Hamburger Menu Button
Thermo Fisher Scientific Logo
登录
没有账号?建立账号 注册
  • 产品
    • 抗体
    • 引物合成
    • GeneArt Gene Synthesis Instant Designer
    • TaqMan Assay and Array Search
    • PCR 设备和耗材
    • 色谱柱和纯化柱
    • 实验室离心机
    • 分子生物学试剂和试剂盒
    • 实验室塑料耗材及用品
    • 查看所有产品分类
  • 应用和技术
    • 色谱
    • 细胞转染和培养
    • 实时荧光定量PCR
    • 质谱
    • 实验室塑料耗材及用品
    • 电子显微镜
    • 蛋白质生物学
    • PCR
    • RNAi
    • 环境
    • 查看所有应用和技术
  • 服务
    • 定制服务
    • 企业级实验室信息化服务
    • 金融&租赁服务
    • 仪器服务
    • OEM和商业供应
    • 培训服务
    • 360° CDMO 和 CRO 服务
    • CDMO 服务
    • 临床试验 CRO 服务
    • Unity Lab Services
    • 查看所有帮助和支持
  • 帮助和支持
    • 学习中心
    • 联系我们
    • 更改国家或地区
    • 查看所有帮助和支持
  • 热门产品
    • TaqMan Real-Time PCR Assays
      TaqMan 实时荧光定量 PCR 试剂盒
    • Antibodies
      抗体
    • Oligos, Primers & Probes
      寡核苷酸、引物、探针
    • GeneArt Gene Synthesis
      GeneArt 基因合成
    • Cell Culture Plastics
      细胞培养耗材
  • Who We Serve
    • 抗体治疗解决方案
    • 细胞与基因治疗解决方案
    • 学术科研
    • 工业与应用
  • 联系我们
  • 货号直购
  • 订单查询
  • 查找文件&证书
Thermo Fisher Scientific Logo

Search

搜索全部或下列指定分类
Search button
          • 联系我们
          • 货号直购
          • 登录
            登录
            没有账号?建立账号 注册
            • 我的账号
            • 订单
            • 会员中心
            • 账单及发票查询
            • 定制产品及项目
          • Primary Antibodies ›
          • GP130 Antibodies

          Invitrogen

          GP130 Monoclonal Antibody (B11-B9-A8)

          查看其他44个GP130抗体

          {{$productOrderCtrl.translations['antibody.pdp.commerceCard.promotion.promotions']}}

          {{$productOrderCtrl.translations['antibody.pdp.commerceCard.promotion.viewpromo']}}

          {{$productOrderCtrl.translations['antibody.pdp.commerceCard.promotion.promocode']}}: {{promo.promoCode}} {{promo.promoTitle}} {{promo.promoDescription}}. {{$productOrderCtrl.translations['antibody.pdp.commerceCard.promotion.learnmore']}}

          说明书
          证书
          实验方案
          问题与答案
          技术支持
          说明书
          证书
          实验方案
          问题与答案
          技术支持
          说明书
          证书
          实验方案
          问题与答案
          技术支持

          Cite GP130 Monoclonal Antibody (B11-B9-A8)

          Additional Information:
          {{banner.description}}
          {{$ctrl.isSkuNotesCollapsed ? 'View more' : 'View less'}}
          • 抗体检测数据 (8)
          GP130 Antibody in Immunocytochemistry (ICC/IF)
          Group 53 Created with Sketch.
          GP130 Antibody in Immunocytochemistry (ICC/IF)
          Group 53 Created with Sketch.

          图: 1 / 8

          {{ $ctrl.currentElement.advancedVerification.fullName }}
          {{ $ctrl.currentElement.advancedVerification.text }}

          GP130 Antibody (MA5-34888) in ICC/IF

          Immunofluorescent analysis of CD130 in HUVEC cells (green). Samples were fixed in paraformaldehyde and permeabilised with 0.25% Triton X100/PBS, incubated with CD130 monoclonal antibody (Product # MA5-34888), followed by DAPI (blue). {{ $ctrl.currentElement.advancedVerification.fullName }} 验证信息 View more
          已发表图片由___提供 benchsci-logo
          PMID: {{$ctrl.currentElement.benchSciPubmedId}}
          查看产品

          {{$ctrl.videoDesc}}

          {{$ctrl.videoLongDesc}}

          GP130 Antibody in Immunocytochemistry (ICC/IF)
          GP130 Antibody in Immunocytochemistry (ICC/IF)
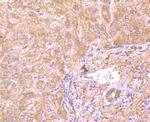
          GP130 Antibody in Immunohistochemistry (Paraffin) (IHC (P))
          GP130 Antibody in Immunohistochemistry (Paraffin) (IHC (P))
          GP130 Antibody in Immunohistochemistry (Paraffin) (IHC (P))
          GP130 Antibody in Immunohistochemistry (Paraffin) (IHC (P))
          GP130 Antibody in Western Blot (WB)
          GP130 Antibody in Western Blot (WB)
          GP130 Monoclonal Antibody (B11-B9-A8)

          产品信息

          MA5-34888

          应用
          建议稀释比
          已发表文章

          免疫印迹 (WB)

          1:500-1:2,000
          -

          免疫组化(石蜡) (IHC (P))

          1:50-1:200
          -

          免疫细胞化学 (ICC/IF)

          1:50-1:200
          -
          产品规格

          种属反应

          Human

          宿主/亚型

          Mouse / IgG2b

          分类

          Monoclonal

          类型

          Antibody

          克隆号

          B11-B9-A8

          抗原

          Recombinant protein within Human CD130 238-422.
          3D表位/免疫原

          偶联物

          Unconjugated Unconjugated Unconjugated

          形式

          Liquid

          浓度

          2 mg/mL

          规格

          200 µg

          纯化类型

          Protein G

          保存液

          PBS, pH 7.4, with 50% glycerol, 0.2% BSA

          内含物

          0.05% sodium azide

          保存条件

          -20°C, Avoid Freeze/Thaw Cycles

          运输条件

          Ambient (domestic); Wet ice (international)

          RRID

          AB_2848795

          产品详细信息

          Positive Control: CD130 recombinant protein, Raji cell and mouse lung tissue lysates, HUVEC, LOVO, human prostate tissue, human liver tissue, human kidney tissue, human pancreas tissue.

          靶标信息

          The protein encoded by this gene is a signal transducer shared by many cytokines, including interleukin 6 (IL6), ciliary neurotrophic factor (CNTF), leukemia inhibitory factor (LIF), and oncostatin M (OSM). This protein functions as a part of the cytokine receptor complex. The activation of this protein is dependent upon the binding of cytokines to their receptors. vIL6, a protein related to IL6 and encoded by the Kaposi sarcoma-associated herpesvirus, can bypass the interleukin 6 receptor (IL6R) and directly activate this protein. Knockout studies in mice suggested a critical role of the gene encoding this protein in regulating myocyte apoptosis. Alternatively spliced transcript variants encoding distinct isoforms have been described.

          仅用于科研。不用于诊断过程。未经明确授权不得转售。

          篇参考文献 (0)

          您是否在文献中引用过该产品?请点击下方按钮邮件告知我们。
          引用该产品

          生物信息学

          蛋白别名: CD130; CD130 antigen; CDw130; gp130; gp130 of the rheumatoid arthritis antigenic peptide-bearing soluble form; gp130, oncostatin M receptor; GP130-RAPS; IL-6 receptor subunit beta; IL-6R subunit beta; IL6R-beta; interleukin receptor beta chain; Interleukin-6 receptor subunit beta; Interleukin-6 signal transducer; LIF receptor/IL-6 receptor complex component; Membrane glycoprotein 130; membrane glycoprotein gp130; Oncostatin-M receptor subunit alpha; soluble receptor

          查看更多 收起

          基因别名: CD130; CDW130; GP130; HIES4; HIES4A; HIES4B; IL-6RB; IL6ST; IMD94; sGP130; STWS2

          查看更多 收起

          UniProt ID: (Human) P40189

          查看更多 收起

          Entrez Gene ID: (Human) 3572

          查看更多 收起

          功能
          cytokine receptor activity ciliary neurotrophic factor receptor activity interleukin-6 receptor activity interleukin-11 receptor activity leukemia inhibitory factor receptor activity oncostatin-M receptor activity ciliary neurotrophic factor receptor binding interleukin-6 receptor binding protein binding coreceptor activity growth factor binding cytokine binding interleukin-11 binding interleukin-6 binding protein tyrosine kinase activator activity identical protein binding interleukin-27 receptor activity scaffold protein binding
          参与通路
          positive regulation of acute inflammatory response positive regulation of adaptive immune response glycogen metabolic process signal transduction JAK-STAT cascade positive regulation of cell proliferation regulation of Notch signaling pathway positive regulation of vascular endothelial growth factor production positive regulation of cardiac muscle hypertrophy cytokine-mediated signaling pathway cell differentiation response to cytokine interleukin-11-mediated signaling pathway oncostatin-M-mediated signaling pathway positive regulation of T cell proliferation negative regulation of apoptotic process negative regulation of neuron apoptotic process positive regulation of osteoblast differentiation positive regulation of Notch signaling pathway positive regulation of astrocyte differentiation leukemia inhibitory factor signaling pathway intestinal epithelial cell development interleukin-6-mediated signaling pathway negative regulation of interleukin-6-mediated signaling pathway interleukin-27-mediated signaling pathway ciliary neurotrophic factor-mediated signaling pathway T-helper 17 cell lineage commitment receptor signaling pathway via STAT positive regulation of platelet aggregation
          It has to be done as per old AB suggested Products section.

          Disclaimer

          Close

          Clicking the images or links will redirect you to a website hosted by BenchSci that provides third-party scientific content. Neither the content nor the BenchSci technology and processes for selection have been evaluated by us; we are providing them as-is and without warranty of any kind, including for use or application of the Thermo Fisher Scientific products presented.

          guarantee_icon

          性能保障

          只要您发现Invitrogen抗体在实验中的表现与网站或说明书的所述内容不符,您即可享受免费退换货服务。*

          了解更多
          help_icon

          随时为您服务

          获取常见问题的专家解答,或者直接联系我们的技术专家,咨询应用、设备、常规产品使用问题。

          联系技术支持
          订购 Plus Icon Minus Icon
          • 订单状态查询
          • 订单支持
          • 货号直购
          • 现货供应中心
          • 电子采购
          支持 Plus Icon Minus Icon
          • 帮助&支持
          • 联系我们 - 400 820 8982
          • 技术支持中心
          • 查找文件&证书
          • 报告网站问题
          资源 Plus Icon Minus Icon
          • 学习中心
          • 促销
          • 活动&研讨会
          • 社交媒体
          关于赛默飞 Plus Icon Minus Icon
          • 关于我们
          • 招聘 招聘
          • 投资者关系 投资者关系
          • 新闻 新闻
          • 社会责任 社会责任
          • 商标
          • 政策和通知
          品牌 Plus Icon Minus Icon
          • Thermo Scientific
          • Applied Biosystems
          • Invitrogen
          • Gibco
          • Ion Torrent
          • Unity Lab Services
          • Patheon
          • PPD
          • 服务条款
          • 隐私政策
          • 定价和运输保险政策
          © 2006-2026 Thermo Fisher Scientific Inc. All rights reserved. All trademarks are the property of Thermo Fisher Scientific and its subsidiaries unless otherwise specified.
          China flag icon
          China
          本网站销售的所有产品均不得用于人类或动物之临床诊断或治疗,仅可用于工业或者科研等非医疗目的。
             电子营业执照 | 经营证照公示 | ICP备案号:沪ICP备11003924号 | 沪公网安备 31011502006935号

          Your items have has been added!


          Host server : magellan-search-green-6479c7f679-v472f:80/100.66.78.195:80.
          git-commit: b70c0dceb888abc3b0dcebb5bc3a5b8753e7e816
          git-url: https://github.com/thermofisher/magellan-search
          git-branch: release/2.50.0-Offline