Hamburger Menu Button
Thermo Fisher Scientific Logo
登录
没有账号?建立账号 注册
  • 产品
    • 抗体
    • 引物合成
    • GeneArt Gene Synthesis Instant Designer
    • TaqMan Assay and Array Search
    • PCR 设备和耗材
    • 色谱柱和纯化柱
    • 实验室离心机
    • 分子生物学试剂和试剂盒
    • 实验室塑料耗材及用品
    • 查看所有产品分类
  • 应用和技术
    • 色谱
    • 细胞转染和培养
    • 实时荧光定量PCR
    • 质谱
    • 实验室塑料耗材及用品
    • 电子显微镜
    • 蛋白质生物学
    • PCR
    • RNAi
    • 环境
    • 查看所有应用和技术
  • 服务
    • 定制服务
    • 企业级实验室信息化服务
    • 企业服务
    • 金融&租赁服务
    • 仪器服务
    • OEM和商业供应
    • 培训服务
    • 360° CDMO 和 CRO 服务
    • CDMO 服务
    • 临床试验 CRO 服务
    • 查看所有帮助和支持
  • 帮助和支持
    • 学习中心
    • 联系我们
    • 更改国家或地区
    • 查看所有帮助和支持
  • 热门产品
    • TaqMan Real-Time PCR Assays
      TaqMan 实时荧光定量 PCR 试剂盒
    • Antibodies
      抗体
    • Oligos, Primers & Probes
      寡核苷酸、引物、探针
    • GeneArt Gene Synthesis
      GeneArt 基因合成
    • Cell Culture Plastics
      细胞培养耗材
  • 联系我们
  • 货号直购
  • 订单查询
  • 查找文件&证书
Thermo Fisher Scientific Logo

Search

搜索全部或下列指定分类
Search button
          • 联系我们
          • 货号直购
          • 登录
            登录
            没有账号?建立账号 注册
            • 我的账号
            • 订单
            • 账单及发票查询
            • 定制产品及项目

          Disclaimer

          Clicking the images or links will redirect you to a website hosted by BenchSci that provides third-party scientific content. Neither the content nor the BenchSci technology and processes for selection have been evaluated by us; we are providing them as-is and without warranty of any kind, including for use or application of the Thermo Fisher Scientific products presented.

          • Primary Antibodies ›
          • GATA3 Antibodies

          NeoBiotechnologies

          GATA-3 (Center) (Breast and Urothelial Marker) Monoclonal Antibody (GATA3/6664)

          查看其他83个GATA3抗体

          {{$productOrderCtrl.translations['antibody.pdp.commerceCard.promotion.promotions']}}

          {{$productOrderCtrl.translations['antibody.pdp.commerceCard.promotion.viewpromo']}}

          {{$productOrderCtrl.translations['antibody.pdp.commerceCard.promotion.promocode']}}: {{promo.promoCode}} {{promo.promoTitle}} {{promo.promoDescription}}. {{$productOrderCtrl.translations['antibody.pdp.commerceCard.promotion.learnmore']}}

          说明书
          证书
          实验方案
          问题与答案
          技术支持
          说明书
          证书
          实验方案
          问题与答案
          技术支持
          说明书
          证书
          实验方案
          问题与答案
          技术支持

          Cite GATA-3 (Center) (Breast and Urothelial Marker) Monoclonal Antibody (GATA3/6664)

          • 抗体检测数据 (5)
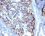
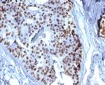
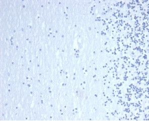
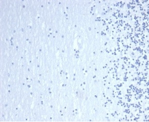
          GATA-3 (Center) (Breast and Urothelial Marker) Antibody in Immunohistochemistry (Paraffin) (IHC (P))
          Group 53 Created with Sketch.
          GATA-3 (Center) (Breast and Urothelial Marker) Antibody in Immunohistochemistry (Paraffin) (IHC (P))
          Group 53 Created with Sketch.

          图: 1 / 5

          {{ $ctrl.currentElement.advancedVerification.fullName }}
          {{ $ctrl.currentElement.advancedVerification.text }}

          GATA-3 (Center) (Breast and Urothelial Marker) Antibody (2625-MSM13-P1ABX) in IHC (P)

          IHC analysis of Formalin-fixed, paraffin-embedded human brain. Negative tissue control using GATA3/6664 at 2 µg/mL in PBS for 30 min RT. HIER: Tris/EDTA, pH9.0, 45 min. 2 °: HRP-polymer, 30 min. DAB, 5 min. {{ $ctrl.currentElement.advancedVerification.fullName }} 验证信息 View more
          已发表图片由___提供 benchsci-logo
          PMID: {{$ctrl.currentElement.benchSciPubmedId}}
          查看产品

          {{$ctrl.videoDesc}}

          {{$ctrl.videoLongDesc}}

          GATA-3 (Center) (Breast and Urothelial Marker) Antibody in Immunohistochemistry (Paraffin) (IHC (P))
          GATA-3 (Center) (Breast and Urothelial Marker) Antibody in Immunohistochemistry (Paraffin) (IHC (P))
          GATA-3 (Center) (Breast and Urothelial Marker) Antibody in Immunohistochemistry (Paraffin) (IHC (P))
          GATA-3 (Center) (Breast and Urothelial Marker) Antibody in Immunohistochemistry (Paraffin) (IHC (P))
          GATA-3 (Center) (Breast and Urothelial Marker) Antibody in SDS-PAGE (SDS-PAGE)

          产品信息

          2625-MSM13-P1ABX

          应用
          建议稀释比
          已发表文章

          免疫印迹 (WB)

          1-2 µg/mL
          -

          免疫组化(石蜡) (IHC (P))

          2 µg/mL
          -

          免疫组织化学(多聚甲醛固定) (IHC (PFA))

          1-2 µg/mL
          -

          免疫细胞化学 (ICC/IF)

          1-2 µg/mL
          -

          流式细胞分析 (Flow)

          1-2 µg/10^6 cells
          -
          产品规格

          种属反应

          Human

          宿主/亚型

          Mouse / IgG2b, kappa

          分类

          Monoclonal

          类型

          Antibody

          克隆号

          GATA3/6664

          抗原

          Recombinant full-length human GATA-3 protein

          偶联物

          Unconjugated Unconjugated Unconjugated

          形式

          Liquid

          浓度

          1 mg/mL

          纯化类型

          Protein A/G

          保存液

          PBS, pH 7.4

          内含物

          no preservative

          保存条件

          -20°C, Avoid Freeze/Thaw Cycles

          运输条件

          Ambient (domestic); Wet ice (international)

          靶标信息

          The genes for all 4 subunits of the T-cell antigen receptor (alpha, beta, gamma and delta) are controlled by distinct enhancers and their enhancer-binding proteins. Marine and Winoto (1991) identified a common TCR regulatory element by demonstrating binding of the enhancer-binding protein GATA3 to the enhancer elements of all 4 TCR genes. GATA3 had been shown in the chicken to be an enhancer-binding protein containing a zinc finger domain. GATA3 mRNA was demonstrated by Northern blot analysis in T cells but not in B cells or macrophages. GATA3 is abundantly expressed in the T-lymphocyte lineage and is thought to participate in T-cell receptor gene activation through binding to enhancers. Labastie et al. (1994) cloned the human gene and the 5-prime end of the mouse gene. The human gene comprises 6 exons distributed over 17 kb of DNA. Its 2 zinc fingers are encoded by 2 separate exons highly conserved with those of GATA1, but no other structural homologies between the 2 genes could be found.

          仅用于科研。不用于诊断过程。未经明确授权不得转售。

          篇参考文献 (0)

          您是否在文献中引用过该产品?请点击下方按钮邮件告知我们。
          引用该产品

          生物信息学

          蛋白别名: GATA binding protein-3; GATA-binding factor 3; MGC2346; MGC5199; MGC5445; Trans-acting T-cell-specific transcription factor GATA-3; Transacting T-cell-specific transcription factor GATA-3

          查看更多 收起

          基因别名: GATA3; HDR; HDRS

          查看更多 收起

          UniProt ID: (Human) P23771

          查看更多 收起

          Entrez Gene ID: (Human) 2625

          查看更多 收起

          功能
          transcription regulatory region sequence-specific DNA binding RNA polymerase II regulatory region sequence-specific DNA binding RNA polymerase II core promoter sequence-specific DNA binding core promoter proximal region sequence-specific DNA binding core promoter sequence-specific DNA binding nucleic acid binding transcription factor activity transcriptional activator activity, RNA polymerase II core promoter proximal region sequence-specific binding transcriptional repressor activity, RNA polymerase II core promoter proximal region sequence-specific binding RNA polymerase II transcription factor binding enhancer sequence-specific DNA binding transcriptional activator activity, RNA polymerase II transcription regulatory region sequence-specific binding DNA binding chromatin binding transcription factor activity, sequence-specific DNA binding transcription coactivator activity interleukin-2 receptor binding protein binding transcription factor binding zinc ion binding transcription regulatory region DNA binding protein dimerization activity E-box binding HMG box domain binding DNA-binding transcription factor
          参与通路
          negative regulation of transcription from RNA polymerase II promoter in utero embryonic development cell fate determination neuron migration type IV hypersensitivity kidney development mesonephros development lens development in camera-type eye pro-T cell differentiation aortic valve morphogenesis cardiac right ventricle morphogenesis ventricular septum development chromatin remodeling transcription from RNA polymerase II promoter defense response humoral immune response signal transduction axon guidance heart development blood coagulation negative regulation of cell proliferation male gonad development response to virus anatomical structure morphogenesis post-embryonic development organ morphogenesis positive regulation of signal transduction response to gamma radiation positive regulation of endothelial cell migration regulation of neuron projection development phosphatidylinositol 3-kinase signaling erythrocyte differentiation TOR signaling negative regulation of interferon-gamma production negative regulation of interleukin-2 production positive regulation of interleukin-4 production negative regulation of mammary gland epithelial cell proliferation embryonic hemopoiesis cellular response to interferon-alpha ureter maturation parathyroid hormone secretion regulation of cytokine biosynthetic process norepinephrine biosynthetic process inner ear morphogenesis response to drug regulation of CD4-positive, alpha-beta T cell differentiation regulation of neuron apoptotic process ear development response to estrogen thymic T cell selection T-helper 2 cell differentiation innate immune response cell fate commitment response to ethanol positive regulation of T cell differentiation negative regulation of fat cell differentiation negative regulation of cell cycle negative regulation of transcription, DNA-templated positive regulation of transcription, DNA-templated positive regulation of transcription from RNA polymerase II promoter cell maturation sympathetic nervous system development thymus development digestive tract development developmental growth anatomical structure formation involved in morphogenesis negative regulation of inflammatory response T cell receptor signaling pathway regulation of histone H3-K4 methylation positive regulation of protein kinase B signaling parathyroid gland development pharyngeal system development uterus development mesenchymal to epithelial transition mast cell differentiation ureteric bud formation regulation of histone H3-K27 methylation canonical Wnt signaling pathway involved in metanephric kidney development cellular response to interleukin-4 cellular response to tumor necrosis factor positive regulation of histone H3-K14 acetylation otic vesicle development cellular response to BMP stimulus positive regulation of ureteric bud formation nephric duct morphogenesis nephric duct formation regulation of nephron tubule epithelial cell differentiation interleukin-4 secretion interferon-gamma secretion lymphocyte migration negative regulation of DNA demethylation regulation of establishment of cell polarity negative regulation of cell motility negative regulation of endothelial cell apoptotic process positive regulation of T-helper 2 cell cytokine production negative regulation of cell proliferation involved in mesonephros development positive regulation of thyroid hormone generation positive regulation of histone H3-K9 acetylation positive regulation of interleukin-5 secretion positive regulation of interleukin-13 secretion positive regulation of transcription regulatory region DNA binding regulation of cellular response to X-ray negative regulation of fibroblast growth factor receptor signaling pathway involved in ureteric bud formation negative regulation of glial cell-derived neurotrophic factor receptor signaling pathway involved in ureteric bud formation
          It has to be done as per old AB suggested Products section.
          guarantee_icon

          性能保障

          只要您发现Invitrogen抗体在实验中的表现与网站或说明书的所述内容不符,您即可享受免费退换货服务。*

          了解更多
          help_icon

          随时为您服务

          获取常见问题的专家解答,或者直接联系我们的技术专家,咨询应用、设备、常规产品使用问题。

          联系技术支持
          订购 Plus Icon Minus Icon
          • 订单状态查询
          • 订单支持
          • 货号直购
          • 现货供应中心
          • 电子采购
          支持 Plus Icon Minus Icon
          • 帮助&支持
          • 联系我们 - 400 820 8982
          • 技术支持中心
          • 查找文件&证书
          • 报告网站问题
          资源 Plus Icon Minus Icon
          • 学习中心
          • 促销
          • 活动&研讨会
          • 社交媒体
          关于赛默飞 Plus Icon Minus Icon
          • 关于我们
          • 招聘 招聘
          • 投资者关系 投资者关系
          • 新闻 新闻
          • 社会责任 社会责任
          • 商标
          • 政策和通知
          品牌 Plus Icon Minus Icon
          • Thermo Scientific
          • Applied Biosystems
          • Invitrogen
          • Gibco
          • Ion Torrent
          • Patheon
          • PPD
          • 服务条款
          • 隐私政策
          • 定价和运输保险政策
          © 2006-2026 Thermo Fisher Scientific Inc. All rights reserved. All trademarks are the property of Thermo Fisher Scientific and its subsidiaries unless otherwise specified.
          China flag icon
          China
          本网站销售的所有产品均不得用于人类或动物之临床诊断或治疗,仅可用于工业或者科研等非医疗目的。
             电子营业执照 | 经营证照公示 | ICP备案号:沪ICP备11003924号 | 沪公网安备 31011502006935号

          Your items have has been added!


          Host server : magellan-search-blue-55ff9ddd88-ctdjb:80/100.66.76.55:80.
          git-commit: d366ff9721d93504b2ac26a183b2b3e3d0e7d9ec
          git-url: https://github.com/thermofisher/magellan-search
          git-branch: release/2.42.0-2026.01.03-1.0