Hamburger Menu Button
Thermo Fisher Scientific Logo
登录
没有账号?建立账号 注册
  • 产品
    • 抗体
    • 引物合成
    • GeneArt Gene Synthesis Instant Designer
    • TaqMan Assay and Array Search
    • PCR 设备和耗材
    • 色谱柱和纯化柱
    • 实验室离心机
    • 分子生物学试剂和试剂盒
    • 实验室塑料耗材及用品
    • 查看所有产品分类
  • 应用和技术
    • 色谱
    • 细胞转染和培养
    • 实时荧光定量PCR
    • 质谱
    • 实验室塑料耗材及用品
    • 电子显微镜
    • 蛋白质生物学
    • PCR
    • RNAi
    • 环境
    • 查看所有应用和技术
  • 服务
    • 定制服务
    • 企业级实验室信息化服务
    • 金融&租赁服务
    • 仪器服务
    • OEM和商业供应
    • 培训服务
    • 360° CDMO 和 CRO 服务
    • CDMO 服务
    • 临床试验 CRO 服务
    • Unity Lab Services
    • 查看所有帮助和支持
  • 帮助和支持
    • 学习中心
    • 联系我们
    • 更改国家或地区
    • 查看所有帮助和支持
  • 热门产品
    • TaqMan Real-Time PCR Assays
      TaqMan 实时荧光定量 PCR 试剂盒
    • Antibodies
      抗体
    • Oligos, Primers & Probes
      寡核苷酸、引物、探针
    • GeneArt Gene Synthesis
      GeneArt 基因合成
    • Cell Culture Plastics
      细胞培养耗材
  • Who We Serve
    • 抗体治疗解决方案
    • 细胞与基因治疗解决方案
    • 学术科研
    • 工业与应用
  • 联系我们
  • 货号直购
  • 订单查询
  • 查找文件&证书
Thermo Fisher Scientific Logo

Search

搜索全部或下列指定分类
Search button
          • 联系我们
          • 货号直购
          • 登录
            登录
            没有账号?建立账号 注册
            • 我的账号
            • 订单
            • 会员中心
            • 账单及发票查询
            • 定制产品及项目
          • Primary Antibodies ›
          • HSF1 Antibodies

          Invitrogen

          HSF1 Recombinant Rabbit Monoclonal Antibody (5V4U6)

          查看其他55个HSF1抗体

          {{$productOrderCtrl.translations['antibody.pdp.commerceCard.promotion.promotions']}}

          {{$productOrderCtrl.translations['antibody.pdp.commerceCard.promotion.viewpromo']}}

          {{$productOrderCtrl.translations['antibody.pdp.commerceCard.promotion.promocode']}}: {{promo.promoCode}} {{promo.promoTitle}} {{promo.promoDescription}}. {{$productOrderCtrl.translations['antibody.pdp.commerceCard.promotion.learnmore']}}

          说明书
          证书
          实验方案
          问题与答案
          技术支持
          说明书
          证书
          实验方案
          问题与答案
          技术支持
          说明书
          证书
          实验方案
          问题与答案
          技术支持

          Cite HSF1 Recombinant Rabbit Monoclonal Antibody (5V4U6)

          Additional Information:
          {{banner.description}}
          {{$ctrl.isSkuNotesCollapsed ? 'View more' : 'View less'}}
          • 抗体检测数据 (8)
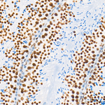
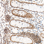
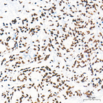
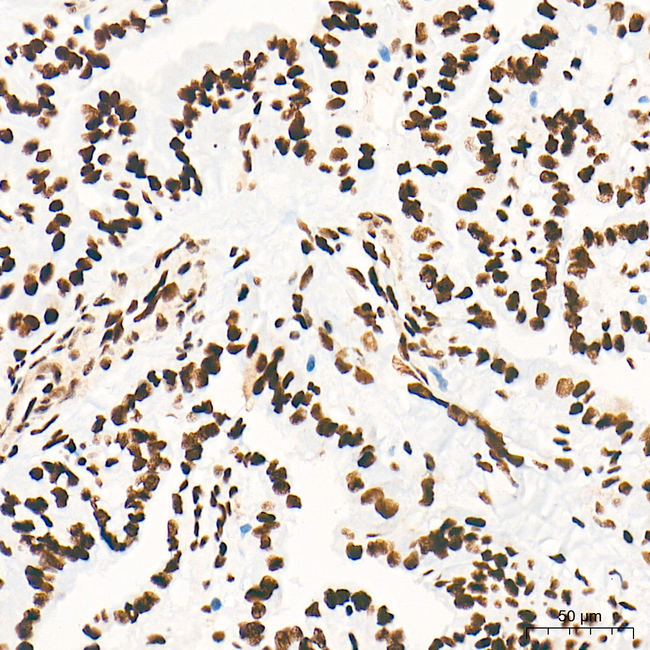
          HSF1 Antibody in Immunohistochemistry (Paraffin) (IHC (P))
          Group 53 Created with Sketch.
          HSF1 Antibody in Immunohistochemistry (Paraffin) (IHC (P))
          Group 53 Created with Sketch.

          图: 1 / 8

          {{ $ctrl.currentElement.advancedVerification.fullName }}
          {{ $ctrl.currentElement.advancedVerification.text }}

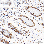
          HSF1 Antibody (MA569184) in IHC (P)

          Immunohistochemistry analysis of HSF1 on paraffin-embedded Human thyroid cancer tissue. Samples were incubated with HSF1 recombinant monoclonal antibody (Product # MA569184) using a dilution of 1:1,000 (40x lens). High pressure antigen retrieval performed with 0. 01 M Tris-EDTA Buffer (pH 9. 0) prior to IHC staining. {{ $ctrl.currentElement.advancedVerification.fullName }} 验证信息 View more
          已发表图片由___提供 benchsci-logo
          PMID: {{$ctrl.currentElement.benchSciPubmedId}}
          查看产品

          {{$ctrl.videoDesc}}

          {{$ctrl.videoLongDesc}}

          HSF1 Antibody in Immunohistochemistry (Paraffin) (IHC (P))
          HSF1 Antibody in Immunohistochemistry (Paraffin) (IHC (P))
          HSF1 Antibody in Immunohistochemistry (Paraffin) (IHC (P))
          HSF1 Antibody in Immunohistochemistry (Paraffin) (IHC (P))
          HSF1 Antibody in Immunohistochemistry (Paraffin) (IHC (P))
          HSF1 Antibody in Western Blot (WB)
          HSF1 Antibody in Western Blot (WB)
          HSF1 Antibody in Immunoprecipitation (IP)

          产品信息

          MA569184

          应用
          建议稀释比
          已发表文章

          免疫印迹 (WB)

          1:1,000-1:4,000
          -

          免疫组化(石蜡) (IHC (P))

          1:200-1:2,000
          -

          酶联免疫吸附实验 (ELISA)

          1 µg/mL
          -

          免疫沉淀 (IP)

          0.5-4 µg
          -
          产品规格

          种属反应

          Human, Mouse, Rat

          宿主/亚型

          Rabbit / IgG

          Expression System

          HEK293 cells

          分类

          Recombinant Monoclonal

          类型

          Antibody

          克隆号

          5V4U6

          抗原

          Synthetic peptide.

          偶联物

          Unconjugated Unconjugated Unconjugated

          形式

          Liquid

          浓度

          1.84 mg/mL

          规格

          184 µg

          纯化类型

          Affinity chromatography

          保存液

          PBS, pH 7.3., with 50% glycerol

          内含物

          0.09% sodium azide

          保存条件

          -20°C, Avoid Freeze/Thaw Cycles

          运输条件

          Ambient (domestic); Wet ice (international)

          靶标信息

          All organisms respond to elevated temperatures and a variety of environmental stresses by rapid synthesis of heat shock RNAs and proteins. The regulation of heat shock gene transcription is mediated by the transcriptional activator, heat shock factor (HSF), which binds to heat shock response elements (HSEs). These HSEs are found as three repeats of a 5-nucleotide {nGAAn} module, arranged in alternating orientation and present upstream of all heat shock genes. The HSEs are highly conserved among species yet HSF purified from yeast, Drosophila and human have different molecular weights and the proteins do not show significant immunological cross reaction. Two HSFs have been identified in human cells, HSF1 and HSF2, which bind to the same HSEs and have 38% sequence identity. These factors are activated by distinct stimuli, HSF1 is responsive to classical stress signals such as heat, heavy metals and oxidative reagents, whereas HSF2 is activated during hemin-mediated differentiation of human erythroleukemia cells. HSF1 exists constitutively in the cytoplasm and the nucleus of unstressed cells as a monomer which lacks DNA binding activity. Through an unknown signal generated during stress, HSF1 becomes activated to a nuclear localized, trimeric state which binds to DNA. The phosphorylation of HSF1 is necessary for maximal transcription of heat shock genes.

          仅用于科研。不用于诊断过程。未经明确授权不得转售。

          篇参考文献 (0)

          您是否在文献中引用过该产品?请点击下方按钮邮件告知我们。
          引用该产品

          生物信息学

          蛋白别名: Heat shock factor protein 1; Heat shock transcription factor 1; heat shock transcription factor 1 alpha isoform; heat shock transcription factor 1 beta isoform; heat shock transcription factor 1 gammaalpha isoform; heat shock transcription factor 1 gammabeta isoform; HSF 1; HSF1; Hsf1gammaalpha; Hsf1gammabeta; HSTF 1; unnamed protein product

          查看更多 收起

          基因别名: AA960185; HSF1; Hsf1alpha; Hsf1beta; HSTF1

          查看更多 收起

          UniProt ID: (Human) Q00613, (Mouse) P38532

          查看更多 收起

          Entrez Gene ID: (Human) 3297, (Rat) 79245, (Mouse) 15499

          查看更多 收起

          功能
          transcription regulatory region sequence-specific DNA binding RNA polymerase II core promoter proximal region sequence-specific DNA binding RNA polymerase II transcription factor activity, sequence-specific DNA binding RNA polymerase II intronic transcription regulatory region sequence-specific DNA binding transcriptional repressor activity, RNA polymerase II transcription regulatory region sequence-specific binding transcriptional activator activity, RNA polymerase II transcription regulatory region sequence-specific binding DNA binding chromatin binding transcription factor activity, sequence-specific DNA binding protein binding protein kinase binding heat shock protein binding chromatin DNA binding identical protein binding sequence-specific DNA binding protein heterodimerization activity Hsp90 protein binding translation elongation factor binding STAT family protein binding sequence-specific single stranded DNA binding general transcription initiation factor binding sequence-specific double-stranded DNA binding promoter-specific chromatin binding transcriptional repressor activity, RNA polymerase II core promoter proximal region sequence-specific binding winged helix/forkhead transcription factor
          参与通路
          negative regulation of transcription from RNA polymerase II promoter MAPK cascade in utero embryonic development embryonic placenta development DNA repair regulation of transcription, DNA-templated regulation of transcription from RNA polymerase II promoter mRNA processing defense response cellular response to DNA damage stimulus female meiotic division spermatogenesis response to nutrient cell proliferation response to heat positive regulation of gene expression negative regulation of gene expression negative regulation of cardiac muscle cell apoptotic process response to activity negative regulation of protein complex assembly response to estradiol response to lipopolysaccharide negative regulation of tumor necrosis factor production response to testosterone cellular response to heat cellular response to unfolded protein cellular response to potassium ion positive regulation of multicellular organism growth response to amino acid positive regulation of macrophage differentiation positive regulation of mitotic cell cycle positive regulation of transcription from RNA polymerase II promoter epithelial cell proliferation negative regulation of epithelial cell proliferation mRNA transport embryonic process involved in female pregnancy positive regulation of stress granule assembly protein-containing complex assembly cellular response to hydrogen peroxide cellular response to lipopolysaccharide cellular response to amino acid stimulus cellular response to cadmium ion cellular response to copper ion cellular response to estradiol stimulus cellular response to xenobiotic stimulus cellular response to radiation cellular response to gamma radiation cellular response to diamide negative regulation of inclusion body assembly positive regulation of inclusion body assembly positive regulation of cold-induced thermogenesis regulation of cellular response to heat response to peptide positive regulation of apoptotic DNA fragmentation cellular response to sodium arsenite cellular response to angiotensin cellular response to nitroglycerin cellular response to L-glutamine response to hypobaric hypoxia response to psychosocial stress negative regulation of double-strand break repair via nonhomologous end joining positive regulation of apoptotic signaling pathway transcription, DNA-templated protein phosphorylation negative regulation of cell proliferation mRNA transcription transcription from RNA polymerase II promoter regulation of spindle checkpoint
          It has to be done as per old AB suggested Products section.

          Disclaimer

          Close

          Clicking the images or links will redirect you to a website hosted by BenchSci that provides third-party scientific content. Neither the content nor the BenchSci technology and processes for selection have been evaluated by us; we are providing them as-is and without warranty of any kind, including for use or application of the Thermo Fisher Scientific products presented.

          guarantee_icon

          性能保障

          只要您发现Invitrogen抗体在实验中的表现与网站或说明书的所述内容不符,您即可享受免费退换货服务。*

          了解更多
          help_icon

          随时为您服务

          获取常见问题的专家解答,或者直接联系我们的技术专家,咨询应用、设备、常规产品使用问题。

          联系技术支持
          订购 Plus Icon Minus Icon
          • 订单状态查询
          • 订单支持
          • 货号直购
          • 现货供应中心
          • 电子采购
          支持 Plus Icon Minus Icon
          • 帮助&支持
          • 联系我们 - 400 820 8982
          • 技术支持中心
          • 查找文件&证书
          • 报告网站问题
          资源 Plus Icon Minus Icon
          • 学习中心
          • 促销
          • 活动&研讨会
          • 社交媒体
          关于赛默飞 Plus Icon Minus Icon
          • 关于我们
          • 招聘 招聘
          • 投资者关系 投资者关系
          • 新闻 新闻
          • 社会责任 社会责任
          • 商标
          • 政策和通知
          品牌 Plus Icon Minus Icon
          • Thermo Scientific
          • Applied Biosystems
          • Invitrogen
          • Gibco
          • Ion Torrent
          • Unity Lab Services
          • Patheon
          • PPD
          • 服务条款
          • 隐私政策
          • 定价和运输保险政策
          © 2006-2026 Thermo Fisher Scientific Inc. All rights reserved. All trademarks are the property of Thermo Fisher Scientific and its subsidiaries unless otherwise specified.
          China flag icon
          China
          本网站销售的所有产品均不得用于人类或动物之临床诊断或治疗,仅可用于工业或者科研等非医疗目的。
             电子营业执照 | 经营证照公示 | ICP备案号:沪ICP备11003924号 | 沪公网安备 31011502006935号

          Your items have has been added!


          Host server : magellan-search-green-6479c7f679-zb4k5:80/100.66.74.142:80.
          git-commit: b70c0dceb888abc3b0dcebb5bc3a5b8753e7e816
          git-url: https://github.com/thermofisher/magellan-search
          git-branch: release/2.50.0-Offline