Hamburger Menu Button
Thermo Fisher Scientific Logo
登录
没有账号?建立账号 注册
  • 产品
    • 抗体
    • 引物合成
    • GeneArt Gene Synthesis Instant Designer
    • TaqMan Assay and Array Search
    • PCR 设备和耗材
    • 色谱柱和纯化柱
    • 实验室离心机
    • 分子生物学试剂和试剂盒
    • 实验室塑料耗材及用品
    • 查看所有产品分类
  • 应用和技术
    • 色谱
    • 细胞转染和培养
    • 实时荧光定量PCR
    • 质谱
    • 实验室塑料耗材及用品
    • 电子显微镜
    • 蛋白质生物学
    • PCR
    • RNAi
    • 环境
    • 查看所有应用和技术
  • 服务
    • 定制服务
    • 企业级实验室信息化服务
    • 金融&租赁服务
    • 仪器服务
    • OEM和商业供应
    • 培训服务
    • 360° CDMO 和 CRO 服务
    • CDMO 服务
    • 临床试验 CRO 服务
    • Unity Lab Services
    • 查看所有帮助和支持
  • 帮助和支持
    • 学习中心
    • 联系我们
    • 更改国家或地区
    • 查看所有帮助和支持
  • 热门产品
    • TaqMan Real-Time PCR Assays
      TaqMan 实时荧光定量 PCR 试剂盒
    • Antibodies
      抗体
    • Oligos, Primers & Probes
      寡核苷酸、引物、探针
    • GeneArt Gene Synthesis
      GeneArt 基因合成
    • Cell Culture Plastics
      细胞培养耗材
  • Who We Serve
    • 抗体治疗解决方案
    • 细胞与基因治疗解决方案
    • 学术科研
    • 工业与应用
  • 联系我们
  • 货号直购
  • 订单查询
  • 查找文件&证书
Thermo Fisher Scientific Logo

Search

搜索全部或下列指定分类
Search button
          • 联系我们
          • 货号直购
          • 登录
            登录
            没有账号?建立账号 注册
            • 我的账号
            • 订单
            • 会员中心
            • 账单及发票查询
            • 定制产品及项目
          • Primary Antibodies ›
          • GluR2/GluR3/GluR4 Antibodies

          Invitrogen

          GluR2/GluR3/GluR4 Polyclonal Antibody

          高级验证
          1 篇参考文献

          {{$productOrderCtrl.translations['antibody.pdp.commerceCard.promotion.promotions']}}

          {{$productOrderCtrl.translations['antibody.pdp.commerceCard.promotion.viewpromo']}}

          {{$productOrderCtrl.translations['antibody.pdp.commerceCard.promotion.promocode']}}: {{promo.promoCode}} {{promo.promoTitle}} {{promo.promoDescription}}. {{$productOrderCtrl.translations['antibody.pdp.commerceCard.promotion.learnmore']}}

          说明书
          证书
          实验方案
          问题与答案
          技术支持
          说明书
          证书
          实验方案
          问题与答案
          技术支持
          说明书
          证书
          实验方案
          问题与答案
          技术支持

          Cite GluR2/GluR3/GluR4 Polyclonal Antibody

          Additional Information:
          {{banner.description}}
          {{$ctrl.isSkuNotesCollapsed ? 'View more' : 'View less'}}
          • 抗体检测数据 (2)
          • 高级验证 (1)
          GluR2/GluR3/GluR4 Antibody in Western Blot (WB)
          Group 53 Created with Sketch.
          GluR2/GluR3/GluR4 Antibody in Western Blot (WB)
          Group 53 Created with Sketch.

          图: 1 / 3

          {{ $ctrl.currentElement.advancedVerification.fullName }}
          {{ $ctrl.currentElement.advancedVerification.text }}

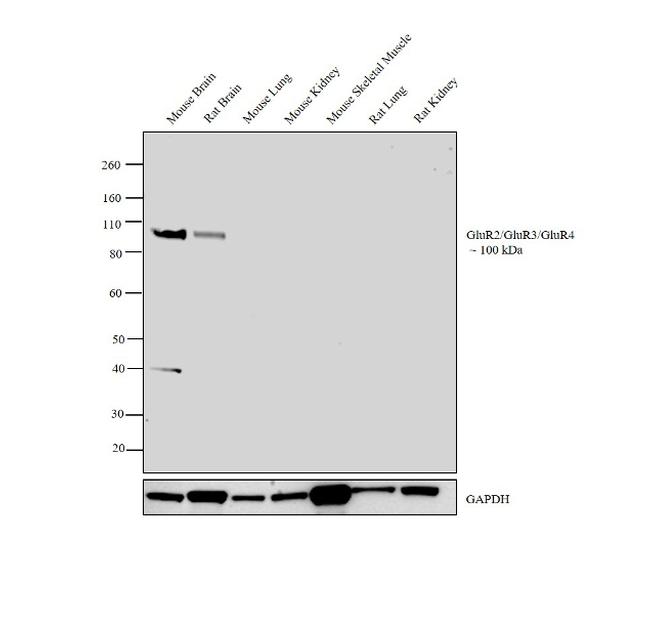
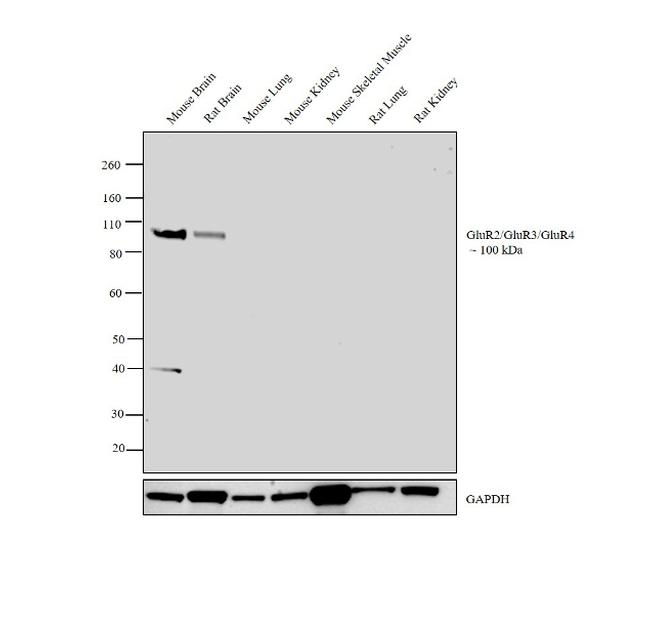
          GluR2/GluR3/GluR4 Antibody (PA5-17314) in WB

          Western blot analysis was performed on tissue extracts (30 µg lysate) of Mouse Brain (Lane 1), Rat Brain (Lane 2), Mouse Lung (Lane 3), Mouse Kidney (Lane 4), Mouse Skeletal Muscle (Lane 5), Rat Lung (Lane 6) and Rat Kidney (Lane 7). The blot was probed with Anti-GluR2/GluR3/GluR4 Polyclonal Antibody (Product # PA5-17314, 1:1000 dilution) and detected by chemiluminescence using Goat anti-Rabbit IgG (Heavy Chain) Superclonal™ Secondary Antibody, HRP conjugate (Product # A27036, 0.25 µg/mL, 1:4000 dilution). A 100 kDa band corresponding to G... View More {{ $ctrl.currentElement.advancedVerification.fullName }} 验证信息 View more
          已发表图片由___提供 benchsci-logo
          PMID: {{$ctrl.currentElement.benchSciPubmedId}}
          查看产品

          {{$ctrl.videoDesc}}

          {{$ctrl.videoLongDesc}}

          GluR2/GluR3/GluR4 Antibody in Western Blot (WB)
          GluR2/GluR3/GluR4 Antibody in Western Blot (WB)
          GluR2/GluR3/GluR4 Antibody
          GluR2/GluR3/GluR4 Polyclonal Antibody

          产品信息

          PA5-17314

          应用
          建议稀释比
          已发表文章

          免疫印迹 (WB)

          1:1,000
          查看1篇已发表文章 1篇已发表文章
          产品规格

          种属反应

          Human, Mouse, Rat

          已发表种属

          Mouse

          宿主/亚型

          Rabbit / IgG

          分类

          Polyclonal

          类型

          Antibody

          抗原

          Synthetic peptide corresponding to residues surrounding Ser720 of human GluR2
          3D表位/免疫原

          偶联物

          Unconjugated Unconjugated Unconjugated

          形式

          Liquid

          浓度

          79 µg/mL

          规格

          7.9 µg

          纯化类型

          Antigen affinity chromatography

          保存液

          0.01M HEPES, pH 7.5, with 0.15M NaCl, 100µg/mL BSA, 50% glycerol

          内含物

          no preservative

          保存条件

          -20°C

          运输条件

          Ambient (domestic); Wet ice (international)

          RRID

          AB_10985891

          产品详细信息

          It is not recommended to aliquot this antibody.

          靶标信息

          Glutamate receptors are the predominant excitatory neurotransmitter receptors in the mammalian brain and are activated in a variety of normal neurophysiologic processes. This gene product belongs to a family of glutamate receptors that are sensitive to alpha-amino-3-hydroxy-5-methyl-4-isoxazole propionate (AMPA), and function as ligand-activated cation channels. These channels are assembled from 4 related subunits, Gria1-4. The subunit encoded by this gene (Gria2) is subject to RNA editing (Q/R and R/G), which is thought to render the channels impermeable to Ca(2+), and to affect the kinetic aspects of these channels in rat brain. Alternative splicing, resulting in transcript variants encoding different isoforms (flip and flop), has been noted for this gene.

          仅用于科研。不用于诊断过程。未经明确授权不得转售。

          生物信息学

          蛋白别名: AMPA receptor subunit GluA2; AMPA receptor subunit GluA3; AMPA selective glutamate receptor; AMPA-selective glutamate receptor 2; AMPA-selective glutamate receptor 3; AMPA-selective glutamate receptor 4; dJ1171F9.1; GluA4; GluR-2; GluR-3; GluR-4; GluR-B; GluR-C; GluR-D; GluR-K2; GluR-K3; GluR2; glutamate receptor; Glutamate receptor 2; Glutamate receptor 3; Glutamate receptor 4; glutamate receptor B; glutamate receptor C; glutamate receptor channel alpha 4; glutamate receptor channel alpha3 subunit; Glutamate receptor ionotropic, AMPA 2; Glutamate receptor ionotropic, AMPA 3; Glutamate receptor ionotropic, AMPA 4; glutamate receptor subunit 3; glutamate receptor, ionotrophic, AMPA 3; glutamate receptor, ionotrophic, AMPA 4; glutamate receptor, ionotropic, AMPA 2; glutamate receptor, ionotropic, AMPA 3; glutamate receptor, ionotropic, AMPA 4; glutamate receptor, ionotropic, AMPA3 (alpha 3); glutamate receptor, ionotropic, AMPA4 (alpha 4); spike wave 1; unnamed protein product

          查看更多 收起

          基因别名: 2900064I19Rik; GluA2; GluA3; GluA4; GluA4-ATD; Glur-2; GluR-3; Glur-4; GluR-B; GLUR-C; GluR-D; GluR-K2; GLUR-K3; GLUR2; GLUR3; GLUR4; GLUR4C; Gluralpha3; Gluralpha4; GLURB; GLURC; GLURD; GRIA2; GRIA3; GRIA4; HBGR2; iGluR3; Kiaa4184; MRX94; MRXSW; NEDLIB; NEDSGA; spkw1

          查看更多 收起

          UniProt ID: (Human) P42262, (Human) P42263, (Human) P48058, (Rat) P19491, (Mouse) Q9Z2W9, (Rat) P19492, (Mouse) Q9Z2W8, (Rat) P19493

          查看更多 收起

          Entrez Gene ID: (Human) 2891, (Human) 2892, (Human) 2893, (Mouse) 14800, (Rat) 29627, (Mouse) 53623, (Rat) 29628, (Mouse) 14802, (Rat) 29629

          查看更多 收起

          功能
          beta-amyloid binding ionotropic glutamate receptor activity AMPA glutamate receptor activity ion channel activity protein binding ligand-gated ion channel activity signaling receptor activity ligand-gated monoatomic cation channel activity transmitter-gated ion channel activity involved in regulation of postsynaptic membrane potential glutamate-gated calcium ion channel activity ligand-gated monoatomic ion channel activity involved in regulation of presynaptic membrane potential receptor activity extracellular-glutamate-gated ion channel activity kainate selective glutamate receptor activity protein kinase binding PDZ domain binding identical protein binding calcium channel regulator activity transmembrane signal receptor
          参与通路
          ion transport signal transduction chemical synaptic transmission ion transmembrane transport ionotropic glutamate receptor signaling pathway synaptic transmission, glutamatergic modulation of synaptic transmission regulation of postsynaptic membrane potential cation transmembrane transport glutamate receptor signaling pathway calcium-mediated signaling protein homotetramerization protein heterotetramerization long-term synaptic potentiation regulation of presynaptic membrane potential negative regulation of smooth muscle cell apoptotic process regulation of receptor recycling transport receptor internalization establishment of protein localization positive regulation of synaptic transmission protein tetramerization regulation of synaptic transmission, glutamatergic response to lithium ion response to fungicide positive regulation of synaptic transmission, glutamatergic regulation of synapse structure or activity
          It has to be done as per old AB suggested Products section.

          Disclaimer

          Close

          Clicking the images or links will redirect you to a website hosted by BenchSci that provides third-party scientific content. Neither the content nor the BenchSci technology and processes for selection have been evaluated by us; we are providing them as-is and without warranty of any kind, including for use or application of the Thermo Fisher Scientific products presented.

          guarantee_icon

          性能保障

          只要您发现Invitrogen抗体在实验中的表现与网站或说明书的所述内容不符,您即可享受免费退换货服务。*

          了解更多
          help_icon

          随时为您服务

          获取常见问题的专家解答,或者直接联系我们的技术专家,咨询应用、设备、常规产品使用问题。

          联系技术支持
          订购 Plus Icon Minus Icon
          • 订单状态查询
          • 订单支持
          • 货号直购
          • 现货供应中心
          • 电子采购
          支持 Plus Icon Minus Icon
          • 帮助&支持
          • 联系我们 - 400 820 8982
          • 技术支持中心
          • 查找文件&证书
          • 报告网站问题
          资源 Plus Icon Minus Icon
          • 学习中心
          • 促销
          • 活动&研讨会
          • 社交媒体
          关于赛默飞 Plus Icon Minus Icon
          • 关于我们
          • 招聘 招聘
          • 投资者关系 投资者关系
          • 新闻 新闻
          • 社会责任 社会责任
          • 商标
          • 政策和通知
          品牌 Plus Icon Minus Icon
          • Thermo Scientific
          • Applied Biosystems
          • Invitrogen
          • Gibco
          • Ion Torrent
          • Unity Lab Services
          • Patheon
          • PPD
          • 服务条款
          • 隐私政策
          • 定价和运输保险政策
          © 2006-2026 Thermo Fisher Scientific Inc. All rights reserved. All trademarks are the property of Thermo Fisher Scientific and its subsidiaries unless otherwise specified.
          China flag icon
          China
          本网站销售的所有产品均不得用于人类或动物之临床诊断或治疗,仅可用于工业或者科研等非医疗目的。
             电子营业执照 | 经营证照公示 | ICP备案号:沪ICP备11003924号 | 沪公网安备 31011502006935号

          Your items have has been added!


          Host server : magellan-search-green-6479c7f679-jmhj8:80/100.66.74.142:80.
          git-commit: b70c0dceb888abc3b0dcebb5bc3a5b8753e7e816
          git-url: https://github.com/thermofisher/magellan-search
          git-branch: release/2.50.0-Offline