Hamburger Menu Button
Thermo Fisher Scientific Logo
登录
没有账号?建立账号 注册
  • 产品
    • 抗体
    • 引物合成
    • GeneArt Gene Synthesis Instant Designer
    • TaqMan Assay and Array Search
    • PCR 设备和耗材
    • 色谱柱和纯化柱
    • 实验室离心机
    • 分子生物学试剂和试剂盒
    • 实验室塑料耗材及用品
    • 查看所有产品分类
  • 应用和技术
    • 色谱
    • 细胞转染和培养
    • 实时荧光定量PCR
    • 质谱
    • 实验室塑料耗材及用品
    • 电子显微镜
    • 蛋白质生物学
    • PCR
    • RNAi
    • 环境
    • 查看所有应用和技术
  • 服务
    • 定制服务
    • 企业级实验室信息化服务
    • 金融&租赁服务
    • 仪器服务
    • OEM和商业供应
    • 培训服务
    • 360° CDMO 和 CRO 服务
    • CDMO 服务
    • 临床试验 CRO 服务
    • Unity Lab Services
    • 查看所有帮助和支持
  • 帮助和支持
    • 学习中心
    • 联系我们
    • 更改国家或地区
    • 查看所有帮助和支持
  • 热门产品
    • TaqMan Real-Time PCR Assays
      TaqMan 实时荧光定量 PCR 试剂盒
    • Antibodies
      抗体
    • Oligos, Primers & Probes
      寡核苷酸、引物、探针
    • GeneArt Gene Synthesis
      GeneArt 基因合成
    • Cell Culture Plastics
      细胞培养耗材
  • Who We Serve
    • 抗体治疗解决方案
    • 细胞与基因治疗解决方案
    • 学术科研
    • 工业与应用
  • 联系我们
  • 货号直购
  • 订单查询
  • 查找文件&证书
Thermo Fisher Scientific Logo

Search

搜索全部或下列指定分类
Search button
          • 联系我们
          • 货号直购
          • 登录
            登录
            没有账号?建立账号 注册
            • 我的账号
            • 订单
            • 会员中心
            • 账单及发票查询
            • 定制产品及项目
          • Primary Antibodies ›
          • HLA-AB Antibodies

          Invitrogen

          HLA-AB Polyclonal Antibody

          查看其他2个HLA-AB抗体

          {{$productOrderCtrl.translations['antibody.pdp.commerceCard.promotion.promotions']}}

          {{$productOrderCtrl.translations['antibody.pdp.commerceCard.promotion.viewpromo']}}

          {{$productOrderCtrl.translations['antibody.pdp.commerceCard.promotion.promocode']}}: {{promo.promoCode}} {{promo.promoTitle}} {{promo.promoDescription}}. {{$productOrderCtrl.translations['antibody.pdp.commerceCard.promotion.learnmore']}}

          说明书
          证书
          实验方案
          问题与答案
          技术支持
          说明书
          证书
          实验方案
          问题与答案
          技术支持
          说明书
          证书
          实验方案
          问题与答案
          技术支持

          Cite HLA-AB Polyclonal Antibody

          Additional Information:
          {{banner.description}}
          {{$ctrl.isSkuNotesCollapsed ? 'View more' : 'View less'}}
          • 抗体检测数据 (6)
          HLA-AB Antibody in Immunohistochemistry (Paraffin) (IHC (P))
          Group 53 Created with Sketch.
          HLA-AB Antibody in Immunohistochemistry (Paraffin) (IHC (P))
          Group 53 Created with Sketch.

          图: 1 / 6

          {{ $ctrl.currentElement.advancedVerification.fullName }}
          {{ $ctrl.currentElement.advancedVerification.text }}

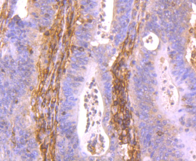
          HLA-AB Antibody (PA5-86049) in IHC (P)

          Immunohistochemical analysis of HLA-AB of paraffin-embedded Human colon cancer tissue using a HLA-AB Polyclonal antibody (Product #PA5-86049). Counter stained with hematoxylin. {{ $ctrl.currentElement.advancedVerification.fullName }} 验证信息 View more
          已发表图片由___提供 benchsci-logo
          PMID: {{$ctrl.currentElement.benchSciPubmedId}}
          查看产品

          {{$ctrl.videoDesc}}

          {{$ctrl.videoLongDesc}}

          HLA-AB Antibody in Immunohistochemistry (Paraffin) (IHC (P))
          HLA-AB Antibody in Immunohistochemistry (Paraffin) (IHC (P))
          HLA-AB Antibody in Immunohistochemistry (Paraffin) (IHC (P))
          HLA-AB Antibody in Immunohistochemistry (Paraffin) (IHC (P))
          HLA-AB Antibody in Western Blot (WB)
          HLA-AB Antibody in Flow Cytometry (Flow)
          HLA-AB Polyclonal Antibody

          产品信息

          PA5-86049

          应用
          建议稀释比
          已发表文章

          免疫印迹 (WB)

          1:500-1:2,000
          -

          免疫组化(石蜡) (IHC (P))

          1:200-1:500
          -

          流式细胞分析 (Flow)

          1:50-1:200
          -
          产品规格

          种属反应

          Human

          宿主/亚型

          Rabbit / IgG

          分类

          Polyclonal

          类型

          Antibody

          抗原

          Recombinant protein within Human HLA Class 1 ABC aa 125-325.
          3D表位/免疫原

          偶联物

          Unconjugated Unconjugated Unconjugated

          形式

          Liquid

          浓度

          1 mg/mL

          规格

          100 µg

          纯化类型

          Protein A

          保存液

          PBS, pH 7.4, with 50% Glycerol, 0.2% BSA

          内含物

          0.05% sodium azide

          保存条件

          Store at 4°C short term. For long term storage, store at -20°C, avoiding freeze/thaw cycles.

          运输条件

          Ambient (domestic); Wet ice (international)

          RRID

          AB_2802850

          靶标信息

          HLA-AB refers to the human leukocyte antigen (HLA) class I molecule, specifically the HLA-A and HLA-B loci. HLA-AB plays a critical role in the immune system by presenting peptides derived from intracellular proteins to CD8+ T cells. Its widespread presence on nucleated cells allows for immune surveillance and targeted elimination of infected or abnormal cells. HLA-AB consists of a heavy chain (encoded by the HLA-A or HLA-B gene) and a beta-2 microglobulin chain. The heavy chain contains three extracellular domains: alpha-1, alpha-2, and alpha-3. These domains form a peptide-binding groove that accommodates antigenic peptides. The beta-2 microglobulin chain is non-covalently associated with the heavy chain and stabilizes the structure of the HLA-AB complex. The structure of HLA-AB enables it to bind and present a diverse range of antigenic peptides, facilitating the recognition and response to intracellular pathogens.

          HLA and MHC antibodies play a significant role in Immunopeptidomics, facilitating the identification and characterization of neoantigens through high-performance liquid chromatography coupled to tandem Mass Spectrometry.

          仅用于科研。不用于诊断过程。未经明确授权不得转售。

          篇参考文献 (0)

          您是否在文献中引用过该产品?请点击下方按钮邮件告知我们。
          引用该产品

          生物信息学

          蛋白别名: allele B-3515; B*3509; cell surface glycoprotein; integral membrane protein; glycosylation aa 86, alpha domain 1 aa 1-24, alpha domain 2 aa 25-114, alpha domain 3 aa 207-298; glycosylation aa 86, alpha domain 1 aa 25-114, alpha domain 2 aa 115-206, alpha domain 3 aa 207-298; heavy chain; hla antigen; HLA B-1519; HLA class I antigen HLA-B; HLA class I histocompatibility antigen, A alpha chain; HLA class I histocompatibility antigen, A-1 alpha chain; HLA class I histocompatibility antigen, B alpha chain; HLA protein allele A25; HLA protein allele B37; HLA protein allele B51; HLA protein allele B57; HLA protein allele B7; HLA-A; HLA-A 2402; HLA-A*0201 alpha chain; human leukocyte antigen; HLA-A*0204; HLA-A*0207 alpha chain; human leukocyte antigen; HLA-A-0102 allele; HLA-A24AK; HLA-A25; HLA-B; HLA-B*4002; HLA-B-07ZEL allele; HLA-B-1501; HLA-B-1516; HLA-B-1520 allele; HLA-B-15AOH allele; HLA-B-15ZEL allele; HLA-B-27KSH allele; HLA-B-67LAV allele; This submission reports an HLA-B-6701 variant (HLA-B-67LAV) that differs from the published B-6701 sequence, GenBank Accession Number L17005; HLA-B18; HLA-B27 peptide; HLA-B39; HLA-B41 variant; HLA-B61; HLA-Bw-39-DBU allele; human leukocyte antigen; Human leukocyte antigen A; Human leukocyte antigen B; leukocyte antigen class I-A; leukocyte antigen class I-B; lymphocyte antigen; major histocompatibility complex class I A; MHC class 1 antigen; MHC class I antigen HLA-A heavy chain; MHC class I antigen HLA-B alpha chain; MHC class I antigen HLA-B heavy chain; MHC class I antigen SHCHA; MHC class I molecule; MHC class I-like alpha chain membrane-bound type; MHC HLA-A cell surface antigen; MHC HLA-A10-alpha-2 chain precursor; MHC HLA-A2.4a chain; MHC HLA-A24 cell surface glycoprotein; MHC HLA-B cell surface glycoprotein; MHC HLA-B transmembrane glycoprotein; MHC HLA-B44; MHC HLA-B7 heavy chain precursor; MHC HLA-Bw46; similar to Homo sapiens MHC HLA-B39 mRNA with GenBank Accession Number L42024.1; subtype B*3508 differs at residue 156 (Leu->Arg) with subtype B*3501; unnamed protein product

          查看更多 收起

          基因别名: AS; B-4901; HLA-A; HLA-B; HLAA; HLAB

          查看更多 收起

          UniProt ID: (Human) P04439, (Human) P01889

          查看更多 收起

          Entrez Gene ID: (Human) 3105, (Human) 3106

          查看更多 收起

          功能
          RNA binding receptor binding protein binding beta-2-microglobulin binding peptide antigen binding T cell receptor binding CD8 receptor binding TAP binding TAP complex binding chaperone binding
          参与通路
          T cell mediated cytotoxicity positive regulation of T cell mediated cytotoxicity adaptive immune response immune system process T cell mediated cytotoxicity directed against tumor cell target antigen processing and presentation of peptide antigen via MHC class I antigen processing and presentation of endogenous peptide antigen via MHC class Ib antigen processing and presentation of endogenous peptide antigen via MHC class I via ER pathway, TAP-dependent antigen processing and presentation of endogenous peptide antigen via MHC class I via ER pathway, TAP-independent peptide antigen assembly with MHC class I protein complex positive regulation of T cell cytokine production immune response detection of bacterium antibacterial humoral response antigen processing and presentation antigen processing and presentation of endogenous peptide antigen via MHC class I positive regulation of interferon-gamma production CD8-positive, alpha-beta T cell activation protection from natural killer cell mediated cytotoxicity antigen processing and presentation of exogenous peptide antigen via MHC class I innate immune response defense response to Gram-positive bacterium T cell receptor signaling pathway positive regulation of CD8-positive, alpha-beta T cell proliferation positive regulation of memory T cell activation positive regulation of CD8-positive, alpha-beta T cell activation regulation of T cell anergy defense response regulation of interleukin-12 production regulation of interleukin-6 production regulation of dendritic cell differentiation
          It has to be done as per old AB suggested Products section.

          Disclaimer

          Close

          Clicking the images or links will redirect you to a website hosted by BenchSci that provides third-party scientific content. Neither the content nor the BenchSci technology and processes for selection have been evaluated by us; we are providing them as-is and without warranty of any kind, including for use or application of the Thermo Fisher Scientific products presented.

          guarantee_icon

          性能保障

          只要您发现Invitrogen抗体在实验中的表现与网站或说明书的所述内容不符,您即可享受免费退换货服务。*

          了解更多
          help_icon

          随时为您服务

          获取常见问题的专家解答,或者直接联系我们的技术专家,咨询应用、设备、常规产品使用问题。

          联系技术支持
          订购 Plus Icon Minus Icon
          • 订单状态查询
          • 订单支持
          • 货号直购
          • 现货供应中心
          • 电子采购
          支持 Plus Icon Minus Icon
          • 帮助&支持
          • 联系我们 - 400 820 8982
          • 技术支持中心
          • 查找文件&证书
          • 报告网站问题
          资源 Plus Icon Minus Icon
          • 学习中心
          • 促销
          • 活动&研讨会
          • 社交媒体
          关于赛默飞 Plus Icon Minus Icon
          • 关于我们
          • 招聘 招聘
          • 投资者关系 投资者关系
          • 新闻 新闻
          • 社会责任 社会责任
          • 商标
          • 政策和通知
          品牌 Plus Icon Minus Icon
          • Thermo Scientific
          • Applied Biosystems
          • Invitrogen
          • Gibco
          • Ion Torrent
          • Unity Lab Services
          • Patheon
          • PPD
          • 服务条款
          • 隐私政策
          • 定价和运输保险政策
          © 2006-2026 Thermo Fisher Scientific Inc. All rights reserved. All trademarks are the property of Thermo Fisher Scientific and its subsidiaries unless otherwise specified.
          China flag icon
          China
          本网站销售的所有产品均不得用于人类或动物之临床诊断或治疗,仅可用于工业或者科研等非医疗目的。
             电子营业执照 | 经营证照公示 | ICP备案号:沪ICP备11003924号 | 沪公网安备 31011502006935号

          Your items have has been added!


          Host server : magellan-search-green-6479c7f679-jmhj8:80/100.66.74.142:80.
          git-commit: b70c0dceb888abc3b0dcebb5bc3a5b8753e7e816
          git-url: https://github.com/thermofisher/magellan-search
          git-branch: release/2.50.0-Offline