Hamburger Menu Button
Thermo Fisher Scientific Logo
登录
没有账号?建立账号 注册
  • 产品
    • 抗体
    • 引物合成
    • GeneArt Gene Synthesis Instant Designer
    • TaqMan Assay and Array Search
    • PCR 设备和耗材
    • 色谱柱和纯化柱
    • 实验室离心机
    • 分子生物学试剂和试剂盒
    • 实验室塑料耗材及用品
    • 查看所有产品分类
  • 应用和技术
    • 色谱
    • 细胞转染和培养
    • 实时荧光定量PCR
    • 质谱
    • 实验室塑料耗材及用品
    • 电子显微镜
    • 蛋白质生物学
    • PCR
    • RNAi
    • 环境
    • 查看所有应用和技术
  • 服务
    • 定制服务
    • 企业级实验室信息化服务
    • 企业服务
    • 金融&租赁服务
    • 仪器服务
    • OEM和商业供应
    • 培训服务
    • 360° CDMO 和 CRO 服务
    • CDMO 服务
    • 临床试验 CRO 服务
    • 查看所有帮助和支持
  • 帮助和支持
    • 学习中心
    • 联系我们
    • 更改国家或地区
    • 查看所有帮助和支持
  • 热门产品
    • TaqMan Real-Time PCR Assays
      TaqMan 实时荧光定量 PCR 试剂盒
    • Antibodies
      抗体
    • Oligos, Primers & Probes
      寡核苷酸、引物、探针
    • GeneArt Gene Synthesis
      GeneArt 基因合成
    • Cell Culture Plastics
      细胞培养耗材
  • 联系我们
  • 货号直购
  • 订单查询
  • 查找文件&证书
Thermo Fisher Scientific Logo

Search

搜索全部或下列指定分类
Search button
          • 联系我们
          • 货号直购
          • 登录
            登录
            没有账号?建立账号 注册
            • 我的账号
            • 订单
            • 账单及发票查询
            • 定制产品及项目

          Disclaimer

          Clicking the images or links will redirect you to a website hosted by BenchSci that provides third-party scientific content. Neither the content nor the BenchSci technology and processes for selection have been evaluated by us; we are providing them as-is and without warranty of any kind, including for use or application of the Thermo Fisher Scientific products presented.

          • Primary Antibodies ›
          • HLA-ABC Antibodies

          NeoBiotechnologies

          HLA Class 1 ABC (MHC I) Recombinant Rabbit Monoclonal Antibody (MHC-I/8366R)

          查看其他62个HLA-ABC抗体

          {{$productOrderCtrl.translations['antibody.pdp.commerceCard.promotion.promotions']}}

          {{$productOrderCtrl.translations['antibody.pdp.commerceCard.promotion.viewpromo']}}

          {{$productOrderCtrl.translations['antibody.pdp.commerceCard.promotion.promocode']}}: {{promo.promoCode}} {{promo.promoTitle}} {{promo.promoDescription}}. {{$productOrderCtrl.translations['antibody.pdp.commerceCard.promotion.learnmore']}}

          说明书
          证书
          实验方案
          问题与答案
          技术支持
          说明书
          证书
          实验方案
          问题与答案
          技术支持
          说明书
          证书
          实验方案
          问题与答案
          技术支持

          Cite HLA Class 1 ABC (MHC I) Recombinant Rabbit Monoclonal Antibody (MHC-I/8366R)

          • 抗体检测数据 (2)
          HLA Class 1 ABC (MHC I) Antibody in Immunohistochemistry (Paraffin) (IHC (P))
          Group 53 Created with Sketch.
          HLA Class 1 ABC (MHC I) Antibody in Immunohistochemistry (Paraffin) (IHC (P))
          Group 53 Created with Sketch.

          图: 1 / 2

          {{ $ctrl.currentElement.advancedVerification.fullName }}
          {{ $ctrl.currentElement.advancedVerification.text }}

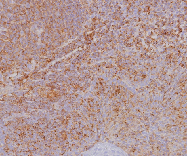
          HLA Class 1 ABC (MHC I) Antibody (RBM4-8366-P0) in IHC (P)

          Formalin-fixed, paraffin-embedded human tonsil stained with HLA 1 ABC Recombinant Rabbit Monoclonal Antibody (MHC-I/8366R). HIER: Tris/EDTA, pH9.0, 45 min. 2: HRP-polymer, 30 min. DAB, 5 min. {{ $ctrl.currentElement.advancedVerification.fullName }} 验证信息 View more
          已发表图片由___提供 benchsci-logo
          PMID: {{$ctrl.currentElement.benchSciPubmedId}}
          查看产品

          {{$ctrl.videoDesc}}

          {{$ctrl.videoLongDesc}}

          HLA Class 1 ABC (MHC I) Antibody in Immunohistochemistry (Paraffin) (IHC (P))
          HLA Class 1 ABC (MHC I) Antibody in SDS-PAGE (SDS-PAGE)
          HLA Class 1 ABC (MHC I) Recombinant Rabbit Monoclonal Antibody (MHC-I/8366R)

          产品信息

          RBM4-8366-P0

          应用
          建议稀释比
          已发表文章

          免疫组化(石蜡) (IHC (P))

          Assay-dependent
          -

          免疫组织化学(多聚甲醛固定) (IHC (PFA))

          1-2 µg/mL
          -
          产品规格

          种属反应

          Human

          宿主/亚型

          Rabbit / IgG, kappa

          Expression System

          HEK293 cells

          分类

          Recombinant Monoclonal

          类型

          Antibody

          克隆号

          MHC-I/8366R

          抗原

          Recombinant fragment (around aa100-300) of human HLA-I protein.
          查看免疫原

          偶联物

          Unconjugated Unconjugated Unconjugated

          形式

          Liquid

          浓度

          200 µg/mL

          纯化类型

          Protein A/G

          保存液

          PBS, pH 7.4, with 0.05% BSA

          内含物

          0.05% sodium azide

          保存条件

          4°C, do not freeze

          运输条件

          Ambient (domestic); Wet ice (international)

          靶标信息

          HLA-class I major histocompatibility (MHC) antigens are intrinsic membrane glycoproteins expressed on nucleated cells and noncovalently associated with an invariant beta2 microglobulin. They carry foreign determinants important for immune recognition by cytotoxic T cells, thus important for anti-viral and anti-tumor defense. Human HLA-class I antigens are represented by HLA-A, HLA-B and HLA-C molecules.

          HLA and MHC antibodies play a significant role in Immunopeptidomics, facilitating the identification and characterization of neoantigens through high-performance liquid chromatography coupled to tandem Mass Spectrometry.

          仅用于科研。不用于诊断过程。未经明确授权不得转售。

          篇参考文献 (0)

          您是否在文献中引用过该产品?请点击下方按钮邮件告知我们。
          引用该产品

          生物信息学

          蛋白别名: A29 protein; alpha chain of MHC class II; antigen presenting molecule; class I MHC, HLA-B antigen; epididymis secretory protein Li 83; H-2K; H-2K(d); H2-K; histocompatibility antigen; HLA -B; HLA A; HLA B-40011; HLA B44; HLA C; HLA class I antigen; HLA class I antigen HLA-B; HLA class I histocompatibility antigen C alpha chain; HLA class I histocompatibility antigen Cw-1 alpha chain; HLA class I histocompatibility antigen, A alpha chain; HLA class I histocompatibility antigen, A-30 alpha chain; HLA class I histocompatibility antigen, A-33 alpha chain; HLA class I histocompatibility antigen, A-74 alpha chain; HLA class I histocompatibility antigen, B alpha chain; HLA class I histocompatibility antigen, B-47 alpha chain; HLA class I histocompatibility antigen, B-50 alpha chain; HLA class I histocompatibility antigen, B-82 alpha chain; HLA class I histocompatibility antigen, C alpha chain; HLA class I histocompatibility antigen, Cw-15 alpha chain; HLA class I histocompatibility antigen, Cw-18 alpha chain; HLA locus; HLA molecule; HLA-A; HLA-A locus alpha 2 domain; HLA-A null; HLA-Aw33.1; HLA-B; HLA-B 1502; HLA-B alpha chain; HLA-B alpha chain (B*2706); HLA-B alpha chain (B*5002); HLA-B alpha-chain; HLA-B35; HLA-B35 antigen; HLA-Bw50 antigen; HLA-C; HLA-C alpha chain; HLA-C alpha chain (HLA-Cw*15v); HLA-C alpha chain for Cw*18GB; HLA-C alpha-chain; HLA-C antigen; HLA-Cw; HLA-Cw*04GB; HLA-Cw*1702; HLA-Cw*18GB; HLA-Cw-1503; Human leukocyte antigen A; Human leukocyte antigen B; Human leukocyte antigen C; human leukocyte antigen-C alpha chain; hypothetical protein; lecocyte antigen B; leucocyte antigen A; Leukocyte Antigen; leukocyte antigen C; leukocyte antigen class I-A; leukocyte antigen class I-B; Leukoocyte Antigen; lymphocyte antigen; major histocompatability complex B antigen; major histocompatibility antigen HLA-C; MCH class I antigen; MGC184092; MGC7052; MHC 1; MHC antigen; MHC clas I antigen; MHC Class 1; MHC class 1 antigen; MHC class I; MHC class I alpha chain; MHC class I anitgen; MHC class I anti; MHC Class I antigen; MHC class I antigen A*30; MHC class I antigen A*33; MHC class I antigen A*74; MHC class I antigen B*47; MHC class I antigen B*50; MHC class I antigen B*82; MHC class I antigen Cw*15; MHC class I antigen Cw*18; MHC class I antigen GN00104; MHC class I antigen heavy chain; MHC class I antigen heavy chain HLA-C; MHC class I antigen HLA-A heavy chain; MHC class I antigen HLA-A33; MHC class I antigen HLA-B alpha chain; MHC class I antigen HLA-B heavy chain; MHC class I antigen null protein; MHC class I antigen SHCHA; MHC class I antigene; MHC class I histocompatibility antigen; MHC class I human leukocyte antigen; MHC class I molecule; MHC class I protein; MHC class II antigen; MHC class l antigen; MHC classI antigen; MHC HLA-ABC; MHC HLA-B cell surface glycoprotein; MHC HLA-B transmembrane glycoprotein; MHC HLA-B27-HS; MHC HLA-B27d; MHC HLA-B39N; MHC I HLA; MHC1; surface antigen; truncated class I antigen; truncated MHC class I antigen

          查看更多 收起

          基因别名: AS; Aw-33; Aw-74; B-4901; B-5001; Bw-47; Bw-50; D6S204; HEL-S-83; HLA-A; HLA-A11; HLA-A33; HLA-B; HLA-B*45ZJ; HLA-B-3506; HLA-B-3905; HLA-B-5502; HLA-B-5602; HLA-B15; HLA-B39; HLA-B49; HLA-B50; HLA-B55; HLA-B59; HLA-B61; HLA-C; HLA-Cw; HLA-DQB1; HLA-DRB1; HLA-JY3; HLAA; HLAB; HLAC; HLC-C; MHC; PSORS1; SPDA1

          查看更多 收起

          UniProt ID: (Human) Q95380, (Human) Q29678, (Human) O78166

          查看更多 收起

          Entrez Gene ID: (Human) 3105, (Human) 3106, (Human) 3107

          查看更多 收起

          功能
          protein binding beta-2-microglobulin binding peptide antigen binding poly(A) RNA binding antigen binding major histocompatibility complex protein
          参与通路
          antigen processing and presentation of peptide antigen via MHC class I antigen processing and presentation of exogenous peptide antigen via MHC class I, TAP-dependent antigen processing and presentation of exogenous peptide antigen via MHC class I, TAP-independent viral process antigen processing and presentation regulation of immune response interferon-gamma-mediated signaling pathway type I interferon signaling pathway
          It has to be done as per old AB suggested Products section.
          guarantee_icon

          性能保障

          只要您发现Invitrogen抗体在实验中的表现与网站或说明书的所述内容不符,您即可享受免费退换货服务。*

          了解更多
          help_icon

          随时为您服务

          获取常见问题的专家解答,或者直接联系我们的技术专家,咨询应用、设备、常规产品使用问题。

          联系技术支持
          订购 Plus Icon Minus Icon
          • 订单状态查询
          • 订单支持
          • 货号直购
          • 现货供应中心
          • 电子采购
          支持 Plus Icon Minus Icon
          • 帮助&支持
          • 联系我们 - 400 820 8982
          • 技术支持中心
          • 查找文件&证书
          • 报告网站问题
          资源 Plus Icon Minus Icon
          • 学习中心
          • 促销
          • 活动&研讨会
          • 社交媒体
          关于赛默飞 Plus Icon Minus Icon
          • 关于我们
          • 招聘 招聘
          • 投资者关系 投资者关系
          • 新闻 新闻
          • 社会责任 社会责任
          • 商标
          • 政策和通知
          品牌 Plus Icon Minus Icon
          • Thermo Scientific
          • Applied Biosystems
          • Invitrogen
          • Gibco
          • Ion Torrent
          • Patheon
          • PPD
          • 服务条款
          • 隐私政策
          • 定价和运输保险政策
          © 2006-2026 Thermo Fisher Scientific Inc. All rights reserved. All trademarks are the property of Thermo Fisher Scientific and its subsidiaries unless otherwise specified.
          China flag icon
          China
          本网站销售的所有产品均不得用于人类或动物之临床诊断或治疗,仅可用于工业或者科研等非医疗目的。
             电子营业执照 | 经营证照公示 | ICP备案号:沪ICP备11003924号 | 沪公网安备 31011502006935号

          Your items have has been added!


          Host server : magellan-search-blue-55ff9ddd88-2rf75:80/100.66.79.83:80.
          git-commit: d366ff9721d93504b2ac26a183b2b3e3d0e7d9ec
          git-url: https://github.com/thermofisher/magellan-search
          git-branch: release/2.42.0-2026.01.03-1.0