Hamburger Menu Button
Thermo Fisher Scientific Logo
登录
没有账号?建立账号 注册
  • 产品
    • 抗体
    • 引物合成
    • GeneArt Gene Synthesis Instant Designer
    • TaqMan Assay and Array Search
    • PCR 设备和耗材
    • 色谱柱和纯化柱
    • 实验室离心机
    • 分子生物学试剂和试剂盒
    • 实验室塑料耗材及用品
    • 查看所有产品分类
  • 应用和技术
    • 色谱
    • 细胞转染和培养
    • 实时荧光定量PCR
    • 质谱
    • 实验室塑料耗材及用品
    • 电子显微镜
    • 蛋白质生物学
    • PCR
    • RNAi
    • 环境
    • 查看所有应用和技术
  • 服务
    • 定制服务
    • 企业级实验室信息化服务
    • 企业服务
    • 金融&租赁服务
    • 仪器服务
    • OEM和商业供应
    • 培训服务
    • 360° CDMO 和 CRO 服务
    • CDMO 服务
    • 临床试验 CRO 服务
    • 查看所有帮助和支持
  • 帮助和支持
    • 学习中心
    • 联系我们
    • 更改国家或地区
    • 查看所有帮助和支持
  • 热门产品
    • TaqMan Real-Time PCR Assays
      TaqMan 实时荧光定量 PCR 试剂盒
    • Antibodies
      抗体
    • Oligos, Primers & Probes
      寡核苷酸、引物、探针
    • GeneArt Gene Synthesis
      GeneArt 基因合成
    • Cell Culture Plastics
      细胞培养耗材
  • 联系我们
  • 货号直购
  • 订单查询
  • 查找文件&证书
Thermo Fisher Scientific Logo

Search

搜索全部或下列指定分类
Search button
          • 联系我们
          • 货号直购
          • 登录
            登录
            没有账号?建立账号 注册
            • 我的账号
            • 订单
            • 账单及发票查询
            • 定制产品及项目

          Disclaimer

          Clicking the images or links will redirect you to a website hosted by BenchSci that provides third-party scientific content. Neither the content nor the BenchSci technology and processes for selection have been evaluated by us; we are providing them as-is and without warranty of any kind, including for use or application of the Thermo Fisher Scientific products presented.

          • Primary Antibodies ›
          • HFE Antibodies

          Invitrogen

          HFE Polyclonal Antibody

          查看其他13个HFE抗体

          {{$productOrderCtrl.translations['antibody.pdp.commerceCard.promotion.promotions']}}

          {{$productOrderCtrl.translations['antibody.pdp.commerceCard.promotion.viewpromo']}}

          {{$productOrderCtrl.translations['antibody.pdp.commerceCard.promotion.promocode']}}: {{promo.promoCode}} {{promo.promoTitle}} {{promo.promoDescription}}. {{$productOrderCtrl.translations['antibody.pdp.commerceCard.promotion.learnmore']}}

          说明书
          实验方案
          问题与答案
          技术支持
          说明书
          实验方案
          问题与答案
          技术支持
          说明书
          实验方案
          问题与答案
          技术支持

          Cite HFE Polyclonal Antibody

          • 抗体检测数据 (5)
          HFE Antibody in Immunohistochemistry (Paraffin) (IHC (P))
          Group 53 Created with Sketch.
          HFE Antibody in Immunohistochemistry (Paraffin) (IHC (P))
          Group 53 Created with Sketch.

          图: 1 / 5

          {{ $ctrl.currentElement.advancedVerification.fullName }}
          {{ $ctrl.currentElement.advancedVerification.text }}

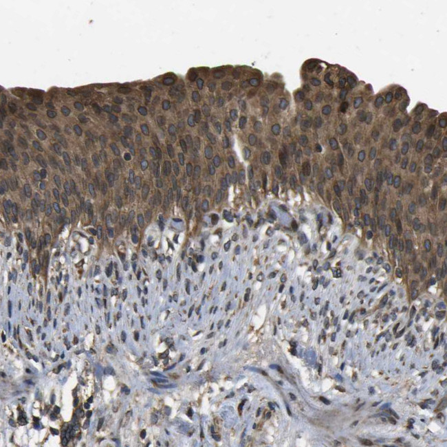
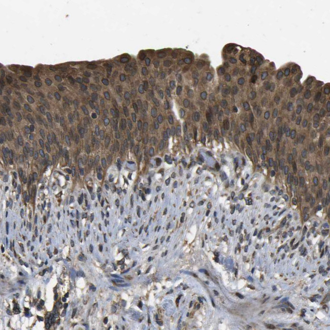
          HFE Antibody (PA5-82581) in IHC (P)

          Immunohistochemical analysis of HFE in human urinary bladder using HFE Polyclonal Antibody (Product # PA5-82581) shows strong cytoplasmic positivity in urothelial cells. {{ $ctrl.currentElement.advancedVerification.fullName }} 验证信息 View more
          已发表图片由___提供 benchsci-logo
          PMID: {{$ctrl.currentElement.benchSciPubmedId}}
          查看产品

          {{$ctrl.videoDesc}}

          {{$ctrl.videoLongDesc}}

          HFE Antibody in Immunohistochemistry (Paraffin) (IHC (P))
          HFE Antibody in Immunohistochemistry (Paraffin) (IHC (P))
          HFE Antibody in Immunohistochemistry (Paraffin) (IHC (P))
          HFE Antibody in Immunohistochemistry (Paraffin) (IHC (P))
          HFE Antibody in Western Blot (WB)
          HFE Polyclonal Antibody

          产品信息

          PA5-82581

          应用
          建议稀释比
          已发表文章

          免疫印迹 (WB)

          0.04-0.4 µg/mL
          -

          免疫组化(石蜡) (IHC (P))

          1:20-1:50
          -
          产品规格

          种属反应

          Human

          宿主/亚型

          Rabbit / IgG

          分类

          Polyclonal

          类型

          Antibody

          抗原

          Recombinant protein corresponding to Human HFE. Recombinant protein control fragment (Product #RP-89957).
          查看免疫原

          偶联物

          Unconjugated Unconjugated Unconjugated

          形式

          Liquid

          浓度

          0.1 mg/mL

          纯化类型

          Antigen affinity chromatography

          保存液

          PBS, pH 7.2, with 40% glycerol

          内含物

          0.02% sodium azide

          保存条件

          Store at 4°C short term. For long term storage, store at -20°C, avoiding freeze/thaw cycles.

          运输条件

          Ambient (domestic); Wet ice (international)

          RRID

          AB_2789739

          产品详细信息

          Immunogen sequence: YLERDCPAQL QQLLELGRGV LDQQVPPLVK VTHHVTSSVT TLRCRALNYY PQNITMKWLK DKQPMDAKEF EPKDVLPNGD GTYQGWITLA VPPGEEQRYT CQVEHPGLDQ PLIVIWEPSP S

          Highest antigen sequence indentity to the following orthologs: Rat - 73%, Mouse - 71%.

          靶标信息

          The protein encoded by this gene is a membrane protein that is similar to MHC class I-type proteins and associates with beta2-microglobulin. It is thought that this protein functions to regulate iron absorption by regulating the interaction of the transferrin receptor with transferrin. The iron storage disorder, hereditary haemochromatosis, is a recessive genetic disorder that results from defects in this gene. At least nine alternatively spliced variants have been described for this gene. Additional variants have been found but their full-length nature has not been determined.

          仅用于科研。不用于诊断过程。未经明确授权不得转售。

          篇参考文献 (0)

          您是否在文献中引用过该产品?请点击下方按钮邮件告知我们。
          引用该产品

          生物信息学

          蛋白别名: Hereditary hemochromatosis protein; hereditary hemochromatosis protein HLA-H; HFE 1; high Fe; HLA H; HLA-H; MGC10379; MGC103790; MGC:150812; MHC class I-like protein HFE

          查看更多 收起

          基因别名: HFE; HFE1; HH; HLA-H; HLAH; MVCD7; TFQTL2

          查看更多 收起

          UniProt ID: (Human) Q30201

          查看更多 收起

          Entrez Gene ID: (Human) 3077

          查看更多 收起

          功能
          antigen binding receptor binding protein binding beta-2-microglobulin binding co-receptor binding peptide antigen binding transferrin receptor binding major histocompatibility complex protein
          参与通路
          antigen processing and presentation of peptide antigen via MHC class I negative regulation of T cell antigen processing and presentation negative regulation of T cell cytokine production protein complex assembly cellular iron ion homeostasis acute-phase response immune response female pregnancy response to iron ion cellular response to iron ion starvation positive regulation of gene expression positive regulation of pathway-restricted SMAD protein phosphorylation antigen processing and presentation BMP signaling pathway positive regulation of protein binding negative regulation of proteasomal ubiquitin-dependent protein catabolic process hormone biosynthetic process positive regulation of receptor-mediated endocytosis iron ion homeostasis multicellular organismal iron ion homeostasis cellular response to iron ion positive regulation of peptide hormone secretion liver regeneration iron ion import into cell negative regulation of receptor binding positive regulation of receptor binding positive regulation of ferrous iron import into cell negative regulation of antigen processing and presentation of endogenous peptide antigen via MHC class I positive regulation of ferrous iron binding positive regulation of transferrin receptor binding response to iron ion starvation regulation of protein localization to cell surface negative regulation of protein ubiquitination involved in ubiquitin-dependent protein catabolic process negative regulation of receptor activity positive regulation of receptor activity negative regulation of CD8-positive, alpha-beta T cell activation
          It has to be done as per old AB suggested Products section.
          guarantee_icon

          性能保障

          只要您发现Invitrogen抗体在实验中的表现与网站或说明书的所述内容不符,您即可享受免费退换货服务。*

          了解更多
          help_icon

          随时为您服务

          获取常见问题的专家解答,或者直接联系我们的技术专家,咨询应用、设备、常规产品使用问题。

          联系技术支持
          订购 Plus Icon Minus Icon
          • 订单状态查询
          • 订单支持
          • 货号直购
          • 现货供应中心
          • 电子采购
          支持 Plus Icon Minus Icon
          • 帮助&支持
          • 联系我们 - 400 820 8982
          • 技术支持中心
          • 查找文件&证书
          • 报告网站问题
          资源 Plus Icon Minus Icon
          • 学习中心
          • 促销
          • 活动&研讨会
          • 社交媒体
          关于赛默飞 Plus Icon Minus Icon
          • 关于我们
          • 招聘 招聘
          • 投资者关系 投资者关系
          • 新闻 新闻
          • 社会责任 社会责任
          • 商标
          • 政策和通知
          品牌 Plus Icon Minus Icon
          • Thermo Scientific
          • Applied Biosystems
          • Invitrogen
          • Gibco
          • Ion Torrent
          • Patheon
          • PPD
          • 服务条款
          • 隐私政策
          • 定价和运输保险政策
          © 2006-2026 Thermo Fisher Scientific Inc. All rights reserved. All trademarks are the property of Thermo Fisher Scientific and its subsidiaries unless otherwise specified.
          China flag icon
          China
          本网站销售的所有产品均不得用于人类或动物之临床诊断或治疗,仅可用于工业或者科研等非医疗目的。
             电子营业执照 | 经营证照公示 | ICP备案号:沪ICP备11003924号 | 沪公网安备 31011502006935号

          Your items have has been added!


          Host server : magellan-search-green-55658555d6-9rjdb:80/100.66.79.224:80.
          git-commit: ec8e7df5f8fec8d765bd419205f1b5046a016d37
          git-url: https://github.com/thermofisher/magellan-search
          git-branch: release/2.41.0-Offline