Hamburger Menu Button
Thermo Fisher Scientific Logo
登录
没有账号?建立账号 注册
  • 产品
    • 抗体
    • 引物合成
    • GeneArt Gene Synthesis Instant Designer
    • TaqMan Assay and Array Search
    • PCR 设备和耗材
    • 色谱柱和纯化柱
    • 实验室离心机
    • 分子生物学试剂和试剂盒
    • 实验室塑料耗材及用品
    • 查看所有产品分类
  • 应用和技术
    • 色谱
    • 细胞转染和培养
    • 实时荧光定量PCR
    • 质谱
    • 实验室塑料耗材及用品
    • 电子显微镜
    • 蛋白质生物学
    • PCR
    • RNAi
    • 环境
    • 查看所有应用和技术
  • 服务
    • 定制服务
    • 企业级实验室信息化服务
    • 企业服务
    • 金融&租赁服务
    • 仪器服务
    • OEM和商业供应
    • 培训服务
    • 360° CDMO 和 CRO 服务
    • CDMO 服务
    • 临床试验 CRO 服务
    • 查看所有帮助和支持
  • 帮助和支持
    • 学习中心
    • 联系我们
    • 更改国家或地区
    • 查看所有帮助和支持
  • 热门产品
    • TaqMan Real-Time PCR Assays
      TaqMan 实时荧光定量 PCR 试剂盒
    • Antibodies
      抗体
    • Oligos, Primers & Probes
      寡核苷酸、引物、探针
    • GeneArt Gene Synthesis
      GeneArt 基因合成
    • Cell Culture Plastics
      细胞培养耗材
  • 联系我们
  • 货号直购
  • 订单查询
  • 查找文件&证书
Thermo Fisher Scientific Logo

Search

搜索全部或下列指定分类
Search button
          • 联系我们
          • 货号直购
          • 登录
            登录
            没有账号?建立账号 注册
            • 我的账号
            • 订单
            • 账单及发票查询
            • 定制产品及项目

          Disclaimer

          Clicking the images or links will redirect you to a website hosted by BenchSci that provides third-party scientific content. Neither the content nor the BenchSci technology and processes for selection have been evaluated by us; we are providing them as-is and without warranty of any kind, including for use or application of the Thermo Fisher Scientific products presented.

          • Primary Antibodies ›
          • GSK3B Antibodies

          Proteintech

          GSK3B Recombinant Rabbit Monoclonal Antibody (4N21)

          查看其他47个GSK3B抗体

          {{$productOrderCtrl.translations['antibody.pdp.commerceCard.promotion.promotions']}}

          {{$productOrderCtrl.translations['antibody.pdp.commerceCard.promotion.viewpromo']}}

          {{$productOrderCtrl.translations['antibody.pdp.commerceCard.promotion.promocode']}}: {{promo.promoCode}} {{promo.promoTitle}} {{promo.promoDescription}}. {{$productOrderCtrl.translations['antibody.pdp.commerceCard.promotion.learnmore']}}

          说明书
          证书
          实验方案
          问题与答案
          技术支持
          说明书
          证书
          实验方案
          问题与答案
          技术支持
          说明书
          证书
          实验方案
          问题与答案
          技术支持

          Cite GSK3B Recombinant Rabbit Monoclonal Antibody (4N21)

          • 抗体检测数据 (3)
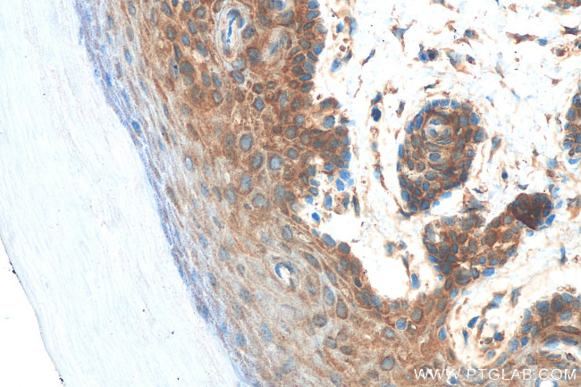
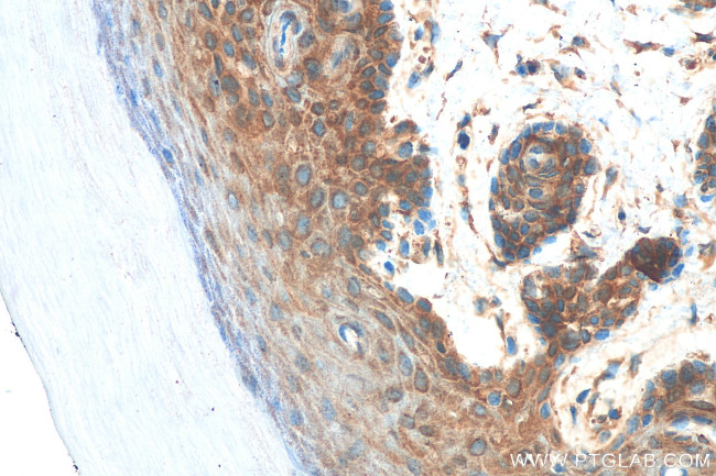
          GSK3B Antibody in Immunohistochemistry (Paraffin) (IHC (P))
          Group 53 Created with Sketch.
          GSK3B Antibody in Immunohistochemistry (Paraffin) (IHC (P))
          Group 53 Created with Sketch.

          图: 1 / 3

          {{ $ctrl.currentElement.advancedVerification.fullName }}
          {{ $ctrl.currentElement.advancedVerification.text }}

          GSK3B Antibody (82061-1-RR) in IHC (P)

          Immunohistochemical analysis of paraffin-embedded mouse skin tissue slide using 82061-1-RR (GSK3B antibody) at dilution of 1:450 (under 40x lens). Heat mediated antigen retrieval with Tris-EDTA buffer (pH 9.0). {{ $ctrl.currentElement.advancedVerification.fullName }} 验证信息 View more
          已发表图片由___提供 benchsci-logo
          PMID: {{$ctrl.currentElement.benchSciPubmedId}}
          查看产品

          {{$ctrl.videoDesc}}

          {{$ctrl.videoLongDesc}}

          GSK3B Antibody in Immunohistochemistry (Paraffin) (IHC (P))
          GSK3B Antibody in Western Blot (WB)
          GSK3B Antibody in Immunoprecipitation (IP)
          GSK3B Recombinant Rabbit Monoclonal Antibody (4N21)

          产品信息

          82061-1-RR

          应用
          建议稀释比
          已发表文章

          免疫印迹 (WB)

          1:5,000-1:50,000
          -

          免疫组化(石蜡) (IHC (P))

          1:225-1:900
          -

          酶联免疫吸附实验 (ELISA)

          Assay-dependent
          -

          免疫沉淀 (IP)

          0.5-4 µg/1-3 mg of protein lysate
          -
          产品规格

          种属反应

          Human, Mouse, Rat

          宿主/亚型

          Rabbit / IgG

          Expression System

          Mammalian cells

          分类

          Recombinant Monoclonal

          类型

          Antibody

          克隆号

          4N21

          抗原

          Recombinant protein
          查看免疫原

          偶联物

          Unconjugated Unconjugated Unconjugated

          形式

          Liquid

          纯化类型

          Protein A

          保存液

          PBS with 50% glycerol

          内含物

          0.02% sodium azide

          保存条件

          -20°C

          运输条件

          Wet ice

          产品详细信息

          Immunogen sequence: ELRDPNVKLP NGRDTPALFN FTTQELSSNP PLATILIPPH ARIQAAASTP TNATAASDAN TGDRGQTNNA ASASASNST

          靶标信息

          GSK3B is a proline-directed serine/threonine protein kinase involved in energy metabolism, neuronal cell development and body pattern formation. It is a negative regulator of glucose homeostasis and is involved in energy metabolism, inflammation, ER-stress, mitochondrial dysfunction, and apoptotic pathways. GSK3B is a critical component of the Wnt/beta-catenin signaling pathway, and its activity results in the inhibition of Wnt signaling by mediating the degradation of beta-catenin. GSK3B is also involved in the Hedgehog, Notch, and insulin signaling pathways.

          仅用于科研。不用于诊断过程。未经明确授权不得转售。

          篇参考文献 (0)

          您是否在文献中引用过该产品?请点击下方按钮邮件告知我们。
          引用该产品

          生物信息学

          蛋白别名: EC 2.7.11.26; FA; Factor A; Glycogen synthase kinase-3 beta; GSK 3 beta; GSK 3B; GSK-3 beta; GSK-3 beta GSK3B; GSK-3b; GSK3 beta; GSK3beta isoform; pp37; Serine/threonine-protein kinase GSK3B

          查看更多 收起

          基因别名: 7330414F15Rik; 8430431H08Rik; C86142; GSK-3; GSK-3beta; GSK3; GSK3B

          查看更多 收起

          UniProt ID: (Human) P49841, (Mouse) Q9WV60, (Rat) P18266

          查看更多 收起

          Entrez Gene ID: (Human) 2932, (Mouse) 56637, (Rat) 84027

          查看更多 收起

          功能
          RNA polymerase II transcription factor binding p53 binding protein kinase activity protein serine/threonine kinase activity integrin binding protein binding ATP binding beta-catenin binding kinase activity protein kinase binding ubiquitin protein ligase binding protein kinase A catalytic subunit binding ionotropic glutamate receptor binding tau protein binding tau-protein kinase activity NF-kappaB binding nucleotide binding transcription factor binding transferase activity transferase activity, transferring phosphorus-containing groups non-receptor serine/threonine protein kinase
          参与通路
          re-entry into mitotic cell cycle epithelial to mesenchymal transition positive regulation of cell-matrix adhesion glycogen metabolic process regulation of gene expression by genetic imprinting protein phosphorylation protein export from nucleus ER overload response dopamine receptor signaling pathway axonogenesis myoblast fusion aging circadian rhythm organ morphogenesis negative regulation of cardiac muscle hypertrophy positive regulation of peptidyl-threonine phosphorylation positive regulation of mitochondrial membrane potential negative regulation of neuron maturation response to activity Wnt signaling pathway cell migration peptidyl-serine phosphorylation peptidyl-threonine phosphorylation hippocampus development establishment of cell polarity negative regulation of protein complex assembly positive regulation of protein complex assembly negative regulation of protein binding positive regulation of protein binding response to estradiol positive regulation of proteasomal ubiquitin-dependent protein catabolic process response to insulin regulation of microtubule-based process positive regulation of peptidyl-serine phosphorylation negative regulation of smooth muscle cell apoptotic process protein localization to microtubule intracellular signal transduction cellular response to hepatocyte growth factor stimulus cellular response to interleukin-3 cellular response to erythropoietin response to drug negative regulation of apoptotic process proteasome-mediated ubiquitin-dependent protein catabolic process negative regulation of MAP kinase activity positive regulation of neuron apoptotic process positive regulation of GTPase activity hypermethylation of CpG island canonical Wnt signaling pathway involved in positive regulation of apoptotic process fat cell differentiation negative regulation of glycogen biosynthetic process positive regulation of protein catabolic process positive regulation of axon extension positive regulation of transcription from RNA polymerase II promoter protein autophosphorylation positive regulation of protein export from nucleus regulation of neuronal synaptic plasticity positive regulation of smooth muscle cell proliferation negative regulation of dendrite morphogenesis negative regulation of nitric-oxide synthase activity negative regulation of NFAT protein import into nucleus canonical Wnt signaling pathway intrinsic apoptotic signaling pathway in response to endoplasmic reticulum stress cellular response to hydrogen peroxide superior temporal gyrus development cellular response to mechanical stimulus cellular response to iron(II) ion cellular response to lithium ion response to epinephrine negative regulation of canonical Wnt signaling pathway extrinsic apoptotic signaling pathway in absence of ligand chemical synaptic transmission, postsynaptic regulation of cellular response to heat negative regulation of protein localization to nucleus positive regulation of mitochondrial outer membrane permeabilization involved in apoptotic signaling pathway positive regulation of neuron death response to L-glutamate cellular response to dopamine negative regulation of dopaminergic neuron differentiation beta-catenin destruction complex assembly beta-catenin destruction complex disassembly response to insulin-like growth factor stimulus response to ultrasound response to angiotensin negative regulation of type B pancreatic cell development positive regulation of excitatory postsynaptic potential negative regulation of glycogen (starch) synthase activity positive regulation of DNA biosynthetic process positive regulation of stem cell differentiation negative regulation of neuron migration carbohydrate metabolic process cytoskeleton organization establishment or maintenance of cell polarity multicellular organism development nervous system development cell proliferation negative regulation of signal transduction regulation of neuron projection development negative regulation of neuron projection development myotube differentiation phosphorylation cell differentiation positive regulation of apoptotic process rhythmic process response to lithium ion
          It has to be done as per old AB suggested Products section.
          guarantee_icon

          性能保障

          只要您发现Invitrogen抗体在实验中的表现与网站或说明书的所述内容不符,您即可享受免费退换货服务。*

          了解更多
          help_icon

          随时为您服务

          获取常见问题的专家解答,或者直接联系我们的技术专家,咨询应用、设备、常规产品使用问题。

          联系技术支持
          订购 Plus Icon Minus Icon
          • 订单状态查询
          • 订单支持
          • 货号直购
          • 现货供应中心
          • 电子采购
          支持 Plus Icon Minus Icon
          • 帮助&支持
          • 联系我们 - 400 820 8982
          • 技术支持中心
          • 查找文件&证书
          • 报告网站问题
          资源 Plus Icon Minus Icon
          • 学习中心
          • 促销
          • 活动&研讨会
          • 社交媒体
          关于赛默飞 Plus Icon Minus Icon
          • 关于我们
          • 招聘 招聘
          • 投资者关系 投资者关系
          • 新闻 新闻
          • 社会责任 社会责任
          • 商标
          • 政策和通知
          品牌 Plus Icon Minus Icon
          • Thermo Scientific
          • Applied Biosystems
          • Invitrogen
          • Gibco
          • Ion Torrent
          • Patheon
          • PPD
          • 服务条款
          • 隐私政策
          • 定价和运输保险政策
          © 2006-2026 Thermo Fisher Scientific Inc. All rights reserved. All trademarks are the property of Thermo Fisher Scientific and its subsidiaries unless otherwise specified.
          China flag icon
          China
          本网站销售的所有产品均不得用于人类或动物之临床诊断或治疗,仅可用于工业或者科研等非医疗目的。
             电子营业执照 | 经营证照公示 | ICP备案号:沪ICP备11003924号 | 沪公网安备 31011502006935号

          Your items have has been added!


          Host server : magellan-search-blue-55ff9ddd88-8jdkq:80/100.66.75.107:80.
          git-commit: d366ff9721d93504b2ac26a183b2b3e3d0e7d9ec
          git-url: https://github.com/thermofisher/magellan-search
          git-branch: release/2.42.0-2026.01.03-1.0