Hamburger Menu Button
Thermo Fisher Scientific Logo
登录
没有账号?建立账号 注册
  • 产品
    • 抗体
    • 引物合成
    • GeneArt Gene Synthesis Instant Designer
    • TaqMan Assay and Array Search
    • PCR 设备和耗材
    • 色谱柱和纯化柱
    • 实验室离心机
    • 分子生物学试剂和试剂盒
    • 实验室塑料耗材及用品
    • 查看所有产品分类
  • 应用和技术
    • 色谱
    • 细胞转染和培养
    • 实时荧光定量PCR
    • 质谱
    • 实验室塑料耗材及用品
    • 电子显微镜
    • 蛋白质生物学
    • PCR
    • RNAi
    • 环境
    • 查看所有应用和技术
  • 服务
    • 定制服务
    • 企业级实验室信息化服务
    • 金融&租赁服务
    • 仪器服务
    • OEM和商业供应
    • 培训服务
    • 360° CDMO 和 CRO 服务
    • CDMO 服务
    • 临床试验 CRO 服务
    • Unity Lab Services
    • 查看所有帮助和支持
  • 帮助和支持
    • 学习中心
    • 联系我们
    • 更改国家或地区
    • 查看所有帮助和支持
  • 热门产品
    • TaqMan Real-Time PCR Assays
      TaqMan 实时荧光定量 PCR 试剂盒
    • Antibodies
      抗体
    • Oligos, Primers & Probes
      寡核苷酸、引物、探针
    • GeneArt Gene Synthesis
      GeneArt 基因合成
    • Cell Culture Plastics
      细胞培养耗材
  • Who We Serve
    • 抗体治疗解决方案
    • 细胞与基因治疗解决方案
    • 学术科研
    • 工业与应用
  • 联系我们
  • 货号直购
  • 订单查询
  • 查找文件&证书
Thermo Fisher Scientific Logo

Search

搜索全部或下列指定分类
Search button
          • 联系我们
          • 货号直购
          • 登录
            登录
            没有账号?建立账号 注册
            • 我的账号
            • 订单
            • 会员中心
            • 账单及发票查询
            • 定制产品及项目
          • Primary Antibodies ›
          • GSK3 alpha Antibodies

          Invitrogen

          GSK3 alpha Monoclonal Antibody (6G2F1, 6G2F2)

          查看其他22个GSK3 alpha抗体

          {{$productOrderCtrl.translations['antibody.pdp.commerceCard.promotion.promotions']}}

          {{$productOrderCtrl.translations['antibody.pdp.commerceCard.promotion.viewpromo']}}

          {{$productOrderCtrl.translations['antibody.pdp.commerceCard.promotion.promocode']}}: {{promo.promoCode}} {{promo.promoTitle}} {{promo.promoDescription}}. {{$productOrderCtrl.translations['antibody.pdp.commerceCard.promotion.learnmore']}}

          说明书
          证书
          实验方案
          问题与答案
          技术支持
          说明书
          证书
          实验方案
          问题与答案
          技术支持
          说明书
          证书
          实验方案
          问题与答案
          技术支持

          Cite GSK3 alpha Monoclonal Antibody (6G2F1, 6G2F2)

          Additional Information:
          {{banner.description}}
          {{$ctrl.isSkuNotesCollapsed ? 'View more' : 'View less'}}
          • 抗体检测数据 (4)
          GSK3 alpha Antibody in Immunohistochemistry (Paraffin) (IHC (P))
          Group 53 Created with Sketch.
          GSK3 alpha Antibody in Immunohistochemistry (Paraffin) (IHC (P))
          Group 53 Created with Sketch.

          图: 1 / 4

          {{ $ctrl.currentElement.advancedVerification.fullName }}
          {{ $ctrl.currentElement.advancedVerification.text }}

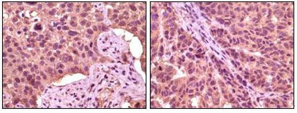
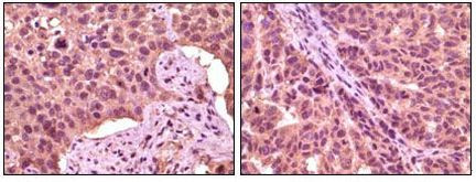
          GSK3 alpha Antibody (MA5-15301) in IHC (P)

          Immunohistochemical analysis of paraffin-embedded human lung carcinoma (left) and skin carcinoma (right) using GSK3 alpha monoclonal antibody (Product # MA5-15301) followed with DAB staining. {{ $ctrl.currentElement.advancedVerification.fullName }} 验证信息 View more
          已发表图片由___提供 benchsci-logo
          PMID: {{$ctrl.currentElement.benchSciPubmedId}}
          查看产品

          {{$ctrl.videoDesc}}

          {{$ctrl.videoLongDesc}}

          GSK3 alpha Antibody in Immunohistochemistry (Paraffin) (IHC (P))
          GSK3 alpha Antibody in Western Blot (WB)
          GSK3 alpha Antibody in Western Blot (WB)
          GSK3 alpha Antibody in Western Blot (WB)

          产品信息

          MA5-15301

          应用
          建议稀释比
          已发表文章

          免疫印迹 (WB)

          1:500-1:2,000
          -

          免疫组化(石蜡) (IHC (P))

          1:200-1:1,000
          -

          酶联免疫吸附实验 (ELISA)

          1:10,000
          -
          产品规格

          种属反应

          Human, Mouse, Non-human primate, Rat

          宿主/亚型

          Mouse / IgG

          分类

          Monoclonal

          类型

          Antibody

          克隆号

          6G2F1, 6G2F2

          抗原

          Purified recombinant fragment of GSK3 alpha expressed in E. Coli.

          偶联物

          Unconjugated Unconjugated Unconjugated

          形式

          Liquid

          浓度

          Conc. Not Determined

          保存液

          ascites

          内含物

          0.03% sodium azide

          保存条件

          Store at 4°C short term. For long term storage, store at -20°C, avoiding freeze/thaw cycles.

          运输条件

          Ambient (domestic); Wet ice (international)

          RRID

          AB_10974500

          产品详细信息

          MA5-15301 targets GSK3 alpha in indirect ELISA, IHC and WB applications and shows reactivity with Human samples.

          The MA5-15301 immunogen is purified recombinant fragment of GSK3 alpha expressed in E. Coli.

          靶标信息

          Glycogen synthase kinase 3 alpha (GSK3A) is a multifunctional protein serine/threonine kinase implicated in the control of several regulatory proteins and transcription factors. (GSK3A Alias: DKFZp686D0638). Human GSTs can be divided into five main classes: alpha, mu, pi, theta, and zeta. The theta class includes GSTT1 and GSTT2. The GSTT1 and GSTT2 share 55% amino acid sequence identity and both of them were claimed to have an important role in human carcinogenesis. The GSTT1 gene is located approximately 50kb away from the GSTT2 gene. The GSTT1 and GSTT2 genes have a similar structure, being composed of five exons with identical exon/intron boundaries.

          仅用于科研。不用于诊断过程。未经明确授权不得转售。

          篇参考文献 (0)

          您是否在文献中引用过该产品?请点击下方按钮邮件告知我们。
          引用该产品

          生物信息学

          蛋白别名: DKFZp686D0638; FA; Factor A; Glycogen synthase kinase-3 alpha; GSK-3 alpha; gsk-3-alpha; OTTHUMP00000198368; Serine/threonine-protein kinase GSK3A

          查看更多 收起

          基因别名: 2700086H06Rik; GSK3A

          查看更多 收起

          UniProt ID: (Human) P49840, (Rat) P18265, (Mouse) Q2NL51

          查看更多 收起

          Entrez Gene ID: (Human) 2931, (Rat) 50686, (Mouse) 606496

          查看更多 收起

          功能
          nucleotide binding protein kinase activity protein serine/threonine kinase activity receptor binding protein binding ATP binding kinase activity transferase activity protein kinase A catalytic subunit binding tau protein binding tau-protein kinase activity protein serine kinase activity transferase activity, transferring phosphorus-containing groups non-receptor serine/threonine protein kinase
          参与通路
          regulation of systemic arterial blood pressure cardiac left ventricle morphogenesis glycogen metabolic process nervous system development insulin receptor signaling pathway negative regulation of signal transduction positive regulation of autophagy positive regulation of gene expression negative regulation of UDP-glucose catabolic process regulation of neuron projection development Wnt signaling pathway cell migration viral protein processing cell differentiation positive regulation of protein ubiquitination lipopolysaccharide-mediated signaling pathway negative regulation of TOR signaling positive regulation of proteasomal ubiquitin-dependent protein catabolic process cellular response to insulin stimulus cellular response to interleukin-3 proteasome-mediated ubiquitin-dependent protein catabolic process positive regulation of neuron apoptotic process negative regulation of glycogen biosynthetic process positive regulation of protein catabolic process positive regulation of heart contraction positive regulation of transcription from RNA polymerase II promoter negative regulation of glucose import negative regulation of insulin receptor signaling pathway excitatory postsynaptic potential negative regulation of cell growth involved in cardiac muscle cell development regulation of microtubule cytoskeleton organization cellular response to lithium ion cellular response to glucocorticoid stimulus positive regulation of adrenergic receptor signaling pathway negative regulation of canonical Wnt signaling pathway extrinsic apoptotic signaling pathway extrinsic apoptotic signaling pathway in absence of ligand positive regulation of adenylate cyclase-activating G protein-coupled receptor signaling pathway autosome genomic imprinting beta-arrestin-dependent dopamine receptor signaling pathway positive regulation of substrate adhesion-dependent cell spreading positive regulation of mitochondrial outer membrane permeabilization involved in apoptotic signaling pathway regulation of mitophagy cellular response to oxygen-containing compound positive regulation of beta-amyloid formation positive regulation of protein targeting to mitochondrion positive regulation of establishment of protein localization negative regulation of type B pancreatic cell development negative regulation of glycogen (starch) synthase activity regulation of gene expression by genetic imprinting protein phosphorylation signal transduction positive regulation of peptidyl-threonine phosphorylation positive regulation of cAMP biosynthetic process positive regulation of peptidyl-serine phosphorylation hypermethylation of CpG island negative regulation of transferase activity cellular response to organic cyclic compound positive regulation of glycogen (starch) synthase activity carbohydrate metabolic process phosphorylation regulation of mitophagy
          It has to be done as per old AB suggested Products section.

          Disclaimer

          Close

          Clicking the images or links will redirect you to a website hosted by BenchSci that provides third-party scientific content. Neither the content nor the BenchSci technology and processes for selection have been evaluated by us; we are providing them as-is and without warranty of any kind, including for use or application of the Thermo Fisher Scientific products presented.

          guarantee_icon

          性能保障

          只要您发现Invitrogen抗体在实验中的表现与网站或说明书的所述内容不符,您即可享受免费退换货服务。*

          了解更多
          help_icon

          随时为您服务

          获取常见问题的专家解答,或者直接联系我们的技术专家,咨询应用、设备、常规产品使用问题。

          联系技术支持
          订购 Plus Icon Minus Icon
          • 订单状态查询
          • 订单支持
          • 货号直购
          • 现货供应中心
          • 电子采购
          支持 Plus Icon Minus Icon
          • 帮助&支持
          • 联系我们 - 400 820 8982
          • 技术支持中心
          • 查找文件&证书
          • 报告网站问题
          资源 Plus Icon Minus Icon
          • 学习中心
          • 促销
          • 活动&研讨会
          • 社交媒体
          关于赛默飞 Plus Icon Minus Icon
          • 关于我们
          • 招聘 招聘
          • 投资者关系 投资者关系
          • 新闻 新闻
          • 社会责任 社会责任
          • 商标
          • 政策和通知
          品牌 Plus Icon Minus Icon
          • Thermo Scientific
          • Applied Biosystems
          • Invitrogen
          • Gibco
          • Ion Torrent
          • Unity Lab Services
          • Patheon
          • PPD
          • 服务条款
          • 隐私政策
          • 定价和运输保险政策
          © 2006-2026 Thermo Fisher Scientific Inc. All rights reserved. All trademarks are the property of Thermo Fisher Scientific and its subsidiaries unless otherwise specified.
          China flag icon
          China
          本网站销售的所有产品均不得用于人类或动物之临床诊断或治疗,仅可用于工业或者科研等非医疗目的。
             电子营业执照 | 经营证照公示 | ICP备案号:沪ICP备11003924号 | 沪公网安备 31011502006935号

          Your items have has been added!


          Host server : magellan-search-green-6479c7f679-sz4vp:80/100.66.76.236:80.
          git-commit: b70c0dceb888abc3b0dcebb5bc3a5b8753e7e816
          git-url: https://github.com/thermofisher/magellan-search
          git-branch: release/2.50.0-Offline