Hamburger Menu Button
Thermo Fisher Scientific Logo
登录
没有账号?建立账号 注册
  • 产品
    • 抗体
    • 引物合成
    • GeneArt Gene Synthesis Instant Designer
    • TaqMan Assay and Array Search
    • PCR 设备和耗材
    • 色谱柱和纯化柱
    • 实验室离心机
    • 分子生物学试剂和试剂盒
    • 实验室塑料耗材及用品
    • 查看所有产品分类
  • 应用和技术
    • 色谱
    • 细胞转染和培养
    • 实时荧光定量PCR
    • 质谱
    • 实验室塑料耗材及用品
    • 电子显微镜
    • 蛋白质生物学
    • PCR
    • RNAi
    • 环境
    • 查看所有应用和技术
  • 服务
    • 定制服务
    • 企业级实验室信息化服务
    • 企业服务
    • 金融&租赁服务
    • 仪器服务
    • OEM和商业供应
    • 培训服务
    • 360° CDMO 和 CRO 服务
    • CDMO 服务
    • 临床试验 CRO 服务
    • 查看所有帮助和支持
  • 帮助和支持
    • 学习中心
    • 联系我们
    • 更改国家或地区
    • 查看所有帮助和支持
  • 热门产品
    • TaqMan Real-Time PCR Assays
      TaqMan 实时荧光定量 PCR 试剂盒
    • Antibodies
      抗体
    • Oligos, Primers & Probes
      寡核苷酸、引物、探针
    • GeneArt Gene Synthesis
      GeneArt 基因合成
    • Cell Culture Plastics
      细胞培养耗材
  • 联系我们
  • 货号直购
  • 订单查询
  • 查找文件&证书
Thermo Fisher Scientific Logo

Search

搜索全部或下列指定分类
Search button
          • 联系我们
          • 货号直购
          • 登录
            登录
            没有账号?建立账号 注册
            • 我的账号
            • 订单
            • 账单及发票查询
            • 定制产品及项目

          Disclaimer

          Clicking the images or links will redirect you to a website hosted by BenchSci that provides third-party scientific content. Neither the content nor the BenchSci technology and processes for selection have been evaluated by us; we are providing them as-is and without warranty of any kind, including for use or application of the Thermo Fisher Scientific products presented.

          • Primary Antibodies ›
          • GAS6 Antibodies

          Proteintech

          GAS6 Polyclonal Antibody

          7 篇参考文献
          查看其他11个GAS6抗体

          {{$productOrderCtrl.translations['antibody.pdp.commerceCard.promotion.promotions']}}

          {{$productOrderCtrl.translations['antibody.pdp.commerceCard.promotion.viewpromo']}}

          {{$productOrderCtrl.translations['antibody.pdp.commerceCard.promotion.promocode']}}: {{promo.promoCode}} {{promo.promoTitle}} {{promo.promoDescription}}. {{$productOrderCtrl.translations['antibody.pdp.commerceCard.promotion.learnmore']}}

          说明书
          证书
          实验方案
          问题与答案
          技术支持
          说明书
          证书
          实验方案
          问题与答案
          技术支持
          说明书
          证书
          实验方案
          问题与答案
          技术支持

          Cite GAS6 Polyclonal Antibody

          Additional Information:
          {{banner.description}}
          {{$ctrl.isSkuNotesCollapsed ? 'View more' : 'View less'}}
          • 抗体检测数据 (9)
          GAS6 Antibody in Immunocytochemistry (ICC/IF)
          Group 53 Created with Sketch.
          GAS6 Antibody in Immunocytochemistry (ICC/IF)
          Group 53 Created with Sketch.

          图: 1 / 9

          {{ $ctrl.currentElement.advancedVerification.fullName }}
          {{ $ctrl.currentElement.advancedVerification.text }}

          GAS6 Antibody (13795-1-AP) in ICC/IF

          Immunofluorescent analysis of (-20°C Ethanol) fixed HeLa cells using 13795-1-AP (GAS6 antibody) at dilution of 1:50 and Alexa Fluor 488-Conjugated AffiniPure Goat Anti-Rabbit IgG (H+L). {{ $ctrl.currentElement.advancedVerification.fullName }} 验证信息 View more
          已发表图片由___提供 benchsci-logo
          PMID: {{$ctrl.currentElement.benchSciPubmedId}}
          查看产品

          {{$ctrl.videoDesc}}

          {{$ctrl.videoLongDesc}}

          GAS6 Antibody in Immunocytochemistry (ICC/IF)
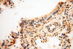
          GAS6 Antibody in Immunohistochemistry (Paraffin) (IHC (P))
          GAS6 Antibody in Immunohistochemistry (Paraffin) (IHC (P))
          GAS6 Antibody in Immunohistochemistry (Paraffin) (IHC (P))
          GAS6 Antibody in Immunohistochemistry (Paraffin) (IHC (P))
          GAS6 Antibody in Immunohistochemistry (Paraffin) (IHC (P))
          GAS6 Antibody in Immunohistochemistry (Paraffin) (IHC (P))
          GAS6 Antibody in Western Blot (WB)
          GAS6 Antibody in Western Blot (WB)
          GAS6 Polyclonal Antibody

          产品信息

          13795-1-AP

          应用
          建议稀释比
          已发表文章

          免疫印迹 (WB)

          1:500-1:1,000
          查看5篇已发表文章 5篇已发表文章

          免疫组化 (IHC)

          -
          查看1篇已发表文章 1篇已发表文章

          免疫组化(石蜡) (IHC (P))

          1:20-1:200
          -

          免疫细胞化学 (ICC/IF)

          1:20-1:200
          查看1篇已发表文章 1篇已发表文章
          产品规格

          种属反应

          Human

          已发表种属

          Human

          宿主/亚型

          Rabbit / IgG

          分类

          Polyclonal

          类型

          Antibody

          抗原

          GAS6 Fusion Protein Ag4617 (336-678 aa encoded by BC038984)
          查看免疫原

          偶联物

          Unconjugated Unconjugated Unconjugated

          形式

          Liquid

          浓度

          0.18 mg/mL

          纯化类型

          Antigen affinity chromatography

          保存液

          PBS, pH 7.3, with 50% glycerol

          内含物

          0.02% sodium azide

          保存条件

          -20°C

          运输条件

          Wet ice (domestic); Dry ice (international)

          产品详细信息

          Immunogen sequence: FAGGHQDST WIVLALRAGR LELQLRYNGV GRVTSSGPVI NHGMWQTISV EELARNLVIK VNRDAVMKIA VAGDLFQPER GLYHLNLTVG GIPFHEKDLV QPINPRLDGC MRSWNWLNGE DTTIQETVKV NTRMQCFSVT ERGSFYPGSG FAFYSLDYMR TPLDVGTEST WEVEVVAHIR PAADTGVLFA LWAPDLRAVP LSVALVDYHS TKKLKKQLVV LAVEHTALAL MEIKVCDGQE HVVTVSLRDG EATLEVDGTR GQSEVSAAQL QERLAVLERH LRSPVLTFAG GLPDVPVTSA PVTAFYRGCM TLEVNRRLLD LDEAAYKHSD ITAHSCPPVE PAAA (336-678 aa encoded by B C038984)

          靶标信息

          This gene product is a gamma-carboxyglutamic acid (Gla)-containing protein thought to be involved in the stimulation of cell proliferation, and may play a role in thrombosis. Alternatively spliced transcript variants encoding different isoforms have been found for this gene.

          仅用于科研。不用于诊断过程。未经明确授权不得转售。

          生物信息学

          蛋白别名: AXL receptor tyrosine kinase ligand; AXL stimulatory factor; GAS-6; growth arrest-specific 6; Growth arrest-specific protein 6

          查看更多 收起

          基因别名: AXLLG; AXSF; GAS6

          查看更多 收起

          UniProt ID: (Human) Q14393

          查看更多 收起

          Entrez Gene ID: (Human) 2621

          查看更多 收起

          功能
          phosphatidylserine binding receptor binding voltage-gated calcium channel activity calcium ion binding protein binding protein tyrosine kinase activator activity receptor tyrosine kinase binding cysteine-type endopeptidase inhibitor activity involved in apoptotic process receptor agonist activity binding, bridging extracellular matrix protein
          参与通路
          neuron migration positive regulation of protein phosphorylation positive regulation of cytokine-mediated signaling pathway platelet degranulation positive regulation of glomerular filtration signal peptide processing protein phosphorylation ER to Golgi vesicle-mediated transport phagocytosis apoptotic process cell cycle arrest cell adhesion signal transduction enzyme linked receptor protein signaling pathway cell proliferation cellular response to starvation positive regulation of gene expression negative regulation of tumor necrosis factor-mediated signaling pathway macrophage cytokine production cell migration peptidyl-serine phosphorylation fusion of virus membrane with host plasma membrane viral genome replication platelet activation organ regeneration cell-substrate adhesion positive regulation of TOR signaling activation of protein kinase B activity negative regulation of interferon-gamma production negative regulation of interleukin-6 production negative regulation of tumor necrosis factor production positive regulation of natural killer cell differentiation positive regulation of peptidyl-serine phosphorylation negative regulation of protein import into nucleus, translocation cellular response to interferon-alpha cellular response to drug B cell chemotaxis regulation of growth negative regulation of apoptotic process negative regulation of cysteine-type endopeptidase activity involved in apoptotic process apoptotic cell clearance negative regulation of sequence-specific DNA binding transcription factor activity protein kinase B signaling positive regulation of protein kinase activity negative regulation of transcription, DNA-templated viral entry into host cell receptor-mediated virion attachment to host cell positive regulation of protein export from nucleus positive regulation of fibroblast proliferation negative regulation of interleukin-1 secretion positive regulation of phagocytosis leukocyte migration positive regulation of protein kinase B signaling positive regulation of protein tyrosine kinase activity negative regulation of biomineral tissue development positive regulation of ERK1 and ERK2 cascade platelet aggregation calcium ion transmembrane transport cellular response to vitamin K cellular response to glucose stimulus cellular response to growth factor stimulus protein targeting to plasma membrane extracellular matrix assembly dendritic cell differentiation hematopoietic stem cell migration to bone marrow negative regulation of oligodendrocyte apoptotic process negative regulation of interleukin-6 secretion negative regulation of fibroblast apoptotic process negative regulation of endothelial cell apoptotic process positive regulation of dendritic cell chemotaxis negative regulation of renal albumin absorption negative regulation of dendritic cell apoptotic process
          It has to be done as per old AB suggested Products section.
          guarantee_icon

          性能保障

          只要您发现Invitrogen抗体在实验中的表现与网站或说明书的所述内容不符,您即可享受免费退换货服务。*

          了解更多
          help_icon

          随时为您服务

          获取常见问题的专家解答,或者直接联系我们的技术专家,咨询应用、设备、常规产品使用问题。

          联系技术支持
          订购 Plus Icon Minus Icon
          • 订单状态查询
          • 订单支持
          • 货号直购
          • 现货供应中心
          • 电子采购
          支持 Plus Icon Minus Icon
          • 帮助&支持
          • 联系我们 - 400 820 8982
          • 技术支持中心
          • 查找文件&证书
          • 报告网站问题
          资源 Plus Icon Minus Icon
          • 学习中心
          • 促销
          • 活动&研讨会
          • 社交媒体
          关于赛默飞 Plus Icon Minus Icon
          • 关于我们
          • 招聘 招聘
          • 投资者关系 投资者关系
          • 新闻 新闻
          • 社会责任 社会责任
          • 商标
          • 政策和通知
          品牌 Plus Icon Minus Icon
          • Thermo Scientific
          • Applied Biosystems
          • Invitrogen
          • Gibco
          • Ion Torrent
          • Patheon
          • PPD
          • 服务条款
          • 隐私政策
          • 定价和运输保险政策
          © 2006-2026 Thermo Fisher Scientific Inc. All rights reserved. All trademarks are the property of Thermo Fisher Scientific and its subsidiaries unless otherwise specified.
          China flag icon
          China
          本网站销售的所有产品均不得用于人类或动物之临床诊断或治疗,仅可用于工业或者科研等非医疗目的。
             电子营业执照 | 经营证照公示 | ICP备案号:沪ICP备11003924号 | 沪公网安备 31011502006935号

          Your items have has been added!


          Host server : magellan-search-blue-55ff9ddd88-ctdjb:80/100.66.76.55:80.
          git-commit: d366ff9721d93504b2ac26a183b2b3e3d0e7d9ec
          git-url: https://github.com/thermofisher/magellan-search
          git-branch: release/2.42.0-2026.01.03-1.0