Hamburger Menu Button
Thermo Fisher Scientific Logo
登录
没有账号?建立账号 注册
  • 产品
    • 抗体
    • 引物合成
    • GeneArt Gene Synthesis Instant Designer
    • TaqMan Assay and Array Search
    • PCR 设备和耗材
    • 色谱柱和纯化柱
    • 实验室离心机
    • 分子生物学试剂和试剂盒
    • 实验室塑料耗材及用品
    • 查看所有产品分类
  • 应用和技术
    • 色谱
    • 细胞转染和培养
    • 实时荧光定量PCR
    • 质谱
    • 实验室塑料耗材及用品
    • 电子显微镜
    • 蛋白质生物学
    • PCR
    • RNAi
    • 环境
    • 查看所有应用和技术
  • 服务
    • 定制服务
    • 企业级实验室信息化服务
    • 金融&租赁服务
    • 仪器服务
    • OEM和商业供应
    • 培训服务
    • 360° CDMO 和 CRO 服务
    • CDMO 服务
    • 临床试验 CRO 服务
    • Unity Lab Services
    • 查看所有帮助和支持
  • 帮助和支持
    • 学习中心
    • 联系我们
    • 更改国家或地区
    • 查看所有帮助和支持
  • 热门产品
    • TaqMan Real-Time PCR Assays
      TaqMan 实时荧光定量 PCR 试剂盒
    • Antibodies
      抗体
    • Oligos, Primers & Probes
      寡核苷酸、引物、探针
    • GeneArt Gene Synthesis
      GeneArt 基因合成
    • Cell Culture Plastics
      细胞培养耗材
  • Who We Serve
    • 抗体治疗解决方案
    • 细胞与基因治疗解决方案
    • 学术科研
    • 工业与应用
  • 联系我们
  • 货号直购
  • 订单查询
  • 查找文件&证书
Thermo Fisher Scientific Logo

Search

搜索全部或下列指定分类
Search button
          • 联系我们
          • 货号直购
          • 登录
            登录
            没有账号?建立账号 注册
            • 我的账号
            • 订单
            • 会员中心
            • 账单及发票查询
            • 定制产品及项目
          • Primary Antibodies ›
          • HDAC6 Antibodies

          Invitrogen

          HDAC6 Polyclonal Antibody

          查看其他26个HDAC6抗体

          {{$productOrderCtrl.translations['antibody.pdp.commerceCard.promotion.promotions']}}

          {{$productOrderCtrl.translations['antibody.pdp.commerceCard.promotion.viewpromo']}}

          {{$productOrderCtrl.translations['antibody.pdp.commerceCard.promotion.promocode']}}: {{promo.promoCode}} {{promo.promoTitle}} {{promo.promoDescription}}. {{$productOrderCtrl.translations['antibody.pdp.commerceCard.promotion.learnmore']}}

          说明书
          证书
          实验方案
          问题与答案
          技术支持
          说明书
          证书
          实验方案
          问题与答案
          技术支持
          说明书
          证书
          实验方案
          问题与答案
          技术支持

          Cite HDAC6 Polyclonal Antibody

          Additional Information:
          {{banner.description}}
          {{$ctrl.isSkuNotesCollapsed ? 'View more' : 'View less'}}
          • 抗体检测数据 (4)
          HDAC6 Antibody in Immunohistochemistry (Paraffin) (IHC (P))
          Group 53 Created with Sketch.
          HDAC6 Antibody in Immunohistochemistry (Paraffin) (IHC (P))
          Group 53 Created with Sketch.

          图: 1 / 4

          {{ $ctrl.currentElement.advancedVerification.fullName }}
          {{ $ctrl.currentElement.advancedVerification.text }}

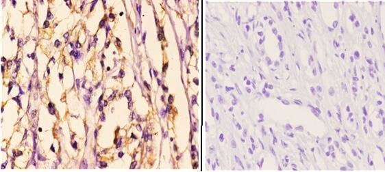
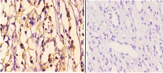
          HDAC6 Antibody (PA5-86320) in IHC (P)

          Immunohistochemical analysis of HDAC6 in paraffin-embedded human kidney carcinoma tissue showing cytoplasm and nucleus staining and negative control (right). Sample was incubated with polyclonal HDAC6 antibody (Product # PA5-86320) using a 1:50 dilution, and followed by goat anti-rabbit IgG-biotin and avidin-peroxidase secondary antibodies. {{ $ctrl.currentElement.advancedVerification.fullName }} 验证信息 View more
          已发表图片由___提供 benchsci-logo
          PMID: {{$ctrl.currentElement.benchSciPubmedId}}
          查看产品

          {{$ctrl.videoDesc}}

          {{$ctrl.videoLongDesc}}

          HDAC6 Antibody in Immunohistochemistry (Paraffin) (IHC (P))
          HDAC6 Antibody in Immunohistochemistry (Paraffin) (IHC (P))
          HDAC6 Antibody in Immunohistochemistry (Paraffin) (IHC (P))
          HDAC6 Antibody in Western Blot (WB)
          HDAC6 Polyclonal Antibody

          产品信息

          PA5-86320

          应用
          建议稀释比
          已发表文章

          免疫印迹 (WB)

          1:500-1:1,000
          -

          免疫组化(石蜡) (IHC (P))

          1:50-1:200
          -

          免疫细胞化学 (ICC/IF)

          1:50-1:200
          -
          产品规格

          种属反应

          Human, Mouse, Rat

          宿主/亚型

          Rabbit / IgG

          分类

          Polyclonal

          类型

          Antibody

          抗原

          Synthetic peptide corresponding to the N-terminal of Human HDAC6.
          3D表位/免疫原

          偶联物

          Unconjugated Unconjugated Unconjugated

          形式

          Liquid

          浓度

          1 mg/mL

          规格

          100 µg

          纯化类型

          Antigen affinity chromatography

          保存液

          PBS, pH 7.2, with 50% glycerol

          内含物

          0.02% sodium azide

          保存条件

          Store at 4°C short term. For long term storage, store at -20°C, avoiding freeze/thaw cycles.

          运输条件

          Ambient (domestic); Wet ice (international)

          RRID

          AB_2803103

          产品详细信息

          Purity is > 95% by SDS-PAGE.

          靶标信息

          Responsible for the deacetylation of lysine residues on the N-terminal part of the core histones (H2A, H2B, H3 and H4). Histone deacetylation gives a tag for epigenetic repression and plays an important role in transcriptional regulation, cell cycle progression and developmental events. Histone deacetylases act via the formation of large multiprotein complexes. Plays a central role in microtubule-dependent cell motility via deacetylation of tubulin.

          仅用于科研。不用于诊断过程。未经明确授权不得转售。

          篇参考文献 (0)

          您是否在文献中引用过该产品?请点击下方按钮邮件告知我们。
          引用该产品

          生物信息学

          蛋白别名: alpha-tubulin deacetylase HDAC6; E3 ubiquitin-protein ligase HDAC6; FLJ16239; HDA6; HDAC6; histone deacetylase 5; histone deacetylase 6; histone deacetylase mHDA2; mHDA2; Protein deacetylase HDAC6; protein phosphatase 1, regulatory subunit 90; scurfy candidate 6; Tubulin-lysine deacetylase HDAC6; unnamed protein product

          查看更多 收起

          基因别名: CPBHM; HD6; Hdac5; HDAC6; JM21; KDAC6; KIAA0901; mHDA2; PPP1R90; Sfc6

          查看更多 收起

          UniProt ID: (Human) Q9UBN7, (Mouse) Q9Z2V5

          查看更多 收起

          Entrez Gene ID: (Human) 10013, (Rat) 84581, (Mouse) 15185

          查看更多 收起

          功能
          RNA polymerase II core promoter proximal region sequence-specific DNA binding transcription corepressor binding actin binding histone deacetylase activity protein binding beta-catenin binding microtubule binding zinc ion binding transferase activity hydrolase activity deacetylase activity enzyme binding polyubiquitin binding ubiquitin protein ligase binding protein deacetylase activity peroxidase inhibitor activity ATPase inhibitor activity histone deacetylase binding tubulin deacetylase activity alpha-tubulin binding ubiquitin binding metal ion binding acetylspermidine deacetylase activity tau protein binding beta-tubulin binding misfolded protein binding Hsp90 protein binding dynein complex binding histone deacetylase activity, hydrolytic mechanism core promoter binding histone deacetylase activity (H3-K14 specific) NAD-dependent histone deacetylase activity (H3-K14 specific) histone deacetylase activity (H3-K9 specific) histone deacetylase activity (H4-K16 specific) NAD-dependent histone deacetylase activity (H3-K9 specific) NAD-dependent histone deacetylase activity (H4-K16 specific) NAD-dependent histone deacetylase activity (H3-K18 specific) histone modifying enzyme
          参与通路
          protein polyubiquitination response to amphetamine chromatin organization protein deacetylation ubiquitin-dependent protein catabolic process misfolded or incompletely synthesized protein catabolic process intracellular protein transport autophagy response to stress actin filament organization negative regulation of microtubule depolymerization epidermal growth factor receptor signaling pathway regulation of autophagy positive regulation of epithelial cell migration negative regulation of hydrogen peroxide metabolic process regulation of mitochondrion organization negative regulation of neuron projection development macroautophagy regulation of macroautophagy axonal transport of mitochondrion neuron differentiation negative regulation of protein complex assembly regulation of protein stability protein destabilization lysosome localization positive regulation of protein oligomerization regulation of microtubule-based process protein-containing complex disassembly positive regulation of intracellular estrogen receptor signaling pathway cellular response to heat response to immobilization stress cellular response to topologically incorrect protein aggrephagy erythrocyte enucleation ubiquitin-dependent protein catabolic process via the multivesicular body sorting pathway negative regulation of protein complex disassembly regulation of fat cell differentiation negative regulation of gene expression, epigenetic negative regulation of proteolysis negative regulation of transcription, DNA-templated collateral sprouting negative regulation of axon extension involved in axon guidance positive regulation of dendrite morphogenesis negative regulation of cellular component organization positive regulation of cellular component organization response to corticosterone mitochondrion localization response to misfolded protein positive regulation of synaptic transmission, glutamatergic cilium morphogenesis regulation of microtubule-based movement regulation of androgen receptor signaling pathway dendritic spine morphogenesis cilium disassembly parkin-mediated mitophagy in response to mitochondrial depolarization regulation of biological quality regulation of establishment of protein localization cellular response to hydrogen peroxide regulation of microtubule cytoskeleton organization aggresome assembly polyubiquitinated misfolded protein transport protein targeting to vacuole involved in autophagy cellular response to misfolded protein cellular response to parathyroid hormone stimulus response to dexamethasone tubulin deacetylation macromolecule deacylation polyamine deacetylation spermidine deacetylation membraneless organelle assembly positive regulation of cellular response to oxidative stress regulation of mitophagy positive regulation of cholangiocyte proliferation positive regulation of type 2 mitophagy negative regulation of aggrephagy regulation of protein phosphorylation metabolic process positive regulation of cell proliferation response to toxic substance positive regulation of signal transduction response to organic substance regulation of receptor activity positive regulation of receptor biosynthetic process histone deacetylation cellular response to oxidative stress peptidyl-lysine deacetylation regulation of gene expression, epigenetic protein complex disassembly Hsp90 deacetylation response to growth factor positive regulation of chaperone-mediated protein complex assembly positive regulation of tubulin deacetylation positive regulation of hydrogen peroxide-mediated programmed cell death negative regulation of protein acetylation positive regulation of oxidative stress-induced neuron death transcription, DNA-templated regulation of transcription, DNA-templated chromatin modification mitophagy in response to mitochondrial depolarization
          It has to be done as per old AB suggested Products section.

          Disclaimer

          Close

          Clicking the images or links will redirect you to a website hosted by BenchSci that provides third-party scientific content. Neither the content nor the BenchSci technology and processes for selection have been evaluated by us; we are providing them as-is and without warranty of any kind, including for use or application of the Thermo Fisher Scientific products presented.

          guarantee_icon

          性能保障

          只要您发现Invitrogen抗体在实验中的表现与网站或说明书的所述内容不符,您即可享受免费退换货服务。*

          了解更多
          help_icon

          随时为您服务

          获取常见问题的专家解答,或者直接联系我们的技术专家,咨询应用、设备、常规产品使用问题。

          联系技术支持
          订购 Plus Icon Minus Icon
          • 订单状态查询
          • 订单支持
          • 货号直购
          • 现货供应中心
          • 电子采购
          支持 Plus Icon Minus Icon
          • 帮助&支持
          • 联系我们 - 400 820 8982
          • 技术支持中心
          • 查找文件&证书
          • 报告网站问题
          资源 Plus Icon Minus Icon
          • 学习中心
          • 促销
          • 活动&研讨会
          • 社交媒体
          关于赛默飞 Plus Icon Minus Icon
          • 关于我们
          • 招聘 招聘
          • 投资者关系 投资者关系
          • 新闻 新闻
          • 社会责任 社会责任
          • 商标
          • 政策和通知
          品牌 Plus Icon Minus Icon
          • Thermo Scientific
          • Applied Biosystems
          • Invitrogen
          • Gibco
          • Ion Torrent
          • Unity Lab Services
          • Patheon
          • PPD
          • 服务条款
          • 隐私政策
          • 定价和运输保险政策
          © 2006-2026 Thermo Fisher Scientific Inc. All rights reserved. All trademarks are the property of Thermo Fisher Scientific and its subsidiaries unless otherwise specified.
          China flag icon
          China
          本网站销售的所有产品均不得用于人类或动物之临床诊断或治疗,仅可用于工业或者科研等非医疗目的。
             电子营业执照 | 经营证照公示 | ICP备案号:沪ICP备11003924号 | 沪公网安备 31011502006935号

          Your items have has been added!


          Host server : magellan-search-green-6479c7f679-rv8h9:80/100.66.78.195:80.
          git-commit: b70c0dceb888abc3b0dcebb5bc3a5b8753e7e816
          git-url: https://github.com/thermofisher/magellan-search
          git-branch: release/2.50.0-Offline