Hamburger Menu Button
Thermo Fisher Scientific Logo
登录
没有账号?建立账号 注册
  • 产品
    • 抗体
    • 引物合成
    • GeneArt Gene Synthesis Instant Designer
    • TaqMan Assay and Array Search
    • PCR 设备和耗材
    • 色谱柱和纯化柱
    • 实验室离心机
    • 分子生物学试剂和试剂盒
    • 实验室塑料耗材及用品
    • 查看所有产品分类
  • 应用和技术
    • 色谱
    • 细胞转染和培养
    • 实时荧光定量PCR
    • 质谱
    • 实验室塑料耗材及用品
    • 电子显微镜
    • 蛋白质生物学
    • PCR
    • RNAi
    • 环境
    • 查看所有应用和技术
  • 服务
    • 定制服务
    • 企业级实验室信息化服务
    • 企业服务
    • 金融&租赁服务
    • 仪器服务
    • OEM和商业供应
    • 培训服务
    • 360° CDMO 和 CRO 服务
    • CDMO 服务
    • 临床试验 CRO 服务
    • 查看所有帮助和支持
  • 帮助和支持
    • 学习中心
    • 联系我们
    • 更改国家或地区
    • 查看所有帮助和支持
  • 热门产品
    • TaqMan Real-Time PCR Assays
      TaqMan 实时荧光定量 PCR 试剂盒
    • Antibodies
      抗体
    • Oligos, Primers & Probes
      寡核苷酸、引物、探针
    • GeneArt Gene Synthesis
      GeneArt 基因合成
    • Cell Culture Plastics
      细胞培养耗材
  • 联系我们
  • 货号直购
  • 订单查询
  • 查找文件&证书
Thermo Fisher Scientific Logo

Search

搜索全部或下列指定分类
Search button
          • 联系我们
          • 货号直购
          • 登录
            登录
            没有账号?建立账号 注册
            • 我的账号
            • 订单
            • 账单及发票查询
            • 定制产品及项目

          Disclaimer

          Clicking the images or links will redirect you to a website hosted by BenchSci that provides third-party scientific content. Neither the content nor the BenchSci technology and processes for selection have been evaluated by us; we are providing them as-is and without warranty of any kind, including for use or application of the Thermo Fisher Scientific products presented.

          • Primary Antibodies ›
          • GADD34 Antibodies

          Bioss

          GADD34 Polyclonal Antibody

          查看其他12个GADD34抗体

          {{$productOrderCtrl.translations['antibody.pdp.commerceCard.promotion.promotions']}}

          {{$productOrderCtrl.translations['antibody.pdp.commerceCard.promotion.viewpromo']}}

          {{$productOrderCtrl.translations['antibody.pdp.commerceCard.promotion.promocode']}}: {{promo.promoCode}} {{promo.promoTitle}} {{promo.promoDescription}}. {{$productOrderCtrl.translations['antibody.pdp.commerceCard.promotion.learnmore']}}

          说明书
          证书
          实验方案
          问题与答案
          技术支持
          说明书
          证书
          实验方案
          问题与答案
          技术支持
          说明书
          证书
          实验方案
          问题与答案
          技术支持

          Cite GADD34 Polyclonal Antibody

          • 抗体检测数据 (1)
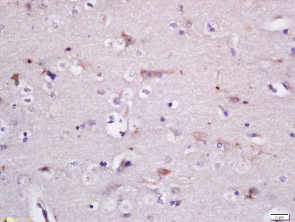
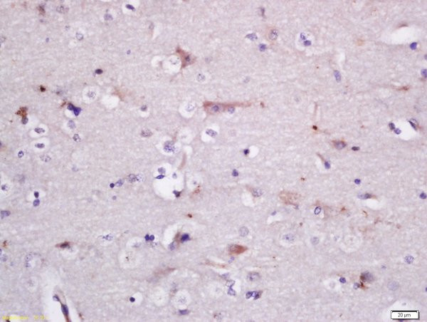
          GADD34 Antibody in Immunohistochemistry (Paraffin) (IHC (P))
          Group 53 Created with Sketch.
          GADD34 Antibody in Immunohistochemistry (Paraffin) (IHC (P))
          Group 53 Created with Sketch.

          图: 1 / 1

          {{ $ctrl.currentElement.advancedVerification.fullName }}
          {{ $ctrl.currentElement.advancedVerification.text }}

          GADD34 Antibody (BS-10287R) in IHC (P)

          Formalin-fixed and paraffin embedded rat brain labeled with Rabbit Anti-GADD34 Polyclonal Antibody, Unconjugated (bs-10287R) at 1:200 followed by conjugation to the secondary antibody and DAB staining. {{ $ctrl.currentElement.advancedVerification.fullName }} 验证信息 View more
          已发表图片由___提供 benchsci-logo
          PMID: {{$ctrl.currentElement.benchSciPubmedId}}
          查看产品

          {{$ctrl.videoDesc}}

          {{$ctrl.videoLongDesc}}

          GADD34 Antibody in Immunohistochemistry (Paraffin) (IHC (P))
          GADD34 Polyclonal Antibody

          产品信息

          BS-10287R

          应用
          建议稀释比
          已发表文章

          免疫印迹 (WB)

          1:300-1:1,000
          -

          免疫组化(石蜡) (IHC (P))

          1:200
          -

          免疫组化(冰冻) (IHC (F))

          1:100-1:500
          -

          免疫细胞化学 (ICC/IF)

          1:100-1:500
          -

          流式细胞分析 (Flow)

          1:20-1:100
          -

          酶联免疫吸附实验 (ELISA)

          1:500-1:1,000
          -
          产品规格

          种属反应

          Human, Mouse, Rat

          宿主/亚型

          Rabbit / IgG

          分类

          Polyclonal

          类型

          Antibody

          抗原

          KLH conjugated synthetic peptide derived from human GADD34, amino acids 401-500.
          查看免疫原

          偶联物

          Unconjugated Unconjugated Unconjugated

          形式

          Liquid

          浓度

          1 mg/mL

          纯化类型

          Protein A

          保存液

          0.01M TBS, pH 7.4, with 50% glycerol, 1% BSA

          内含物

          0.02% ProClin 300

          保存条件

          -20°C

          运输条件

          Ambient (domestic); Wet ice (international)

          靶标信息

          This gene is a member of a group of genes whose transcript levels are increased following stressful growth arrest conditions and treatment with DNA-damaging agents. The induction of this gene by ionizing radiation occurs in certain cell lines regardless of p53 status, and its protein response is correlated with apoptosis following ionizing radiation.

          仅用于科研。不用于诊断过程。未经明确授权不得转售。

          篇参考文献 (0)

          您是否在文献中引用过该产品?请点击下方按钮邮件告知我们。
          引用该产品

          生物信息学

          蛋白别名: Growth arrest and DNA damage-inducible protein GADD34; growth arrest and DNA-damage-inducible 34; myeloid differentiation primary response gene 116; Myeloid differentiation primary response protein MyD116; Myeloid differentiation primary response protein MyD116 homolog; PEG-3; PR15A; Progression elevated gene 3 protein; Protein phosphatase 1 regulatory subunit 15A; protein phosphatase 1, regulatory (inhibitor) subunit 15A; protein phosphatase 1, regulatory subunit 15A

          查看更多 收起

          基因别名: 9630030H21; GADD34; Myd116; Peg-3; Peg3; PPP1R15A; RGD1624209

          查看更多 收起

          UniProt ID: (Human) O75807, (Mouse) P17564, (Rat) Q6IN02

          查看更多 收起

          Entrez Gene ID: (Human) 23645, (Mouse) 17872, (Rat) 171071

          查看更多 收起

          功能
          protein binding protein phosphatase 1 binding protein phosphatase type 1 regulator activity protein kinase binding protein phosphatase type 1 activator activity protein phosphatase regulator activity protein phosphatase binding
          参与通路
          regulation of translation apoptotic process positive regulation of gene expression endoplasmic reticulum unfolded protein response negative regulation of phosphoprotein phosphatase activity positive regulation of phosphoprotein phosphatase activity positive regulation of peptidyl-serine phosphorylation response to endoplasmic reticulum stress negative regulation of protein dephosphorylation regulation of translational initiation by eIF2 alpha dephosphorylation positive regulation of transcription from RNA polymerase I promoter regulation of catalytic activity regulation of endoplasmic reticulum stress-induced eIF2 alpha phosphorylation peptidyl-serine dephosphorylation protein localization to endoplasmic reticulum positive regulation of peptidyl-serine dephosphorylation negative regulation of response to endoplasmic reticulum stress negative regulation of endoplasmic reticulum stress-induced eIF2 alpha phosphorylation negative regulation of transcription from RNA polymerase II promoter in response to endoplasmic reticulum stress positive regulation of protein phosphorylation cellular response to DNA damage stimulus cell cycle arrest aging negative regulation of cell proliferation negative regulation of peptidyl-threonine phosphorylation negative regulation of protein processing positive regulation of translational initiation in response to stress cellular response to UV cellular response to drug response to immobilization stress response to cocaine positive regulation of apoptotic process regulation of angiogenesis negative regulation of cell death intrinsic apoptotic signaling pathway in response to endoplasmic reticulum stress cellular response to antibiotic cellular response to carbohydrate stimulus cellular response to methyl methanesulfonate cellular response to calcium ion starvation response to environmental enrichment cellular response to oxygen-glucose deprivation negative regulation of PERK-mediated unfolded protein response positive regulation of endoplasmic reticulum stress-induced eIF2 alpha dephosphorylation cellular response to desipramine cellular response to cordycepin cellular response to gold(3+) cellular response to methamphetamine hydrochloride
          It has to be done as per old AB suggested Products section.
          guarantee_icon

          性能保障

          只要您发现Invitrogen抗体在实验中的表现与网站或说明书的所述内容不符,您即可享受免费退换货服务。*

          了解更多
          help_icon

          随时为您服务

          获取常见问题的专家解答,或者直接联系我们的技术专家,咨询应用、设备、常规产品使用问题。

          联系技术支持
          订购 Plus Icon Minus Icon
          • 订单状态查询
          • 订单支持
          • 货号直购
          • 现货供应中心
          • 电子采购
          支持 Plus Icon Minus Icon
          • 帮助&支持
          • 联系我们 - 400 820 8982
          • 技术支持中心
          • 查找文件&证书
          • 报告网站问题
          资源 Plus Icon Minus Icon
          • 学习中心
          • 促销
          • 活动&研讨会
          • 社交媒体
          关于赛默飞 Plus Icon Minus Icon
          • 关于我们
          • 招聘 招聘
          • 投资者关系 投资者关系
          • 新闻 新闻
          • 社会责任 社会责任
          • 商标
          • 政策和通知
          品牌 Plus Icon Minus Icon
          • Thermo Scientific
          • Applied Biosystems
          • Invitrogen
          • Gibco
          • Ion Torrent
          • Patheon
          • PPD
          • 服务条款
          • 隐私政策
          • 定价和运输保险政策
          © 2006-2026 Thermo Fisher Scientific Inc. All rights reserved. All trademarks are the property of Thermo Fisher Scientific and its subsidiaries unless otherwise specified.
          China flag icon
          China
          本网站销售的所有产品均不得用于人类或动物之临床诊断或治疗,仅可用于工业或者科研等非医疗目的。
             电子营业执照 | 经营证照公示 | ICP备案号:沪ICP备11003924号 | 沪公网安备 31011502006935号

          Your items have has been added!


          Host server : magellan-search-blue-55ff9ddd88-2dmq6:80/100.66.75.107:80.
          git-commit: d366ff9721d93504b2ac26a183b2b3e3d0e7d9ec
          git-url: https://github.com/thermofisher/magellan-search
          git-branch: release/2.42.0-2026.01.03-1.0