 定制服务
    • 企业级实验室信息化服务
    • 金融&租赁服务
    • 仪器服务
    • OEM和商业供应
    • 培训服务
    • 360° CDMO 和 CRO 服务
    • CDMO 服务
    • 临床试验 CRO 服务
    • Unity Lab Services
    • 查看所有帮助和支持
  • 帮助和支持
    • 学习中心
    • 联系我们
    • 更改国家或地区
    • 查看所有帮助和支持
  • 热门产品
    • TaqMan Real-Time PCR Assays
      TaqMan 实时荧光定量 PCR 试剂盒
    • Antibodies
      抗体
    • Oligos, Primers & Probes
      寡核苷酸、引物、探针
    • GeneArt Gene Synthesis
      GeneArt 基因合成
    • Cell Culture Plastics
      细胞培养耗材
  • Who We Serve
    • 抗体治疗解决方案
    • 细胞与基因治疗解决方案
    • 学术科研
    • 工业与应用
  • 联系我们
  • 货号直购
  • 订单查询
  • 查找文件&证书
Thermo Fisher Scientific Logo

Search

搜索全部或下列指定分类
Search button
          • 联系我们
          • 货号直购
          • 登录
            登录
            没有账号?建立账号 注册
            • 我的账号
            • 订单
            • 会员中心
            • 账单及发票查询
            • 定制产品及项目
          • Primary Antibodies ›
          • FUT9 Antibodies

          Proteintech

          FUT9 Monoclonal Antibody (5D4G6)

          1 篇参考文献

          {{$productOrderCtrl.translations['antibody.pdp.commerceCard.promotion.promotions']}}

          {{$productOrderCtrl.translations['antibody.pdp.commerceCard.promotion.viewpromo']}}

          {{$productOrderCtrl.translations['antibody.pdp.commerceCard.promotion.promocode']}}: {{promo.promoCode}} {{promo.promoTitle}} {{promo.promoDescription}}. {{$productOrderCtrl.translations['antibody.pdp.commerceCard.promotion.learnmore']}}

          说明书
          证书
          实验方案
          问题与答案
          技术支持
          说明书
          证书
          实验方案
          问题与答案
          技术支持
          说明书
          证书
          实验方案
          问题与答案
          技术支持

          Cite FUT9 Monoclonal Antibody (5D4G6)

          Additional Information:
          {{banner.description}}
          {{$ctrl.isSkuNotesCollapsed ? 'View more' : 'View less'}}
          • 抗体检测数据 (13)
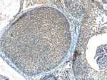
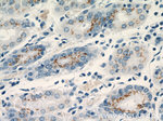
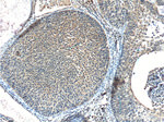
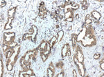
          FUT9 Antibody in Immunohistochemistry (Paraffin) (IHC (P))
          Group 53 Created with Sketch.
          FUT9 Antibody in Immunohistochemistry (Paraffin) (IHC (P))
          Group 53 Created with Sketch.

          图: 1 / 13

          {{ $ctrl.currentElement.advancedVerification.fullName }}
          {{ $ctrl.currentElement.advancedVerification.text }}

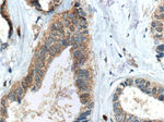
          FUT9 Antibody (60230-1-IG) in IHC (P)

          Immunohistochemistry of paraffin-embedded human cervical cancer tissue slide using 60230-1-Ig (FUT9 Antibody) at dilution of 1:200 (under 40x lens). heat mediated antigen retrieved with Tris-EDTA buffer (pH 9). {{ $ctrl.currentElement.advancedVerification.fullName }} 验证信息 View more
          已发表图片由___提供 benchsci-logo
          PMID: {{$ctrl.currentElement.benchSciPubmedId}}
          查看产品

          {{$ctrl.videoDesc}}

          {{$ctrl.videoLongDesc}}

          FUT9 Antibody in Immunohistochemistry (Paraffin) (IHC (P))
          FUT9 Antibody in Immunohistochemistry (Paraffin) (IHC (P))
          FUT9 Antibody in Immunohistochemistry (Paraffin) (IHC (P))
          FUT9 Antibody in Immunohistochemistry (Paraffin) (IHC (P))
          FUT9 Antibody in Immunohistochemistry (Paraffin) (IHC (P))
          FUT9 Antibody in Immunohistochemistry (Paraffin) (IHC (P))
          FUT9 Antibody in Immunohistochemistry (Paraffin) (IHC (P))
          FUT9 Antibody in Immunohistochemistry (Paraffin) (IHC (P))
          FUT9 Antibody in Immunohistochemistry (PFA fixed) (IHC (PFA))
          FUT9 Antibody in Western Blot (WB)
          FUT9 Antibody in Western Blot (WB)
          FUT9 Antibody in Western Blot (WB)
          FUT9 Antibody in Western Blot (WB)
          FUT9 Monoclonal Antibody (5D4G6)

          产品信息

          60230-1-IG

          应用
          建议稀释比
          已发表文章

          免疫印迹 (WB)

          1:500-1:2,000
          查看1篇已发表文章 1篇已发表文章

          免疫组化(石蜡) (IHC (P))

          1:20-1:200
          -

          免疫组织化学(多聚甲醛固定) (IHC (PFA))

          1:50
          -
          产品规格

          种属反应

          Human, Mouse, Pig, Rat

          宿主/亚型

          Mouse / IgG2a

          分类

          Monoclonal

          类型

          Antibody

          克隆号

          5D4G6

          抗原

          FUT9 Fusion Protein Ag8298 (32-359 aa encoded by BC036101)
          3D表位/免疫原

          偶联物

          Unconjugated Unconjugated Unconjugated
          • CoraLite Plus 488
          • Request custom conjugation

          形式

          Liquid

          浓度

          1.5 mg/mL

          规格

          225 µg

          纯化类型

          Protein A

          保存液

          PBS, pH 7.3, with 50% glycerol

          内含物

          0.02% sodium azide

          保存条件

          -20°C

          运输条件

          Wet ice (domestic); Dry ice (international)

          产品详细信息

          Immunogen sequence: PTNSWIFSP MESASSVLKM KNFFSTKTDY FNETTILVWV WPFGQTFDLT SCQAMFNIQG CHLTTDRSLY NKSHAVLIHH RDISWDLTNL PQQARPPFQK WIWMNLESPT HTPQKSGIEH LFNLTLTYRR DSDIQVPYGF LTVSTNPFVF EVPSKEKLVC WVVSNWNPEH ARVKYYNELS KSIEIHTYGQ AFGEYVNDKN LIPTISACKF YLSFENSIHK DYITEKLYNA FLAGSVPVVL GPSRENYENY IPADSFIHVE DYNSPSELAK YLKEVDKNNK LYLSYFNWRK DFTVNLPRFW ESHACLACDH VKRHQEYKSV GNLEKWFWN (32-359 aa encoded by BC036101)

          靶标信息

          Transfers a fucose to lacto-N-neotetraose but not to either alpha2,3-sialyl lacto-N-neotetraose or lacto-N-tetraose. Can catalyze the last step in the biosynthesis of Lewis antigen, the addition of a fucose to precursor polysaccharides.

          仅用于科研。不用于诊断过程。未经明确授权不得转售。

          生物信息学

          蛋白别名: 4-galactosyl-N-acetylglucosaminide 3-alpha-L-fucosyltransferase 9; alpha-(1,3)-fucosyltransferase 9; alpha-1,3-L-fucosyltransferase; Fuc-TIX; Fucosyltransferase 9; fucosyltransferase 9 (alpha (1,3) fucosyltransferase); Fucosyltransferase IX; fucT-IX; Galactoside 3-L-fucosyltransferase; unnamed protein product

          查看更多 收起

          基因别名: AI746471; AU067636; Fuc-TIX; FUT9; mFuc-TIX; mFUT9

          查看更多 收起

          UniProt ID: (Human) Q9Y231, (Rat) Q99JB3, (Mouse) O88819

          查看更多 收起

          Entrez Gene ID: (Pig) 102160171, (Human) 10690, (Rat) 84597, (Mouse) 14348

          查看更多 收起

          功能
          protein binding fucosyltransferase activity transferase activity transferase activity, transferring glycosyl groups 4-galactosyl-N-acetylglucosaminide 3-alpha-L-fucosyltransferase activity protein homodimerization activity alpha-(1->3)-fucosyltransferase activity alpha-1,6-mannosyltransferase activity alpha-1,2-mannosyltransferase activity mannosyltransferase activity alpha-1,3-mannosyltransferase activity alpha-1,3-galactosyltransferase activity UDP-glucose:glycoprotein glucosyltransferase activity glycolipid mannosyltransferase activity oligosaccharyl transferase activity dolichyl-phosphate-glucose-glycolipid alpha-glucosyltransferase activity acetylglucosaminyltransferase activity acetylgalactosaminyltransferase activity galactosyltransferase activity O antigen polymerase activity lipopolysaccharide-1,6-galactosyltransferase activity cellulose synthase activity 9-phenanthrol UDP-glucuronosyltransferase activity 1-phenanthrol glycosyltransferase activity 9-phenanthrol glycosyltransferase activity 1,2-dihydroxy-phenanthrene glycosyltransferase activity phenanthrol glycosyltransferase activity beta-1,4-mannosyltransferase activity alpha-1,2-galactosyltransferase activity dolichyl pyrophosphate Man7GlcNAc2 alpha-1,3-glucosyltransferase activity lipopolysaccharide-1,5-galactosyltransferase activity dolichyl pyrophosphate Man9GlcNAc2 alpha-1,3-glucosyltransferase activity dolichyl pyrophosphate Glc1Man9GlcNAc2 alpha-1,3-glucosyltransferase activity inositol phosphoceramide synthase activity glucosyltransferase activity alpha-(1->6)-fucosyltransferase activity indole-3-butyrate beta-glucosyltransferase activity salicylic acid glucosyltransferase (ester-forming) activity salicylic acid glucosyltransferase (glucoside-forming) activity benzoic acid glucosyltransferase activity chondroitin hydrolase activity dolichyl-pyrophosphate Man7GlcNAc2 alpha-1,6-mannosyltransferase activity cytokinin 9-beta-glucosyltransferase activity glycosyltransferase
          参与通路
          polysaccharide biosynthetic process carbohydrate metabolic process protein glycosylation protein N-linked glycosylation protein O-linked glycosylation lipid metabolic process sphingolipid metabolic process glycosphingolipid biosynthetic process oligosaccharide biosynthetic process positive regulation of neuron projection development neuron differentiation fucosylation N-glycan fucosylation neuronal stem cell division L-fucose catabolic process Lewis x epitope biosynthetic process regulation of leukocyte cell-cell adhesion regulation of leukocyte tethering or rolling nervous system development
          It has to be done as per old AB suggested Products section.

          Disclaimer

          Close

          Clicking the images or links will redirect you to a website hosted by BenchSci that provides third-party scientific content. Neither the content nor the BenchSci technology and processes for selection have been evaluated by us; we are providing them as-is and without warranty of any kind, including for use or application of the Thermo Fisher Scientific products presented.

          guarantee_icon

          性能保障

          只要您发现Invitrogen抗体在实验中的表现与网站或说明书的所述内容不符,您即可享受免费退换货服务。*

          了解更多
          help_icon

          随时为您服务

          获取常见问题的专家解答,或者直接联系我们的技术专家,咨询应用、设备、常规产品使用问题。

          联系技术支持
          订购 Plus Icon Minus Icon
          • 订单状态查询
          • 订单支持
          • 货号直购
          • 现货供应中心
          • 电子采购
          支持 Plus Icon Minus Icon
          • 帮助&支持
          • 联系我们 - 400 820 8982
          • 技术支持中心
          • 查找文件&证书
          • 报告网站问题
          资源 Plus Icon Minus Icon
          • 学习中心
          • 促销
          • 活动&研讨会
          • 社交媒体
          关于赛默飞 Plus Icon Minus Icon
          • 关于我们
          • 招聘 招聘
          • 投资者关系 投资者关系
          • 新闻 新闻
          • 社会责任 社会责任
          • 商标
          • 政策和通知
          品牌 Plus Icon Minus Icon
          • Thermo Scientific
          • Applied Biosystems
          • Invitrogen
          • Gibco
          • Ion Torrent
          • Unity Lab Services
          • Patheon
          • PPD
          • 服务条款
          • 隐私政策
          • 定价和运输保险政策
          © 2006-2026 Thermo Fisher Scientific Inc. All rights reserved. All trademarks are the property of Thermo Fisher Scientific and its subsidiaries unless otherwise specified.
          China flag icon
          China
          本网站销售的所有产品均不得用于人类或动物之临床诊断或治疗,仅可用于工业或者科研等非医疗目的。
             电子营业执照 | 经营证照公示 | ICP备案号:沪ICP备11003924号 | 沪公网安备 31011502006935号

          Your items have has been added!


          Host server : magellan-search-green-6479c7f679-sz4vp:80/100.66.76.236:80.
          git-commit: b70c0dceb888abc3b0dcebb5bc3a5b8753e7e816
          git-url: https://github.com/thermofisher/magellan-search
          git-branch: release/2.50.0-Offline