Hamburger Menu Button
Thermo Fisher Scientific Logo
登录
没有账号?建立账号 注册
  • 产品
    • 抗体
    • 引物合成
    • GeneArt Gene Synthesis Instant Designer
    • TaqMan Assay and Array Search
    • PCR 设备和耗材
    • 色谱柱和纯化柱
    • 实验室离心机
    • 分子生物学试剂和试剂盒
    • 实验室塑料耗材及用品
    • 查看所有产品分类
  • 应用和技术
    • 色谱
    • 细胞转染和培养
    • 实时荧光定量PCR
    • 质谱
    • 实验室塑料耗材及用品
    • 电子显微镜
    • 蛋白质生物学
    • PCR
    • RNAi
    • 环境
    • 查看所有应用和技术
  • 服务
    • 定制服务
    • 企业级实验室信息化服务
    • 金融&租赁服务
    • 仪器服务
    • OEM和商业供应
    • 培训服务
    • 360° CDMO 和 CRO 服务
    • CDMO 服务
    • 临床试验 CRO 服务
    • Unity Lab Services
    • 查看所有帮助和支持
  • 帮助和支持
    • 学习中心
    • 联系我们
    • 更改国家或地区
    • 查看所有帮助和支持
  • 热门产品
    • TaqMan Real-Time PCR Assays
      TaqMan 实时荧光定量 PCR 试剂盒
    • Antibodies
      抗体
    • Oligos, Primers & Probes
      寡核苷酸、引物、探针
    • GeneArt Gene Synthesis
      GeneArt 基因合成
    • Cell Culture Plastics
      细胞培养耗材
  • Who We Serve
    • 抗体治疗解决方案
    • 细胞与基因治疗解决方案
    • 学术科研
    • 工业与应用
  • 联系我们
  • 货号直购
  • 订单查询
  • 查找文件&证书
Thermo Fisher Scientific Logo

Search

搜索全部或下列指定分类
Search button
          • 联系我们
          • 货号直购
          • 登录
            登录
            没有账号?建立账号 注册
            • 我的账号
            • 订单
            • 会员中心
            • 账单及发票查询
            • 定制产品及项目
          • Primary Antibodies ›
          • FceR1 alpha Antibodies

          Invitrogen

          FceR1 alpha Monoclonal Antibody (CRA2 (AER24))

          查看其他53个FceR1 alpha抗体

          {{$productOrderCtrl.translations['antibody.pdp.commerceCard.promotion.promotions']}}

          {{$productOrderCtrl.translations['antibody.pdp.commerceCard.promotion.viewpromo']}}

          {{$productOrderCtrl.translations['antibody.pdp.commerceCard.promotion.promocode']}}: {{promo.promoCode}} {{promo.promoTitle}} {{promo.promoDescription}}. {{$productOrderCtrl.translations['antibody.pdp.commerceCard.promotion.learnmore']}}

          说明书
          证书
          实验方案
          问题与答案
          技术支持
          说明书
          证书
          实验方案
          问题与答案
          技术支持
          说明书
          证书
          实验方案
          问题与答案
          技术支持

          Cite FceR1 alpha Monoclonal Antibody (CRA2 (AER24))

          Additional Information:
          {{banner.description}}
          {{$ctrl.isSkuNotesCollapsed ? 'View more' : 'View less'}}
          • 抗体检测数据 (3)
          FceR1 alpha Antibody in Immunohistochemistry (Frozen) (IHC (F))
          Group 53 Created with Sketch.
          FceR1 alpha Antibody in Immunohistochemistry (Frozen) (IHC (F))
          Group 53 Created with Sketch.

          图: 1 / 3

          {{ $ctrl.currentElement.advancedVerification.fullName }}
          {{ $ctrl.currentElement.advancedVerification.text }}

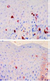
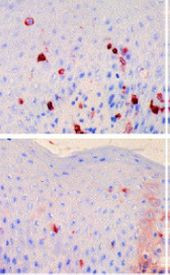
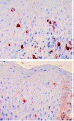
          FceR1 alpha Antibody (MA1-4998) in IHC (F)

          Immunohistochemical staining of skin sections from atopic dermatitis lesional skin with anti-FceR1 alpha antibodies. Acetone-fixed cryostat sections were incubated with either FceR1 alpha Monoclonal Antibody (Product # MA1-4997, clone CRA1)(top) or (Product # MA1-4998, clone CRA2)(bottom). Positive reactions were visualized using the LLSAB kit (Dako, Denmark). MA1-4997 recognizes the non-IgE binding site of... View More {{ $ctrl.currentElement.advancedVerification.fullName }} 验证信息 View more
          已发表图片由___提供 benchsci-logo
          PMID: {{$ctrl.currentElement.benchSciPubmedId}}
          查看产品

          {{$ctrl.videoDesc}}

          {{$ctrl.videoLongDesc}}

          FceR1 alpha Antibody in Immunohistochemistry (Frozen) (IHC (F))
          FceR1 alpha Antibody in Western Blot (WB)
          FceR1 alpha Antibody in Flow Cytometry (Flow)
          FceR1 alpha Monoclonal Antibody (CRA2 (AER24))

          产品信息

          MA1-4998

          应用
          建议稀释比
          已发表文章

          免疫印迹 (WB)

          1 µg/mL
          -

          免疫组化(石蜡) (IHC (P))

          Assay-dependent
          -

          免疫组化(冰冻) (IHC (F))

          Assay-dependent
          -

          流式细胞分析 (Flow)

          Assay-dependent
          -
          产品规格

          种属反应

          Human

          宿主/亚型

          Mouse / IgG1, kappa

          分类

          Monoclonal

          类型

          Antibody

          克隆号

          CRA2 (AER24)

          抗原

          Recombinant extracellular portion of recombinant human FcER1 alpha (corresponds to amino acids Met-26-197 excluding signal peptide 1-25).
          3D表位/免疫原

          偶联物

          Unconjugated Unconjugated Unconjugated
          • Biotin 
          • Request custom conjugation

          形式

          Liquid

          浓度

          1 mg/mL

          规格

          100 µg

          纯化类型

          IgG fraction

          保存液

          PBS, pH 7.4, with 50% glycerol

          内含物

          no preservative

          保存条件

          -20°C, Avoid Freeze/Thaw Cycles

          运输条件

          Ambient (domestic); Wet ice (international)

          RRID

          AB_1957997

          产品详细信息

          MA1-4998 detects Fc epsilonR1 alpha from human samples. The CRA2 (AER24) monoclonal antibody reacts with the Fc epsilonR1 alpha subunit on a region that overlaps the region of the IgE binding site, thus it competes with IgE for the receptor binding. Since

          MA1-4998 has been successfully used in Western blot, flow cytometry, and immunohistochemistry applications.

          The MA1-4998 immunogen is region of Fc epsilonR1 alpha which overlaps with the IgE binding site.

          The epitope has been mapped to amino acids 110-197.

          靶标信息

          Fc epsilon RI alpha, also known as FceR1 alpha, is a subunit of the high-affinity receptor for IgE, primarily expressed on mast cells and basophils. Its expression is upregulated by the presence of IgE. Fc epsilon RI alpha forms a tetrameric complex with one beta and two gamma subunits, which are essential for signal transduction. The beta and gamma subunits contain immunoreceptor tyrosine-based activation motifs (ITAMs). The Fc epsilon RI complex plays a crucial role in triggering IgE-mediated allergic reactions. When allergen-bound IgE molecules bring together two or more high-affinity IgE receptors, it leads to the release of mediators such as histamine, which are responsible for allergy symptoms. This process couples allergens and mast cells to initiate inflammatory responses characteristic of allergic disorders like hay fever and asthma. The release of histamine and proteases also leads to the synthesis of prostaglandins and leukotrienes, which are potent effectors of the hypersensitivity response.

          仅用于科研。不用于诊断过程。未经明确授权不得转售。

          篇参考文献 (0)

          您是否在文献中引用过该产品?请点击下方按钮邮件告知我们。
          引用该产品

          生物信息学

          蛋白别名: fc epsilon r1; Fc epsilon RI alpha-chain; Fc fragment of IgE receptor Ia; Fc fragment of IgE, high affinity I, receptor for; alpha polypeptide; Fc IgE receptor, alpha polypeptide; Fc-epsilon RI-alpha; FcepsilonRI alpha chain; FcepsilonRIalpha; FcERI; high affinity immunoglobulin epsilon receptor alpha-subunit; High affinity immunoglobulin epsilon receptor subunit alpha; IgE Fc receptor subunit alpha; immunoglobulin E receptor, high-affinity, of mast cells, alpha polypeptide; mast cell IgE receptor alpha-chain; RP11-550P17.3; unnamed protein product

          查看更多 收起

          基因别名: FCE1A; FCER1A; FcERI; FCERIA

          查看更多 收起

          UniProt ID: (Human) P12319

          查看更多 收起

          Entrez Gene ID: (Human) 2205

          查看更多 收起

          功能
          protein binding high-affinity IgE receptor activity IgE binding
          参与通路
          cell surface receptor signaling pathway immunoglobulin mediated immune response type I hypersensitivity Fc-epsilon receptor signaling pathway type 2 immune response mast cell degranulation eosinophil degranulation
          It has to be done as per old AB suggested Products section.

          Disclaimer

          Close

          Clicking the images or links will redirect you to a website hosted by BenchSci that provides third-party scientific content. Neither the content nor the BenchSci technology and processes for selection have been evaluated by us; we are providing them as-is and without warranty of any kind, including for use or application of the Thermo Fisher Scientific products presented.

          guarantee_icon

          性能保障

          只要您发现Invitrogen抗体在实验中的表现与网站或说明书的所述内容不符,您即可享受免费退换货服务。*

          了解更多
          help_icon

          随时为您服务

          获取常见问题的专家解答,或者直接联系我们的技术专家,咨询应用、设备、常规产品使用问题。

          联系技术支持
          订购 Plus Icon Minus Icon
          • 订单状态查询
          • 订单支持
          • 货号直购
          • 现货供应中心
          • 电子采购
          支持 Plus Icon Minus Icon
          • 帮助&支持
          • 联系我们 - 400 820 8982
          • 技术支持中心
          • 查找文件&证书
          • 报告网站问题
          资源 Plus Icon Minus Icon
          • 学习中心
          • 促销
          • 活动&研讨会
          • 社交媒体
          关于赛默飞 Plus Icon Minus Icon
          • 关于我们
          • 招聘 招聘
          • 投资者关系 投资者关系
          • 新闻 新闻
          • 社会责任 社会责任
          • 商标
          • 政策和通知
          品牌 Plus Icon Minus Icon
          • Thermo Scientific
          • Applied Biosystems
          • Invitrogen
          • Gibco
          • Ion Torrent
          • Unity Lab Services
          • Patheon
          • PPD
          • 服务条款
          • 隐私政策
          • 定价和运输保险政策
          © 2006-2026 Thermo Fisher Scientific Inc. All rights reserved. All trademarks are the property of Thermo Fisher Scientific and its subsidiaries unless otherwise specified.
          China flag icon
          China
          本网站销售的所有产品均不得用于人类或动物之临床诊断或治疗,仅可用于工业或者科研等非医疗目的。
             电子营业执照 | 经营证照公示 | ICP备案号:沪ICP备11003924号 | 沪公网安备 31011502006935号

          Your items have has been added!


          Host server : magellan-search-green-6479c7f679-2z78h:80/100.66.76.236:80.
          git-commit: b70c0dceb888abc3b0dcebb5bc3a5b8753e7e816
          git-url: https://github.com/thermofisher/magellan-search
          git-branch: release/2.50.0-Offline