Hamburger Menu Button
Thermo Fisher Scientific Logo
登录
没有账号?建立账号 注册
  • 产品
    • 抗体
    • 引物合成
    • GeneArt Gene Synthesis Instant Designer
    • TaqMan Assay and Array Search
    • PCR 设备和耗材
    • 色谱柱和纯化柱
    • 实验室离心机
    • 分子生物学试剂和试剂盒
    • 实验室塑料耗材及用品
    • 查看所有产品分类
  • 应用和技术
    • 色谱
    • 细胞转染和培养
    • 实时荧光定量PCR
    • 质谱
    • 实验室塑料耗材及用品
    • 电子显微镜
    • 蛋白质生物学
    • PCR
    • RNAi
    • 环境
    • 查看所有应用和技术
  • 服务
    • 定制服务
    • 企业级实验室信息化服务
    • 金融&租赁服务
    • 仪器服务
    • OEM和商业供应
    • 培训服务
    • 360° CDMO 和 CRO 服务
    • CDMO 服务
    • 临床试验 CRO 服务
    • Unity Lab Services
    • 查看所有帮助和支持
  • 帮助和支持
    • 学习中心
    • 联系我们
    • 更改国家或地区
    • 查看所有帮助和支持
  • 热门产品
    • TaqMan Real-Time PCR Assays
      TaqMan 实时荧光定量 PCR 试剂盒
    • Antibodies
      抗体
    • Oligos, Primers & Probes
      寡核苷酸、引物、探针
    • GeneArt Gene Synthesis
      GeneArt 基因合成
    • Cell Culture Plastics
      细胞培养耗材
  • Who We Serve
    • 抗体治疗解决方案
    • 细胞与基因治疗解决方案
    • 学术科研
    • 工业与应用
  • 联系我们
  • 货号直购
  • 订单查询
  • 查找文件&证书
Thermo Fisher Scientific Logo

Search

搜索全部或下列指定分类
Search button
          • 联系我们
          • 货号直购
          • 登录
            登录
            没有账号?建立账号 注册
            • 我的账号
            • 订单
            • 会员中心
            • 账单及发票查询
            • 定制产品及项目
          • Primary Antibodies ›
          • HDAC4 Antibodies

          Invitrogen

          HDAC4 Monoclonal Antibody (5E4A5)

          查看其他29个HDAC4抗体

          {{$productOrderCtrl.translations['antibody.pdp.commerceCard.promotion.promotions']}}

          {{$productOrderCtrl.translations['antibody.pdp.commerceCard.promotion.viewpromo']}}

          {{$productOrderCtrl.translations['antibody.pdp.commerceCard.promotion.promocode']}}: {{promo.promoCode}} {{promo.promoTitle}} {{promo.promoDescription}}. {{$productOrderCtrl.translations['antibody.pdp.commerceCard.promotion.learnmore']}}

          说明书
          证书
          实验方案
          问题与答案
          技术支持
          说明书
          证书
          实验方案
          问题与答案
          技术支持
          说明书
          证书
          实验方案
          问题与答案
          技术支持

          Cite HDAC4 Monoclonal Antibody (5E4A5)

          Additional Information:
          {{banner.description}}
          {{$ctrl.isSkuNotesCollapsed ? 'View more' : 'View less'}}
          • 抗体检测数据 (5)
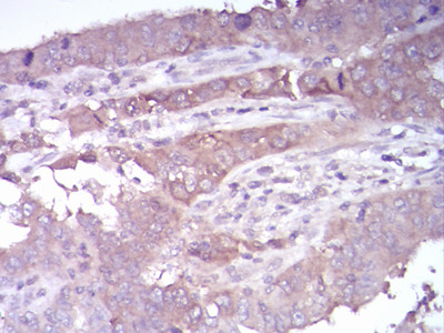
          HDAC4 Antibody in Immunohistochemistry (Paraffin) (IHC (P))
          Group 53 Created with Sketch.
          HDAC4 Antibody in Immunohistochemistry (Paraffin) (IHC (P))
          Group 53 Created with Sketch.

          图: 1 / 5

          {{ $ctrl.currentElement.advancedVerification.fullName }}
          {{ $ctrl.currentElement.advancedVerification.text }}

          HDAC4 Antibody (MA5-38537) in IHC (P)

          Immunohistochemistry (Paraffin) analysis of HDAC4 in paraffin-embedded endometrial cancer tissues using HDAC4 Monoclonal Antibody (Product # MA5-38537) and DAB staining. {{ $ctrl.currentElement.advancedVerification.fullName }} 验证信息 View more
          已发表图片由___提供 benchsci-logo
          PMID: {{$ctrl.currentElement.benchSciPubmedId}}
          查看产品

          {{$ctrl.videoDesc}}

          {{$ctrl.videoLongDesc}}

          HDAC4 Antibody in Immunohistochemistry (Paraffin) (IHC (P))
          HDAC4 Antibody in Western Blot (WB)
          HDAC4 Antibody in Western Blot (WB)
          HDAC4 Antibody in Western Blot (WB)
          HDAC4 Antibody in Flow Cytometry (Flow)
          HDAC4 Monoclonal Antibody (5E4A5)

          产品信息

          MA5-38537

          应用
          建议稀释比
          已发表文章

          免疫印迹 (WB)

          1:500-1:2,000
          -

          免疫组化(石蜡) (IHC (P))

          1:200-1:1,000
          -

          流式细胞分析 (Flow)

          1:200-1:400
          -

          酶联免疫吸附实验 (ELISA)

          1:10,000
          -
          产品规格

          种属反应

          Human, Mouse

          宿主/亚型

          Mouse / IgG1

          分类

          Monoclonal

          类型

          Antibody

          克隆号

          5E4A5

          抗原

          Purified recombinant fragment of human HDAC4 (aa: 456-592) expressed in E. Coli.
          3D表位/免疫原

          偶联物

          Unconjugated Unconjugated Unconjugated

          形式

          Liquid

          浓度

          1 mg/mL

          规格

          100 µg

          纯化类型

          Protein G

          保存液

          PBS

          内含物

          0.05% sodium azide

          保存条件

          Store at 4°C short term. For long term storage, store at -20°C, avoiding freeze/thaw cycles.

          运输条件

          Ambient (domestic); Wet ice (international)

          RRID

          AB_2898449

          产品详细信息

          This antibody has been tested in indirect ELISA.

          靶标信息

          Histone deacetylase 4 (HDAC4) is responsible for the deacetylation of lysine residues on the N-terminal part of the core histones (H2A, H2B, H3, and H4). Histone deacetylation gives a tag for epigenetic repression and plays an important role in transcriptional regulation, cell cycle progression and developmental events. Histone deacetylases act via the formation of large multiprotein complexes. HDAC4 is also involved in muscle maturation via its interaction with the myocyte enhancer factors such as MEF2A, MEF2C and MEF2D. It is also involved in the MTA1-mediated epigenetic regulation of ESR1 expression in breast cancer. Mutations to the HDAC4 gene have been found in Brachydactyly-mental retardation syndrome (BDMR).

          仅用于科研。不用于诊断过程。未经明确授权不得转售。

          篇参考文献 (0)

          您是否在文献中引用过该产品?请点击下方按钮邮件告知我们。
          引用该产品

          生物信息学

          蛋白别名: DKFZp779K1053; HD4; HD7; HD7b; HD9; HDAC; HDAC4; HDAC7; HDAC7B; HDAC9; HDAC9B; HDAC9FL; HDRP; Histone deacetylase 4; histone deacetylase A; KIAA0744; MITR; unnamed protein product

          查看更多 收起

          基因别名: 4932408F19Rik; AHO3; AI047285; BDMR; HA6116; HD4; HDAC-4; HDAC-A; HDAC4; HDACA; KIAA0288; NEDCHF; NEDCHID

          查看更多 收起

          UniProt ID: (Human) P56524, (Mouse) Q6NZM9

          查看更多 收起

          Entrez Gene ID: (Human) 9759, (Mouse) 208727

          查看更多 收起

          功能
          transcription regulatory region sequence-specific DNA binding RNA polymerase II core promoter proximal region sequence-specific DNA binding bacterial-type RNA polymerase transcriptional activator activity, sequence-specific DNA binding histone deacetylase activity protein binding zinc ion binding hydrolase activity SUMO transferase activity potassium ion binding protein deacetylase activity histone binding identical protein binding histone deacetylase binding metal ion binding binding, bridging RNA polymerase II sequence-specific DNA binding transcription factor binding DNA-binding transcription factor binding histone deacetylase activity, hydrolytic mechanism RNA polymerase III transcription factor binding core promoter binding DNA binding chromatin binding transcription corepressor activity transcription factor binding protein kinase binding histone deacetylase activity (H3-K14 specific) NAD-dependent histone deacetylase activity (H3-K14 specific) histone deacetylase activity (H3-K9 specific) activating transcription factor binding histone deacetylase activity (H4-K16 specific) sequence-specific DNA binding transcription regulatory region DNA binding NAD-dependent histone deacetylase activity (H3-K9 specific) NAD-dependent histone deacetylase activity (H4-K16 specific) repressing transcription factor binding NAD-dependent histone deacetylase activity (H3-K18 specific) histone modifying enzyme
          参与通路
          negative regulation of transcription from RNA polymerase II promoter chromatin organization chromatin remodeling protein deacetylation inflammatory response nervous system development positive regulation of cell proliferation negative regulation of macromolecule biosynthetic process negative regulation of myotube differentiation negative regulation of transcription by competitive promoter binding response to denervation involved in regulation of muscle adaptation cardiac muscle hypertrophy in response to stress protein sumoylation B cell differentiation positive regulation of protein sumoylation regulation of gene expression, epigenetic B cell activation negative regulation of gene expression, epigenetic negative regulation of glycolytic process positive regulation of transcription, DNA-templated positive regulation of transcription from RNA polymerase II promoter type I interferon signaling pathway response to interleukin-1 skeletal system development osteoblast development transcription, DNA-templated regulation of transcription, DNA-templated negative regulation of cell proliferation positive regulation of lamellipodium assembly regulation of cardiac muscle contraction by calcium ion signaling positive regulation of smooth muscle cell migration chromatin modification histone deacetylation peptidyl-lysine deacetylation response to drug regulation of protein binding negative regulation of sequence-specific DNA binding transcription factor activity positive regulation of neuron apoptotic process negative regulation of osteoblast differentiation negative regulation of transcription, DNA-templated positive regulation of smooth muscle cell proliferation regulation of skeletal muscle fiber development positive regulation of sequence-specific DNA binding transcription factor activity regulation of striated muscle cell differentiation histone H3 deacetylation histone H4 deacetylation positive regulation of reactive oxygen species biosynthetic process
          It has to be done as per old AB suggested Products section.

          Disclaimer

          Close

          Clicking the images or links will redirect you to a website hosted by BenchSci that provides third-party scientific content. Neither the content nor the BenchSci technology and processes for selection have been evaluated by us; we are providing them as-is and without warranty of any kind, including for use or application of the Thermo Fisher Scientific products presented.

          guarantee_icon

          性能保障

          只要您发现Invitrogen抗体在实验中的表现与网站或说明书的所述内容不符,您即可享受免费退换货服务。*

          了解更多
          help_icon

          随时为您服务

          获取常见问题的专家解答,或者直接联系我们的技术专家,咨询应用、设备、常规产品使用问题。

          联系技术支持
          订购 Plus Icon Minus Icon
          • 订单状态查询
          • 订单支持
          • 货号直购
          • 现货供应中心
          • 电子采购
          支持 Plus Icon Minus Icon
          • 帮助&支持
          • 联系我们 - 400 820 8982
          • 技术支持中心
          • 查找文件&证书
          • 报告网站问题
          资源 Plus Icon Minus Icon
          • 学习中心
          • 促销
          • 活动&研讨会
          • 社交媒体
          关于赛默飞 Plus Icon Minus Icon
          • 关于我们
          • 招聘 招聘
          • 投资者关系 投资者关系
          • 新闻 新闻
          • 社会责任 社会责任
          • 商标
          • 政策和通知
          品牌 Plus Icon Minus Icon
          • Thermo Scientific
          • Applied Biosystems
          • Invitrogen
          • Gibco
          • Ion Torrent
          • Unity Lab Services
          • Patheon
          • PPD
          • 服务条款
          • 隐私政策
          • 定价和运输保险政策
          © 2006-2026 Thermo Fisher Scientific Inc. All rights reserved. All trademarks are the property of Thermo Fisher Scientific and its subsidiaries unless otherwise specified.
          China flag icon
          China
          本网站销售的所有产品均不得用于人类或动物之临床诊断或治疗,仅可用于工业或者科研等非医疗目的。
             电子营业执照 | 经营证照公示 | ICP备案号:沪ICP备11003924号 | 沪公网安备 31011502006935号

          Your items have has been added!


          Host server : magellan-search-green-6479c7f679-sz4vp:80/100.66.76.236:80.
          git-commit: b70c0dceb888abc3b0dcebb5bc3a5b8753e7e816
          git-url: https://github.com/thermofisher/magellan-search
          git-branch: release/2.50.0-Offline