Hamburger Menu Button
Thermo Fisher Scientific Logo
登录
没有账号?建立账号 注册
  • 产品
    • 抗体
    • 引物合成
    • GeneArt Gene Synthesis Instant Designer
    • TaqMan Assay and Array Search
    • PCR 设备和耗材
    • 色谱柱和纯化柱
    • 实验室离心机
    • 分子生物学试剂和试剂盒
    • 实验室塑料耗材及用品
    • 查看所有产品分类
  • 应用和技术
    • 色谱
    • 细胞转染和培养
    • 实时荧光定量PCR
    • 质谱
    • 实验室塑料耗材及用品
    • 电子显微镜
    • 蛋白质生物学
    • PCR
    • RNAi
    • 环境
    • 查看所有应用和技术
  • 服务
    • 定制服务
    • 企业级实验室信息化服务
    • 金融&租赁服务
    • 仪器服务
    • OEM和商业供应
    • 培训服务
    • 360° CDMO 和 CRO 服务
    • CDMO 服务
    • 临床试验 CRO 服务
    • Unity Lab Services
    • 查看所有帮助和支持
  • 帮助和支持
    • 学习中心
    • 联系我们
    • 更改国家或地区
    • 查看所有帮助和支持
  • 热门产品
    • TaqMan Real-Time PCR Assays
      TaqMan 实时荧光定量 PCR 试剂盒
    • Antibodies
      抗体
    • Oligos, Primers & Probes
      寡核苷酸、引物、探针
    • GeneArt Gene Synthesis
      GeneArt 基因合成
    • Cell Culture Plastics
      细胞培养耗材
  • Who We Serve
    • 抗体治疗解决方案
    • 细胞与基因治疗解决方案
    • 学术科研
    • 工业与应用
  • 联系我们
  • 货号直购
  • 订单查询
  • 查找文件&证书
Thermo Fisher Scientific Logo

Search

搜索全部或下列指定分类
Search button
          • 联系我们
          • 货号直购
          • 登录
            登录
            没有账号?建立账号 注册
            • 我的账号
            • 订单
            • 会员中心
            • 账单及发票查询
            • 定制产品及项目
          • Primary Antibodies ›
          • HLA-DR/DP Antibodies

          Invitrogen

          HLA-DR/DP Monoclonal Antibody (HL-38)

          3 篇参考文献
          查看其他14个HLA-DR/DP抗体

          {{$productOrderCtrl.translations['antibody.pdp.commerceCard.promotion.promotions']}}

          {{$productOrderCtrl.translations['antibody.pdp.commerceCard.promotion.viewpromo']}}

          {{$productOrderCtrl.translations['antibody.pdp.commerceCard.promotion.promocode']}}: {{promo.promoCode}} {{promo.promoTitle}} {{promo.promoDescription}}. {{$productOrderCtrl.translations['antibody.pdp.commerceCard.promotion.learnmore']}}

          说明书
          证书
          实验方案
          问题与答案
          技术支持
          说明书
          证书
          实验方案
          问题与答案
          技术支持
          说明书
          证书
          实验方案
          问题与答案
          技术支持

          Cite HLA-DR/DP Monoclonal Antibody (HL-38)

          Additional Information:
          {{banner.description}}
          {{$ctrl.isSkuNotesCollapsed ? 'View more' : 'View less'}}
          • 抗体检测数据 (4)
          HLA-DR/DP Antibody in Immunohistochemistry (Paraffin) (IHC (P))
          Group 53 Created with Sketch.
          HLA-DR/DP Antibody in Immunohistochemistry (Paraffin) (IHC (P))
          Group 53 Created with Sketch.

          图: 1 / 4

          {{ $ctrl.currentElement.advancedVerification.fullName }}
          {{ $ctrl.currentElement.advancedVerification.text }}

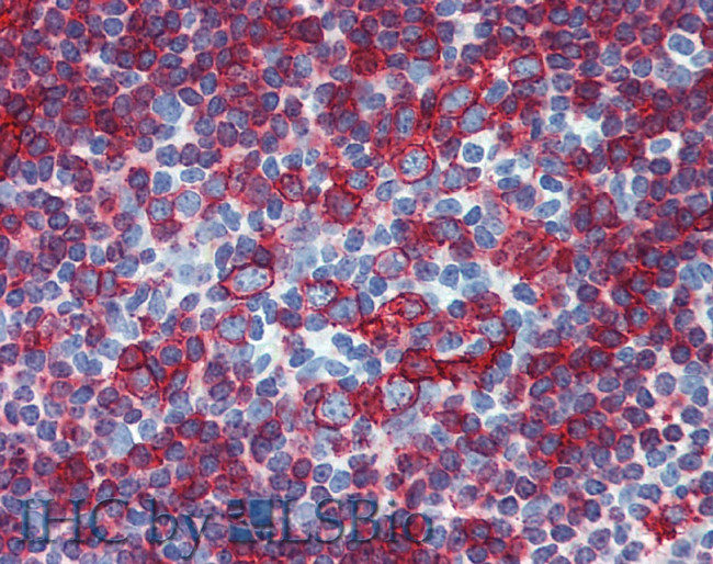
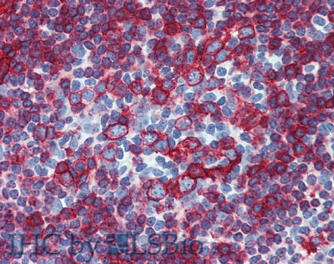
          HLA-DR/DP Antibody (MA1-19145) in IHC (P)

          Immunohistochemistry staining of human small intestine (paraffin-embedded sections) with anti-HLA-DR+DP (HL-38) Monoclonal antibody (Product # MA1-19145). {{ $ctrl.currentElement.advancedVerification.fullName }} 验证信息 View more
          已发表图片由___提供 benchsci-logo
          PMID: {{$ctrl.currentElement.benchSciPubmedId}}
          查看产品

          {{$ctrl.videoDesc}}

          {{$ctrl.videoLongDesc}}

          HLA-DR/DP Antibody in Immunohistochemistry (Paraffin) (IHC (P))
          HLA-DR/DP Antibody in Western Blot (WB)
          HLA-DR/DP Antibody in Flow Cytometry (Flow)
          HLA-DR/DP Antibody in Flow Cytometry (Flow)
          HLA-DR/DP Monoclonal Antibody (HL-38)

          产品信息

          MA1-19145

          应用
          建议稀释比
          已发表文章

          免疫印迹 (WB)

          1 µg/mL
          -

          免疫组化(石蜡) (IHC (P))

          Assay-dependent
          -

          流式细胞分析 (Flow)

          1-4 µg/mL
          -

          免疫沉淀 (IP)

          Assay-dependent
          -

          其他PubMed (Misc)

          -
          查看3篇已发表文章 3篇已发表文章
          产品规格

          种属反应

          Human, Pig

          已发表种属

          Human

          宿主/亚型

          Mouse / IgG2a

          分类

          Monoclonal

          类型

          Antibody

          克隆号

          HL-38

          抗原

          Burkitt's lymphoma cell line Raji.
          3D表位/免疫原

          偶联物

          Unconjugated Unconjugated Unconjugated
          • FITC
          • PE 
          • Request custom conjugation

          形式

          Liquid

          浓度

          1 mg/mL

          规格

          100 µg

          纯化类型

          Protein A

          保存液

          PBS, pH 7.4

          内含物

          15mM sodium azide

          保存条件

          4°C, do not freeze

          运输条件

          Ambient (domestic); Wet ice (international)

          RRID

          AB_1076788

          产品详细信息

          This antibody recognizes an extracellular common epitope on beta-chain of human HLA-DR and HLA-DP. DR and DP are the isotypes of human MHC Class II molecules expressed on antigen-presenting cells (APC; dendritic cells, B lymphocytes, monocytes, macrophages).

          Western Blot: non-reducing conditions.

          靶标信息

          HLA-DRA is one of the HLA class II alpha chain paralogues. This class II molecule is a heterodimer consisting of an alpha and a beta chain, both anchored in the membrane. It plays a central role in the immune system by presenting peptides derived from extracellular proteins. Class II molecules are expressed in antigen presenting cells (APC: B lymphocytes, dendritic cells, macrophages). The alpha chain is approximately 33-35 kDa and its gene contains 5 exons. Exon 1 encodes the leader peptide, exons 2 and 3 encode the two extracellular domains, and exon 4 encodes the transmembrane domain and the cytoplasmic tail. DRA does not have polymorphisms in the peptide binding part and acts as the sole alpha chain for DRB1, DRB3, DRB4 and DRB5. [provided by RefSeq, Jul 2008].

          HLA and MHC antibodies play a significant role in Immunopeptidomics, facilitating the identification and characterization of neoantigens through high-performance liquid chromatography coupled to tandem Mass Spectrometry.

          仅用于科研。不用于诊断过程。未经明确授权不得转售。

          生物信息学

          蛋白别名: cell surface glycoprotein; integral membrane protein; class II HLA histocompatibility antigen; DP beta 1 domain protein; DRB52; HLA class II histocompatibility antigen, DP beta 1 chain; HLA class II histocompatibility antigen, DP(W4) beta chain; HLA class II histocompatibility antigen, DR-1 beta chain; HLA class II histocompatibility antigen, DRB1 beta chain; HLA DP4 beta-chain; HLA-D; HLA-DP histocompatibility type, beta-1 subunit; HLA-DR; HLA-DR-beta chain; HLA-DRB1; human leucocyte antigen DRB1; Human leukocyte antigen DRB1; light chain; lymphocyte antigen DRB1; MHC Class 2; MHC class II; MHC class II antigen DPB1; MHC class II HLA-DP-beta-1; MHC class II HLA-DR beta 1 chain; MHC class II HLA-DR4 protein; MHC DR beta protein precursor; MHC DR-beta; MHC DR7-beta-2 chain; MHC HLA DPB1; MHC HLA DR5 cell surface glycoprotein beta chain precursor; MHC HLA-D; MHC HLA-DPw4b-beta chain precursor; MHC HLA-DR-beta chain precursor; MHC HLA-DR-beta chain precursor old gene name 'HLA-DRA1'; MHC HLA-DR-beta-1 chain; MHC HLA-DR-beta-2 precursor; MHC HLA-DR1-beta; MHC HLA-DR2 (non-Dw2/non-Dw12)b glycoprotein beta-chain; MHC HLA-DR2(Dw12)b glycoprotein beta-chain; MHC HLA-DR2(Dw2)b glycoprotein beta-chain; MHC HLA-DRw10-beta-2 protein precursor; MHC HLA-SB-beta chain I; MHC II HLA; SB-beta chain; unnamed protein product

          查看更多 收起

          基因别名: DPB1; DRB1; HLA-DP; HLA-DP1B; HLA-DPB; HLA-DPB1; HLA-DR1B; HLA-DRB; HLA-DRB1; SS1

          查看更多 收起

          UniProt ID: (Human) P79608, (Human) P01911

          查看更多 收起

          Entrez Gene ID: (Human) 3115, (Human) 3123

          查看更多 收起

          功能
          protein binding MHC class II protein complex binding peptide antigen binding structural constituent of cytoskeleton polysaccharide binding MHC class II receptor activity T cell receptor binding CD4 receptor binding
          参与通路
          adaptive immune response immune system process peptide antigen assembly with MHC class II protein complex antigen processing and presentation of peptide or polysaccharide antigen via MHC class II immune response antigen processing and presentation antigen processing and presentation of exogenous peptide antigen via MHC class II positive regulation of interferon-gamma production positive regulation of T cell proliferation positive regulation of immune response T cell receptor signaling pathway positive regulation of T cell activation positive regulation of T cell mediated cytotoxicity positive regulation of protein phosphorylation inflammatory response to antigenic stimulus myeloid dendritic cell antigen processing and presentation antigen processing and presentation of endogenous peptide antigen via MHC class II positive regulation of T cell mediated immune response to tumor cell negative regulation of inflammatory response to antigenic stimulus humoral immune response cytoskeleton organization signal transduction epidermis development detection of bacterium macrophage differentiation regulation of interleukin-10 production regulation of interleukin-4 production negative regulation of interferon-gamma production positive regulation of CD4-positive, CD25-positive, alpha-beta regulatory T cell differentiation positive regulation of kinase activity positive regulation of insulin secretion involved in cellular response to glucose stimulus T-helper 1 type immune response negative regulation of T cell proliferation positive regulation of I-kappaB kinase/NF-kappaB signaling positive regulation of memory T cell differentiation positive regulation of MAPK cascade regulation of T-helper cell differentiation positive regulation of monocyte differentiation positive regulation of transcription, DNA-templated positive regulation of viral entry into host cell protein tetramerization positive regulation of ERK1 and ERK2 cascade positive regulation of CD4-positive, alpha-beta T cell activation
          It has to be done as per old AB suggested Products section.

          Disclaimer

          Close

          Clicking the images or links will redirect you to a website hosted by BenchSci that provides third-party scientific content. Neither the content nor the BenchSci technology and processes for selection have been evaluated by us; we are providing them as-is and without warranty of any kind, including for use or application of the Thermo Fisher Scientific products presented.

          guarantee_icon

          性能保障

          只要您发现Invitrogen抗体在实验中的表现与网站或说明书的所述内容不符,您即可享受免费退换货服务。*

          了解更多
          help_icon

          随时为您服务

          获取常见问题的专家解答,或者直接联系我们的技术专家,咨询应用、设备、常规产品使用问题。

          联系技术支持
          订购 Plus Icon Minus Icon
          • 订单状态查询
          • 订单支持
          • 货号直购
          • 现货供应中心
          • 电子采购
          支持 Plus Icon Minus Icon
          • 帮助&支持
          • 联系我们 - 400 820 8982
          • 技术支持中心
          • 查找文件&证书
          • 报告网站问题
          资源 Plus Icon Minus Icon
          • 学习中心
          • 促销
          • 活动&研讨会
          • 社交媒体
          关于赛默飞 Plus Icon Minus Icon
          • 关于我们
          • 招聘 招聘
          • 投资者关系 投资者关系
          • 新闻 新闻
          • 社会责任 社会责任
          • 商标
          • 政策和通知
          品牌 Plus Icon Minus Icon
          • Thermo Scientific
          • Applied Biosystems
          • Invitrogen
          • Gibco
          • Ion Torrent
          • Unity Lab Services
          • Patheon
          • PPD
          • 服务条款
          • 隐私政策
          • 定价和运输保险政策
          © 2006-2026 Thermo Fisher Scientific Inc. All rights reserved. All trademarks are the property of Thermo Fisher Scientific and its subsidiaries unless otherwise specified.
          China flag icon
          China
          本网站销售的所有产品均不得用于人类或动物之临床诊断或治疗,仅可用于工业或者科研等非医疗目的。
             电子营业执照 | 经营证照公示 | ICP备案号:沪ICP备11003924号 | 沪公网安备 31011502006935号

          Your items have has been added!


          Host server : magellan-search-green-6479c7f679-zb4k5:80/100.66.74.142:80.
          git-commit: b70c0dceb888abc3b0dcebb5bc3a5b8753e7e816
          git-url: https://github.com/thermofisher/magellan-search
          git-branch: release/2.50.0-Offline