Hamburger Menu Button
Thermo Fisher Scientific Logo
登录
没有账号?建立账号 注册
  • 产品
    • 抗体
    • 引物合成
    • GeneArt Gene Synthesis Instant Designer
    • TaqMan Assay and Array Search
    • PCR 设备和耗材
    • 色谱柱和纯化柱
    • 实验室离心机
    • 分子生物学试剂和试剂盒
    • 实验室塑料耗材及用品
    • 查看所有产品分类
  • 应用和技术
    • 色谱
    • 细胞转染和培养
    • 实时荧光定量PCR
    • 质谱
    • 实验室塑料耗材及用品
    • 电子显微镜
    • 蛋白质生物学
    • PCR
    • RNAi
    • 环境
    • 查看所有应用和技术
  • 服务
    • 定制服务
    • 企业级实验室信息化服务
    • 金融&租赁服务
    • 仪器服务
    • OEM和商业供应
    • 培训服务
    • 360° CDMO 和 CRO 服务
    • CDMO 服务
    • 临床试验 CRO 服务
    • Unity Lab Services
    • 查看所有帮助和支持
  • 帮助和支持
    • 学习中心
    • 联系我们
    • 更改国家或地区
    • 查看所有帮助和支持
  • 热门产品
    • TaqMan Real-Time PCR Assays
      TaqMan 实时荧光定量 PCR 试剂盒
    • Antibodies
      抗体
    • Oligos, Primers & Probes
      寡核苷酸、引物、探针
    • GeneArt Gene Synthesis
      GeneArt 基因合成
    • Cell Culture Plastics
      细胞培养耗材
  • Who We Serve
    • 抗体治疗解决方案
    • 细胞与基因治疗解决方案
    • 学术科研
    • 工业与应用
  • 联系我们
  • 货号直购
  • 订单查询
  • 查找文件&证书
Thermo Fisher Scientific Logo

Search

搜索全部或下列指定分类
Search button
          • 联系我们
          • 货号直购
          • 登录
            登录
            没有账号?建立账号 注册
            • 我的账号
            • 订单
            • 账单及发票查询
            • 定制产品及项目
          • Primary Antibodies ›
          • FOXP1 Antibodies

          Bioss

          FoxP1 Polyclonal Antibody

          查看其他32个FOXP1抗体

          {{$productOrderCtrl.translations['antibody.pdp.commerceCard.promotion.promotions']}}

          {{$productOrderCtrl.translations['antibody.pdp.commerceCard.promotion.viewpromo']}}

          {{$productOrderCtrl.translations['antibody.pdp.commerceCard.promotion.promocode']}}: {{promo.promoCode}} {{promo.promoTitle}} {{promo.promoDescription}}. {{$productOrderCtrl.translations['antibody.pdp.commerceCard.promotion.learnmore']}}

          说明书
          证书
          实验方案
          问题与答案
          技术支持
          说明书
          证书
          实验方案
          问题与答案
          技术支持
          说明书
          证书
          实验方案
          问题与答案
          技术支持

          Cite FoxP1 Polyclonal Antibody

          Additional Information:
          {{banner.description}}
          {{$ctrl.isSkuNotesCollapsed ? 'View more' : 'View less'}}
          • 抗体检测数据 (2)
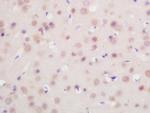
          FoxP1 Antibody in Immunohistochemistry (Paraffin) (IHC (P))
          Group 53 Created with Sketch.
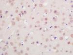
          FoxP1 Antibody in Immunohistochemistry (Paraffin) (IHC (P))
          Group 53 Created with Sketch.

          图: 1 / 2

          {{ $ctrl.currentElement.advancedVerification.fullName }}
          {{ $ctrl.currentElement.advancedVerification.text }}

          FoxP1 Antibody (BS-1275R) in IHC (P)

          Formalin-fixed and paraffin embedded mouse brain labeled with Rabbit Anti-FoxP1 Polyclonal Antibody, Unconjugated (bs-1275R) at 1:200 followed by conjugation to the secondary antibody and DAB staining. {{ $ctrl.currentElement.advancedVerification.fullName }} 验证信息 View more
          已发表图片由___提供 benchsci-logo
          PMID: {{$ctrl.currentElement.benchSciPubmedId}}
          查看产品

          {{$ctrl.videoDesc}}

          {{$ctrl.videoLongDesc}}

          FoxP1 Antibody in Immunohistochemistry (Paraffin) (IHC (P))
          FoxP1 Antibody in Flow Cytometry (Flow)
          FoxP1 Polyclonal Antibody

          产品信息

          BS-1275R

          应用
          建议稀释比
          已发表文章

          免疫组化(石蜡) (IHC (P))

          1:200
          -

          流式细胞分析 (Flow)

          1 µg/test
          -

          酶联免疫吸附实验 (ELISA)

          1:500-1:1,000
          -
          产品规格

          种属反应

          Human, Mouse, Rabbit, Rat

          宿主/亚型

          Rabbit / IgG

          分类

          Polyclonal

          类型

          Antibody

          抗原

          KLH conjugated synthetic peptide derived from mouse FoxP1, amino acids 581-705.
          3D表位/免疫原

          偶联物

          Unconjugated Unconjugated Unconjugated

          形式

          Liquid

          浓度

          1 mg/mL

          规格

          100 µg

          纯化类型

          Protein A

          保存液

          0.01M TBS, pH 7.4, with 50% glycerol, 1% BSA

          内含物

          0.02% ProClin 300

          保存条件

          -20°C

          运输条件

          Ambient (domestic); Wet ice (international)

          靶标信息

          This gene belongs to subfamily P of the forkhead box (FOX) transcription factor family. Forkhead box transcription factors play important roles in the regulation of tissue- and cell type-specific gene transcription during both development and adulthood. Forkhead box P1 protein contains both DNA-binding- and protein-protein binding-domains. This gene may act as a tumor suppressor as it is lost in several tumor types and maps to a chromosomal region (3p14.1) reported to contain a tumor suppressor gene(s). Alternative splicing results in multiple transcript variants encoding different isoforms.

          仅用于科研。不用于诊断过程。未经明确授权不得转售。

          篇参考文献 (0)

          您是否在文献中引用过该产品?请点击下方按钮邮件告知我们。
          引用该产品

          生物信息学

          蛋白别名: FLJ23741; Fork head related protein like B; fork head-related protein like B; Forkhead box protein P1; Forkhead box protein P1 (FOXP1); Forkhead-related transcription factor 1; FOXP1; Glutamine rich factor 1; glutamine-rich factor 1; Mac-1-regulated forkhead; MFH; MGC12942; MGC88572; MGC99551; unnamed protein product

          查看更多 收起

          基因别名: 12CC4; 3110052D19Rik; 4932443N09Rik; AI461938; AW494214; FOXP1; hFKH1B; HSPC215; MFH; QRF1

          查看更多 收起

          UniProt ID: (Human) Q9H334, (Rat) Q498D1, (Mouse) P58462

          查看更多 收起

          Entrez Gene ID: (Human) 27086, (Rabbit) 100345241, (Rat) 297480, (Mouse) 108655

          查看更多 收起

          功能
          RNA polymerase II core promoter proximal region sequence-specific DNA binding RNA polymerase II transcription factor activity, sequence-specific DNA binding core promoter sequence-specific DNA binding transcriptional repressor activity, RNA polymerase II transcription regulatory region sequence-specific binding DNA binding transcription factor activity, sequence-specific DNA binding protein binding zinc ion binding identical protein binding sequence-specific DNA binding metal ion binding androgen receptor binding sequence-specific double-stranded DNA binding chromatin binding transcription factor activity, RNA polymerase II distal enhancer sequence-specific binding protein homodimerization activity protein heterodimerization activity
          参与通路
          negative regulation of transcription from RNA polymerase II promoter in utero embryonic development positive regulation of mesenchymal cell proliferation pre-B cell differentiation positive regulation of immunoglobulin production negative regulation of B cell apoptotic process regulation of transcription from RNA polymerase II promoter transcription from RNA polymerase II promoter heart development skeletal muscle tissue development motor neuron axon guidance positive regulation of endothelial cell migration ventral spinal cord development osteoclast differentiation lung development response to lipopolysaccharide regulation of tumor necrosis factor production immunoglobulin V(D)J recombination chemokine (C-C motif) ligand 2 secretion osteoclast development macrophage activation monocyte activation endothelial cell activation sarcomere organization regulation of monocyte differentiation negative regulation of transcription, DNA-templated positive regulation of transcription, DNA-templated positive regulation of transcription from RNA polymerase II promoter positive regulation of smooth muscle cell proliferation smooth muscle tissue development positive regulation of epithelial cell proliferation regulation of interleukin-1 beta secretion regulation of inflammatory response cardiac muscle cell differentiation regulation of cardiac muscle cell proliferation negative regulation of androgen receptor signaling pathway lung secretory cell differentiation T follicular helper cell differentiation cardiovascular system development interleukin-21 secretion regulation of defense response to bacterium regulation of lung goblet cell differentiation negative regulation of lung goblet cell differentiation regulation of macrophage colony-stimulating factor production regulation of endothelial tube morphogenesis positive regulation of cardiac muscle cell differentiation regulation of interleukin-12 secretion regulation of transcription, DNA-templated cellular response to DNA damage stimulus regulation of gene expression negative regulation of gene expression striatum development forebrain development regulation of interleukin-1 beta production regulation of interleukin-12 production positive regulation of interleukin-21 production response to testosterone animal organ development positive regulation of B cell receptor signaling pathway negative regulation of cell growth involved in cardiac muscle cell development cellular response to tumor necrosis factor positive regulation of hydrogen peroxide-mediated programmed cell death regulation of chemokine (C-X-C motif) ligand 2 production transcription, DNA-templated anatomical structure morphogenesis embryo development
          It has to be done as per old AB suggested Products section.

          Disclaimer

          Close

          Clicking the images or links will redirect you to a website hosted by BenchSci that provides third-party scientific content. Neither the content nor the BenchSci technology and processes for selection have been evaluated by us; we are providing them as-is and without warranty of any kind, including for use or application of the Thermo Fisher Scientific products presented.

          guarantee_icon

          性能保障

          只要您发现Invitrogen抗体在实验中的表现与网站或说明书的所述内容不符,您即可享受免费退换货服务。*

          了解更多
          help_icon

          随时为您服务

          获取常见问题的专家解答,或者直接联系我们的技术专家,咨询应用、设备、常规产品使用问题。

          联系技术支持
          订购 Plus Icon Minus Icon
          • 订单状态查询
          • 订单支持
          • 货号直购
          • 现货供应中心
          • 电子采购
          支持 Plus Icon Minus Icon
          • 帮助&支持
          • 联系我们 - 400 820 8982
          • 技术支持中心
          • 查找文件&证书
          • 报告网站问题
          资源 Plus Icon Minus Icon
          • 学习中心
          • 促销
          • 活动&研讨会
          • 社交媒体
          关于赛默飞 Plus Icon Minus Icon
          • 关于我们
          • 招聘 招聘
          • 投资者关系 投资者关系
          • 新闻 新闻
          • 社会责任 社会责任
          • 商标
          • 政策和通知
          品牌 Plus Icon Minus Icon
          • Thermo Scientific
          • Applied Biosystems
          • Invitrogen
          • Gibco
          • Ion Torrent
          • Unity Lab Services
          • Patheon
          • PPD
          • 服务条款
          • 隐私政策
          • 定价和运输保险政策
          © 2006-2026 Thermo Fisher Scientific Inc. All rights reserved. All trademarks are the property of Thermo Fisher Scientific and its subsidiaries unless otherwise specified.
          China flag icon
          China
          本网站销售的所有产品均不得用于人类或动物之临床诊断或治疗,仅可用于工业或者科研等非医疗目的。
             电子营业执照 | 经营证照公示 | ICP备案号:沪ICP备11003924号 | 沪公网安备 31011502006935号

          Your items have has been added!


          Host server : magellan-search-blue-744bc48644-fvx7n:80/100.66.78.247:80.
          git-commit: 747bde55a712f6f97bf7760408d445eefba4e16f
          git-url: https://github.com/thermofisher/magellan-search
          git-branch: release/2.48.0-Offline