Hamburger Menu Button
Thermo Fisher Scientific Logo
登录
没有账号?建立账号 注册
  • 产品
    • 抗体
    • 引物合成
    • GeneArt Gene Synthesis Instant Designer
    • TaqMan Assay and Array Search
    • PCR 设备和耗材
    • 色谱柱和纯化柱
    • 实验室离心机
    • 分子生物学试剂和试剂盒
    • 实验室塑料耗材及用品
    • 查看所有产品分类
  • 应用和技术
    • 色谱
    • 细胞转染和培养
    • 实时荧光定量PCR
    • 质谱
    • 实验室塑料耗材及用品
    • 电子显微镜
    • 蛋白质生物学
    • PCR
    • RNAi
    • 环境
    • 查看所有应用和技术
  • 服务
    • 定制服务
    • 企业级实验室信息化服务
    • 金融&租赁服务
    • 仪器服务
    • OEM和商业供应
    • 培训服务
    • 360° CDMO 和 CRO 服务
    • CDMO 服务
    • 临床试验 CRO 服务
    • Unity Lab Services
    • 查看所有帮助和支持
  • 帮助和支持
    • 学习中心
    • 联系我们
    • 更改国家或地区
    • 查看所有帮助和支持
  • 热门产品
    • TaqMan Real-Time PCR Assays
      TaqMan 实时荧光定量 PCR 试剂盒
    • Antibodies
      抗体
    • Oligos, Primers & Probes
      寡核苷酸、引物、探针
    • GeneArt Gene Synthesis
      GeneArt 基因合成
    • Cell Culture Plastics
      细胞培养耗材
  • Who We Serve
    • 抗体治疗解决方案
    • 细胞与基因治疗解决方案
    • 学术科研
    • 工业与应用
  • 联系我们
  • 货号直购
  • 订单查询
  • 查找文件&证书
Thermo Fisher Scientific Logo

Search

搜索全部或下列指定分类
Search button
          • 联系我们
          • 货号直购
          • 登录
            登录
            没有账号?建立账号 注册
            • 我的账号
            • 订单
            • 会员中心
            • 账单及发票查询
            • 定制产品及项目
          • Primary Antibodies ›
          • H3K18me3 Antibodies

          Rockland

          H3K18me3 Polyclonal Antibody

          {{$productOrderCtrl.translations['antibody.pdp.commerceCard.promotion.promotions']}}

          {{$productOrderCtrl.translations['antibody.pdp.commerceCard.promotion.viewpromo']}}

          {{$productOrderCtrl.translations['antibody.pdp.commerceCard.promotion.promocode']}}: {{promo.promoCode}} {{promo.promoTitle}} {{promo.promoDescription}}. {{$productOrderCtrl.translations['antibody.pdp.commerceCard.promotion.learnmore']}}

          说明书
          证书
          实验方案
          问题与答案
          技术支持
          说明书
          证书
          实验方案
          问题与答案
          技术支持
          说明书
          证书
          实验方案
          问题与答案
          技术支持

          Cite H3K18me3 Polyclonal Antibody

          Additional Information:
          {{banner.description}}
          {{$ctrl.isSkuNotesCollapsed ? 'View more' : 'View less'}}
          • 抗体检测数据 (4)
          H3K18me3 Antibody in Immunocytochemistry (ICC/IF)
          Group 53 Created with Sketch.
          H3K18me3 Antibody in Immunocytochemistry (ICC/IF)
          Group 53 Created with Sketch.

          图: 1 / 4

          {{ $ctrl.currentElement.advancedVerification.fullName }}
          {{ $ctrl.currentElement.advancedVerification.text }}

          H3K18me3 Antibody (600-401-I80) in ICC/IF

          Immunofluorescence of Rabbit Anti-Histone H3 [Trimethyl Lys18] Antibody. Tissue: HeLa cells. Fixation: 0.5% PFA. Antigen retrieval: Not required. Primary antibody: Histone H3 [Trimethyl Lys18] antibody at a 1:50 dilution for 1 h at RT. Secondary antibody: FITC secondary antibody at 1:10,000 for 45 min at RT. Localization: Histone H3 [Trimethyl Lys18] is nuclear and chromosomal. Staining: Histone H3 [Trimethyl Lys18] is expressed in green, nuclei are counterstained with DAPI (blue). {{ $ctrl.currentElement.advancedVerification.fullName }} 验证信息 View more
          已发表图片由___提供 benchsci-logo
          PMID: {{$ctrl.currentElement.benchSciPubmedId}}
          查看产品

          {{$ctrl.videoDesc}}

          {{$ctrl.videoLongDesc}}

          H3K18me3 Antibody in Immunocytochemistry (ICC/IF)
          H3K18me3 Antibody in Western Blot (WB)
          H3K18me3 Antibody in Western Blot (WB)
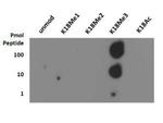
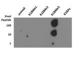
          H3K18me3 Antibody in Dot Blot (DB)
          H3K18me3 Polyclonal Antibody

          产品信息

          600-401-I80

          应用
          建议稀释比
          已发表文章

          免疫印迹 (WB)

          1:500
          -

          免疫组化 (IHC)

          1:50
          -

          免疫细胞化学 (ICC/IF)

          1:50
          -

          染色质免疫沉淀 实验 (ChIP)

          2-5 µg/1x10^6 cells
          -

          点杂交 (DB)

          1:10,000
          -
          产品规格

          种属反应

          C. elegans, Chicken, Fruit fly, Human, Mouse, Plant, Rat, Xenopus

          宿主/亚型

          Rabbit / IgG

          分类

          Polyclonal

          类型

          Antibody

          抗原

          Histone H3 [Trimethyl Lys18] affinity purified antibody was prepared from whole rabbit serum produced by repeated immunizations with a synthetic trimethylated peptide surrounding Lysine 18 of human Histone H3.2.
          3D表位/免疫原

          偶联物

          Unconjugated Unconjugated Unconjugated

          形式

          Liquid

          浓度

          0.6 mg/mL

          规格

          50 µg

          纯化类型

          Affinity chromatography

          保存液

          0.02M potassium phosphate, pH 7.2, with 30% glycerol, 0.15M NaCl

          内含物

          0.01% sodium azide

          保存条件

          -20°C, Avoid Freeze/Thaw Cycles

          运输条件

          Ambient (domestic); Wet ice (international)

          产品详细信息

          Store vial at -20° C prior to opening. Aliquot contents and freeze at -20° C or below for extended storage. Avoid cycles of freezing and thawing. Centrifuge product if not completely clear after standing at room temperature. This product is stable for several weeks at 4° C as an undiluted liquid. Dilute only prior to immediate use.

          Anti-Histone H3 [Trimethyl Lys18] reacts with human Histone H3.2. A BLAST analysis was used to suggest cross-reactivity with Human, mouse, and C. elegans. Predicted to react with many species including rat, chicken, Xenopus, Drosophila, and plant based on 100% sequence homology. Cross-reactivity with Histone H3 from other sources has not been determined.

          靶标信息

          Histones are basic nuclear proteins that are responsible for the nucleosome structure of the chromosomal fiber in eukaryotes. This structure consists of approximately 146 bp of DNA wrapped around a nucleosome, an octamer composed of pairs of each of the four core histones (H2A, H2B, H3, and H4). The chromatin fiber is further compacted through the interaction of a linker histone, H1, with the DNA between the nucleosomes to form higher order chromatin structures. This gene is intronless and encodes a member of the histone H3 family. Transcripts from this gene lack polyA tails; instead, they contain a palindromic termination element. This gene is found in a histone cluster on chromosome 1. This gene is one of four histone genes in the cluster that are duplicated; this record represents the telomeric copy.

          仅用于科研。不用于诊断过程。未经明确授权不得转售。

          篇参考文献 (0)

          您是否在文献中引用过该产品?请点击下方按钮邮件告知我们。
          引用该产品

          生物信息学

          蛋白别名: CG5825-PA; CG5825-PC; CG5825-PD; H3 histone family member 3B; H3 histone family, member L; H3 histone family, member M; H3 histone, family 2; H3 histone, family 3B (H3.3B); H3-clustered histone 13; H3-clustered histone 14; H3-clustered histone 15; H3-clustered histone 2; H3-clustered histone 3; H3-clustered histone 4; H3-clustered histone 6; H3-clustered histone 7; H3.A; H3K56me3; H3L-like histone; H3Lys18me3; H3Lys56me3; His3.3A-PA; His3.3A-PC; His3.3A-PD; histone ; histone 1, H3b; histone 2, H3a; histone 2, H3c; histone 2, H3c2; histone 2, H3ca2; histone cluster 1 H3 family member b; histone cluster 1, H3b; histone cluster 2 H3 family member a; histone cluster 2 H3 family member c; histone cluster 2, H3a; histone cluster 2, H3c; histone cluster 2, H3c2; histone cluster 2, H3c2, pseudogene; Histone H2A; Histone H3.1; Histone H3.2; Histone H3.3; histone H3.3 ; Histone H3.3A; Histone H3/a; Histone H3/b; Histone H3/c; Histone H3/d; Histone H3/f; Histone H3/h; Histone H3/i; Histone H3/j; Histone H3/k; Histone H3/l; Histone H3/m; Histone H3/o; Tri-methyl H3; Tri-methyl Histone H3; Trimethyl H3; Trimethyl Histone H3; unnamed protein product

          查看更多 收起

          基因别名: B0035.7; BRYLIB2; CELE_T10C6.12; CG5825; dH3.3A; Dmel\CG5825; Dmel_CG5825; F07B7.10; F07B7.3; F08G2.2; F17E9.13; F35H10.1; F45F2.4; F54E12.5; F55G1.10; H02I12.7; H3; H3-143; H3-3A; H3-3B; H3-53; H3-614; H3-B; H3-F; H3.2; H3.2-221; H3.2-614; H3.2-615; H3.2-616; H3.3; H3.3A; H3.3B; H3/l; H3/M; H3/n; H3/o; H3b; H3C1; H3C10; H3C11; H3C12; H3C13; H3C14; H3C15; H3C2; H3C3; H3C4; H3C6; H3C7; H3C8; H3f; H3F2; H3F3; H3F3A; H3F3B; H3FA; H3FB; H3FC HIST1H3C; H3FD; H3FF; H3FH; H3FI; H3FJ; H3FK; H3FL; H3FM; H3FN; his-12; his-16; his-19; his-21; his-3; His-3.3A; his-30; his-33; his-43; his-47; his-51; his-53; his-57; his-61; his-65; his-68; his-7; His3.3; His3.3A; HIST1H3A; HIST1H3B; Hist1h3c; HIST1H3D; HIST1H3E; HIST1H3F; HIST1H3G; HIST1H3H; HIST1H3I; HIST1H3J; HIST2H3A; Hist2h3b; HIST2H3C; Hist2h3c1; Hist2h3c2; Hist2h3c2-ps; Hist2h3ca1; Hist2h3ca2; HIST2H3D; K06C4.11; K06C4.3; M32461; PH3; PP781; T10C6.12; T23D8.6; ZK131.10; ZK131.6

          查看更多 收起

          UniProt ID: (Human) P84243, (Human) Q71DI3, (Human) P68431, (Fruit fly) C0HL66, (Mouse) P84228, (C. elegans) P09588

          查看更多 收起

          Entrez Gene ID: (Human) 3021, (Human) 126961, (Human) 333932, (Human) 8358, (Fruit fly) 33736, (Mouse) 319150, (Rat) 310678, (Mouse) 97114, (C. elegans) 180073

          查看更多 收起

          功能
          RNA polymerase II core promoter proximal region sequence-specific DNA binding RNA polymerase II core promoter sequence-specific DNA binding DNA binding protein binding structural constituent of chromatin nucleosomal DNA binding protein heterodimerization activity chromatin binding cadherin binding histone binding histone
          参与通路
          oocyte maturation osteoblast differentiation nucleosome assembly nucleus organization spermatogenesis spermatid development single fertilization embryo implantation cell proliferation male gonad development positive regulation of cell growth pericentric heterochromatin assembly telomeric heterochromatin assembly telomere organization multicellular organism growth muscle cell differentiation oogenesis regulation of centromere complex assembly negative regulation of chromosome condensation negative regulation of transcription from RNA polymerase II promoter chromatin organization gene expression regulation of gene expression, epigenetic DNA replication-independent nucleosome assembly male meiosis positive regulation of defense response to virus by host DNA replication-dependent nucleosome assembly protein heterotetramerization regulation of gene silencing chromatin silencing
          It has to be done as per old AB suggested Products section.

          Disclaimer

          Close

          Clicking the images or links will redirect you to a website hosted by BenchSci that provides third-party scientific content. Neither the content nor the BenchSci technology and processes for selection have been evaluated by us; we are providing them as-is and without warranty of any kind, including for use or application of the Thermo Fisher Scientific products presented.

          guarantee_icon

          性能保障

          只要您发现Invitrogen抗体在实验中的表现与网站或说明书的所述内容不符,您即可享受免费退换货服务。*

          了解更多
          help_icon

          随时为您服务

          获取常见问题的专家解答,或者直接联系我们的技术专家,咨询应用、设备、常规产品使用问题。

          联系技术支持
          订购 Plus Icon Minus Icon
          • 订单状态查询
          • 订单支持
          • 货号直购
          • 现货供应中心
          • 电子采购
          支持 Plus Icon Minus Icon
          • 帮助&支持
          • 联系我们 - 400 820 8982
          • 技术支持中心
          • 查找文件&证书
          • 报告网站问题
          资源 Plus Icon Minus Icon
          • 学习中心
          • 促销
          • 活动&研讨会
          • 社交媒体
          关于赛默飞 Plus Icon Minus Icon
          • 关于我们
          • 招聘 招聘
          • 投资者关系 投资者关系
          • 新闻 新闻
          • 社会责任 社会责任
          • 商标
          • 政策和通知
          品牌 Plus Icon Minus Icon
          • Thermo Scientific
          • Applied Biosystems
          • Invitrogen
          • Gibco
          • Ion Torrent
          • Unity Lab Services
          • Patheon
          • PPD
          • 服务条款
          • 隐私政策
          • 定价和运输保险政策
          © 2006-2026 Thermo Fisher Scientific Inc. All rights reserved. All trademarks are the property of Thermo Fisher Scientific and its subsidiaries unless otherwise specified.
          China flag icon
          China
          本网站销售的所有产品均不得用于人类或动物之临床诊断或治疗,仅可用于工业或者科研等非医疗目的。
             电子营业执照 | 经营证照公示 | ICP备案号:沪ICP备11003924号 | 沪公网安备 31011502006935号

          Your items have has been added!


          Host server : magellan-search-green-6479c7f679-jmhj8:80/100.66.74.142:80.
          git-commit: b70c0dceb888abc3b0dcebb5bc3a5b8753e7e816
          git-url: https://github.com/thermofisher/magellan-search
          git-branch: release/2.50.0-Offline