Hamburger Menu Button
Thermo Fisher Scientific Logo
登录
没有账号?建立账号 注册
  • 产品
    • 抗体
    • 引物合成
    • GeneArt Gene Synthesis Instant Designer
    • TaqMan Assay and Array Search
    • PCR 设备和耗材
    • 色谱柱和纯化柱
    • 实验室离心机
    • 分子生物学试剂和试剂盒
    • 实验室塑料耗材及用品
    • 查看所有产品分类
  • 应用和技术
    • 色谱
    • 细胞转染和培养
    • 实时荧光定量PCR
    • 质谱
    • 实验室塑料耗材及用品
    • 电子显微镜
    • 蛋白质生物学
    • PCR
    • RNAi
    • 环境
    • 查看所有应用和技术
  • 服务
    • 定制服务
    • 企业级实验室信息化服务
    • 企业服务
    • 金融&租赁服务
    • 仪器服务
    • OEM和商业供应
    • 培训服务
    • 360° CDMO 和 CRO 服务
    • CDMO 服务
    • 临床试验 CRO 服务
    • 查看所有帮助和支持
  • 帮助和支持
    • 学习中心
    • 联系我们
    • 更改国家或地区
    • 查看所有帮助和支持
  • 热门产品
    • TaqMan Real-Time PCR Assays
      TaqMan 实时荧光定量 PCR 试剂盒
    • Antibodies
      抗体
    • Oligos, Primers & Probes
      寡核苷酸、引物、探针
    • GeneArt Gene Synthesis
      GeneArt 基因合成
    • Cell Culture Plastics
      细胞培养耗材
  • 联系我们
  • 货号直购
  • 订单查询
  • 查找文件&证书
Thermo Fisher Scientific Logo

Search

搜索全部或下列指定分类
Search button
          • 联系我们
          • 货号直购
          • 登录
            登录
            没有账号?建立账号 注册
            • 我的账号
            • 订单
            • 账单及发票查询
            • 定制产品及项目

          Disclaimer

          Clicking the images or links will redirect you to a website hosted by BenchSci that provides third-party scientific content. Neither the content nor the BenchSci technology and processes for selection have been evaluated by us; we are providing them as-is and without warranty of any kind, including for use or application of the Thermo Fisher Scientific products presented.

          • Primary Antibodies ›
          • Fibronectin Antibodies

          NeoBiotechnologies

          Fibronectin (Total) Monoclonal Antibody (C6F10)

          查看其他58个Fibronectin抗体

          {{$productOrderCtrl.translations['antibody.pdp.commerceCard.promotion.promotions']}}

          {{$productOrderCtrl.translations['antibody.pdp.commerceCard.promotion.viewpromo']}}

          {{$productOrderCtrl.translations['antibody.pdp.commerceCard.promotion.promocode']}}: {{promo.promoCode}} {{promo.promoTitle}} {{promo.promoDescription}}. {{$productOrderCtrl.translations['antibody.pdp.commerceCard.promotion.learnmore']}}

          说明书
          证书
          实验方案
          问题与答案
          技术支持
          说明书
          证书
          实验方案
          问题与答案
          技术支持
          说明书
          证书
          实验方案
          问题与答案
          技术支持

          Cite Fibronectin (Total) Monoclonal Antibody (C6F10)

          Additional Information:
          {{banner.description}}
          {{$ctrl.isSkuNotesCollapsed ? 'View more' : 'View less'}}
          • 抗体检测数据 (3)
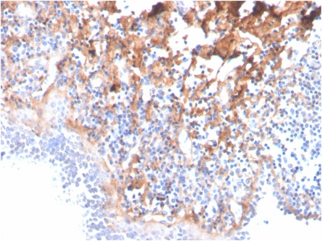
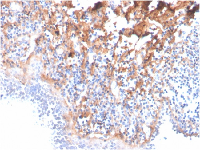
          Fibronectin (Total) Antibody in Immunohistochemistry (Paraffin) (IHC (P))
          Group 53 Created with Sketch.
          Fibronectin (Total) Antibody in Immunohistochemistry (Paraffin) (IHC (P))
          Group 53 Created with Sketch.

          图: 1 / 3

          {{ $ctrl.currentElement.advancedVerification.fullName }}
          {{ $ctrl.currentElement.advancedVerification.text }}

          Fibronectin (Total) Antibody (2335-MSM16-P1ABX) in IHC (P)

          Immunohistochemistry (Paraffin) analysis performed in formalin fixed, paraffin-embedded human tonsil using Fibronectin (Total) Monoclonal Antibody (Product # 2335-MSM16-P1ABX). {{ $ctrl.currentElement.advancedVerification.fullName }} 验证信息 View more
          已发表图片由___提供 benchsci-logo
          PMID: {{$ctrl.currentElement.benchSciPubmedId}}
          查看产品

          {{$ctrl.videoDesc}}

          {{$ctrl.videoLongDesc}}

          Fibronectin (Total) Antibody in Immunohistochemistry (Paraffin) (IHC (P))
          Fibronectin (Total) Antibody in Immunohistochemistry (Paraffin) (IHC (P))
          Fibronectin (Total) Antibody in SDS-PAGE (SDS-PAGE)
          Fibronectin (Total) Monoclonal Antibody (C6F10)

          产品信息

          2335-MSM16-P1ABX

          应用
          建议稀释比
          已发表文章

          免疫印迹 (WB)

          1-2 µg/mL
          -

          免疫组化(石蜡) (IHC (P))

          1-2 µg/mL
          -

          免疫细胞化学 (ICC/IF)

          1-2 µg/mL
          -

          免疫沉淀 (IP)

          1-2 µg/100-500 µg of protein
          -
          产品规格

          种属反应

          Amphibian, Avian, Bovine, Horse, Human, Non-human primate, Pig

          宿主/亚型

          Mouse / IgG1, kappa

          分类

          Monoclonal

          类型

          Antibody

          克隆号

          C6F10

          抗原

          Human plasma fibronectin
          查看免疫原

          偶联物

          Unconjugated Unconjugated Unconjugated

          形式

          Liquid

          浓度

          1 mg/mL

          纯化类型

          Protein A/G

          保存液

          PBS, pH 7.4

          内含物

          no preservative

          保存条件

          -20°C or -80°C if preferred

          运输条件

          Ambient (domestic); Wet ice (international)

          产品详细信息

          Immunohistochemistry (PFA fixed): incubate antibody for 30 min RT. Staining of formalin-fixed tissues requires heating tissue sections in 10mM Tris with 1mM EDTA, pH 9.0, for 45 min at 95 degrees C followed by cooling at RT for 20 minutes.

          靶标信息

          Fibronectin is a disulfide-bonded dimer with a molecular weight range of 230-250 kDa. In the extracellular matrix of several connective tissues and vessels, fibronectin is present as an insoluble protein that is extensively cross-linked by interchain disulfide bonds forming high molecular mass polymers. Fibronectin is most abundant during embryonic development and tissue remodeling. Fibronectin is also present at high concentrations as a soluble plasma protein. Fibronectin is organized as a linear series of repeating modules which form domains for interaction with fibronectin itself, other matrix components (e.g. collagen and heparin) and receptors on cells (e.g. integrins). Fibronectin is present in a soluble dimeric form in plasma, and in a dimeric or multimeric form at the cell surface and in extracellular matrix. Fibronectin is involved in cell adhesion and migration processes including embryogenesis, wound healing, blood coagulation, host defense, and metastasis. Fibronectin has been implicated in carcinoma development in lung cancer. Further, Fibronectin expression is increased especially in non-small cell lung carcinoma. The adhesion of lung carcinoma cells to Fibronectin enhances tumorgenecity and confers resistance to apoptosis induced by standard chemotherapeutic agents. The gene encoding Fibronectin has three regions subject to alternative splicing, with the potential to produce 20 different transcript variants. However, the full-length nature of some Fibronectin variants has not been determined.

          仅用于科研。不用于诊断过程。未经明确授权不得转售。

          篇参考文献 (0)

          您是否在文献中引用过该产品?请点击下方按钮邮件告知我们。
          引用该产品

          生物信息学

          蛋白别名: CIG; Cold insoluble globulin (CIG); Cold-insoluble globulin; cumulus cell-specific fibronectin 1 transcript; DKFZp686F10164; DKFZp686H0342; DKFZp686I1370; DKFZp686O13149; embryo-specific fibronectin 1 transcript; ferritin L subunit; ferritin L-chain; Fibronectin; fibronectin ED-A- region; fibronectin variable region; FN; Migration stimulating factor (MSF); migration-stimulating factor

          查看更多 收起

          基因别名: CIG; ED-B; FINC; FN; FN1; FNZ; GFND; GFND2; LETS; MSF

          查看更多 收起

          UniProt ID: (Human) P02751

          查看更多 收起

          Entrez Gene ID: (Bovine) 280794, (Pig) 397620, (Horse) 100034189, (Human) 2335

          查看更多 收起

          功能
          protein binding heparin binding disordered domain specific binding protease binding integrin binding collagen binding peptidase activator activity identical protein binding mercury ion binding extracellular matrix protein extracellular matrix structural protein
          参与通路
          angiogenesis acute-phase response regulation of cell shape cell activation regulation of protein phosphorylation platelet degranulation response to ischemia cell-substrate junction assembly cell adhesion calcium-independent cell-matrix adhesion positive regulation of cell proliferation glial cell migration response to wounding response to ozone positive regulation of gene expression positive regulation of peptidase activity peptide cross-linking extracellular matrix disassembly extracellular matrix organization integrin activation substrate adhesion-dependent cell spreading cellular response to vascular endothelial growth factor stimulus endodermal cell differentiation cellular response to platelet-derived growth factor stimulus wound healing negative regulation of apoptotic process positive regulation of axon extension positive regulation of fibroblast proliferation leukocyte migration positive regulation of chemotaxis response to glucocorticoid regulation of ERK1 and ERK2 cascade cellular response to lipopolysaccharide cellular response to mercury ion cellular response to glucose stimulus cellular response to interleukin-1 cellular response to prostaglandin E stimulus cellular response to transforming growth factor beta stimulus cellular response to BMP stimulus positive regulation of substrate-dependent cell migration, cell attachment to substrate negative regulation of transforming growth factor-beta secretion
          It has to be done as per old AB suggested Products section.
          guarantee_icon

          性能保障

          只要您发现Invitrogen抗体在实验中的表现与网站或说明书的所述内容不符,您即可享受免费退换货服务。*

          了解更多
          help_icon

          随时为您服务

          获取常见问题的专家解答,或者直接联系我们的技术专家,咨询应用、设备、常规产品使用问题。

          联系技术支持
          订购 Plus Icon Minus Icon
          • 订单状态查询
          • 订单支持
          • 货号直购
          • 现货供应中心
          • 电子采购
          支持 Plus Icon Minus Icon
          • 帮助&支持
          • 联系我们 - 400 820 8982
          • 技术支持中心
          • 查找文件&证书
          • 报告网站问题
          资源 Plus Icon Minus Icon
          • 学习中心
          • 促销
          • 活动&研讨会
          • 社交媒体
          关于赛默飞 Plus Icon Minus Icon
          • 关于我们
          • 招聘 招聘
          • 投资者关系 投资者关系
          • 新闻 新闻
          • 社会责任 社会责任
          • 商标
          • 政策和通知
          品牌 Plus Icon Minus Icon
          • Thermo Scientific
          • Applied Biosystems
          • Invitrogen
          • Gibco
          • Ion Torrent
          • Patheon
          • PPD
          • 服务条款
          • 隐私政策
          • 定价和运输保险政策
          © 2006-2026 Thermo Fisher Scientific Inc. All rights reserved. All trademarks are the property of Thermo Fisher Scientific and its subsidiaries unless otherwise specified.
          China flag icon
          China
          本网站销售的所有产品均不得用于人类或动物之临床诊断或治疗,仅可用于工业或者科研等非医疗目的。
             电子营业执照 | 经营证照公示 | ICP备案号:沪ICP备11003924号 | 沪公网安备 31011502006935号

          Your items have has been added!


          Host server : magellan-search-blue-55ff9ddd88-ctdjb:80/100.66.76.55:80.
          git-commit: d366ff9721d93504b2ac26a183b2b3e3d0e7d9ec
          git-url: https://github.com/thermofisher/magellan-search
          git-branch: release/2.42.0-2026.01.03-1.0