Hamburger Menu Button
Thermo Fisher Scientific Logo
登录
没有账号?建立账号 注册
  • 产品
    • 抗体
    • 引物合成
    • GeneArt Gene Synthesis Instant Designer
    • TaqMan Assay and Array Search
    • PCR 设备和耗材
    • 色谱柱和纯化柱
    • 实验室离心机
    • 分子生物学试剂和试剂盒
    • 实验室塑料耗材及用品
    • 查看所有产品分类
  • 应用和技术
    • 色谱
    • 细胞转染和培养
    • 实时荧光定量PCR
    • 质谱
    • 实验室塑料耗材及用品
    • 电子显微镜
    • 蛋白质生物学
    • PCR
    • RNAi
    • 环境
    • 查看所有应用和技术
  • 服务
    • 定制服务
    • 企业级实验室信息化服务
    • 金融&租赁服务
    • 仪器服务
    • OEM和商业供应
    • 培训服务
    • 360° CDMO 和 CRO 服务
    • CDMO 服务
    • 临床试验 CRO 服务
    • Unity Lab Services
    • 查看所有帮助和支持
  • 帮助和支持
    • 学习中心
    • 联系我们
    • 更改国家或地区
    • 查看所有帮助和支持
  • 热门产品
    • TaqMan Real-Time PCR Assays
      TaqMan 实时荧光定量 PCR 试剂盒
    • Antibodies
      抗体
    • Oligos, Primers & Probes
      寡核苷酸、引物、探针
    • GeneArt Gene Synthesis
      GeneArt 基因合成
    • Cell Culture Plastics
      细胞培养耗材
  • Who We Serve
    • 抗体治疗解决方案
    • 细胞与基因治疗解决方案
    • 学术科研
    • 工业与应用
  • 联系我们
  • 货号直购
  • 订单查询
  • 查找文件&证书
Thermo Fisher Scientific Logo

Search

搜索全部或下列指定分类
Search button
          • 联系我们
          • 货号直购
          • 登录
            登录
            没有账号?建立账号 注册
            • 我的账号
            • 订单
            • 会员中心
            • 账单及发票查询
            • 定制产品及项目
          • Primary Antibodies ›
          • HDAC3 Antibodies

          Bethyl Laboratories

          HDAC3 Polyclonal Antibody

          查看其他33个HDAC3抗体

          {{$productOrderCtrl.translations['antibody.pdp.commerceCard.promotion.promotions']}}

          {{$productOrderCtrl.translations['antibody.pdp.commerceCard.promotion.viewpromo']}}

          {{$productOrderCtrl.translations['antibody.pdp.commerceCard.promotion.promocode']}}: {{promo.promoCode}} {{promo.promoTitle}} {{promo.promoDescription}}. {{$productOrderCtrl.translations['antibody.pdp.commerceCard.promotion.learnmore']}}

          说明书
          证书
          实验方案
          问题与答案
          技术支持
          说明书
          证书
          实验方案
          问题与答案
          技术支持
          说明书
          证书
          实验方案
          问题与答案
          技术支持

          Cite HDAC3 Polyclonal Antibody

          Additional Information:
          {{banner.description}}
          {{$ctrl.isSkuNotesCollapsed ? 'View more' : 'View less'}}
          • 抗体检测数据 (2)
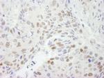
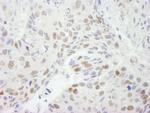
          HDAC3 Antibody in Immunohistochemistry (Paraffin) (IHC (P))
          Group 53 Created with Sketch.
          HDAC3 Antibody in Immunohistochemistry (Paraffin) (IHC (P))
          Group 53 Created with Sketch.

          图: 1 / 2

          {{ $ctrl.currentElement.advancedVerification.fullName }}
          {{ $ctrl.currentElement.advancedVerification.text }}

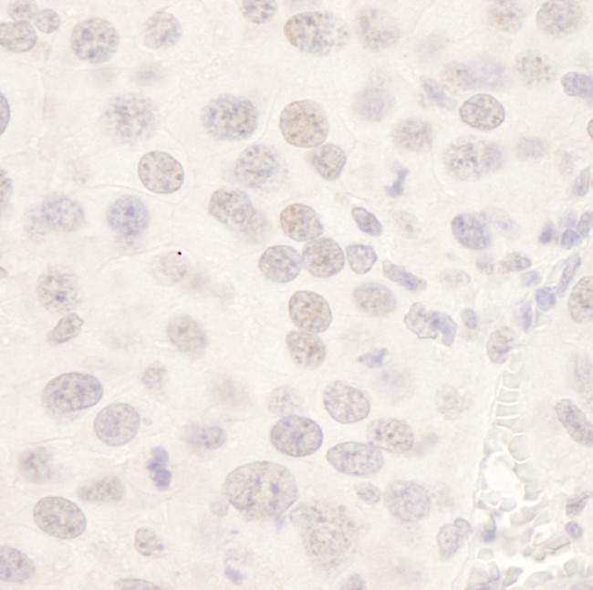
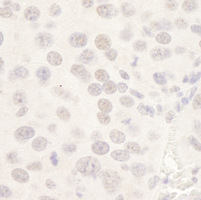
          HDAC3 Antibody (IHC-00428) in IHC (P)

          Detection of mouse HDAC3 by immunohistochemistry. Sample: FFPE section of mouse renal cell carcinoma. Antibody: Affinity purified rabbit anti-HDAC3 (Product # IHC-00428) used at a dilution of 1:250. Detection: DAB. {{ $ctrl.currentElement.advancedVerification.fullName }} 验证信息 View more
          已发表图片由___提供 benchsci-logo
          PMID: {{$ctrl.currentElement.benchSciPubmedId}}
          查看产品

          {{$ctrl.videoDesc}}

          {{$ctrl.videoLongDesc}}

          HDAC3 Antibody in Immunohistochemistry (Paraffin) (IHC (P))
          HDAC3 Antibody in Immunohistochemistry (Paraffin) (IHC (P))
          HDAC3 Polyclonal Antibody

          产品信息

          IHC-00428

          应用
          建议稀释比
          已发表文章

          免疫组化 (IHC)

          1:100-1:500
          -

          免疫组化(石蜡) (IHC (P))

          1:100-1:500
          -
          产品规格

          种属反应

          Human, Mouse

          宿主/亚型

          Rabbit / IgG

          分类

          Polyclonal

          类型

          Antibody

          抗原

          Region between residue 375 and the C-terminus (residue 428) of human Histone Deacetylase 3.
          3D表位/免疫原

          偶联物

          Unconjugated Unconjugated Unconjugated

          形式

          Liquid

          浓度

          0.25 mg/mL

          规格

          25 µg

          纯化类型

          Antigen affinity chromatography

          保存液

          TBS, pH 7.0 to 8.0, with 0.1% BSA

          内含物

          0.09% sodium azide

          保存条件

          4°C

          运输条件

          Ambient (domestic); Wet ice (international)

          产品详细信息

          The recommended shelf life for this product is 1 year from date of receipt.

          Based on 100% sequence identity, this antibody is predicted to react with Rat, Bovine, Dog, Horse, Rabbit, Guinea pig_10141, Pig, Panda, Orangutan, Monkey, Gorilla, Chimpanzee and Crab-eating macaque

          靶标信息

          Histones play a critical role in transcriptional regulation, cell cycle progression, and developmental events. Histone acetylation/deacetylation alters chromosome structure and affects transcription factor access to DNA. HDAC3 belongs to the histone deacetylase/acuc/apha family. It has histone deacetylase activity and represses transcription when tethered to a promoter. It may participate in the regulation of transcription through its binding with the zinc-finger transcription factor YY1. This protein can also down-regulate p53 function and thus modulate cell growth and apoptosis. This gene is regarded as a potential tumor suppressor gene.

          仅用于科研。不用于诊断过程。未经明确授权不得转售。

          篇参考文献 (0)

          您是否在文献中引用过该产品?请点击下方按钮邮件告知我们。
          引用该产品

          生物信息学

          蛋白别名: HD3; HDAC3; HDAC3 splicing HDAC3alpha; HDAC3 splicing HDAC3beta; HDAC3 splicing HDAC3delta; HDAC3 splicing HDAC3gamma; Histone deacetylase 3; Protein deacetylase HDAC3; Protein deacylase HDAC3; RPD3-2; SMAP45

          查看更多 收起

          基因别名: AW537363; HD3; HDAC3; KDAC3; RPD3; RPD3-2

          查看更多 收起

          UniProt ID: (Human) O15379, (Mouse) O88895

          查看更多 收起

          Entrez Gene ID: (Human) 8841, (Mouse) 15183

          查看更多 收起

          功能
          transcription corepressor binding DNA binding chromatin binding transcription corepressor activity histone deacetylase activity protein binding hydrolase activity deacetylase activity enzyme binding cyclin binding chromatin DNA binding protein deacetylase activity histone deacetylase binding GTPase binding NF-kappaB binding DNA-binding transcription factor binding histone deacetylase activity, hydrolytic mechanism protein decrotonylase activity histone decrotonylase activity protein de-2-hydroxyisobutyrylase activity protein lysine delactylase activity ubiquitin-specific protease binding transcription factor binding histone deacetylase activity (H3-K14 specific) NAD-dependent histone deacetylase activity (H3-K14 specific) histone deacetylase activity (H3-K9 specific) histone deacetylase activity (H4-K16 specific) NAD-dependent histone deacetylase activity (H3-K9 specific) NAD-dependent histone deacetylase activity (H4-K16 specific) NAD-dependent histone deacetylase activity (H3-K18 specific)
          参与通路
          negative regulation of transcription from RNA polymerase II promoter positive regulation of protein phosphorylation transcription, DNA-templated regulation of transcription, DNA-templated protein deacetylation regulation of mitotic cell cycle chromatin modification histone deacetylation regulation of protein stability positive regulation of TOR signaling negative regulation of interleukin-1 production negative regulation of tumor necrosis factor production circadian regulation of gene expression regulation of multicellular organism growth positive regulation of transcription factor import into nucleus negative regulation of sequence-specific DNA binding transcription factor activity positive regulation of neuron apoptotic process negative regulation of transcription, DNA-templated positive regulation of transcription from RNA polymerase II promoter negative regulation of JNK cascade negative regulation of protein export from nucleus spindle assembly cellular response to fluid shear stress positive regulation of type B pancreatic cell apoptotic process negative regulation of cardiac muscle cell differentiation establishment of mitotic spindle orientation in utero embryonic development chromatin organization transcription from RNA polymerase II promoter epidermis development response to xenobiotic stimulus gene expression negative regulation of myotube differentiation positive regulation of protein ubiquitination response to nutrient levels protein modification process regulation of gene expression, epigenetic positive regulation of protein import into nucleus regulation of circadian rhythm negative regulation of apoptotic process rhythmic process random inactivation of X chromosome neural precursor cell proliferation establishment of skin barrier cellular response to mechanical stimulus cellular response to parathyroid hormone stimulus response to dexamethasone negative regulation of ferroptosis positive regulation of cold-induced thermogenesis DNA repair-dependent chromatin remodeling positive regulation of ferroptosis cornified envelope assembly
          It has to be done as per old AB suggested Products section.

          Disclaimer

          Close

          Clicking the images or links will redirect you to a website hosted by BenchSci that provides third-party scientific content. Neither the content nor the BenchSci technology and processes for selection have been evaluated by us; we are providing them as-is and without warranty of any kind, including for use or application of the Thermo Fisher Scientific products presented.

          guarantee_icon

          性能保障

          只要您发现Invitrogen抗体在实验中的表现与网站或说明书的所述内容不符,您即可享受免费退换货服务。*

          了解更多
          help_icon

          随时为您服务

          获取常见问题的专家解答,或者直接联系我们的技术专家,咨询应用、设备、常规产品使用问题。

          联系技术支持
          订购 Plus Icon Minus Icon
          • 订单状态查询
          • 订单支持
          • 货号直购
          • 现货供应中心
          • 电子采购
          支持 Plus Icon Minus Icon
          • 帮助&支持
          • 联系我们 - 400 820 8982
          • 技术支持中心
          • 查找文件&证书
          • 报告网站问题
          资源 Plus Icon Minus Icon
          • 学习中心
          • 促销
          • 活动&研讨会
          • 社交媒体
          关于赛默飞 Plus Icon Minus Icon
          • 关于我们
          • 招聘 招聘
          • 投资者关系 投资者关系
          • 新闻 新闻
          • 社会责任 社会责任
          • 商标
          • 政策和通知
          品牌 Plus Icon Minus Icon
          • Thermo Scientific
          • Applied Biosystems
          • Invitrogen
          • Gibco
          • Ion Torrent
          • Unity Lab Services
          • Patheon
          • PPD
          • 服务条款
          • 隐私政策
          • 定价和运输保险政策
          © 2006-2026 Thermo Fisher Scientific Inc. All rights reserved. All trademarks are the property of Thermo Fisher Scientific and its subsidiaries unless otherwise specified.
          China flag icon
          China
          本网站销售的所有产品均不得用于人类或动物之临床诊断或治疗,仅可用于工业或者科研等非医疗目的。
             电子营业执照 | 经营证照公示 | ICP备案号:沪ICP备11003924号 | 沪公网安备 31011502006935号

          Your items have has been added!


          Host server : magellan-search-green-6479c7f679-mppzp:80/100.66.76.236:80.
          git-commit: b70c0dceb888abc3b0dcebb5bc3a5b8753e7e816
          git-url: https://github.com/thermofisher/magellan-search
          git-branch: release/2.50.0-Offline