Hamburger Menu Button
Thermo Fisher Scientific Logo
登录
没有账号?建立账号 注册
  • 产品
    • 抗体
    • 引物合成
    • GeneArt Gene Synthesis Instant Designer
    • TaqMan Assay and Array Search
    • PCR 设备和耗材
    • 色谱柱和纯化柱
    • 实验室离心机
    • 分子生物学试剂和试剂盒
    • 实验室塑料耗材及用品
    • 查看所有产品分类
  • 应用和技术
    • 色谱
    • 细胞转染和培养
    • 实时荧光定量PCR
    • 质谱
    • 实验室塑料耗材及用品
    • 电子显微镜
    • 蛋白质生物学
    • PCR
    • RNAi
    • 环境
    • 查看所有应用和技术
  • 服务
    • 定制服务
    • 企业级实验室信息化服务
    • 金融&租赁服务
    • 仪器服务
    • OEM和商业供应
    • 培训服务
    • 360° CDMO 和 CRO 服务
    • CDMO 服务
    • 临床试验 CRO 服务
    • Unity Lab Services
    • 查看所有帮助和支持
  • 帮助和支持
    • 学习中心
    • 联系我们
    • 更改国家或地区
    • 查看所有帮助和支持
  • 热门产品
    • TaqMan Real-Time PCR Assays
      TaqMan 实时荧光定量 PCR 试剂盒
    • Antibodies
      抗体
    • Oligos, Primers & Probes
      寡核苷酸、引物、探针
    • GeneArt Gene Synthesis
      GeneArt 基因合成
    • Cell Culture Plastics
      细胞培养耗材
  • Who We Serve
    • 抗体治疗解决方案
    • 细胞与基因治疗解决方案
    • 学术科研
    • 工业与应用
  • 联系我们
  • 货号直购
  • 订单查询
  • 查找文件&证书
Thermo Fisher Scientific Logo

Search

搜索全部或下列指定分类
Search button
          • 联系我们
          • 货号直购
          • 登录
            登录
            没有账号?建立账号 注册
            • 我的账号
            • 订单
            • 会员中心
            • 账单及发票查询
            • 定制产品及项目
          • Secondary Antibodies ›
          • Goat anti-Human IgG Secondary Antibodies

          Invitrogen

          Goat anti-Human IgG (H+L) Cross-Adsorbed Secondary Antibody, HRP

          高级验证
          4个已发表图片
          查看其他156个Goat anti-Human IgG抗体

          {{$productOrderCtrl.translations['antibody.pdp.commerceCard.promotion.promotions']}}

          {{$productOrderCtrl.translations['antibody.pdp.commerceCard.promotion.viewpromo']}}

          {{$productOrderCtrl.translations['antibody.pdp.commerceCard.promotion.promocode']}}: {{promo.promoCode}} {{promo.promoTitle}} {{promo.promoDescription}}. {{$productOrderCtrl.translations['antibody.pdp.commerceCard.promotion.learnmore']}}

          说明书
          证书
          问题与答案
          技术支持
          说明书
          证书
          问题与答案
          技术支持
          说明书
          证书
          问题与答案
          技术支持

          Cite Goat anti-Human IgG (H+L) Cross-Adsorbed Secondary Antibody, HRP

          Additional Information:
          {{banner.description}}
          {{$ctrl.isSkuNotesCollapsed ? 'View more' : 'View less'}}
          • 抗体检测数据 (4)
          • 已发表图片 (4)
          • 高级验证 (1)
          Human IgG (H+L) Cross-Adsorbed Secondary Antibody in Western Blot (WB)
          Group 53 Created with Sketch.
          Human IgG (H+L) Cross-Adsorbed Secondary Antibody in Western Blot (WB)
          Group 53 Created with Sketch.

          图: 1 / 9

          {{ $ctrl.currentElement.advancedVerification.fullName }}
          {{ $ctrl.currentElement.advancedVerification.text }}

          Human IgG (H+L) Cross-Adsorbed Secondary Antibody (31412) in WB

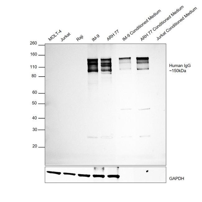
          Western blot (non-reducing) was performed using Goat anti-Human IgG (H+L) Cross-Adsorbed Secondary Antibody, HRP (Product # 31412) and a 150 kDa band corresponding to Human IgG was observed in IM-9, ARH-77 and IM-9, ARH-77 conditioned medium8203 (CM) but not in Raji, Jurkat, Molt-4 and Jurkat CM which are known to have low expression. Whole cell lysate (30 µg) of MOLT-4 (Lane 1), Jurkat (Lane 2), Raji (Lane... View More {{ $ctrl.currentElement.advancedVerification.fullName }} 验证信息 View more
          已发表图片由___提供 benchsci-logo
          PMID: {{$ctrl.currentElement.benchSciPubmedId}}
          查看产品

          {{$ctrl.videoDesc}}

          {{$ctrl.videoLongDesc}}

          Human IgG (H+L) Cross-Adsorbed Secondary Antibody in Western Blot (WB)
          Human IgG (H+L) Cross-Adsorbed Secondary Antibody in Western Blot (WB)
          Human IgG (H+L) Cross-Adsorbed Secondary Antibody in Western Blot (WB)
          Human IgG (H+L) Cross-Adsorbed Secondary Antibody in Western Blot (WB)
          Human IgG (H+L) Cross-Adsorbed Secondary Antibody in ELISA (ELISA)
          Human IgG (H+L) Cross-Adsorbed Secondary Antibody in ELISA (ELISA)
          Human IgG (H+L) Cross-Adsorbed Secondary Antibody in ELISA (ELISA)
          Human IgG (H+L) Cross-Adsorbed Secondary Antibody in ELISA (ELISA)
          Human IgG (H+L) Cross-Adsorbed Secondary Antibody

          产品信息

          31412

          应用
          建议稀释比

          免疫印迹 (WB)

          1:10,000 - 1:200,000

          免疫组化 (IHC)

          1:500-1:5,000

          免疫细胞化学 (ICC/IF)

          1:500-1:5,000
          产品规格

          种属反应

          Human

          宿主/亚型

          Goat / IgG

          分类

          Polyclonal

          类型

          Secondary Antibody

          偶联物

          HRP HRP HRP
          • Alexa Fluor 488 
          • Alexa Fluor 546 
          • Alexa Fluor 555 
          • Alexa Fluor 568 
          • Alexa Fluor 594 
          • Alexa Fluor 633 
          • Alexa Fluor 647 
          • Alexa Fluor Plus 405 
          • Alexa Fluor Plus 488 
          • Alexa Fluor Plus 555 
          • Alexa Fluor Plus 594 
          • Alexa Fluor Plus 647 
          • AP
          • Biotin 
          • FITC
          • Rhodamine
          • TRITC
          • Unconjugated
          • Request custom conjugation

          形式

          Lyophilized

          浓度

          0.8 mg/mL

          规格

          1.2 mg

          纯化类型

          Antigen affinity chromatography

          保存液

          PBS, pH 7.6, with 15mg/mL BSA

          内含物

          no preservative

          保存条件

          4°C

          运输条件

          Ambient (domestic); Wet ice (international)

          RRID

          AB_228265

          靶标

          IgG

          交叉吸附

          Against bovine, horse and mouse serum proteins

          抗体形式

          Whole Antibody

          产品详细信息

          Concentration may vary slightly from lot-to-lot, see lot-specific datasheet for exact concentration.

          This antibody has been successfully used in Western blot, and ICC applications.

          Antibody Specificity: When tested by immunoelectrophoresis, this antibody reacts with the heavy chains of human IgG and with light chains common to most human immunoglobulins. No antibody was detected against non-immunoglobulin serum proteins. The antibody has been tested by ELISA and/or solid-phase adsorbed to ensure minimal cross-reaction with bovine, horse and mouse serum proteins. However, this antibody may cross-react with immunoglobulins from other species.

          Restoration and Storage: Store product at 2-8°C until opened. Restore with 1.5 mL distilled water (0.8 mg/mL after restoration). Centrifuge product if it is not completely clear after standing for 1-2 hours at room temperature. To judge clarity, draw product into a pasteur pipette. Product may be stored for several weeks at -70°C as undiluted liquid. After dilution, do not use for more than one day.

          To extend the shelf-life of this product, add an equal volume of glycerol to make a final concentration of approximately 50% glycerol and store at -20°C.

          Country of Origin: USA

          靶标信息

          Anti-Human secondary antibodies are affinity-purified antibodies with well-characterized specificity for human immunoglobulins and are useful in the detection, sorting or purification of its specified target. Secondary antibodies offer increased versatility enabling users to use many detection systems (e.g. HRP, AP, fluorescence). They can also provide greater sensitivity through signal amplification as multiple secondary antibodies can bind to a single primary antibody. Most commonly, secondary antibodies are generated by immunizing the host animal with a pooled population of immunoglobulins from the target species and can be further purified and modified (i.e. immunoaffinity chromatography, antibody fragmentation, label conjugation, etc.) to generate highly specific reagents.

          仅用于科研。不用于诊断过程。未经明确授权不得转售。

          View product citations for antibody 31412 on CiteAb

          篇参考文献 (0)

          您是否在文献中引用过该产品?请点击下方按钮邮件告知我们。
          引用该产品
          It has to be done as per old AB suggested Products section.

          Disclaimer

          Close

          Clicking the images or links will redirect you to a website hosted by BenchSci that provides third-party scientific content. Neither the content nor the BenchSci technology and processes for selection have been evaluated by us; we are providing them as-is and without warranty of any kind, including for use or application of the Thermo Fisher Scientific products presented.

          guarantee_icon

          性能保障

          只要您发现Invitrogen抗体在实验中的表现与网站或说明书的所述内容不符,您即可享受免费退换货服务。*

          了解更多
          help_icon

          随时为您服务

          获取常见问题的专家解答,或者直接联系我们的技术专家,咨询应用、设备、常规产品使用问题。

          联系技术支持
          订购 Plus Icon Minus Icon
          • 订单状态查询
          • 订单支持
          • 货号直购
          • 现货供应中心
          • 电子采购
          支持 Plus Icon Minus Icon
          • 帮助&支持
          • 联系我们 - 400 820 8982
          • 技术支持中心
          • 查找文件&证书
          • 报告网站问题
          资源 Plus Icon Minus Icon
          • 学习中心
          • 促销
          • 活动&研讨会
          • 社交媒体
          关于赛默飞 Plus Icon Minus Icon
          • 关于我们
          • 招聘 招聘
          • 投资者关系 投资者关系
          • 新闻 新闻
          • 社会责任 社会责任
          • 商标
          • 政策和通知
          品牌 Plus Icon Minus Icon
          • Thermo Scientific
          • Applied Biosystems
          • Invitrogen
          • Gibco
          • Ion Torrent
          • Unity Lab Services
          • Patheon
          • PPD
          • 服务条款
          • 隐私政策
          • 定价和运输保险政策
          © 2006-2026 Thermo Fisher Scientific Inc. All rights reserved. All trademarks are the property of Thermo Fisher Scientific and its subsidiaries unless otherwise specified.
          China flag icon
          China
          本网站销售的所有产品均不得用于人类或动物之临床诊断或治疗,仅可用于工业或者科研等非医疗目的。
             电子营业执照 | 经营证照公示 | ICP备案号:沪ICP备11003924号 | 沪公网安备 31011502006935号

          Your items have has been added!


          Host server : magellan-search-green-6479c7f679-2z78h:80/100.66.76.236:80.
          git-commit: b70c0dceb888abc3b0dcebb5bc3a5b8753e7e816
          git-url: https://github.com/thermofisher/magellan-search
          git-branch: release/2.50.0-Offline