Hamburger Menu Button
Thermo Fisher Scientific Logo
登录
没有账号?建立账号 注册
  • 产品
    • 抗体
    • 引物合成
    • GeneArt Gene Synthesis Instant Designer
    • TaqMan Assay and Array Search
    • PCR 设备和耗材
    • 色谱柱和纯化柱
    • 实验室离心机
    • 分子生物学试剂和试剂盒
    • 实验室塑料耗材及用品
    • 查看所有产品分类
  • 应用和技术
    • 色谱
    • 细胞转染和培养
    • 实时荧光定量PCR
    • 质谱
    • 实验室塑料耗材及用品
    • 电子显微镜
    • 蛋白质生物学
    • PCR
    • RNAi
    • 环境
    • 查看所有应用和技术
  • 服务
    • 定制服务
    • 企业级实验室信息化服务
    • 金融&租赁服务
    • 仪器服务
    • OEM和商业供应
    • 培训服务
    • 360° CDMO 和 CRO 服务
    • CDMO 服务
    • 临床试验 CRO 服务
    • Unity Lab Services
    • 查看所有帮助和支持
  • 帮助和支持
    • 学习中心
    • 联系我们
    • 更改国家或地区
    • 查看所有帮助和支持
  • 热门产品
    • TaqMan Real-Time PCR Assays
      TaqMan 实时荧光定量 PCR 试剂盒
    • Antibodies
      抗体
    • Oligos, Primers & Probes
      寡核苷酸、引物、探针
    • GeneArt Gene Synthesis
      GeneArt 基因合成
    • Cell Culture Plastics
      细胞培养耗材
  • Who We Serve
    • 抗体治疗解决方案
    • 细胞与基因治疗解决方案
    • 学术科研
    • 工业与应用
  • 联系我们
  • 货号直购
  • 订单查询
  • 查找文件&证书
Thermo Fisher Scientific Logo

Search

搜索全部或下列指定分类
Search button
          • 联系我们
          • 货号直购
          • 登录
            登录
            没有账号?建立账号 注册
            • 我的账号
            • 订单
            • 会员中心
            • 账单及发票查询
            • 定制产品及项目
          • Primary Antibodies ›
          • HDAC5 Antibodies

          Invitrogen

          HDAC5 Recombinant Rabbit Monoclonal Antibody (PSH08-70)

          高级验证
          查看其他19个HDAC5抗体

          {{$productOrderCtrl.translations['antibody.pdp.commerceCard.promotion.promotions']}}

          {{$productOrderCtrl.translations['antibody.pdp.commerceCard.promotion.viewpromo']}}

          {{$productOrderCtrl.translations['antibody.pdp.commerceCard.promotion.promocode']}}: {{promo.promoCode}} {{promo.promoTitle}} {{promo.promoDescription}}. {{$productOrderCtrl.translations['antibody.pdp.commerceCard.promotion.learnmore']}}

          说明书
          证书
          实验方案
          问题与答案
          技术支持
          说明书
          证书
          实验方案
          问题与答案
          技术支持
          说明书
          证书
          实验方案
          问题与答案
          技术支持

          Cite HDAC5 Recombinant Rabbit Monoclonal Antibody (PSH08-70)

          Additional Information:
          {{banner.description}}
          {{$ctrl.isSkuNotesCollapsed ? 'View more' : 'View less'}}
          • 抗体检测数据 (15)
          • 高级验证 (1)
          HDAC5 Antibody in Immunocytochemistry (ICC/IF)
          Group 53 Created with Sketch.
          HDAC5 Antibody in Immunocytochemistry (ICC/IF)
          Group 53 Created with Sketch.

          图: 1 / 16

          {{ $ctrl.currentElement.advancedVerification.fullName }}
          {{ $ctrl.currentElement.advancedVerification.text }}

          HDAC5 Antibody (MA562911) in ICC/IF

          Immunofluorescence analysis of HDAC5 was performed using NIH/3T3 cells. The cells were fixed with 4% paraformaldehyde for 10 minutes and blocked with 2% BSA for 1 hour at room temperature. The cells were labeled with HDAC5 Recombinant Rabbit Monoclonal Antibody (PSH08-70) (Product # MA562911) at 1:100 dilution in 0.1% BSA, incubated at 4 degree Celsius overnight and then labeled with Donkey anti-Rabbit IgG (H+L) Highly Cross-Adsorbed Secondary Antibody, Alexa Fluor Plus 488 (Product # A32790), (1:2,000 dilution), for 45 minutes at room tem... View More {{ $ctrl.currentElement.advancedVerification.fullName }} 验证信息 View more
          已发表图片由___提供 benchsci-logo
          PMID: {{$ctrl.currentElement.benchSciPubmedId}}
          查看产品

          {{$ctrl.videoDesc}}

          {{$ctrl.videoLongDesc}}

          HDAC5 Antibody in Immunocytochemistry (ICC/IF)
          HDAC5 Antibody in Immunocytochemistry (ICC/IF)
          HDAC5 Antibody in Immunocytochemistry (ICC/IF)
          HDAC5 Antibody in Immunocytochemistry (ICC/IF)
          HDAC5 Antibody in Immunocytochemistry (ICC/IF)
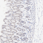
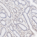
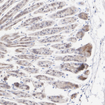
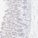
          HDAC5 Antibody in Immunohistochemistry (Paraffin) (IHC (P))
          HDAC5 Antibody in Immunohistochemistry (Paraffin) (IHC (P))
          HDAC5 Antibody in Immunohistochemistry (Paraffin) (IHC (P))
          HDAC5 Antibody in Immunohistochemistry (Paraffin) (IHC (P))
          HDAC5 Antibody in Immunohistochemistry (Paraffin) (IHC (P))
          HDAC5 Antibody in Immunohistochemistry (Paraffin) (IHC (P))
          HDAC5 Antibody in Western Blot (WB)
          HDAC5 Antibody in Western Blot (WB)
          HDAC5 Antibody in Immunoprecipitation (IP)
          HDAC5 Antibody in ChIP Assay (ChIP)
          HDAC5 Antibody
          HDAC5 Recombinant Rabbit Monoclonal Antibody (PSH08-70)

          产品信息

          MA562911

          应用
          建议稀释比
          已发表文章

          免疫印迹 (WB)

          1:1,000
          -

          免疫组化(石蜡) (IHC (P))

          1:1,000
          -

          免疫细胞化学 (ICC/IF)

          1:100
          -

          免疫沉淀 (IP)

          1-2 µg
          -

          染色质免疫沉淀 实验 (ChIP)

          0.5-2 µg/25 µg of chromatin
          -
          产品规格

          种属反应

          Human, Mouse, Rat

          宿主/亚型

          Rabbit / IgG

          Expression System

          HEK293 cells

          分类

          Recombinant Monoclonal

          类型

          Antibody

          克隆号

          PSH08-70

          抗原

          Synthetic peptide within human HDAC5 aa 171-220.
          3D表位/免疫原

          偶联物

          Unconjugated Unconjugated Unconjugated

          形式

          Liquid

          浓度

          1.072 mg/mL

          规格

          107.2 µg

          纯化类型

          Protein A

          保存液

          PBS, pH 7.4, with 0.1% BSA, 40% glycerol

          内含物

          0.05% sodium azide

          保存条件

          Store at 4°C short term. For long term storage, store at -20°C, avoiding freeze/thaw cycles.

          运输条件

          Ambient (domestic); Wet ice (international)

          RRID

          AB_3719766

          产品详细信息

          Positive Control: Human stomach tissue, mouse stomach tissue, rat stomach tissue, HepG2, NIH/3T3, C6.

          Tissue Specificity: Low tissue specificity.

          Subcellular Location: Nucleus, Cytoplasm.

          Sequence Similarities: 100% Mouse/Rat.

          Predicted band size: 122 kDa

          靶标信息

          Histones play a critical role in transcriptional regulation, cell cycle progression, and developmental events. Histone acetylation/deacetylation alters chromosome structure and affects transcription factor access to DNA. The protein encoded by this gene belongs to the class II histone deacetylase/acuc/apha family. It possesses histone deacetylase activity and represses transcription when tethered to a promoter. It coimmunoprecipitates only with HDAC3 family member and might form multicomplex proteins. It also interacts with myocyte enhancer factor-2 (MEF2) proteins, resulting in repression of MEF2-dependent genes. This gene is thought to be associated with colon cancer. Two transcript variants encoding different isoforms have been found for this gene.

          仅用于科研。不用于诊断过程。未经明确授权不得转售。

          篇参考文献 (0)

          您是否在文献中引用过该产品?请点击下方按钮邮件告知我们。
          引用该产品

          生物信息学

          蛋白别名: Antigen NY-CO-9; DKFZp779K1053; FLJ90614; HD5; HD7; HD7b; HD9; HDAC; HDAC-5; HDAC5; HDAC7; HDAC7B; HDAC9; HDAC9B; HDAC9FL; HDRP; histone deacetylase 4; Histone deacetylase 5; histone deacetylase mHDA1; KIAA0744; putative Type II integral membrane protein; unnamed protein product

          查看更多 收起

          基因别名: AI426555; HD5; Hdac4; HDAC5; KIAA0600; mHDA1; mKIAA0600; NY-CO-9

          查看更多 收起

          UniProt ID: (Human) Q9UQL6

          查看更多 收起

          Entrez Gene ID: (Human) 10014, (Rat) 84580, (Mouse) 15184

          查看更多 收起

          功能
          transcription regulatory region sequence-specific DNA binding RNA polymerase II core promoter proximal region sequence-specific DNA binding bacterial-type RNA polymerase transcriptional activator activity, sequence-specific DNA binding transcription corepressor binding chromatin binding histone deacetylase activity protein kinase C binding protein binding hydrolase activity protein deacetylase activity identical protein binding histone deacetylase binding metal ion binding RNA polymerase II sequence-specific DNA binding transcription factor binding DNA-binding transcription factor binding histone deacetylase activity, hydrolytic mechanism RNA polymerase III transcription factor binding core promoter sequence-specific DNA binding core promoter binding transcriptional activator activity, RNA polymerase II core promoter proximal region sequence-specific binding RNA polymerase II transcription factor binding transcription corepressor activity transcription factor binding protein kinase binding transcription regulatory region DNA binding repressing transcription factor binding histone deacetylase activity (H3-K14 specific) NAD-dependent histone deacetylase activity (H3-K14 specific) histone deacetylase activity (H3-K9 specific) histone deacetylase activity (H4-K16 specific) NAD-dependent histone deacetylase activity (H3-K9 specific) NAD-dependent histone deacetylase activity (H4-K16 specific) NAD-dependent histone deacetylase activity (H3-K18 specific) histone modifying enzyme
          参与通路
          negative regulation of transcription from RNA polymerase II promoter chromatin organization inflammatory response response to xenobiotic stimulus negative regulation of macromolecule biosynthetic process regulation of myotube differentiation negative regulation of myotube differentiation response to activity neuron differentiation B cell differentiation cellular response to insulin stimulus regulation of gene expression, epigenetic B cell activation response to cocaine negative regulation of gene expression, epigenetic negative regulation of transcription, DNA-templated positive regulation of transcription from RNA polymerase II promoter cellular response to lipopolysaccharide negative regulation of cell migration involved in sprouting angiogenesis osteoblast development transcription from RNA polymerase II promoter protein deacetylation heart development histone deacetylation multicellular organismal response to stress response to drug regulation of protein binding negative regulation of osteoblast differentiation regulation of skeletal muscle fiber development positive regulation of sequence-specific DNA binding transcription factor activity regulation of striated muscle cell differentiation renal tubule morphogenesis cellular response to fluid shear stress positive regulation of neural precursor cell proliferation regulation of histone H3-K9 acetylation positive regulation of stem cell proliferation transcription, DNA-templated regulation of transcription, DNA-templated nervous system development negative regulation of gene expression chromatin modification negative regulation of striated muscle tissue development
          It has to be done as per old AB suggested Products section.

          Disclaimer

          Close

          Clicking the images or links will redirect you to a website hosted by BenchSci that provides third-party scientific content. Neither the content nor the BenchSci technology and processes for selection have been evaluated by us; we are providing them as-is and without warranty of any kind, including for use or application of the Thermo Fisher Scientific products presented.

          guarantee_icon

          性能保障

          只要您发现Invitrogen抗体在实验中的表现与网站或说明书的所述内容不符,您即可享受免费退换货服务。*

          了解更多
          help_icon

          随时为您服务

          获取常见问题的专家解答,或者直接联系我们的技术专家,咨询应用、设备、常规产品使用问题。

          联系技术支持
          订购 Plus Icon Minus Icon
          • 订单状态查询
          • 订单支持
          • 货号直购
          • 现货供应中心
          • 电子采购
          支持 Plus Icon Minus Icon
          • 帮助&支持
          • 联系我们 - 400 820 8982
          • 技术支持中心
          • 查找文件&证书
          • 报告网站问题
          资源 Plus Icon Minus Icon
          • 学习中心
          • 促销
          • 活动&研讨会
          • 社交媒体
          关于赛默飞 Plus Icon Minus Icon
          • 关于我们
          • 招聘 招聘
          • 投资者关系 投资者关系
          • 新闻 新闻
          • 社会责任 社会责任
          • 商标
          • 政策和通知
          品牌 Plus Icon Minus Icon
          • Thermo Scientific
          • Applied Biosystems
          • Invitrogen
          • Gibco
          • Ion Torrent
          • Unity Lab Services
          • Patheon
          • PPD
          • 服务条款
          • 隐私政策
          • 定价和运输保险政策
          © 2006-2026 Thermo Fisher Scientific Inc. All rights reserved. All trademarks are the property of Thermo Fisher Scientific and its subsidiaries unless otherwise specified.
          China flag icon
          China
          本网站销售的所有产品均不得用于人类或动物之临床诊断或治疗,仅可用于工业或者科研等非医疗目的。
             电子营业执照 | 经营证照公示 | ICP备案号:沪ICP备11003924号 | 沪公网安备 31011502006935号

          Your items have has been added!


          Host server : magellan-search-green-6479c7f679-zb4k5:80/100.66.74.142:80.
          git-commit: b70c0dceb888abc3b0dcebb5bc3a5b8753e7e816
          git-url: https://github.com/thermofisher/magellan-search
          git-branch: release/2.50.0-Offline