Hamburger Menu Button
Thermo Fisher Scientific Logo
登录
没有账号?建立账号 注册
  • 产品
    • 抗体
    • 引物合成
    • GeneArt Gene Synthesis Instant Designer
    • TaqMan Assay and Array Search
    • PCR 设备和耗材
    • 色谱柱和纯化柱
    • 实验室离心机
    • 分子生物学试剂和试剂盒
    • 实验室塑料耗材及用品
    • 查看所有产品分类
  • 应用和技术
    • 色谱
    • 细胞转染和培养
    • 实时荧光定量PCR
    • 质谱
    • 实验室塑料耗材及用品
    • 电子显微镜
    • 蛋白质生物学
    • PCR
    • RNAi
    • 环境
    • 查看所有应用和技术
  • 服务
    • 定制服务
    • 企业级实验室信息化服务
    • 企业服务
    • 金融&租赁服务
    • 仪器服务
    • OEM和商业供应
    • 培训服务
    • 360° CDMO 和 CRO 服务
    • CDMO 服务
    • 临床试验 CRO 服务
    • 查看所有帮助和支持
  • 帮助和支持
    • 学习中心
    • 联系我们
    • 更改国家或地区
    • 查看所有帮助和支持
  • 热门产品
    • TaqMan Real-Time PCR Assays
      TaqMan 实时荧光定量 PCR 试剂盒
    • Antibodies
      抗体
    • Oligos, Primers & Probes
      寡核苷酸、引物、探针
    • GeneArt Gene Synthesis
      GeneArt 基因合成
    • Cell Culture Plastics
      细胞培养耗材
  • 联系我们
  • 货号直购
  • 订单查询
  • 查找文件&证书
Thermo Fisher Scientific Logo

Search

搜索全部或下列指定分类
Search button
          • 联系我们
          • 货号直购
          • 登录
            登录
            没有账号?建立账号 注册
            • 我的账号
            • 订单
            • 账单及发票查询
            • 定制产品及项目

          Disclaimer

          Clicking the images or links will redirect you to a website hosted by BenchSci that provides third-party scientific content. Neither the content nor the BenchSci technology and processes for selection have been evaluated by us; we are providing them as-is and without warranty of any kind, including for use or application of the Thermo Fisher Scientific products presented.

          • Primary Antibodies ›
          • HLA-DR/DP/DQ Antibodies

          Invitrogen

          HLA-DR/DP/DQ Monoclonal Antibody (CR3/43)

          1个已发表图片
          6 篇参考文献
          查看其他27个HLA-DR/DP/DQ抗体

          {{$productOrderCtrl.translations['antibody.pdp.commerceCard.promotion.promotions']}}

          {{$productOrderCtrl.translations['antibody.pdp.commerceCard.promotion.viewpromo']}}

          {{$productOrderCtrl.translations['antibody.pdp.commerceCard.promotion.promocode']}}: {{promo.promoCode}} {{promo.promoTitle}} {{promo.promoDescription}}. {{$productOrderCtrl.translations['antibody.pdp.commerceCard.promotion.learnmore']}}

          说明书
          证书
          实验方案
          问题与答案
          技术支持
          说明书
          证书
          实验方案
          问题与答案
          技术支持
          说明书
          证书
          实验方案
          问题与答案
          技术支持

          Cite HLA-DR/DP/DQ Monoclonal Antibody (CR3/43)

          • 已发表图片 (1)
          HLA-DR/DP/DQ Antibody in Immunohistochemistry (IHC)
          Group 53 Created with Sketch.
          HLA-DR/DP/DQ Antibody in Immunohistochemistry (IHC)
          Group 53 Created with Sketch.

          图: 1 / 1

          {{ $ctrl.currentElement.advancedVerification.fullName }}
          {{ $ctrl.currentElement.advancedVerification.text }}

          HLA-DR/DP/DQ Antibody (MA1-25914) in IHC

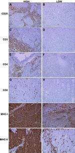
          PloS one 2008 - Figure 1 Immunohistochemical analysis of serous ovarian tumors showing cases with high (left) and low (right) scores for the following markers: (A,B) CD20; (C,D) CD3; (E,F) CD4; (G,H) CD8; (I,J) MHC Class I; and (K,L) MHC Class II. {{ $ctrl.currentElement.advancedVerification.fullName }} 验证信息 View more
          已发表图片由___提供 benchsci-logo
          PMID: {{$ctrl.currentElement.benchSciPubmedId}}
          查看产品

          {{$ctrl.videoDesc}}

          {{$ctrl.videoLongDesc}}

          HLA-DR/DP/DQ Antibody in Immunohistochemistry (IHC)

          产品信息

          MA1-25914

          应用
          建议稀释比
          已发表文章

          免疫组化 (IHC)

          -
          查看3篇已发表文章 3篇已发表文章

          免疫组化(石蜡) (IHC (P))

          1:25-1:50
          查看1篇已发表文章 1篇已发表文章

          免疫组化(冰冻) (IHC (F))

          -
          查看1篇已发表文章 1篇已发表文章

          免疫细胞化学 (ICC/IF)

          -
          查看1篇已发表文章 1篇已发表文章
          产品规格

          种属反应

          Human

          已发表种属

          C. elegans, Human

          宿主/亚型

          Mouse / IgG1

          分类

          Monoclonal

          类型

          Antibody

          克隆号

          CR3/43

          抗原

          Proprietary.

          偶联物

          Unconjugated Unconjugated Unconjugated

          形式

          Liquid

          浓度

          Conc. Not Determined

          保存液

          tissue culture supernatant

          内含物

          0.09% sodium azide

          保存条件

          4°C

          运输条件

          Ambient (domestic); Wet ice (international)

          RRID

          AB_794857

          产品详细信息

          Recommended positive controls: Tonsil.

          靶标信息

          MHC class II molecules are transmembrane glycoproteins composed of an alpha chain (36 kDa) and a beta chain (27 kDa). They are expressed primarily on antigen presenting cells such as B lymphocytes, monocytes, macrophages, thymic epithelial cells and activated T lymphocytes. Three loci, DR, DQ and DP, encode the major expressed products of the human class II region. The human MHC class II molecules bind intracellularly processed peptides and present them to T-helper cells. They therefore have a critical role in the initiation of the immune response.

          HLA and MHC antibodies play a significant role in Immunopeptidomics, facilitating the identification and characterization of neoantigens through high-performance liquid chromatography coupled to tandem Mass Spectrometry.

          仅用于科研。不用于诊断过程。未经明确授权不得转售。

          生物信息学

          蛋白别名: beta1 domain MHC class II HLA DPB; class II HLA beta chain; DR beta-5; DR-9; DR2-beta-2; DR7; DR9; DRB1 transplantation antigen; Dw2; DW2.2/DR2.2; FLJ75017; FLJ76359; histocompatibility antigen HLA-DR alpha; HLA class II antigen; HLA class II histocompatibility antigen, DP beta 1 chain; HLA class II histocompatibility antigen, DP(W4) beta chain; HLA class II histocompatibility antigen, DQ beta 1 chain; HLA class II histocompatibility antigen, DR alpha chain; HLA class II histocompatibility antigen, DR beta 3 chain; HLA class II histocompatibility antigen, DR beta 4 chain; HLA class II histocompatibility antigen, DR beta 5 chain; HLA class II histocompatibility antigen, DR-1 beta chain; HLA class II histocompatibility antigen, DR-5 beta chain; HLA class II histocompatibility antigen, DRB1 beta chain; HLA class II histocompatibility antigen, DRB1-7 beta chain; HLA class II histocompatibility antigen, DRB1-9 beta chain; HLA DP14-beta chain; HLA-D; HLA-DP histocompatibility type, beta-1 subunit; HLA-DQ; HLA-DR; HLA-DRB1; HLA-DRB5; human leucocyte antigen DRB1; human leucocyte antigen DRB3; human leucocyte antigen DRB4; human leucocyte antigen DRB5; Human leukocyte antigen DRB1; leukocyte antigen; leukocyte antigen class II; lymphocyte antigen; lymphocyte antigen DRB1; major histocompatibility complex class II antigen beta chain; MHC cell surface glycoprotein; MHC Class 2; MHC class I antigen; MHC class II; MHC Class II antigen; MHC class II antigen beta chain; MHC class II antigen DP beta 1 chain; MHC class II antigen DPB1; MHC class II antigen DPbeta1; MHC class II antigen DQB1; MHC class II antigen DR beta 3 chain; MHC class II antigen DRA; MHC class II antigen DRB1*9; MHC class II antigen DRB3; MHC class II antigen DRB4; MHC class II antigen DRB5; MHC class II antigen HLA-DQ-beta-1; MHC class II antigen HLA-DR-beta; MHC class II DQ beta chain; MHC class II HLA beta chain; MHC class II HLA-DP-beta-1; MHC class II HLA-DQ beta glycoprotein; MHC class II HLA-DR beta 1 chain; MHC class II HLA-DR beta 3 chain; MHC class II HLA-DR-beta cell surface glycoprotein; MHC class II HLA-DRB1; MHC class II HLA-DRw10-beta; MHC class2 antigen; MHC DQ beta; MHC HLA DPB1; MHC HLA DR-beta chain; MHC HLA-D; MHC HLA-DR-beta cell surface glycoprotein; MHC HLA-DR-beta chain; MHC II HLA; XXbac-BPG161M6.1

          查看更多 收起

          基因别名: CELIAC1; DPB1; DR-4; DR4; DRB1; DRB4; DRw10; HLA-DP; HLA-DP1B; HLA-DPB; HLA-DPB1; HLA-DQB; HLA-DQB1; HLA-DR1B; HLA-DR3B; HLA-DR4B; HLA-DRA; HLA-DRA1; HLA-DRB; HLA-DRB1; HLA-DRB3; HLA-DRB4; HLA-DRB5; IDDM1; MLRW; SS1

          查看更多 收起

          UniProt ID: (Human) Q29684, (Human) Q8WMA3, (Human) P01903, (Human) Q4PRC3, (Human) Q7YQ62, (Human) P13762, (Human) Q30154

          查看更多 收起

          Entrez Gene ID: (Human) 3115, (Human) 3119, (Human) 3122, (Human) 3123, (Human) 3125, (Human) 3126, (Human) 3127

          查看更多 收起

          功能
          peptide antigen binding MHC class II receptor activity MHC class II protein complex binding major histocompatibility complex protein
          参与通路
          antigen processing and presentation of exogenous peptide antigen via MHC class II T cell costimulation positive regulation of interferon-gamma production positive regulation of T cell proliferation T cell receptor signaling pathway positive regulation of T cell activation interferon-gamma-mediated signaling pathway immunoglobulin production involved in immunoglobulin mediated immune response humoral immune response mediated by circulating immunoglobulin immune response peptide antigen assembly with MHC class II protein complex antigen processing and presentation of peptide or polysaccharide antigen via MHC class II polysaccharide assembly with MHC class II protein complex viral process cognition signal transduction
          It has to be done as per old AB suggested Products section.
          guarantee_icon

          性能保障

          只要您发现Invitrogen抗体在实验中的表现与网站或说明书的所述内容不符,您即可享受免费退换货服务。*

          了解更多
          help_icon

          随时为您服务

          获取常见问题的专家解答,或者直接联系我们的技术专家,咨询应用、设备、常规产品使用问题。

          联系技术支持
          订购 Plus Icon Minus Icon
          • 订单状态查询
          • 订单支持
          • 货号直购
          • 现货供应中心
          • 电子采购
          支持 Plus Icon Minus Icon
          • 帮助&支持
          • 联系我们 - 400 820 8982
          • 技术支持中心
          • 查找文件&证书
          • 报告网站问题
          资源 Plus Icon Minus Icon
          • 学习中心
          • 促销
          • 活动&研讨会
          • 社交媒体
          关于赛默飞 Plus Icon Minus Icon
          • 关于我们
          • 招聘 招聘
          • 投资者关系 投资者关系
          • 新闻 新闻
          • 社会责任 社会责任
          • 商标
          • 政策和通知
          品牌 Plus Icon Minus Icon
          • Thermo Scientific
          • Applied Biosystems
          • Invitrogen
          • Gibco
          • Ion Torrent
          • Patheon
          • PPD
          • 服务条款
          • 隐私政策
          • 定价和运输保险政策
          © 2006-2026 Thermo Fisher Scientific Inc. All rights reserved. All trademarks are the property of Thermo Fisher Scientific and its subsidiaries unless otherwise specified.
          China flag icon
          China
          本网站销售的所有产品均不得用于人类或动物之临床诊断或治疗,仅可用于工业或者科研等非医疗目的。
             电子营业执照 | 经营证照公示 | ICP备案号:沪ICP备11003924号 | 沪公网安备 31011502006935号

          Your items have has been added!


          Host server : magellan-search-blue-55ff9ddd88-8jdkq:80/100.66.75.107:80.
          git-commit: d366ff9721d93504b2ac26a183b2b3e3d0e7d9ec
          git-url: https://github.com/thermofisher/magellan-search
          git-branch: release/2.42.0-2026.01.03-1.0