Hamburger Menu Button
Thermo Fisher Scientific Logo
登录
没有账号?建立账号 注册
  • 产品
    • 抗体
    • 引物合成
    • GeneArt Gene Synthesis Instant Designer
    • TaqMan Assay and Array Search
    • PCR 设备和耗材
    • 色谱柱和纯化柱
    • 实验室离心机
    • 分子生物学试剂和试剂盒
    • 实验室塑料耗材及用品
    • 查看所有产品分类
  • 应用和技术
    • 色谱
    • 细胞转染和培养
    • 实时荧光定量PCR
    • 质谱
    • 实验室塑料耗材及用品
    • 电子显微镜
    • 蛋白质生物学
    • PCR
    • RNAi
    • 环境
    • 查看所有应用和技术
  • 服务
    • 定制服务
    • 企业级实验室信息化服务
    • 金融&租赁服务
    • 仪器服务
    • OEM和商业供应
    • 培训服务
    • 360° CDMO 和 CRO 服务
    • CDMO 服务
    • 临床试验 CRO 服务
    • Unity Lab Services
    • 查看所有帮助和支持
  • 帮助和支持
    • 学习中心
    • 联系我们
    • 更改国家或地区
    • 查看所有帮助和支持
  • 热门产品
    • TaqMan Real-Time PCR Assays
      TaqMan 实时荧光定量 PCR 试剂盒
    • Antibodies
      抗体
    • Oligos, Primers & Probes
      寡核苷酸、引物、探针
    • GeneArt Gene Synthesis
      GeneArt 基因合成
    • Cell Culture Plastics
      细胞培养耗材
  • Who We Serve
    • 抗体治疗解决方案
    • 细胞与基因治疗解决方案
    • 学术科研
    • 工业与应用
  • 联系我们
  • 货号直购
  • 订单查询
  • 查找文件&证书
Thermo Fisher Scientific Logo

Search

搜索全部或下列指定分类
Search button
          • 联系我们
          • 货号直购
          • 登录
            登录
            没有账号?建立账号 注册
            • 我的账号
            • 订单
            • 会员中心
            • 账单及发票查询
            • 定制产品及项目
          • Primary Antibodies ›
          • HO-1 Antibodies

          Invitrogen

          HMOX1 Polyclonal Antibody

          高级验证
          1个已发表图片
          1 篇参考文献
          查看其他37个HO-1抗体

          {{$productOrderCtrl.translations['antibody.pdp.commerceCard.promotion.promotions']}}

          {{$productOrderCtrl.translations['antibody.pdp.commerceCard.promotion.viewpromo']}}

          {{$productOrderCtrl.translations['antibody.pdp.commerceCard.promotion.promocode']}}: {{promo.promoCode}} {{promo.promoTitle}} {{promo.promoDescription}}. {{$productOrderCtrl.translations['antibody.pdp.commerceCard.promotion.learnmore']}}

          说明书
          证书
          实验方案
          问题与答案
          技术支持
          说明书
          证书
          实验方案
          问题与答案
          技术支持
          说明书
          证书
          实验方案
          问题与答案
          技术支持

          Cite HMOX1 Polyclonal Antibody

          Additional Information:
          {{banner.description}}
          {{$ctrl.isSkuNotesCollapsed ? 'View more' : 'View less'}}
          • 抗体检测数据 (4)
          • 已发表图片 (1)
          • 高级验证 (1)
          HMOX1 Antibody in Immunohistochemistry (Paraffin) (IHC (P))
          Group 53 Created with Sketch.
          HMOX1 Antibody in Immunohistochemistry (Paraffin) (IHC (P))
          Group 53 Created with Sketch.

          图: 1 / 6

          {{ $ctrl.currentElement.advancedVerification.fullName }}
          {{ $ctrl.currentElement.advancedVerification.text }}

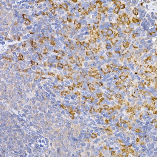
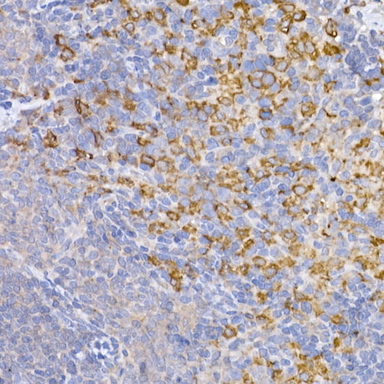
          HMOX1 Antibody (PA5-88074) in IHC (P)

          Immunohistochemistry analysis of HMOX1 in paraffin-embedded rat spleen. Samples were incubated with HMOX1 Polyclonal antibody (Product # PA5-88074) using a dilution of 1:50 (40x lens). Perform high pressure antigen retrieval with 10 mM citrate buffer pH 6.0 before commencing with IHC staining protocol. {{ $ctrl.currentElement.advancedVerification.fullName }} 验证信息 View more
          已发表图片由___提供 benchsci-logo
          PMID: {{$ctrl.currentElement.benchSciPubmedId}}
          查看产品

          {{$ctrl.videoDesc}}

          {{$ctrl.videoLongDesc}}

          HMOX1 Antibody in Immunohistochemistry (Paraffin) (IHC (P))
          HMOX1 Antibody in Immunohistochemistry (Paraffin) (IHC (P))
          HMOX1 Antibody in Western Blot (WB)
          HMOX1 Antibody in Western Blot (WB)
          HMOX1 Antibody in Western Blot (WB)
          HMOX1 Antibody
          HMOX1 Polyclonal Antibody

          产品信息

          PA5-88074

          应用
          建议稀释比
          已发表文章

          免疫印迹 (WB)

          1:500-1:1,000
          查看1篇已发表文章 1篇已发表文章

          免疫组化(石蜡) (IHC (P))

          1:50-1:200
          -

          酶联免疫吸附实验 (ELISA)

          1 µg/mL
          -
          产品规格

          种属反应

          Human, Mouse, Rat

          宿主/亚型

          Rabbit / IgG

          分类

          Polyclonal

          类型

          Antibody

          抗原

          Recombinant fusion protein containing a sequence corresponding to amino acids 1-265 of human Heme Oxygenase 1 (HO-1/HMOX1) (NP_0021241)
          3D表位/免疫原

          偶联物

          Unconjugated Unconjugated Unconjugated

          形式

          Liquid

          浓度

          0.92 mg/mL

          规格

          92 µg

          纯化类型

          Affinity Chromatography

          保存液

          PBS, pH 7.3, with 50% glycerol

          内含物

          0.05% ProClin 300

          保存条件

          -20°C, Avoid Freeze/Thaw Cycles

          运输条件

          Ambient (domestic); Wet ice (international)

          RRID

          AB_2804631

          产品详细信息

          Immunogen sequence: MERPQPDSMP QDLSEALKEA TKEVHTQAEN AEFMRNFQKG QVTRDGFKLV MASLYHIYVA LEEEIERNKE SPVFAPVYFP EELHRKAALE QDLAFWYGPR WQEVIPYTPA MQRYVKRLHE VGRTEPELLV AHAYTRYLGD LSGGQVLKKI AQKALDLPSS GEGLAFFTFP NIASATKFKQ LYRSRMNSLE MTPAVRQRVI EEAKTAFLLN IQLFEELQEL LTHDTKDQSP SRAPGLRQRA SNKVQDSAPV ETPRGKPPLN TRSQA; Positive Samples: A-549, Mouse kidney, Mouse spleen, Rat kidney; Cellular Location: Cytoplasmic side, Endoplasmic reticulum membrane, Microsome, Peripheral membrane protein

          靶标信息

          Heme oxygenase (HO) is a microsomal enzyme that catalyzes the oxidation of heme to the antioxidant molecules, biliverdin and carbon monoxide. HO consists of two homologous isozymes, an inducible HO-1 and a constitutively expressed HO-2. HO-1 is induced by a wide variety of stimuli including conditions of oxidative stress, inflammatory agents, transforming growth factor beta and heat shock. The increase in expression of HO-1 is thought to be a cellular defense mechanism against oxidative stress since elevated HO could eventually generate more bilirubin, an anti-oxidant.

          仅用于科研。不用于诊断过程。未经明确授权不得转售。

          生物信息学

          蛋白别名: heat shock protein, 32-kD; heme orygenase 1; heme oxygenase (decycling) 1; heme oxygenase (decyclizing) 1; Heme oxygenase 1; hemoxygenase; HMOX1; HO-1; HSP32; P32 protein; unnamed protein product

          查看更多 收起

          基因别名: bK286B10; D8Wsu38e; Hemox; Heox; HEOXG; Hmox; HMOX1; HMOX1D; HO; HO-1; HO1; HSP32

          查看更多 收起

          UniProt ID: (Human) P09601, (Rat) P06762, (Mouse) P14901

          查看更多 收起

          Entrez Gene ID: (Human) 3162, (Rat) 24451, (Mouse) 15368

          查看更多 收起

          功能
          heme oxygenase (decyclizing) activity structural molecule activity protein binding oxidoreductase activity enzyme binding heme binding identical protein binding protein homodimerization activity metal ion binding phospholipase D activity signal transducer activity oxygenase
          参与通路
          angiogenesis endothelial cell proliferation wound healing involved in inflammatory response negative regulation of leukocyte migration regulation of transcription from RNA polymerase II promoter heme oxidation cellular iron ion homeostasis apoptotic process response to oxidative stress smooth muscle hyperplasia macroautophagy positive regulation of macroautophagy negative regulation of macroautophagy positive regulation of chemokine production erythrocyte homeostasis low-density lipoprotein particle clearance cellular response to heat response to nicotine intracellular signal transduction heme catabolic process heme metabolic process response to hydrogen peroxide positive regulation of I-kappaB kinase/NF-kappaB signaling regulation of angiogenesis positive regulation of angiogenesis positive regulation of smooth muscle cell proliferation negative regulation of smooth muscle cell proliferation multicellular organismal iron ion homeostasis cellular response to arsenic-containing substance cellular response to cadmium ion cellular response to cisplatin positive regulation of cell migration involved in sprouting angiogenesis negative regulation of ferroptosis negative regulation of cytokine production involved in inflammatory response negative regulation of extrinsic apoptotic signaling pathway via death domain receptors positive regulation of blood vessel endothelial cell proliferation involved in sprouting angiogenesis epithelial cell apoptotic process positive regulation of epithelial cell apoptotic process response to hypoxia phospholipid metabolic process small GTPase mediated signal transduction regulation of blood pressure cell death negative regulation of cell proliferation intrinsic apoptotic signaling pathway in response to DNA damage negative regulation of muscle cell apoptotic process cellular response to nutrient negative regulation of mast cell cytokine production regulation of transcription from RNA polymerase II promoter in response to iron negative regulation of mast cell degranulation negative regulation of DNA binding negative regulation of sequence-specific DNA binding transcription factor activity negative regulation of neuron apoptotic process regulation of transcription from RNA polymerase II promoter in response to oxidative stress response to estrogen regulation of sequence-specific DNA binding transcription factor activity protein homooligomerization iron ion homeostasis cellular response to hypoxia oxidation-reduction process
          It has to be done as per old AB suggested Products section.

          Disclaimer

          Close

          Clicking the images or links will redirect you to a website hosted by BenchSci that provides third-party scientific content. Neither the content nor the BenchSci technology and processes for selection have been evaluated by us; we are providing them as-is and without warranty of any kind, including for use or application of the Thermo Fisher Scientific products presented.

          guarantee_icon

          性能保障

          只要您发现Invitrogen抗体在实验中的表现与网站或说明书的所述内容不符,您即可享受免费退换货服务。*

          了解更多
          help_icon

          随时为您服务

          获取常见问题的专家解答,或者直接联系我们的技术专家,咨询应用、设备、常规产品使用问题。

          联系技术支持
          订购 Plus Icon Minus Icon
          • 订单状态查询
          • 订单支持
          • 货号直购
          • 现货供应中心
          • 电子采购
          支持 Plus Icon Minus Icon
          • 帮助&支持
          • 联系我们 - 400 820 8982
          • 技术支持中心
          • 查找文件&证书
          • 报告网站问题
          资源 Plus Icon Minus Icon
          • 学习中心
          • 促销
          • 活动&研讨会
          • 社交媒体
          关于赛默飞 Plus Icon Minus Icon
          • 关于我们
          • 招聘 招聘
          • 投资者关系 投资者关系
          • 新闻 新闻
          • 社会责任 社会责任
          • 商标
          • 政策和通知
          品牌 Plus Icon Minus Icon
          • Thermo Scientific
          • Applied Biosystems
          • Invitrogen
          • Gibco
          • Ion Torrent
          • Unity Lab Services
          • Patheon
          • PPD
          • 服务条款
          • 隐私政策
          • 定价和运输保险政策
          © 2006-2026 Thermo Fisher Scientific Inc. All rights reserved. All trademarks are the property of Thermo Fisher Scientific and its subsidiaries unless otherwise specified.
          China flag icon
          China
          本网站销售的所有产品均不得用于人类或动物之临床诊断或治疗,仅可用于工业或者科研等非医疗目的。
             电子营业执照 | 经营证照公示 | ICP备案号:沪ICP备11003924号 | 沪公网安备 31011502006935号

          Your items have has been added!


          Host server : magellan-search-green-6479c7f679-sz4vp:80/100.66.76.236:80.
          git-commit: b70c0dceb888abc3b0dcebb5bc3a5b8753e7e816
          git-url: https://github.com/thermofisher/magellan-search
          git-branch: release/2.50.0-Offline