Hamburger Menu Button
Thermo Fisher Scientific Logo
登录
没有账号?建立账号 注册
  • 产品
    • 抗体
    • 引物合成
    • GeneArt Gene Synthesis Instant Designer
    • TaqMan Assay and Array Search
    • PCR 设备和耗材
    • 色谱柱和纯化柱
    • 实验室离心机
    • 分子生物学试剂和试剂盒
    • 实验室塑料耗材及用品
    • 查看所有产品分类
  • 应用和技术
    • 色谱
    • 细胞转染和培养
    • 实时荧光定量PCR
    • 质谱
    • 实验室塑料耗材及用品
    • 电子显微镜
    • 蛋白质生物学
    • PCR
    • RNAi
    • 环境
    • 查看所有应用和技术
  • 服务
    • 定制服务
    • 企业级实验室信息化服务
    • 企业服务
    • 金融&租赁服务
    • 仪器服务
    • OEM和商业供应
    • 培训服务
    • 360° CDMO 和 CRO 服务
    • CDMO 服务
    • 临床试验 CRO 服务
    • 查看所有帮助和支持
  • 帮助和支持
    • 学习中心
    • 联系我们
    • 更改国家或地区
    • 查看所有帮助和支持
  • 热门产品
    • TaqMan Real-Time PCR Assays
      TaqMan 实时荧光定量 PCR 试剂盒
    • Antibodies
      抗体
    • Oligos, Primers & Probes
      寡核苷酸、引物、探针
    • GeneArt Gene Synthesis
      GeneArt 基因合成
    • Cell Culture Plastics
      细胞培养耗材
  • 联系我们
  • 货号直购
  • 订单查询
  • 查找文件&证书
Thermo Fisher Scientific Logo

Search

搜索全部或下列指定分类
Search button
          • 联系我们
          • 货号直购
          • 登录
            登录
            没有账号?建立账号 注册
            • 我的账号
            • 订单
            • 账单及发票查询
            • 定制产品及项目

          Disclaimer

          Clicking the images or links will redirect you to a website hosted by BenchSci that provides third-party scientific content. Neither the content nor the BenchSci technology and processes for selection have been evaluated by us; we are providing them as-is and without warranty of any kind, including for use or application of the Thermo Fisher Scientific products presented.

          • Primary Antibodies ›
          • BRAF35 Antibodies

          Proteintech

          HMG20B Monoclonal Antibody (4C2A9)

          查看其他15个BRAF35抗体

          {{$productOrderCtrl.translations['antibody.pdp.commerceCard.promotion.promotions']}}

          {{$productOrderCtrl.translations['antibody.pdp.commerceCard.promotion.viewpromo']}}

          {{$productOrderCtrl.translations['antibody.pdp.commerceCard.promotion.promocode']}}: {{promo.promoCode}} {{promo.promoTitle}} {{promo.promoDescription}}. {{$productOrderCtrl.translations['antibody.pdp.commerceCard.promotion.learnmore']}}

          说明书
          证书
          实验方案
          问题与答案
          技术支持
          说明书
          证书
          实验方案
          问题与答案
          技术支持
          说明书
          证书
          实验方案
          问题与答案
          技术支持

          Cite HMG20B Monoclonal Antibody (4C2A9)

          • 抗体检测数据 (2)
          HMG20B Antibody in Immunohistochemistry (Paraffin) (IHC (P))
          Group 53 Created with Sketch.
          HMG20B Antibody in Immunohistochemistry (Paraffin) (IHC (P))
          Group 53 Created with Sketch.

          图: 1 / 2

          {{ $ctrl.currentElement.advancedVerification.fullName }}
          {{ $ctrl.currentElement.advancedVerification.text }}

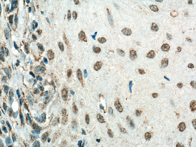
          HMG20B Antibody (67354-1-IG) in IHC (P)

          Immunohistochemical analysis of paraffin-embedded human skin cancer tissue slide using 67354-1-Ig (HMG20B antibody) at dilution of 1:2000 (under 40x lens). Heat mediated antigen retrieval with Tris-EDTA buffer (pH 9.0). {{ $ctrl.currentElement.advancedVerification.fullName }} 验证信息 View more
          已发表图片由___提供 benchsci-logo
          PMID: {{$ctrl.currentElement.benchSciPubmedId}}
          查看产品

          {{$ctrl.videoDesc}}

          {{$ctrl.videoLongDesc}}

          HMG20B Antibody in Immunohistochemistry (Paraffin) (IHC (P))
          HMG20B Antibody in Western Blot (WB)

          产品信息

          67354-1-IG

          应用
          建议稀释比
          已发表文章

          免疫印迹 (WB)

          1:20,000
          -

          免疫组化(石蜡) (IHC (P))

          1:2,000
          -
          产品规格

          种属反应

          Human, Mouse, Rat

          宿主/亚型

          Mouse / IgG1

          分类

          Monoclonal

          类型

          Antibody

          克隆号

          4C2A9

          抗原

          HMG20B Fusion Protein Ag6103

          偶联物

          Unconjugated Unconjugated Unconjugated

          形式

          Liquid

          浓度

          1000 µg/mL

          纯化类型

          Protein G

          保存液

          PBS, pH 7.3, with 50% glycerol

          内含物

          0.02% sodium azide

          保存条件

          -20°C

          运输条件

          Wet ice

          产品详细信息

          Aliquoting is unnecessary for -20°C storage.

          靶标信息

          Required for correct progression through G2 phase of the cell cycle and entry into mitosis. Required for RCOR1/CoREST mediated repression of neuronal specific gene promoters.

          仅用于科研。不用于诊断过程。未经明确授权不得转售。

          篇参考文献 (0)

          您是否在文献中引用过该产品?请点击下方按钮邮件告知我们。
          引用该产品

          生物信息学

          蛋白别名: 94 kDa B-raf protein; B-Raf proto-oncogene serine/threonine-protein kinase (p94); BRCA2-associated factor 35; FLJ26127; high mobility group 20 B; high mobility group protein 20 B; high-mobility group 20B; HMG box domain containing 2; HMG box-containing protein 20B; HMG domain-containing protein 2; HMG domain-containing protein HMGX2; murine sarcoma viral (v-raf) oncogene homolog B1; p94; Proto-oncogene B-Raf; Serine/threonine-protein kinase B-raf; SMARCE1-related protein; Sox-like transcriptional factor; Structural DNA-binding protein BRAF35; SWI/SNF-related matrix-associated actin-dependent regulator of chromatin subfamily E member 1-related; SWI/SNF-related matrix-associated actin-dependent regulator of chromatin subfamily E, member 1-related; v-raf murine sarcoma viral oncogene homolog B; v-Raf murine sarcoma viral oncogene homolog B1

          查看更多 收起

          基因别名: 9930012E13Rik; AA120551; AA387315; AA473386; AW610687; B-raf; B-RAF1; BRAF; Braf-2; BRAF1; Braf2; BRAF25; BRAF35; C230098H17; C87398; D6Ertd631e; HMG20B; HMGX2; HMGXB2; NS7; PP7706; pp8857; RAFB1; SMARCE1R; SOXL

          查看更多 收起

          UniProt ID: (Human) P15056, (Mouse) P28028, (Human) Q9P0W2, (Mouse) Q9Z104

          查看更多 收起

          Entrez Gene ID: (Human) 673, (Rat) 114486, (Mouse) 109880, (Human) 10362, (Rat) 362825, (Mouse) 15353

          查看更多 收起

          功能
          protein kinase activity protein serine/threonine kinase activity MAP kinase kinase kinase activity calcium ion binding protein binding ATP binding small GTPase binding mitogen-activated protein kinase kinase binding identical protein binding protein heterodimerization activity nucleotide binding receptor signaling protein activity kinase activity transferase activity transferase activity, transferring phosphorus-containing groups metal ion binding DNA binding histone deacetylase activity chromatin binding four-way junction DNA binding transcription factor activity, sequence-specific DNA binding non-receptor serine/threonine protein kinase
          参与通路
          MAPK cascade activation of MAPKK activity myeloid progenitor cell differentiation protein phosphorylation visual learning organ morphogenesis positive regulation of gene expression negative regulation of fibroblast migration glucose transport thyroid gland development positive regulation of peptidyl-serine phosphorylation somatic stem cell population maintenance cellular response to drug regulation of cell proliferation negative regulation of apoptotic process CD4-positive, alpha-beta T cell differentiation positive T cell selection response to peptide hormone negative regulation of neuron apoptotic process thymus development positive regulation of axon regeneration positive regulation of axonogenesis protein heterooligomerization positive regulation of stress fiber assembly response to cAMP long-term synaptic potentiation head morphogenesis face development positive regulation of ERK1 and ERK2 cascade cellular response to calcium ion establishment of protein localization to membrane positive regulation of substrate adhesion-dependent cell spreading negative regulation of synaptic vesicle exocytosis negative regulation of endothelial cell apoptotic process cell differentiation alpha-beta T cell differentiation regulation of axon regeneration signal transduction phosphorylation intracellular signal transduction transcription, DNA-templated regulation of transcription, DNA-templated cell cycle blood coagulation histone deacetylation negative regulation of protein sumoylation skeletal muscle cell differentiation positive regulation of neuron differentiation chromatin remodeling chromatin organization chromatin modification
          It has to be done as per old AB suggested Products section.
          guarantee_icon

          性能保障

          只要您发现Invitrogen抗体在实验中的表现与网站或说明书的所述内容不符,您即可享受免费退换货服务。*

          了解更多
          help_icon

          随时为您服务

          获取常见问题的专家解答,或者直接联系我们的技术专家,咨询应用、设备、常规产品使用问题。

          联系技术支持
          订购 Plus Icon Minus Icon
          • 订单状态查询
          • 订单支持
          • 货号直购
          • 现货供应中心
          • 电子采购
          支持 Plus Icon Minus Icon
          • 帮助&支持
          • 联系我们 - 400 820 8982
          • 技术支持中心
          • 查找文件&证书
          • 报告网站问题
          资源 Plus Icon Minus Icon
          • 学习中心
          • 促销
          • 活动&研讨会
          • 社交媒体
          关于赛默飞 Plus Icon Minus Icon
          • 关于我们
          • 招聘 招聘
          • 投资者关系 投资者关系
          • 新闻 新闻
          • 社会责任 社会责任
          • 商标
          • 政策和通知
          品牌 Plus Icon Minus Icon
          • Thermo Scientific
          • Applied Biosystems
          • Invitrogen
          • Gibco
          • Ion Torrent
          • Patheon
          • PPD
          • 服务条款
          • 隐私政策
          • 定价和运输保险政策
          © 2006-2026 Thermo Fisher Scientific Inc. All rights reserved. All trademarks are the property of Thermo Fisher Scientific and its subsidiaries unless otherwise specified.
          China flag icon
          China
          本网站销售的所有产品均不得用于人类或动物之临床诊断或治疗,仅可用于工业或者科研等非医疗目的。
             电子营业执照 | 经营证照公示 | ICP备案号:沪ICP备11003924号 | 沪公网安备 31011502006935号

          Your items have has been added!


          Host server : magellan-search-blue-55ff9ddd88-g2xg5:80/100.66.75.107:80.
          git-commit: d366ff9721d93504b2ac26a183b2b3e3d0e7d9ec
          git-url: https://github.com/thermofisher/magellan-search
          git-branch: release/2.42.0-2026.01.03-1.0