Hamburger Menu Button
Thermo Fisher Scientific Logo
登录
没有账号?建立账号 注册
  • 产品
    • 抗体
    • 引物合成
    • GeneArt Gene Synthesis Instant Designer
    • TaqMan Assay and Array Search
    • PCR 设备和耗材
    • 色谱柱和纯化柱
    • 实验室离心机
    • 分子生物学试剂和试剂盒
    • 实验室塑料耗材及用品
    • 查看所有产品分类
  • 应用和技术
    • 色谱
    • 细胞转染和培养
    • 实时荧光定量PCR
    • 质谱
    • 实验室塑料耗材及用品
    • 电子显微镜
    • 蛋白质生物学
    • PCR
    • RNAi
    • 环境
    • 查看所有应用和技术
  • 服务
    • 定制服务
    • 企业级实验室信息化服务
    • 金融&租赁服务
    • 仪器服务
    • OEM和商业供应
    • 培训服务
    • 360° CDMO 和 CRO 服务
    • CDMO 服务
    • 临床试验 CRO 服务
    • Unity Lab Services
    • 查看所有帮助和支持
  • 帮助和支持
    • 学习中心
    • 联系我们
    • 更改国家或地区
    • 查看所有帮助和支持
  • 热门产品
    • TaqMan Real-Time PCR Assays
      TaqMan 实时荧光定量 PCR 试剂盒
    • Antibodies
      抗体
    • Oligos, Primers & Probes
      寡核苷酸、引物、探针
    • GeneArt Gene Synthesis
      GeneArt 基因合成
    • Cell Culture Plastics
      细胞培养耗材
  • Who We Serve
    • 抗体治疗解决方案
    • 细胞与基因治疗解决方案
    • 学术科研
    • 工业与应用
  • 联系我们
  • 货号直购
  • 订单查询
  • 查找文件&证书
Thermo Fisher Scientific Logo

Search

搜索全部或下列指定分类
Search button
          • 联系我们
          • 货号直购
          • 登录
            登录
            没有账号?建立账号 注册
            • 我的账号
            • 订单
            • 会员中心
            • 账单及发票查询
            • 定制产品及项目
          • Primary Antibodies ›
          • GLI3 Antibodies

          Invitrogen

          GLI3 Polyclonal Antibody

          查看其他13个GLI3抗体

          {{$productOrderCtrl.translations['antibody.pdp.commerceCard.promotion.promotions']}}

          {{$productOrderCtrl.translations['antibody.pdp.commerceCard.promotion.viewpromo']}}

          {{$productOrderCtrl.translations['antibody.pdp.commerceCard.promotion.promocode']}}: {{promo.promoCode}} {{promo.promoTitle}} {{promo.promoDescription}}. {{$productOrderCtrl.translations['antibody.pdp.commerceCard.promotion.learnmore']}}

          说明书
          证书
          实验方案
          问题与答案
          技术支持
          说明书
          证书
          实验方案
          问题与答案
          技术支持
          说明书
          证书
          实验方案
          问题与答案
          技术支持

          Cite GLI3 Polyclonal Antibody

          Additional Information:
          {{banner.description}}
          {{$ctrl.isSkuNotesCollapsed ? 'View more' : 'View less'}}
          • 抗体检测数据 (2)
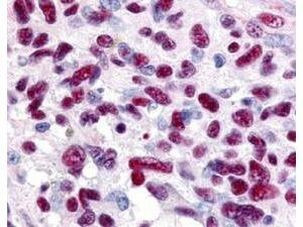
          GLI3 Antibody in Immunohistochemistry (Paraffin) (IHC (P))
          Group 53 Created with Sketch.
          GLI3 Antibody in Immunohistochemistry (Paraffin) (IHC (P))
          Group 53 Created with Sketch.

          图: 1 / 2

          {{ $ctrl.currentElement.advancedVerification.fullName }}
          {{ $ctrl.currentElement.advancedVerification.text }}

          GLI3 Antibody (PA1-29595) in IHC (P)

          Immunohistochemistry of GLI3 was performed in formalin fixed, paraffin embedded human glioblastoma tissue.Antigen retrieval was not required, a GLI3 Polyclonal Antibody (Product # PA1-29595) was used at 0.625 µg/mL for 1 h at RT, and a peroxidase rabbit secondary antibody was used at 1:10,000 for 45 min at RT. Localization: Gli-3 is nuclear and smooth muscle. Staining: Gli-3 as precipitated red signal with ... View More {{ $ctrl.currentElement.advancedVerification.fullName }} 验证信息 View more
          已发表图片由___提供 benchsci-logo
          PMID: {{$ctrl.currentElement.benchSciPubmedId}}
          查看产品

          {{$ctrl.videoDesc}}

          {{$ctrl.videoLongDesc}}

          GLI3 Antibody in Immunohistochemistry (Paraffin) (IHC (P))
          GLI3 Antibody in Western Blot (WB)
          GLI3 Polyclonal Antibody

          产品信息

          PA1-29595

          应用
          建议稀释比
          已发表文章

          免疫印迹 (WB)

          1:500-1:2,000
          -

          Multiplex Immunohistochemistry (mIHC)

          Assay-dependent
          -

          免疫组化(石蜡) (IHC (P))

          0.5 mg/mL-5 µg/mL
          -

          免疫细胞化学 (ICC/IF)

          Assay-dependent
          -

          酶联免疫吸附实验 (ELISA)

          1:6000-1:30,000
          -
          产品规格

          种属反应

          Fish, Human

          宿主/亚型

          Rabbit / IgG

          分类

          Polyclonal

          类型

          Antibody

          抗原

          Synthetic peptide corresponding to an internal region near amino acids 30-60 of human Gli-3 protein.
          3D表位/免疫原

          偶联物

          Unconjugated Unconjugated Unconjugated

          形式

          Liquid

          浓度

          1 mg/mL

          规格

          50 µg

          纯化类型

          Antigen affinity chromatography

          保存液

          PBS, pH 7.2

          内含物

          0.01% sodium azide

          保存条件

          Store at 4°C short term. For long term storage, store at -20°C, avoiding freeze/thaw cycles.

          运输条件

          Ambient (domestic); Wet ice (international)

          RRID

          AB_2294770

          产品详细信息

          Expected to cross react with chicken (100% identity), human (100% identity), mouse, (94% identity), Xenopus laevis (100% identity) due to sequence homology.

          靶标信息

          This gene encodes a protein which belongs to the C2H2-type zinc finger proteins subclass of the Gli family. They are characterized as DNA-binding transcription factors and are mediators of Sonic hedgehog (Shh) signaling. The protein encoded by this gene localizes in the cytoplasm and activates patched Drosophila homolog (PTCH) gene expression. It is also thought to play a role during embryogenesis. Mutations in this gene have been associated with several diseases, including Greig cephalopolysyndactyly syndrome, Pallister-Hall syndrome, preaxial polydactyly type IV, and postaxial polydactyly types A1 and B.

          仅用于科研。不用于诊断过程。未经明确授权不得转售。

          篇参考文献 (0)

          您是否在文献中引用过该产品?请点击下方按钮邮件告知我们。
          引用该产品

          生物信息学

          蛋白别名: GLI-Kruppel family member GLI3; GLI3 form of 190 kDa; GLI3 full-length protein; GLI3-190; GLI3FL; glioma-associated oncogene family zinc finger 3; oncogene GLI3; Transcriptional activator GLI3; unnamed protein product; zinc finger protein GLI3

          查看更多 收起

          基因别名: ACLS; GCPS; GLI3; GLI3-190; GLI3FL; PAP-A; PAPA; PAPA1; PAPB; PHS; PPDIV

          查看更多 收起

          UniProt ID: (Human) P10071

          查看更多 收起

          Entrez Gene ID: (Human) 2737

          查看更多 收起

          功能
          RNA polymerase II regulatory region sequence-specific DNA binding RNA polymerase II core promoter proximal region sequence-specific DNA binding RNA polymerase II transcription factor activity, sequence-specific DNA binding DNA binding chromatin binding double-stranded DNA binding transcription factor activity, sequence-specific DNA binding protein binding beta-catenin binding zinc ion binding histone acetyltransferase binding mediator complex binding histone deacetylase binding sequence-specific DNA binding metal ion binding sequence-specific double-stranded DNA binding
          参与通路
          negative regulation of transcription from RNA polymerase II promoter osteoblast differentiation metanephros development branching involved in ureteric bud morphogenesis in utero embryonic development kidney development positive regulation of neuroblast proliferation chondrocyte differentiation regulation of transcription, DNA-templated regulation of transcription from RNA polymerase II promoter protein import into nucleus apoptotic process smoothened signaling pathway pattern specification process neuroblast proliferation axon guidance central nervous system development brain development hindgut morphogenesis heart development cell proliferation negative regulation of cell proliferation regulation of smoothened signaling pathway anatomical structure morphogenesis anterior/posterior pattern specification dorsal/ventral pattern formation proximal/distal pattern formation gene expression regulation of gene expression protein processing spinal cord dorsal/ventral patterning spinal cord motor neuron differentiation telencephalon development pallium development subpallium development optic nerve morphogenesis hippocampus development smoothened signaling pathway involved in ventral spinal cord interneuron specification smoothened signaling pathway involved in spinal cord motor neuron cell fate specification forebrain dorsal/ventral pattern formation cerebral cortex radial glia guided migration layer formation in cerebral cortex forebrain radial glial cell differentiation neural tube development central nervous system neuron differentiation lateral ganglionic eminence cell proliferation melanocyte differentiation lung development embryonic limb morphogenesis mammary gland development forebrain development negative regulation of chondrocyte differentiation positive regulation of chondrocyte differentiation T cell differentiation in thymus limb morphogenesis tube development regulation of cell proliferation positive regulation of protein import into nucleus odontogenesis of dentin-containing tooth embryonic digit morphogenesis regulation of apoptotic process camera-type eye development negative regulation of apoptotic process nose morphogenesis tongue development negative thymic T cell selection regulation of cell differentiation negative regulation of neuron differentiation positive regulation of osteoblast differentiation negative regulation of smoothened signaling pathway negative regulation of transcription, DNA-templated positive regulation of transcription, DNA-templated positive regulation of transcription from RNA polymerase II promoter alpha-beta T cell differentiation positive regulation of alpha-beta T cell differentiation negative regulation of alpha-beta T cell differentiation embryonic digestive tract morphogenesis embryonic digestive tract development developmental growth camera-type eye morphogenesis embryonic morphogenesis anatomical structure formation involved in morphogenesis neuron fate commitment embryonic neurocranium morphogenesis embryonic skeletal system morphogenesis oligodendrocyte differentiation branching morphogenesis of an epithelial tube inner ear development palate development limb development frontal suture morphogenesis lambdoid suture morphogenesis sagittal suture morphogenesis mammary gland specification smoothened signaling pathway involved in dorsal/ventral neural tube patterning artery development anterior semicircular canal development lateral semicircular canal development cell differentiation involved in kidney development thymocyte apoptotic process vocalization behavior stem cell proliferation negative regulation of canonical Wnt signaling pathway larynx morphogenesis regulation of bone development negative regulation of stem cell proliferation
          It has to be done as per old AB suggested Products section.

          Disclaimer

          Close

          Clicking the images or links will redirect you to a website hosted by BenchSci that provides third-party scientific content. Neither the content nor the BenchSci technology and processes for selection have been evaluated by us; we are providing them as-is and without warranty of any kind, including for use or application of the Thermo Fisher Scientific products presented.

          guarantee_icon

          性能保障

          只要您发现Invitrogen抗体在实验中的表现与网站或说明书的所述内容不符,您即可享受免费退换货服务。*

          了解更多
          help_icon

          随时为您服务

          获取常见问题的专家解答,或者直接联系我们的技术专家,咨询应用、设备、常规产品使用问题。

          联系技术支持
          订购 Plus Icon Minus Icon
          • 订单状态查询
          • 订单支持
          • 货号直购
          • 现货供应中心
          • 电子采购
          支持 Plus Icon Minus Icon
          • 帮助&支持
          • 联系我们 - 400 820 8982
          • 技术支持中心
          • 查找文件&证书
          • 报告网站问题
          资源 Plus Icon Minus Icon
          • 学习中心
          • 促销
          • 活动&研讨会
          • 社交媒体
          关于赛默飞 Plus Icon Minus Icon
          • 关于我们
          • 招聘 招聘
          • 投资者关系 投资者关系
          • 新闻 新闻
          • 社会责任 社会责任
          • 商标
          • 政策和通知
          品牌 Plus Icon Minus Icon
          • Thermo Scientific
          • Applied Biosystems
          • Invitrogen
          • Gibco
          • Ion Torrent
          • Unity Lab Services
          • Patheon
          • PPD
          • 服务条款
          • 隐私政策
          • 定价和运输保险政策
          © 2006-2026 Thermo Fisher Scientific Inc. All rights reserved. All trademarks are the property of Thermo Fisher Scientific and its subsidiaries unless otherwise specified.
          China flag icon
          China
          本网站销售的所有产品均不得用于人类或动物之临床诊断或治疗,仅可用于工业或者科研等非医疗目的。
             电子营业执照 | 经营证照公示 | ICP备案号:沪ICP备11003924号 | 沪公网安备 31011502006935号

          Your items have has been added!


          Host server : magellan-search-blue-7c59b9b899-49tpj:80/100.66.77.222:80.
          git-commit: 8ef7cf686e3c81d28b13492708ce56d167b2f995
          git-url: https://github.com/thermofisher/magellan-search
          git-branch: release/2.49.0-Offline