Hamburger Menu Button
Thermo Fisher Scientific Logo
登录
没有账号?建立账号 注册
  • 产品
    • 抗体
    • 引物合成
    • GeneArt Gene Synthesis Instant Designer
    • TaqMan Assay and Array Search
    • PCR 设备和耗材
    • 色谱柱和纯化柱
    • 实验室离心机
    • 分子生物学试剂和试剂盒
    • 实验室塑料耗材及用品
    • 查看所有产品分类
  • 应用和技术
    • 色谱
    • 细胞转染和培养
    • 实时荧光定量PCR
    • 质谱
    • 实验室塑料耗材及用品
    • 电子显微镜
    • 蛋白质生物学
    • PCR
    • RNAi
    • 环境
    • 查看所有应用和技术
  • 服务
    • 定制服务
    • 企业级实验室信息化服务
    • 金融&租赁服务
    • 仪器服务
    • OEM和商业供应
    • 培训服务
    • 360° CDMO 和 CRO 服务
    • CDMO 服务
    • 临床试验 CRO 服务
    • Unity Lab Services
    • 查看所有帮助和支持
  • 帮助和支持
    • 学习中心
    • 联系我们
    • 更改国家或地区
    • 查看所有帮助和支持
  • 热门产品
    • TaqMan Real-Time PCR Assays
      TaqMan 实时荧光定量 PCR 试剂盒
    • Antibodies
      抗体
    • Oligos, Primers & Probes
      寡核苷酸、引物、探针
    • GeneArt Gene Synthesis
      GeneArt 基因合成
    • Cell Culture Plastics
      细胞培养耗材
  • Who We Serve
    • 抗体治疗解决方案
    • 细胞与基因治疗解决方案
    • 学术科研
    • 工业与应用
  • 联系我们
  • 货号直购
  • 订单查询
  • 查找文件&证书
Thermo Fisher Scientific Logo

Search

搜索全部或下列指定分类
Search button
          • 联系我们
          • 货号直购
          • 登录
            登录
            没有账号?建立账号 注册
            • 我的账号
            • 订单
            • 会员中心
            • 账单及发票查询
            • 定制产品及项目
          • Primary Antibodies ›
          • GNAQ Antibodies

          Invitrogen

          GNAQ Polyclonal Antibody

          1个已发表图片
          2 篇参考文献
          查看其他17个GNAQ抗体

          {{$productOrderCtrl.translations['antibody.pdp.commerceCard.promotion.promotions']}}

          {{$productOrderCtrl.translations['antibody.pdp.commerceCard.promotion.viewpromo']}}

          {{$productOrderCtrl.translations['antibody.pdp.commerceCard.promotion.promocode']}}: {{promo.promoCode}} {{promo.promoTitle}} {{promo.promoDescription}}. {{$productOrderCtrl.translations['antibody.pdp.commerceCard.promotion.learnmore']}}

          说明书
          证书
          实验方案
          问题与答案
          技术支持
          说明书
          证书
          实验方案
          问题与答案
          技术支持
          说明书
          证书
          实验方案
          问题与答案
          技术支持

          Cite GNAQ Polyclonal Antibody

          Additional Information:
          {{banner.description}}
          {{$ctrl.isSkuNotesCollapsed ? 'View more' : 'View less'}}
          • 抗体检测数据 (6)
          • 已发表图片 (1)
          GNAQ Antibody in Immunocytochemistry (ICC/IF)
          Group 53 Created with Sketch.
          GNAQ Antibody in Immunocytochemistry (ICC/IF)
          Group 53 Created with Sketch.

          图: 1 / 7

          {{ $ctrl.currentElement.advancedVerification.fullName }}
          {{ $ctrl.currentElement.advancedVerification.text }}

          GNAQ Antibody (PA5-79318) in ICC/IF

          Immunocytochemistry analysis of GNAQ using anti-GNAQ antibody (Product # PA5-79318). GNAQ was detected in a section of A431 cells. Enzyme antigen retrieval was performed using IHC enzyme antigen retrieval reagent for 15 mins. The cells were blocked with 10% goat serum and then incubated with 2μg/mL rabbit anti-GNAQ antibody (Product # PA5-79318)overnight at 4°C. DyLight®550 Conjugated Goat Anti-Rabbit IgG was used as secondary antibody at 1:100 dilution and incubated for 30 minutes at 37°C. The section was counterstained with DAPI. Visuali... View More {{ $ctrl.currentElement.advancedVerification.fullName }} 验证信息 View more
          已发表图片由___提供 benchsci-logo
          PMID: {{$ctrl.currentElement.benchSciPubmedId}}
          查看产品

          {{$ctrl.videoDesc}}

          {{$ctrl.videoLongDesc}}

          GNAQ Antibody in Immunocytochemistry (ICC/IF)
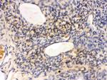
          GNAQ Antibody in Immunohistochemistry (Paraffin) (IHC (P))
          GNAQ Antibody in Immunohistochemistry (Paraffin) (IHC (P))
          GNAQ Antibody in Immunohistochemistry (Paraffin) (IHC (P))
          GNAQ Antibody in Western Blot (WB)
          GNAQ Antibody in Flow Cytometry (Flow)
          GNAQ Antibody in Immunohistochemistry (IHC)
          GNAQ Polyclonal Antibody

          产品信息

          PA5-79318

          应用
          建议稀释比
          已发表文章

          免疫印迹 (WB)

          0.1-0.5 µg/mL
          查看1篇已发表文章 1篇已发表文章

          免疫组化 (IHC)

          -
          查看1篇已发表文章 1篇已发表文章

          免疫组化(石蜡) (IHC (P))

          0.5-1 µg/mL
          -

          免疫细胞化学 (ICC/IF)

          2 µg/mL
          -

          流式细胞分析 (Flow)

          1-3 µg/1x10^6 cells
          -
          产品规格

          种属反应

          Human, Mouse, Rat

          已发表种属

          Human

          宿主/亚型

          Rabbit / IgG

          分类

          Polyclonal

          类型

          Antibody

          抗原

          A synthetic peptide corresponding to a sequence at the N-terminus of human GNAQ (102-138aa KYEHNKAHAQLVREVDVEKVSAFENPYVDAIKSLWND).
          3D表位/免疫原

          偶联物

          Unconjugated Unconjugated Unconjugated

          形式

          Lyophilized

          浓度

          500 µg/mL

          规格

          100 µg

          纯化类型

          Antigen affinity chromatography

          保存液

          PBS with 5mg BSA

          内含物

          0.05mg sodium azide

          保存条件

          -20°C

          运输条件

          Ambient (domestic); Wet ice (international)

          RRID

          AB_2746434

          产品详细信息

          Reconstitute with 0.2 mL of distilled water to yield a concentration of 500 µg/mL.

          Positive Control - WB: human placenta tissue, human Jurkat whole cell, rat brain tissue, mouse brain tissue. IHC: mouse testis tissue, rat ovary tissue, human prostatic cancer tissue. ICC/IF: A431 cell. Flow: A431 cell.

          靶标信息

          Guanine nucleotide-binding proteins are a family of heterotrimeric proteins that couple cell surface, 7-transmembrane domain receptors to intracellular signaling pathways. Receptor activation catalyzes the exchange of GTP for GDP bound to the inactive G protein alpha subunit resulting in a conformational change and dissociation of the complex. The G protein alpha and beta-gamma subunits are capable of regulating various cellular effectors. Activation is terminated by a GTPase intrinsic to the G-alpha subunit. G-alpha-q is the alpha subunit of one of the heterotrimeric GTP-binding proteins that mediates stimulation of phospholipase C-beta.

          仅用于科研。不用于诊断过程。未经明确授权不得转售。

          生物信息学

          蛋白别名: epididymis secretory sperm binding protein; G alpha q; G protein; GAQ; Gq; guanine nucleotide binding protein (G protein), q polypeptide; guanine nucleotide binding protein alpha q subunit; guanine nucleotide binding protein, alpha q polypeptide; guanine nucleotide regulatory protein G alpha q; Guanine nucleotide-binding protein alpha-q; Guanine nucleotide-binding protein G(q) subunit alpha; heterotrimeric guanine nucleotide-binding protein alpha q subunit; unnamed protein product

          查看更多 收起

          基因别名: 1110005L02Rik; 6230401I02Rik; AA408290; AW060788; CMAL; CMC1; Dsk1; Dsk10; G-ALPHA-q; Galphaq; GAQ; GNAQ; Gq; GqI; SWS

          查看更多 收起

          UniProt ID: (Human) P50148, (Rat) P82471, (Mouse) P21279

          查看更多 收起

          Entrez Gene ID: (Human) 2776, (Rat) 81666, (Mouse) 14682

          查看更多 收起

          功能
          nucleotide binding G-protein coupled receptor binding GTPase activity obsolete small monomeric GTPase activity GTPase activator activity protein binding GTP binding hydrolase activity guanyl nucleotide binding enzyme regulator activity G-protein beta/gamma-subunit complex binding metal ion binding signal transducer activity type 2A serotonin receptor binding protein complex binding heterotrimeric G-protein
          参与通路
          signal transduction G-protein coupled receptor signaling pathway adenylate cyclase-activating G-protein coupled receptor signaling pathway phospholipase C-activating G-protein coupled receptor signaling pathway phospholipase C-activating G-protein coupled glutamate receptor signaling pathway phospholipase C-activating serotonin receptor signaling pathway G-protein coupled acetylcholine receptor signaling pathway glutamate receptor signaling pathway neuropeptide signaling pathway blood coagulation phototransduction, visible light entrainment of circadian clock hormone-mediated signaling pathway regulation of platelet activation response to prostaglandin E protein stabilization regulation of canonical Wnt signaling pathway cellular response to acidic pH adenylate cyclase-activating G protein-coupled cAMP receptor signaling pathway skeletal system development action potential negative regulation of protein kinase activity activation of phospholipase C activity heart development metabolic process post-embryonic development neuron remodeling forebrain neuron development regulation of catenin import into nucleus maternal behavior embryonic digit morphogenesis positive regulation of apoptotic process negative regulation of apoptotic process negative regulation of potassium ion transport positive regulation of GTPase activity regulation of melanocyte differentiation developmental pigmentation positive regulation of smooth muscle cell proliferation phospholipase C-activating dopamine receptor signaling pathway
          It has to be done as per old AB suggested Products section.

          Disclaimer

          Close

          Clicking the images or links will redirect you to a website hosted by BenchSci that provides third-party scientific content. Neither the content nor the BenchSci technology and processes for selection have been evaluated by us; we are providing them as-is and without warranty of any kind, including for use or application of the Thermo Fisher Scientific products presented.

          guarantee_icon

          性能保障

          只要您发现Invitrogen抗体在实验中的表现与网站或说明书的所述内容不符,您即可享受免费退换货服务。*

          了解更多
          help_icon

          随时为您服务

          获取常见问题的专家解答,或者直接联系我们的技术专家,咨询应用、设备、常规产品使用问题。

          联系技术支持
          订购 Plus Icon Minus Icon
          • 订单状态查询
          • 订单支持
          • 货号直购
          • 现货供应中心
          • 电子采购
          支持 Plus Icon Minus Icon
          • 帮助&支持
          • 联系我们 - 400 820 8982
          • 技术支持中心
          • 查找文件&证书
          • 报告网站问题
          资源 Plus Icon Minus Icon
          • 学习中心
          • 促销
          • 活动&研讨会
          • 社交媒体
          关于赛默飞 Plus Icon Minus Icon
          • 关于我们
          • 招聘 招聘
          • 投资者关系 投资者关系
          • 新闻 新闻
          • 社会责任 社会责任
          • 商标
          • 政策和通知
          品牌 Plus Icon Minus Icon
          • Thermo Scientific
          • Applied Biosystems
          • Invitrogen
          • Gibco
          • Ion Torrent
          • Unity Lab Services
          • Patheon
          • PPD
          • 服务条款
          • 隐私政策
          • 定价和运输保险政策
          © 2006-2026 Thermo Fisher Scientific Inc. All rights reserved. All trademarks are the property of Thermo Fisher Scientific and its subsidiaries unless otherwise specified.
          China flag icon
          China
          本网站销售的所有产品均不得用于人类或动物之临床诊断或治疗,仅可用于工业或者科研等非医疗目的。
             电子营业执照 | 经营证照公示 | ICP备案号:沪ICP备11003924号 | 沪公网安备 31011502006935号

          Your items have has been added!


          Host server : magellan-search-green-6479c7f679-v472f:80/100.66.78.195:80.
          git-commit: b70c0dceb888abc3b0dcebb5bc3a5b8753e7e816
          git-url: https://github.com/thermofisher/magellan-search
          git-branch: release/2.50.0-Offline