Hamburger Menu Button
Thermo Fisher Scientific Logo
登录
没有账号?建立账号 注册
  • 产品
    • 抗体
    • 引物合成
    • GeneArt Gene Synthesis Instant Designer
    • TaqMan Assay and Array Search
    • PCR 设备和耗材
    • 色谱柱和纯化柱
    • 实验室离心机
    • 分子生物学试剂和试剂盒
    • 实验室塑料耗材及用品
    • 查看所有产品分类
  • 应用和技术
    • 色谱
    • 细胞转染和培养
    • 实时荧光定量PCR
    • 质谱
    • 实验室塑料耗材及用品
    • 电子显微镜
    • 蛋白质生物学
    • PCR
    • RNAi
    • 环境
    • 查看所有应用和技术
  • 服务
    • 定制服务
    • 企业级实验室信息化服务
    • 企业服务
    • 金融&租赁服务
    • 仪器服务
    • OEM和商业供应
    • 培训服务
    • 360° CDMO 和 CRO 服务
    • CDMO 服务
    • 临床试验 CRO 服务
    • 查看所有帮助和支持
  • 帮助和支持
    • 学习中心
    • 联系我们
    • 更改国家或地区
    • 查看所有帮助和支持
  • 热门产品
    • TaqMan Real-Time PCR Assays
      TaqMan 实时荧光定量 PCR 试剂盒
    • Antibodies
      抗体
    • Oligos, Primers & Probes
      寡核苷酸、引物、探针
    • GeneArt Gene Synthesis
      GeneArt 基因合成
    • Cell Culture Plastics
      细胞培养耗材
  • 联系我们
  • 货号直购
  • 订单查询
  • 查找文件&证书
Thermo Fisher Scientific Logo

Search

搜索全部或下列指定分类
Search button
          • 联系我们
          • 货号直购
          • 登录
            登录
            没有账号?建立账号 注册
            • 我的账号
            • 订单
            • 账单及发票查询
            • 定制产品及项目

          Disclaimer

          Clicking the images or links will redirect you to a website hosted by BenchSci that provides third-party scientific content. Neither the content nor the BenchSci technology and processes for selection have been evaluated by us; we are providing them as-is and without warranty of any kind, including for use or application of the Thermo Fisher Scientific products presented.

          • Primary Antibodies ›
          • GPR30 Antibodies

          Invitrogen

          GPR30 Polyclonal Antibody

          1 篇参考文献
          查看其他15个GPR30抗体

          {{$productOrderCtrl.translations['antibody.pdp.commerceCard.promotion.promotions']}}

          {{$productOrderCtrl.translations['antibody.pdp.commerceCard.promotion.viewpromo']}}

          {{$productOrderCtrl.translations['antibody.pdp.commerceCard.promotion.promocode']}}: {{promo.promoCode}} {{promo.promoTitle}} {{promo.promoDescription}}. {{$productOrderCtrl.translations['antibody.pdp.commerceCard.promotion.learnmore']}}

          说明书
          证书
          实验方案
          问题与答案
          技术支持
          说明书
          证书
          实验方案
          问题与答案
          技术支持
          说明书
          证书
          实验方案
          问题与答案
          技术支持

          Cite GPR30 Polyclonal Antibody

          • 抗体检测数据 (10)
          GPR30 Antibody in Immunocytochemistry (ICC/IF)
          Group 53 Created with Sketch.
          GPR30 Antibody in Immunocytochemistry (ICC/IF)
          Group 53 Created with Sketch.

          图: 1 / 10

          {{ $ctrl.currentElement.advancedVerification.fullName }}
          {{ $ctrl.currentElement.advancedVerification.text }}

          GPR30 Antibody (PA5-109319) in ICC/IF

          Immunofluorescent analysis of G-protein coupled receptor 30 in SH-SY-5Y cells (green). Samples were formalin fixed, permeabilized with 0.1% Triton X-100 in TBS (1 hour, room temperature) and blocked with 1% BSA (15 min, room temperature), incubated with G-protein coupled receptor 30 polyclonal antibody (Product # PA5-109319) at a dilution of 1:100 (1 hour, room temperature), and followed by Alexa Fluor 488 Goat anti-Rabbit IgG and DAPI (blue) with a dilution of 1:100. {{ $ctrl.currentElement.advancedVerification.fullName }} 验证信息 View more
          已发表图片由___提供 benchsci-logo
          PMID: {{$ctrl.currentElement.benchSciPubmedId}}
          查看产品

          {{$ctrl.videoDesc}}

          {{$ctrl.videoLongDesc}}

          GPR30 Antibody in Immunocytochemistry (ICC/IF)
          GPR30 Antibody in Immunocytochemistry (ICC/IF)
          GPR30 Antibody in Immunocytochemistry (ICC/IF)
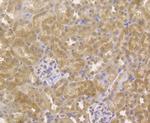
          GPR30 Antibody in Immunohistochemistry (Paraffin) (IHC (P))
          GPR30 Antibody in Immunohistochemistry (Paraffin) (IHC (P))
          GPR30 Antibody in Immunohistochemistry (Paraffin) (IHC (P))
          GPR30 Antibody in Immunohistochemistry (Paraffin) (IHC (P))
          GPR30 Antibody in Immunohistochemistry (Paraffin) (IHC (P))
          GPR30 Antibody in Western Blot (WB)
          GPR30 Antibody in Flow Cytometry (Flow)
          GPR30 Polyclonal Antibody

          产品信息

          PA5-109319

          应用
          建议稀释比
          已发表文章

          免疫印迹 (WB)

          1:500-1:1,000
          -

          免疫组化 (IHC)

          -
          查看1篇已发表文章 1篇已发表文章

          免疫组化(石蜡) (IHC (P))

          1:50-1:200
          -

          免疫细胞化学 (ICC/IF)

          1:100
          -

          流式细胞分析 (Flow)

          1:1,000
          -
          产品规格

          种属反应

          Human

          已发表种属

          Human

          宿主/亚型

          Rabbit / IgG

          分类

          Polyclonal

          类型

          Antibody

          抗原

          Recombinant protein within Human G-protein coupled receptor 30 aa 236-375.
          查看免疫原

          偶联物

          Unconjugated Unconjugated Unconjugated

          形式

          Liquid

          浓度

          1 mg/mL

          纯化类型

          Affinity chromatography

          保存液

          PBS, pH 7.4, with 50% glycerol, 0.2% BSA

          内含物

          0.05% sodium azide

          保存条件

          -20°C, Avoid Freeze/Thaw Cycles, store in dark

          运输条件

          Ambient (domestic); Wet ice (international)

          RRID

          AB_2854730

          产品详细信息

          Positive Control: Lovo, HepG2, MG-63, SH-SY-5Y, rat uterus tissue, human liver cancer tissue, human appendix tissue, human placenta tissue, mouse kidney tissue.

          靶标信息

          This gene is a member of the G-protein coupled receptor 1 family and encodes a multi-pass membrane protein that localizes to the endoplasmic reticulum. The protein binds estrogen, resulting in intracellular calcium mobilization and synthesis of phosphatidylinositol 3,4,5-trisphosphate in the nucleus. This protein therefore plays a role in the rapid nongenomic signaling events widely observed following stimulation of cells and tissues with estrogen. Alternate transcriptional splice variants which encode the same protein have been characterized.

          仅用于科研。不用于诊断过程。未经明确授权不得转售。

          生物信息学

          蛋白别名: Chemoattractant receptor-like 2; chemokine receptor-like 2; constitutively expressed peptide-like receptor; FEG-1; Flow-induced endothelial G-protein coupled receptor 1; G protein-coupled estrogen receptor 1; G protein-coupled receptor 30; G-protein coupled estrogen receptor 1; G-protein coupled receptor 30; GPCR-Br; heptahelix receptor; IL8-related receptor DRY12; leucine rich protein in GPR30 3'UTR; LYGPR; Lymphocyte-derived G-protein coupled receptor; Membrane estrogen receptor; mER

          查看更多 收起

          基因别名: CEPR; CMKRL2; DRY12; FEG-1; GPCR-Br; GPER; GPER1; GPR30; LERGU; LERGU2; LyGPR; mER

          查看更多 收起

          UniProt ID: (Human) Q99527

          查看更多 收起

          Entrez Gene ID: (Human) 2852

          查看更多 收起

          功能
          chromatin binding G-protein coupled receptor activity steroid binding protein binding drug binding mineralocorticoid receptor activity estrogen receptor activity steroid hormone binding G-protein coupled receptor
          参与通路
          positive regulation of protein phosphorylation positive regulation of neurotransmitter secretion negative regulation of leukocyte activation inflammatory response cell cycle G-protein coupled receptor signaling pathway positive regulation of cytosolic calcium ion concentration positive regulation of cell proliferation negative regulation of cell proliferation positive regulation of adenylate cyclase activity involved in G-protein coupled receptor signaling pathway positive regulation of gene expression negative regulation of gene expression negative regulation of cell cycle process positive regulation of phosphatidylinositol 3-kinase signaling neuronal action potential apoptotic chromosome condensation nuclear fragmentation involved in apoptotic nuclear change positive regulation of cell migration intracellular steroid hormone receptor signaling pathway positive regulation of cAMP biosynthetic process mineralocorticoid receptor signaling pathway positive regulation of insulin secretion positive regulation of inositol trisphosphate biosynthetic process positive regulation of apoptotic process positive regulation of cysteine-type endopeptidase activity involved in apoptotic process steroid hormone mediated signaling pathway positive regulation of MAPK cascade innate immune response negative regulation of fat cell differentiation positive regulation of epidermal growth factor receptor signaling pathway positive regulation of G-protein coupled receptor protein signaling pathway positive regulation of vasodilation positive regulation of transcription from RNA polymerase II promoter negative regulation of inflammatory response positive regulation of neurogenesis negative regulation of DNA metabolic process negative regulation of lipid biosynthetic process positive regulation of release of sequestered calcium ion into cytosol regulation of cytosolic calcium ion concentration negative regulation of protein kinase B signaling negative regulation of ERK1 and ERK2 cascade positive regulation of ERK1 and ERK2 cascade positive regulation of uterine smooth muscle contraction negative regulation of cell cycle arrest cellular response to glucose stimulus cellular response to tumor necrosis factor cellular response to peptide hormone stimulus cellular response to mineralocorticoid stimulus cellular response to estradiol stimulus positive regulation of establishment of protein localization to plasma membrane positive regulation of release of cytochrome c from mitochondria negative regulation of vascular smooth muscle cell proliferation positive regulation of endothelial cell apoptotic process positive regulation of cardiac vascular smooth muscle cell differentiation positive regulation of extrinsic apoptotic signaling pathway
          It has to be done as per old AB suggested Products section.
          guarantee_icon

          性能保障

          只要您发现Invitrogen抗体在实验中的表现与网站或说明书的所述内容不符,您即可享受免费退换货服务。*

          了解更多
          help_icon

          随时为您服务

          获取常见问题的专家解答,或者直接联系我们的技术专家,咨询应用、设备、常规产品使用问题。

          联系技术支持
          订购 Plus Icon Minus Icon
          • 订单状态查询
          • 订单支持
          • 货号直购
          • 现货供应中心
          • 电子采购
          支持 Plus Icon Minus Icon
          • 帮助&支持
          • 联系我们 - 400 820 8982
          • 技术支持中心
          • 查找文件&证书
          • 报告网站问题
          资源 Plus Icon Minus Icon
          • 学习中心
          • 促销
          • 活动&研讨会
          • 社交媒体
          关于赛默飞 Plus Icon Minus Icon
          • 关于我们
          • 招聘 招聘
          • 投资者关系 投资者关系
          • 新闻 新闻
          • 社会责任 社会责任
          • 商标
          • 政策和通知
          品牌 Plus Icon Minus Icon
          • Thermo Scientific
          • Applied Biosystems
          • Invitrogen
          • Gibco
          • Ion Torrent
          • Patheon
          • PPD
          • 服务条款
          • 隐私政策
          • 定价和运输保险政策
          © 2006-2026 Thermo Fisher Scientific Inc. All rights reserved. All trademarks are the property of Thermo Fisher Scientific and its subsidiaries unless otherwise specified.
          China flag icon
          China
          本网站销售的所有产品均不得用于人类或动物之临床诊断或治疗,仅可用于工业或者科研等非医疗目的。
             电子营业执照 | 经营证照公示 | ICP备案号:沪ICP备11003924号 | 沪公网安备 31011502006935号

          Your items have has been added!


          Host server : magellan-search-blue-55ff9ddd88-4lwcf:80/100.66.75.107:80.
          git-commit: d366ff9721d93504b2ac26a183b2b3e3d0e7d9ec
          git-url: https://github.com/thermofisher/magellan-search
          git-branch: release/2.42.0-2026.01.03-1.0