Hamburger Menu Button
Thermo Fisher Scientific Logo
登录
没有账号?建立账号 注册
  • 产品
    • 抗体
    • 引物合成
    • GeneArt Gene Synthesis Instant Designer
    • TaqMan Assay and Array Search
    • PCR 设备和耗材
    • 色谱柱和纯化柱
    • 实验室离心机
    • 分子生物学试剂和试剂盒
    • 实验室塑料耗材及用品
    • 查看所有产品分类
  • 应用和技术
    • 色谱
    • 细胞转染和培养
    • 实时荧光定量PCR
    • 质谱
    • 实验室塑料耗材及用品
    • 电子显微镜
    • 蛋白质生物学
    • PCR
    • RNAi
    • 环境
    • 查看所有应用和技术
  • 服务
    • 定制服务
    • 企业级实验室信息化服务
    • 金融&租赁服务
    • 仪器服务
    • OEM和商业供应
    • 培训服务
    • 360° CDMO 和 CRO 服务
    • CDMO 服务
    • 临床试验 CRO 服务
    • Unity Lab Services
    • 查看所有帮助和支持
  • 帮助和支持
    • 学习中心
    • 联系我们
    • 更改国家或地区
    • 查看所有帮助和支持
  • 热门产品
    • TaqMan Real-Time PCR Assays
      TaqMan 实时荧光定量 PCR 试剂盒
    • Antibodies
      抗体
    • Oligos, Primers & Probes
      寡核苷酸、引物、探针
    • GeneArt Gene Synthesis
      GeneArt 基因合成
    • Cell Culture Plastics
      细胞培养耗材
  • Who We Serve
    • 抗体治疗解决方案
    • 细胞与基因治疗解决方案
    • 学术科研
    • 工业与应用
  • 联系我们
  • 货号直购
  • 订单查询
  • 查找文件&证书
Thermo Fisher Scientific Logo

Search

搜索全部或下列指定分类
Search button
          • 联系我们
          • 货号直购
          • 登录
            登录
            没有账号?建立账号 注册
            • 我的账号
            • 订单
            • 会员中心
            • 账单及发票查询
            • 定制产品及项目
          • Primary Antibodies ›
          • GCN5 Antibodies

          Invitrogen

          GCN5 Polyclonal Antibody

          1 篇参考文献
          查看其他9个GCN5抗体

          {{$productOrderCtrl.translations['antibody.pdp.commerceCard.promotion.promotions']}}

          {{$productOrderCtrl.translations['antibody.pdp.commerceCard.promotion.viewpromo']}}

          {{$productOrderCtrl.translations['antibody.pdp.commerceCard.promotion.promocode']}}: {{promo.promoCode}} {{promo.promoTitle}} {{promo.promoDescription}}. {{$productOrderCtrl.translations['antibody.pdp.commerceCard.promotion.learnmore']}}

          说明书
          证书
          实验方案
          问题与答案
          技术支持
          说明书
          证书
          实验方案
          问题与答案
          技术支持
          说明书
          证书
          实验方案
          问题与答案
          技术支持

          Cite GCN5 Polyclonal Antibody

          Additional Information:
          {{banner.description}}
          {{$ctrl.isSkuNotesCollapsed ? 'View more' : 'View less'}}
          • 抗体检测数据 (2)
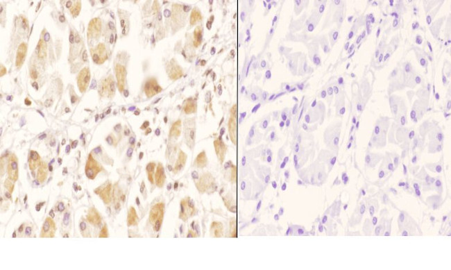
          GCN5 Antibody in Immunohistochemistry (Paraffin) (IHC (P))
          Group 53 Created with Sketch.
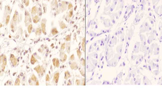
          GCN5 Antibody in Immunohistochemistry (Paraffin) (IHC (P))
          Group 53 Created with Sketch.

          图: 1 / 2

          {{ $ctrl.currentElement.advancedVerification.fullName }}
          {{ $ctrl.currentElement.advancedVerification.text }}

          GCN5 Antibody (PA5-86489) in IHC (P)

          Immunohistochemical analysis of GCN5 in paraffin-embedded human stomach carcinoma tissue showing cytoplasmic/nucleus staining and negative control (right). Sample was incubated with polyclonal GCN5 antibody (Product # PA5-86489) using a 1:50 dilution, and followed by goat anti-rabbit IgG-biotin and avidin-peroxidase secondary antibodies. {{ $ctrl.currentElement.advancedVerification.fullName }} 验证信息 View more
          已发表图片由___提供 benchsci-logo
          PMID: {{$ctrl.currentElement.benchSciPubmedId}}
          查看产品

          {{$ctrl.videoDesc}}

          {{$ctrl.videoLongDesc}}

          GCN5 Antibody in Immunohistochemistry (Paraffin) (IHC (P))
          GCN5 Antibody in Immunohistochemistry (Paraffin) (IHC (P))
          GCN5 Polyclonal Antibody

          产品信息

          PA5-86489

          应用
          建议稀释比
          已发表文章

          免疫组化(石蜡) (IHC (P))

          1:50-1:200
          -

          染色质免疫沉淀 实验 (ChIP)

          -
          查看1篇已发表文章 1篇已发表文章
          产品规格

          种属反应

          Human, Mouse, Rat

          已发表种属

          Rat

          宿主/亚型

          Rabbit / IgG

          分类

          Polyclonal

          类型

          Antibody

          抗原

          Synthetic peptide, corresponding to amino acids 685-740 of Human GCN5.
          3D表位/免疫原

          偶联物

          Unconjugated Unconjugated Unconjugated

          形式

          Liquid

          浓度

          1 mg/mL

          规格

          100 µg

          纯化类型

          Antigen affinity chromatography

          保存液

          PBS, pH 7.2, with 50% glycerol

          内含物

          0.02% sodium azide

          保存条件

          Store at 4°C short term. For long term storage, store at -20°C, avoiding freeze/thaw cycles.

          运输条件

          Ambient (domestic); Wet ice (international)

          RRID

          AB_2803266

          产品详细信息

          Purity is > 95% by SDS-PAGE.

          靶标信息

          SAGA (Spt-Ada-Gen5 histone acetyltransferase complex) is a histoneacetylase complex which has Gcn5p as catalyst subunit and functions overlapping with the fundamental transcription factor TFIID which has Taf1p as catalyst subunit. However, SAGA and TFIID have different allotment and each accomplishes the important role in the transcription for Housekeeping gene group and Stress Responding gene group. Also, SAGA is a gigantic protein complex which is composed of Ada protein group (5 kinds), TBP related protein group (4 kinds), TAF protein group (5 kinds that also pertain to TFIID), and other protein groups (>6 kinds). As its molecular function, there is the chemical modification of histone, or the recruitment by direct interaction of transcription regulating factor on DNA, or the control of transcription starting reaction by TBP. Gcn5p that show histoneacetylase activity is one kind of the above-mentioned Ada protein group, and in the case of budding yeast it is composed of 439 amino acid residues.

          仅用于科研。不用于诊断过程。未经明确授权不得转售。

          生物信息学

          蛋白别名: GCN5 (general control of amino-acid synthesis, yeast, homolog)-like 2; GCN5 general control of amino acid synthesis-like 2; general control of amino acid synthesis 5-like 2; General control of amino acid synthesis protein 5-like 2; general control of amino acid synthesis, yeast homolog-like 2; General control of amino acid synthesis, yeast, homolog-like 2; general control of amino acid synthesis-like 2; hGCN5; Histone acetyltransferase GCN5; Histone acetyltransferase KAT2A; histone acetyltransferase, GCN5 family; Histone glutaryltransferase KAT2A; Histone succinyltransferase KAT2A; hsGCN5; K(lysine) acetyltransferase 2A; KATA2; Lysine acetyltransferase 2A; MmGCN5; PCAF-B/GCN5; STAF97

          查看更多 收起

          基因别名: 1110051E14Rik; AW212720; GCN5; GCN5L2; hGCN5; KAT2A; mmGCN5; PCAF-b

          查看更多 收起

          UniProt ID: (Human) Q92830, (Mouse) Q9JHD2

          查看更多 收起

          Entrez Gene ID: (Human) 2648, (Mouse) 14534, (Rat) 303539

          查看更多 收起

          功能
          chromatin binding transcription coactivator activity histone acetyltransferase activity protein binding N-acetyltransferase activity H3 histone acetyltransferase activity acetyltransferase activity transferase activity transferase activity, transferring acyl groups transferase activity, transferring acyl groups other than amino-acyl groups protein phosphatase binding histone deacetylase binding histone acetyltransferase activity (H3-K9 specific) histone acetyltransferase activity (H3-K18 specific) histone acetyltransferase activity (H4-K12 specific) peptide-lysine-N-acetyltransferase activity histone succinyltransferase activity peptide glutaryltransferase activity histone glutaryltransferase activity DNA-binding transcription factor binding transcription factor binding
          参与通路
          negative regulation of transcription from RNA polymerase II promoter in utero embryonic development somitogenesis positive regulation of cytokine production neural tube closure gluconeogenesis regulation of DNA repair chromatin remodeling regulation of transcription, DNA-templated regulation of transcription from RNA polymerase II promoter nervous system development heart development long-term memory regulation of gene expression internal peptidyl-lysine acetylation telencephalon development metencephalon development midbrain development positive regulation of cell projection organization regulation of protein stability response to nutrient levels multicellular organism growth protein modification process regulation of RNA splicing regulation of regulatory T cell differentiation negative regulation of gluconeogenesis positive regulation of gluconeogenesis positive regulation of transcription, DNA-templated positive regulation of transcription from RNA polymerase II promoter regulation of embryonic development negative regulation of centriole replication fibroblast proliferation regulation of synaptic plasticity intracellular distribution of mitochondria regulation of T cell activation regulation of cell division regulation of cell cycle limb development regulation of cartilage development regulation of small molecule metabolic process cellular response to tumor necrosis factor peptidyl-lysine glutarylation regulation of bone development cellular response to nerve growth factor stimulus regulation of stem cell population maintenance positive regulation of cardiac muscle cell differentiation transcription, DNA-templated cell proliferation histone acetylation histone deubiquitination positive regulation of histone acetylation positive regulation of gluconeogenesis by positive regulation of transcription from RNA polymerase II promoter histone H3 acetylation histone H4-K12 acetylation histone H3-K14 acetylation cardiac muscle cell differentiation alpha-tubulin acetylation regulation of mitophagy regulation of nucleic acid-templated transcription positive regulation of protein targeting to mitochondrion positive regulation of transcription regulatory region DNA binding response to organic cyclic compound
          It has to be done as per old AB suggested Products section.

          Disclaimer

          Close

          Clicking the images or links will redirect you to a website hosted by BenchSci that provides third-party scientific content. Neither the content nor the BenchSci technology and processes for selection have been evaluated by us; we are providing them as-is and without warranty of any kind, including for use or application of the Thermo Fisher Scientific products presented.

          guarantee_icon

          性能保障

          只要您发现Invitrogen抗体在实验中的表现与网站或说明书的所述内容不符,您即可享受免费退换货服务。*

          了解更多
          help_icon

          随时为您服务

          获取常见问题的专家解答,或者直接联系我们的技术专家,咨询应用、设备、常规产品使用问题。

          联系技术支持
          订购 Plus Icon Minus Icon
          • 订单状态查询
          • 订单支持
          • 货号直购
          • 现货供应中心
          • 电子采购
          支持 Plus Icon Minus Icon
          • 帮助&支持
          • 联系我们 - 400 820 8982
          • 技术支持中心
          • 查找文件&证书
          • 报告网站问题
          资源 Plus Icon Minus Icon
          • 学习中心
          • 促销
          • 活动&研讨会
          • 社交媒体
          关于赛默飞 Plus Icon Minus Icon
          • 关于我们
          • 招聘 招聘
          • 投资者关系 投资者关系
          • 新闻 新闻
          • 社会责任 社会责任
          • 商标
          • 政策和通知
          品牌 Plus Icon Minus Icon
          • Thermo Scientific
          • Applied Biosystems
          • Invitrogen
          • Gibco
          • Ion Torrent
          • Unity Lab Services
          • Patheon
          • PPD
          • 服务条款
          • 隐私政策
          • 定价和运输保险政策
          © 2006-2026 Thermo Fisher Scientific Inc. All rights reserved. All trademarks are the property of Thermo Fisher Scientific and its subsidiaries unless otherwise specified.
          China flag icon
          China
          本网站销售的所有产品均不得用于人类或动物之临床诊断或治疗,仅可用于工业或者科研等非医疗目的。
             电子营业执照 | 经营证照公示 | ICP备案号:沪ICP备11003924号 | 沪公网安备 31011502006935号

          Your items have has been added!


          Host server : magellan-search-green-6479c7f679-k9lz7:80/100.66.74.142:80.
          git-commit: b70c0dceb888abc3b0dcebb5bc3a5b8753e7e816
          git-url: https://github.com/thermofisher/magellan-search
          git-branch: release/2.50.0-Offline