Hamburger Menu Button
Thermo Fisher Scientific Logo
登录
没有账号?建立账号 注册
  • 产品
    • 抗体
    • 引物合成
    • GeneArt Gene Synthesis Instant Designer
    • TaqMan Assay and Array Search
    • PCR 设备和耗材
    • 色谱柱和纯化柱
    • 实验室离心机
    • 分子生物学试剂和试剂盒
    • 实验室塑料耗材及用品
    • 查看所有产品分类
  • 应用和技术
    • 色谱
    • 细胞转染和培养
    • 实时荧光定量PCR
    • 质谱
    • 实验室塑料耗材及用品
    • 电子显微镜
    • 蛋白质生物学
    • PCR
    • RNAi
    • 环境
    • 查看所有应用和技术
  • 服务
    • 定制服务
    • 企业级实验室信息化服务
    • 金融&租赁服务
    • 仪器服务
    • OEM和商业供应
    • 培训服务
    • 360° CDMO 和 CRO 服务
    • CDMO 服务
    • 临床试验 CRO 服务
    • Unity Lab Services
    • 查看所有帮助和支持
  • 帮助和支持
    • 学习中心
    • 联系我们
    • 更改国家或地区
    • 查看所有帮助和支持
  • 热门产品
    • TaqMan Real-Time PCR Assays
      TaqMan 实时荧光定量 PCR 试剂盒
    • Antibodies
      抗体
    • Oligos, Primers & Probes
      寡核苷酸、引物、探针
    • GeneArt Gene Synthesis
      GeneArt 基因合成
    • Cell Culture Plastics
      细胞培养耗材
  • Who We Serve
    • 抗体治疗解决方案
    • 细胞与基因治疗解决方案
    • 学术科研
    • 工业与应用
  • 联系我们
  • 货号直购
  • 订单查询
  • 查找文件&证书
Thermo Fisher Scientific Logo

Search

搜索全部或下列指定分类
Search button
          • 联系我们
          • 货号直购
          • 登录
            登录
            没有账号?建立账号 注册
            • 我的账号
            • 订单
            • 会员中心
            • 账单及发票查询
            • 定制产品及项目
          • Primary Antibodies ›
          • TCF2 Antibodies

          Proteintech

          HNF1B Polyclonal Antibody

          26 篇参考文献
          查看其他25个TCF2抗体

          {{$productOrderCtrl.translations['antibody.pdp.commerceCard.promotion.promotions']}}

          {{$productOrderCtrl.translations['antibody.pdp.commerceCard.promotion.viewpromo']}}

          {{$productOrderCtrl.translations['antibody.pdp.commerceCard.promotion.promocode']}}: {{promo.promoCode}} {{promo.promoTitle}} {{promo.promoDescription}}. {{$productOrderCtrl.translations['antibody.pdp.commerceCard.promotion.learnmore']}}

          说明书
          证书
          实验方案
          问题与答案
          技术支持
          说明书
          证书
          实验方案
          问题与答案
          技术支持
          说明书
          证书
          实验方案
          问题与答案
          技术支持

          Cite HNF1B Polyclonal Antibody

          Additional Information:
          {{banner.description}}
          {{$ctrl.isSkuNotesCollapsed ? 'View more' : 'View less'}}
          • 抗体检测数据 (11)
          HNF1B Antibody in Immunocytochemistry (ICC/IF)
          Group 53 Created with Sketch.
          HNF1B Antibody in Immunocytochemistry (ICC/IF)
          Group 53 Created with Sketch.

          图: 1 / 11

          {{ $ctrl.currentElement.advancedVerification.fullName }}
          {{ $ctrl.currentElement.advancedVerification.text }}

          HNF1B Antibody (12533-1-AP) in ICC/IF

          Immunofluorescent analysis of ( 4% PFA ) fixed L02 cells using 12533-1-AP (HNF1B antibody) at dilution of 1:50 and Alexa Fluor 488-conjugated AffiniPure Goat Anti-Rabbit IGG (H+L). {{ $ctrl.currentElement.advancedVerification.fullName }} 验证信息 View more
          已发表图片由___提供 benchsci-logo
          PMID: {{$ctrl.currentElement.benchSciPubmedId}}
          查看产品

          {{$ctrl.videoDesc}}

          {{$ctrl.videoLongDesc}}

          HNF1B Antibody in Immunocytochemistry (ICC/IF)
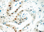
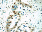
          HNF1B Antibody in Immunohistochemistry (Paraffin) (IHC (P))
          HNF1B Antibody in Immunohistochemistry (Paraffin) (IHC (P))
          HNF1B Antibody in Immunohistochemistry (Paraffin) (IHC (P))
          HNF1B Antibody in Immunohistochemistry (Paraffin) (IHC (P))
          HNF1B Antibody in Immunohistochemistry (Paraffin) (IHC (P))
          HNF1B Antibody in Immunohistochemistry (Paraffin) (IHC (P))
          HNF1B Antibody in Immunohistochemistry (Paraffin) (IHC (P))
          HNF1B Antibody in Immunohistochemistry (Paraffin) (IHC (P))
          HNF1B Antibody in Western Blot (WB)
          HNF1B Antibody in Western Blot (WB)
          HNF1B Polyclonal Antibody

          产品信息

          12533-1-AP

          应用
          建议稀释比
          已发表文章

          免疫印迹 (WB)

          1:500-1:1,000
          查看11篇已发表文章 11篇已发表文章

          免疫组化 (IHC)

          -
          查看10篇已发表文章 10篇已发表文章

          免疫组化(石蜡) (IHC (P))

          1:50-1:500
          -

          免疫细胞化学 (ICC/IF)

          1:50-1:500
          查看3篇已发表文章 3篇已发表文章

          流式细胞分析 (Flow)

          -
          查看1篇已发表文章 1篇已发表文章

          免疫沉淀 (IP)

          Assay-dependent
          查看1篇已发表文章 1篇已发表文章
          产品规格

          种属反应

          Human, Mouse, Rat

          已发表种属

          Human, Mouse, Pig

          宿主/亚型

          Rabbit / IgG

          分类

          Polyclonal

          类型

          Antibody

          抗原

          HNF1B Fusion Protein Ag3232 (1-310 aa encoded by BC017714)
          3D表位/免疫原

          偶联物

          Unconjugated Unconjugated Unconjugated

          形式

          Liquid

          浓度

          0.28 mg/mL

          规格

          42 µg

          纯化类型

          Antigen affinity chromatography

          保存液

          PBS, pH 7.3, with 50% glycerol

          内含物

          0.02% sodium azide

          保存条件

          -20°C

          运输条件

          Wet ice (domestic); Dry ice (international)

          产品详细信息

          This is a rabbit polyclonal antibody raised against the N-terminal region of human HNF1B. HNF1B exists some isoforms with MW of 61 kDa, 58 kDa, 46 kDa, and 44 kDa.

          Immunogen sequence: MVSKLTSLQ QELLSALLSS GVTKEVLVQA LEELLPSPNF GVKLETLPLS PGSGAEPDTK PVFHTLTNGH AKGRLSGDEG SEDGDDYDTP PILKELQALN TEEAAEQRAE VDRMLSEDPW RAAKMIKGYM QQHNIPQREV VDVTGLNQSH LSQHLNKGTP MKTQKRAALY TWYVRKQREI LRQFNQTVQS SGNMTDKSSQ DQLLFLFPEF SQQSHGPGQS DDACSEPTNK KMRRNRFKWG PASQQILYQA YDRQKNPSKE EREALVEECN RAECLQRGVS PSKAHGLGSN LVTEVRVYNW FANRRKEEAF R (1-310 aa encoded by BC017714)

          靶标信息

          Hepatocyte Nuclear Factor 1 (HNF1, Homeoprotein LFB3, Transcription factor 2, TCF2, Variant hepatic nuclear factor) is a member of the homeodomain-containing superfamily of transcription factors. It is a liver-specific factor of the homeobox-containing basic helix-turn-helix family. The protein binds to DNA as either a homodimer, or a heterodimer with the related protein hepatocyte nuclear factor 1-alpha. HNF1has been shown to function in nephron development and regulates development of the embryonic pancreas. Mutations in the gene result in renal cysts and diabetes syndrome and noninsulin-dependent diabetes mellitus, and expression of the gene is altered in some types of cancer. Multiple transcript variants encoding different isoforms have been found for this gene.

          仅用于科研。不用于诊断过程。未经明确授权不得转售。

          生物信息学

          蛋白别名: Hepatocyte nuclear factor 1-beta; hepatocyte nuclear factor-1 beta; HNF-1-beta; HNF-1B; HNF1 beta A; Homeoprotein LFB3; TCF-2; TCF2; transcription factor; Transcription factor 2; Transcription factor 2 hepatic; Transcription factor 2 hepatic; LF-B3; variant hepatic nuclear factor; Transcription factor 2, hepatic; Transcription factor 2, hepatic; LF-B3; variant hepatic nuclear factor; unnamed protein product; Variant hepatic nuclear factor 1; vHNF1

          查看更多 收起

          基因别名: ADTKD3; FJHN; HNF-1-beta; HNF-1B; HNF-1Beta; HNF1B; HNF1beta; HNF2; HPC11; LF-B3; LFB3; MODY5; RCAD; T2D; TCF-2; TCF2; VHNF1

          查看更多 收起

          UniProt ID: (Human) P35680, (Rat) P23899, (Mouse) P27889

          查看更多 收起

          Entrez Gene ID: (Human) 6928, (Rat) 25640, (Mouse) 21410

          查看更多 收起

          功能
          transcription regulatory region sequence-specific DNA binding RNA polymerase II core promoter proximal region sequence-specific DNA binding RNA polymerase II transcription factor activity, sequence-specific DNA binding core promoter proximal region sequence-specific DNA binding transcription cofactor binding DNA binding transcription factor activity, sequence-specific DNA binding protein binding identical protein binding protein homodimerization activity promoter-specific chromatin binding core promoter proximal region DNA binding transcription factor activity, RNA polymerase II distal enhancer sequence-specific binding protein complex binding sequence-specific DNA binding transcription regulatory region DNA binding protein heterodimerization activity DNA-binding transcription factor
          参与通路
          negative regulation of transcription from RNA polymerase II promoter endodermal cell fate specification kidney development inner cell mass cell differentiation liver development regulation of transcription from RNA polymerase II promoter apoptotic process Notch signaling pathway endoderm development response to glucose anterior/posterior pattern specification gene expression positive regulation of gene expression insulin secretion regulation of Wnt signaling pathway hindbrain development pancreas development endocrine pancreas development regulation of pronephros size pronephric nephron tubule development negative regulation of apoptotic process positive regulation of transcription, DNA-templated positive regulation of transcription from RNA polymerase II promoter animal organ development embryonic digestive tract morphogenesis system development branching morphogenesis of an epithelial tube pronephros development genitalia development epithelial cell proliferation positive regulation of transcription initiation from RNA polymerase II promoter epithelium development ureteric bud elongation kidney morphogenesis hepatoblast differentiation negative regulation of mesenchymal cell apoptotic process involved in mesonephric nephron morphogenesis regulation of branch elongation involved in ureteric bud branching mesonephric tubule development nephric duct development mesonephric duct development nephric duct formation mesonephric duct formation mesenchymal cell apoptotic process involved in metanephros development negative regulation of mesenchymal cell apoptotic process involved in metanephros development transcription from RNA polymerase II promoter response to carbohydrate response to organic cyclic compound circadian regulation of gene expression response to drug regulation of endodermal cell fate specification embryonic morphogenesis protein-DNA complex assembly hepatocyte differentiation endoderm formation transcription, DNA-templated regulation of transcription, DNA-templated
          It has to be done as per old AB suggested Products section.

          Disclaimer

          Close

          Clicking the images or links will redirect you to a website hosted by BenchSci that provides third-party scientific content. Neither the content nor the BenchSci technology and processes for selection have been evaluated by us; we are providing them as-is and without warranty of any kind, including for use or application of the Thermo Fisher Scientific products presented.

          guarantee_icon

          性能保障

          只要您发现Invitrogen抗体在实验中的表现与网站或说明书的所述内容不符,您即可享受免费退换货服务。*

          了解更多
          help_icon

          随时为您服务

          获取常见问题的专家解答,或者直接联系我们的技术专家,咨询应用、设备、常规产品使用问题。

          联系技术支持
          订购 Plus Icon Minus Icon
          • 订单状态查询
          • 订单支持
          • 货号直购
          • 现货供应中心
          • 电子采购
          支持 Plus Icon Minus Icon
          • 帮助&支持
          • 联系我们 - 400 820 8982
          • 技术支持中心
          • 查找文件&证书
          • 报告网站问题
          资源 Plus Icon Minus Icon
          • 学习中心
          • 促销
          • 活动&研讨会
          • 社交媒体
          关于赛默飞 Plus Icon Minus Icon
          • 关于我们
          • 招聘 招聘
          • 投资者关系 投资者关系
          • 新闻 新闻
          • 社会责任 社会责任
          • 商标
          • 政策和通知
          品牌 Plus Icon Minus Icon
          • Thermo Scientific
          • Applied Biosystems
          • Invitrogen
          • Gibco
          • Ion Torrent
          • Unity Lab Services
          • Patheon
          • PPD
          • 服务条款
          • 隐私政策
          • 定价和运输保险政策
          © 2006-2026 Thermo Fisher Scientific Inc. All rights reserved. All trademarks are the property of Thermo Fisher Scientific and its subsidiaries unless otherwise specified.
          China flag icon
          China
          本网站销售的所有产品均不得用于人类或动物之临床诊断或治疗,仅可用于工业或者科研等非医疗目的。
             电子营业执照 | 经营证照公示 | ICP备案号:沪ICP备11003924号 | 沪公网安备 31011502006935号

          Your items have has been added!


          Host server : magellan-search-blue-7c59b9b899-crt6c:80/100.66.78.36:80.
          git-commit: 8ef7cf686e3c81d28b13492708ce56d167b2f995
          git-url: https://github.com/thermofisher/magellan-search
          git-branch: release/2.49.0-Offline