Hamburger Menu Button
Thermo Fisher Scientific Logo
登录
没有账号?建立账号 注册
  • 产品
    • 抗体
    • 引物合成
    • GeneArt Gene Synthesis Instant Designer
    • TaqMan Assay and Array Search
    • PCR 设备和耗材
    • 色谱柱和纯化柱
    • 实验室离心机
    • 分子生物学试剂和试剂盒
    • 实验室塑料耗材及用品
    • 查看所有产品分类
  • 应用和技术
    • 色谱
    • 细胞转染和培养
    • 实时荧光定量PCR
    • 质谱
    • 实验室塑料耗材及用品
    • 电子显微镜
    • 蛋白质生物学
    • PCR
    • RNAi
    • 环境
    • 查看所有应用和技术
  • 服务
    • 定制服务
    • 企业级实验室信息化服务
    • 企业服务
    • 金融&租赁服务
    • 仪器服务
    • OEM和商业供应
    • 培训服务
    • 360° CDMO 和 CRO 服务
    • CDMO 服务
    • 临床试验 CRO 服务
    • 查看所有帮助和支持
  • 帮助和支持
    • 学习中心
    • 联系我们
    • 更改国家或地区
    • 查看所有帮助和支持
  • 热门产品
    • TaqMan Real-Time PCR Assays
      TaqMan 实时荧光定量 PCR 试剂盒
    • Antibodies
      抗体
    • Oligos, Primers & Probes
      寡核苷酸、引物、探针
    • GeneArt Gene Synthesis
      GeneArt 基因合成
    • Cell Culture Plastics
      细胞培养耗材
  • 联系我们
  • 货号直购
  • 订单查询
  • 查找文件&证书
Thermo Fisher Scientific Logo

Search

搜索全部或下列指定分类
Search button
          • 联系我们
          • 货号直购
          • 登录
            登录
            没有账号?建立账号 注册
            • 我的账号
            • 订单
            • 账单及发票查询
            • 定制产品及项目

          Disclaimer

          Clicking the images or links will redirect you to a website hosted by BenchSci that provides third-party scientific content. Neither the content nor the BenchSci technology and processes for selection have been evaluated by us; we are providing them as-is and without warranty of any kind, including for use or application of the Thermo Fisher Scientific products presented.

          • Primary Antibodies ›
          • HDAC4 Antibodies

          Proteintech

          HDAC4 Polyclonal Antibody

          查看其他28个HDAC4抗体

          {{$productOrderCtrl.translations['antibody.pdp.commerceCard.promotion.promotions']}}

          {{$productOrderCtrl.translations['antibody.pdp.commerceCard.promotion.viewpromo']}}

          {{$productOrderCtrl.translations['antibody.pdp.commerceCard.promotion.promocode']}}: {{promo.promoCode}} {{promo.promoTitle}} {{promo.promoDescription}}. {{$productOrderCtrl.translations['antibody.pdp.commerceCard.promotion.learnmore']}}

          说明书
          证书
          实验方案
          问题与答案
          技术支持
          说明书
          证书
          实验方案
          问题与答案
          技术支持
          说明书
          证书
          实验方案
          问题与答案
          技术支持

          Cite HDAC4 Polyclonal Antibody

          • 抗体检测数据 (5)
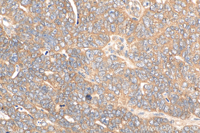
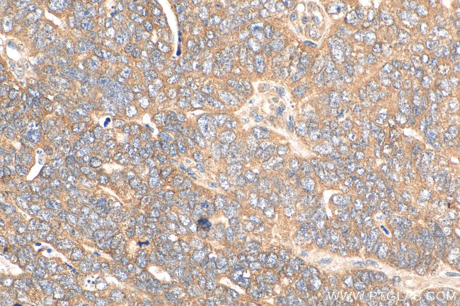
          HDAC4 Antibody in Immunohistochemistry (Paraffin) (IHC (P))
          Group 53 Created with Sketch.
          HDAC4 Antibody in Immunohistochemistry (Paraffin) (IHC (P))
          Group 53 Created with Sketch.

          图: 1 / 5

          {{ $ctrl.currentElement.advancedVerification.fullName }}
          {{ $ctrl.currentElement.advancedVerification.text }}

          HDAC4 Antibody (29252-1-AP) in IHC (P)

          Immunohistochemical analysis of paraffin-embedded human ovary tumor tissue slide using 29252-1-AP (HDAC4 antibody) at dilution of 1:200 (under 40x lens). Heat mediated antigen retrieval with Tris-EDTA buffer (pH 9.0). {{ $ctrl.currentElement.advancedVerification.fullName }} 验证信息 View more
          已发表图片由___提供 benchsci-logo
          PMID: {{$ctrl.currentElement.benchSciPubmedId}}
          查看产品

          {{$ctrl.videoDesc}}

          {{$ctrl.videoLongDesc}}

          HDAC4 Antibody in Immunohistochemistry (Paraffin) (IHC (P))
          HDAC4 Antibody in Immunohistochemistry (Paraffin) (IHC (P))
          HDAC4 Antibody in Immunohistochemistry (Paraffin) (IHC (P))
          HDAC4 Antibody in Immunohistochemistry (Paraffin) (IHC (P))
          HDAC4 Antibody in Western Blot (WB)
          HDAC4 Polyclonal Antibody

          产品信息

          29252-1-AP

          应用
          建议稀释比
          已发表文章

          免疫印迹 (WB)

          1:2,000-1:10,000
          -

          免疫组化(石蜡) (IHC (P))

          1:50-1:500
          -

          酶联免疫吸附实验 (ELISA)

          Assay-dependent
          -
          产品规格

          种属反应

          Human

          宿主/亚型

          Rabbit / IgG

          分类

          Polyclonal

          类型

          Antibody

          抗原

          HDAC4 fusion protein Ag30752
          查看免疫原

          偶联物

          Unconjugated Unconjugated Unconjugated

          形式

          Liquid

          浓度

          0.9 mg/mL

          纯化类型

          Antigen affinity chromatography

          保存液

          PBS, pH 7.3, with 50% glycerol

          内含物

          0.02% sodium azide

          保存条件

          -20°C

          运输条件

          Wet ice

          产品详细信息

          Immunogen sequence: LPEKVLQQRP NANAVRSMEK VMEIHSKYWR CLQRTTSTAG RSLIEAQTCE NEEAETVTAM ASLSVGVKPA EKRPDEEPME EEPPL

          靶标信息

          Histone deacetylase 4 (HDAC4) is responsible for the deacetylation of lysine residues on the N-terminal part of the core histones (H2A, H2B, H3, and H4). Histone deacetylation gives a tag for epigenetic repression and plays an important role in transcriptional regulation, cell cycle progression and developmental events. Histone deacetylases act via the formation of large multiprotein complexes. HDAC4 is also involved in muscle maturation via its interaction with the myocyte enhancer factors such as MEF2A, MEF2C and MEF2D. It is also involved in the MTA1-mediated epigenetic regulation of ESR1 expression in breast cancer. Mutations to the HDAC4 gene have been found in Brachydactyly-mental retardation syndrome (BDMR).

          仅用于科研。不用于诊断过程。未经明确授权不得转售。

          篇参考文献 (0)

          您是否在文献中引用过该产品?请点击下方按钮邮件告知我们。
          引用该产品

          生物信息学

          蛋白别名: DKFZp779K1053; HD4; HD7; HD7b; HD9; HDAC; HDAC7; HDAC7B; HDAC9; HDAC9B; HDAC9FL; HDRP; Histone deacetylase 4; histone deacetylase A; KIAA0744; MITR

          查看更多 收起

          基因别名: AHO3; BDMR; HA6116; HD4; HDAC-4; HDAC-A; HDAC4; HDACA; KIAA0288

          查看更多 收起

          UniProt ID: (Human) P56524

          查看更多 收起

          Entrez Gene ID: (Human) 9759

          查看更多 收起

          功能
          RNA polymerase III transcription factor binding core promoter binding chromatin binding transcription corepressor activity histone deacetylase activity protein binding transcription factor binding zinc ion binding protein kinase binding potassium ion binding NAD-dependent histone deacetylase activity (H3-K14 specific) protein deacetylase activity activating transcription factor binding histone deacetylase binding sequence-specific DNA binding transcription regulatory region DNA binding repressing transcription factor binding histone modifying enzyme
          参与通路
          negative regulation of transcription from RNA polymerase II promoter skeletal system development osteoblast development chromatin remodeling transcription, DNA-templated inflammatory response nervous system development positive regulation of cell proliferation negative regulation of cell proliferation positive regulation of lamellipodium assembly negative regulation of myotube differentiation regulation of cardiac muscle contraction by calcium ion signaling response to denervation involved in regulation of muscle adaptation cardiac muscle hypertrophy in response to stress positive regulation of smooth muscle cell migration chromatin modification histone deacetylation B cell differentiation positive regulation of protein sumoylation peptidyl-lysine deacetylation regulation of gene expression, epigenetic B cell activation response to drug regulation of protein binding negative regulation of sequence-specific DNA binding transcription factor activity positive regulation of neuron apoptotic process negative regulation of osteoblast differentiation negative regulation of glycolytic process negative regulation of transcription, DNA-templated positive regulation of transcription, DNA-templated positive regulation of transcription from RNA polymerase II promoter positive regulation of smooth muscle cell proliferation regulation of skeletal muscle fiber development positive regulation of sequence-specific DNA binding transcription factor activity response to interleukin-1 histone H3 deacetylation histone H4 deacetylation cellular response to mechanical stimulus cellular response to tumor necrosis factor cellular response to parathyroid hormone stimulus positive regulation of reactive oxygen species biosynthetic process
          It has to be done as per old AB suggested Products section.
          guarantee_icon

          性能保障

          只要您发现Invitrogen抗体在实验中的表现与网站或说明书的所述内容不符,您即可享受免费退换货服务。*

          了解更多
          help_icon

          随时为您服务

          获取常见问题的专家解答,或者直接联系我们的技术专家,咨询应用、设备、常规产品使用问题。

          联系技术支持
          订购 Plus Icon Minus Icon
          • 订单状态查询
          • 订单支持
          • 货号直购
          • 现货供应中心
          • 电子采购
          支持 Plus Icon Minus Icon
          • 帮助&支持
          • 联系我们 - 400 820 8982
          • 技术支持中心
          • 查找文件&证书
          • 报告网站问题
          资源 Plus Icon Minus Icon
          • 学习中心
          • 促销
          • 活动&研讨会
          • 社交媒体
          关于赛默飞 Plus Icon Minus Icon
          • 关于我们
          • 招聘 招聘
          • 投资者关系 投资者关系
          • 新闻 新闻
          • 社会责任 社会责任
          • 商标
          • 政策和通知
          品牌 Plus Icon Minus Icon
          • Thermo Scientific
          • Applied Biosystems
          • Invitrogen
          • Gibco
          • Ion Torrent
          • Patheon
          • PPD
          • 服务条款
          • 隐私政策
          • 定价和运输保险政策
          © 2006-2026 Thermo Fisher Scientific Inc. All rights reserved. All trademarks are the property of Thermo Fisher Scientific and its subsidiaries unless otherwise specified.
          China flag icon
          China
          本网站销售的所有产品均不得用于人类或动物之临床诊断或治疗,仅可用于工业或者科研等非医疗目的。
             电子营业执照 | 经营证照公示 | ICP备案号:沪ICP备11003924号 | 沪公网安备 31011502006935号

          Your items have has been added!


          Host server : magellan-search-blue-55ff9ddd88-hqkpn:80/100.66.73.1:80.
          git-commit: d366ff9721d93504b2ac26a183b2b3e3d0e7d9ec
          git-url: https://github.com/thermofisher/magellan-search
          git-branch: release/2.42.0-2026.01.03-1.0