Hamburger Menu Button
Thermo Fisher Scientific Logo
登录
没有账号?建立账号 注册
  • 产品
    • 抗体
    • 引物合成
    • GeneArt Gene Synthesis Instant Designer
    • TaqMan Assay and Array Search
    • PCR 设备和耗材
    • 色谱柱和纯化柱
    • 实验室离心机
    • 分子生物学试剂和试剂盒
    • 实验室塑料耗材及用品
    • 查看所有产品分类
  • 应用和技术
    • 色谱
    • 细胞转染和培养
    • 实时荧光定量PCR
    • 质谱
    • 实验室塑料耗材及用品
    • 电子显微镜
    • 蛋白质生物学
    • PCR
    • RNAi
    • 环境
    • 查看所有应用和技术
  • 服务
    • 定制服务
    • 企业级实验室信息化服务
    • 金融&租赁服务
    • 仪器服务
    • OEM和商业供应
    • 培训服务
    • 360° CDMO 和 CRO 服务
    • CDMO 服务
    • 临床试验 CRO 服务
    • Unity Lab Services
    • 查看所有帮助和支持
  • 帮助和支持
    • 学习中心
    • 联系我们
    • 更改国家或地区
    • 查看所有帮助和支持
  • 热门产品
    • TaqMan Real-Time PCR Assays
      TaqMan 实时荧光定量 PCR 试剂盒
    • Antibodies
      抗体
    • Oligos, Primers & Probes
      寡核苷酸、引物、探针
    • GeneArt Gene Synthesis
      GeneArt 基因合成
    • Cell Culture Plastics
      细胞培养耗材
  • Who We Serve
    • 抗体治疗解决方案
    • 细胞与基因治疗解决方案
    • 学术科研
    • 工业与应用
  • 联系我们
  • 货号直购
  • 订单查询
  • 查找文件&证书
Thermo Fisher Scientific Logo

Search

搜索全部或下列指定分类
Search button
          • 联系我们
          • 货号直购
          • 登录
            登录
            没有账号?建立账号 注册
            • 我的账号
            • 订单
            • 会员中心
            • 账单及发票查询
            • 定制产品及项目
          • Primary Antibodies ›
          • HSP70 Antibodies

          Invitrogen

          HSP70 Polyclonal Antibody

          查看其他49个HSP70抗体

          {{$productOrderCtrl.translations['antibody.pdp.commerceCard.promotion.promotions']}}

          {{$productOrderCtrl.translations['antibody.pdp.commerceCard.promotion.viewpromo']}}

          {{$productOrderCtrl.translations['antibody.pdp.commerceCard.promotion.promocode']}}: {{promo.promoCode}} {{promo.promoTitle}} {{promo.promoDescription}}. {{$productOrderCtrl.translations['antibody.pdp.commerceCard.promotion.learnmore']}}

          说明书
          证书
          实验方案
          问题与答案
          技术支持
          说明书
          证书
          实验方案
          问题与答案
          技术支持
          说明书
          证书
          实验方案
          问题与答案
          技术支持

          Cite HSP70 Polyclonal Antibody

          Additional Information:
          {{banner.description}}
          {{$ctrl.isSkuNotesCollapsed ? 'View more' : 'View less'}}
          • 抗体检测数据 (5)
          HSP70 Antibody in Immunocytochemistry (ICC/IF)
          Group 53 Created with Sketch.
          HSP70 Antibody in Immunocytochemistry (ICC/IF)
          Group 53 Created with Sketch.

          图: 1 / 5

          {{ $ctrl.currentElement.advancedVerification.fullName }}
          {{ $ctrl.currentElement.advancedVerification.text }}

          HSP70 Antibody (PA5-120189) in ICC/IF

          Immunofluorescence analysis of HSP70 in C6 cells. Samples were incubated with HSP70 Polyclonal antibody (Product # PA5-120189) using a dilution of 1:100 (40x lens). Blue: DAPI for nuclear staining. {{ $ctrl.currentElement.advancedVerification.fullName }} 验证信息 View more
          已发表图片由___提供 benchsci-logo
          PMID: {{$ctrl.currentElement.benchSciPubmedId}}
          查看产品

          {{$ctrl.videoDesc}}

          {{$ctrl.videoLongDesc}}

          HSP70 Antibody in Immunocytochemistry (ICC/IF)
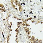
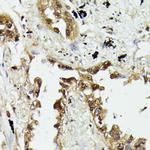
          HSP70 Antibody in Immunohistochemistry (Paraffin) (IHC (P))
          HSP70 Antibody in Immunohistochemistry (Paraffin) (IHC (P))
          HSP70 Antibody in Immunohistochemistry (Paraffin) (IHC (P))
          HSP70 Antibody in Western Blot (WB)
          HSP70 Polyclonal Antibody

          产品信息

          PA5-120189

          应用
          建议稀释比
          已发表文章

          免疫印迹 (WB)

          1:1,000-1:3,000
          -

          免疫组化(石蜡) (IHC (P))

          1:50-1:200
          -

          免疫细胞化学 (ICC/IF)

          1:50-1:200
          -

          酶联免疫吸附实验 (ELISA)

          1 µg/mL
          -
          产品规格

          种属反应

          Human, Mouse, Rat

          宿主/亚型

          Rabbit / IgG

          分类

          Polyclonal

          类型

          Antibody

          抗原

          A synthetic peptide corresponding to a sequence within amino acids 500-600 of human HSP70/HSPA1 (NP_005336.3).
          3D表位/免疫原

          偶联物

          Unconjugated Unconjugated Unconjugated

          形式

          Liquid

          浓度

          0.59 mg/mL

          规格

          59 µg

          纯化类型

          Affinity Chromatography

          保存液

          PBS, pH 7.3, with 50% glycerol

          内含物

          0.05% ProClin 300

          保存条件

          -20°C, Avoid Freeze/Thaw Cycles

          运输条件

          Ambient (domestic); Wet ice (international)

          RRID

          AB_2913761

          产品详细信息

          Positive test controls include: HeLa, HepG2, BxPC-3, 293T, A-549, Mouse brain, Mouse kidney, Mouse lung, Rat lung.

          Immunogen sequence: KITITNDKGR LSKEEIERMV QEAEKYKAED EVQRERVSAK NALESYAFNM KSAVEDEGLK GKISEADKKK VLDKCQEVIS WLDANTLAEK DEFEHKRKEL E

          靶标信息

          HSP70 is a Heat shock protein (HSP) which are expressed in response to various biological stresses, including high temperatures. There are several major families of HSPs that include HSP70, there are HSP90 and HSP100. The HSP70 family is a set of highly conserved proteins that are induced by a variety of biological stresses, including heat stress, in every organism in which the proteins have been examined. The human HSP70 family members include: HSP70, a protein which is strongly inducible in all organisms but which is also constitutively expressed in primate cells; HSP72, a 72 kDa protein that is induced exclusively under stress conditions; HSC70, or cognate protein, is a 72 kDa, constitutively expressed, protein which is involved in the uncoating of clathrin coated vesicles; GRP78, or BiP, is a glucose regulated 78 kDa protein localized in the endoplasmic reticulum; and p75, or HSP75, a 75 kDa protein that is found within the mitochondria. Further, HSP70 is encoded by an intronless gene and, in conjunction with other heat shock proteins, HSP70 stabilizes existing proteins against aggregation and mediates the folding of newly translated proteins in the cytosol and organelles. HSP70 is also involved in the ubiquitin-proteasome pathway through interaction with the AU-rich element RNA-binding protein 1. The HSP70 gene is located in the major histocompatibility complex class III region, in a cluster with two closely related genes which encode similar proteins.

          仅用于科研。不用于诊断过程。未经明确授权不得转售。

          篇参考文献 (0)

          您是否在文献中引用过该产品?请点击下方按钮邮件告知我们。
          引用该产品

          生物信息学

          蛋白别名: 68 kDa heat shock protein; 70 kilodalton heat shock protein; ARABIDOPSIS HEAT SHOCK PROTEIN 70; ATHSP70; dnaK-type molecular chaperone HSP70-1; epididymis secretory protein Li 103; epididymis secretory sperm binding protein; epididymis secretory sperm binding protein Li 5a; heat shock 10kDa protein 1-like; Heat shock 70 kDa protein 1; Heat shock 70 kDa protein 1-Hom; Heat shock 70 kDa protein 1-like; heat shock 70 kDa protein 1/2; Heat shock 70 kDa protein 1A; heat shock 70 kDa protein 1A/1B; Heat shock 70 kDa protein 1B; Heat shock 70 kDa protein 1L; Heat shock 70 kDa protein 2; Heat shock 70 kDa protein 3; Heat shock 70 kDa protein 4; Heat shock 70 kDa-like protein 1; Heat shock 70-related protein APG-2; heat shock 70kD protein 1A; heat shock 70kD protein 1B; heat shock 70kD protein 2; heat shock 70kD protein 4; heat shock 70kD protein-like 1; heat shock 70kDa protein 1-like; heat shock 70kDa protein 1A; heat shock 70kDa protein 1B; heat shock 70kDa protein 2; Heat shock protein; heat shock protein 70; heat shock protein 70-1; Heat shock protein 70-1l; heat shock protein 70.1; Heat shock protein 70.2; heat shock protein alpha 2; heat shock protein cognate 70, testis; Heat shock protein family A member 1A; Heat shock protein family A member 1B; Heat shock protein family A member 1L; Heat shock protein family A member 2; Heat shock protein family H member 2; heat shock protein, 110 kDa; heat shock protein, 70 kDa 1; heat shock protein, 70 kDa 2; heat shock protein, 70 kDa 3; heat shock-induced protein; Heat shock-related 70 kDa protein 2; heat shock-related protein hsc70t; HEL S 103; HSP; Hsp68; HSP70 1; HSP70 1B; HSP70 2; HSP70 AceyltK77; hsp70 RY; HSP70-1; HSP70-1/HSP70-2; HSP70-2; HSP70-Hom; HSP70.1; HSP70.1/2; HSP70.1/HSP70.2; HSP70.3; HSP70RY; HSPA2; HSPA4; Hspa70; HST; inducible heat shock protein 70; Ischemia responsive 94 kDa protein; Spermatid-specific heat shock protein 70; Testis-specific heat shock protein-related; testis-specific heat shock protein-related gene hst70; unnamed protein product

          查看更多 收起

          基因别名: 70kDa; AI317151; APG-2; APG2; Hcp70.1; Hcp70.2; HEL-S-103; HEL-S-5a; HS24/P52; Hsc70t; Hsp110; hsp68; HSP70; HSP70-1; HSP70-1A; HSP70-1B; HSP70-1L; HSP70-2; HSP70-3; HSP70-HOM; HSP70.1; HSP70.2; Hsp70.3; Hsp70A1; HSP70A2; HSP70I; Hsp70RY; HSP70T; HSP72; HSPA1; HSPA1A; HSPA1B; HSPA1L; HSPA2; HSPA4; HSPH2; Hspt70; Hst70; HSX70; hum70t; Irp94; mKIAA4025; Msh5; RY

          查看更多 收起

          UniProt ID: (Human) P0DMV8, (Human) P34931, (Human) P54652, (Human) P34932, (Mouse) Q61696, (Rat) P0DMW0, (Mouse) P17879, (Rat) P55063, (Mouse) P16627, (Rat) P14659, (Mouse) P17156, (Rat) O88600

          查看更多 收起

          Entrez Gene ID: (Human) 3303, (Human) 3304, (Human) 3305, (Human) 3306, (Human) 3308, (Mouse) 193740, (Rat) 24472, (Rat) 294254, (Mouse) 15511, (Rat) 24963, (Mouse) 15482, (Rat) 60460, (Mouse) 15512, (Mouse) 15525, (Rat) 266759

          查看更多 收起

          功能
          nucleotide binding virus receptor activity G-protein coupled receptor binding transcription corepressor activity RNA binding receptor binding protein binding ATP binding ATPase activity enzyme binding heat shock protein binding denatured protein binding ubiquitin protein ligase binding death receptor agonist activity histone deacetylase binding protein binding involved in protein folding cadherin binding receptor agonist activity unfolded protein binding misfolded protein binding C3HC4-type RING finger domain binding disordered domain specific binding transcription regulator inhibitor activity ATP-dependent protein disaggregase activity ATP-dependent protein folding chaperone tau protein binding chaperone binding glycolipid binding adenyl-nucleotide exchange factor activity protease binding double-stranded RNA binding ATPase activity, coupled poly(A) RNA binding protein N-terminus binding NF-kappaB binding molecular_function RNA polymerase II transcription factor binding protein complex binding activating transcription factor binding
          参与通路
          binding of sperm to zona pellucida biological_process protein refolding negative regulation of transcription from RNA polymerase II promoter mRNA catabolic process protein folding response to unfolded protein lysosomal transport negative regulation of cell proliferation positive regulation of gene expression negative regulation of cell growth negative regulation of transforming growth factor beta receptor signaling pathway endoplasmic reticulum unfolded protein response regulation of protein ubiquitination negative regulation of protein ubiquitination positive regulation of proteasomal ubiquitin-dependent protein catabolic process positive regulation of interleukin-8 production positive regulation of RNA splicing cellular response to oxidative stress cellular response to heat cellular response to unfolded protein negative regulation of apoptotic process positive regulation of erythrocyte differentiation ATP metabolic process viral entry into host cell protein stabilization positive regulation of NF-kappaB transcription factor activity chaperone-mediated protein complex assembly cellular heat acclimation positive regulation of nucleotide-binding oligomerization domain containing 2 signaling pathway cellular response to steroid hormone stimulus positive regulation of microtubule nucleation negative regulation of inclusion body assembly negative regulation of mitochondrial outer membrane permeabilization involved in apoptotic signaling pathway regulation of mitotic spindle assembly negative regulation of endoplasmic reticulum stress-induced intrinsic apoptotic signaling pathway positive regulation of tumor necrosis factor-mediated signaling pathway negative regulation of extrinsic apoptotic signaling pathway in absence of ligand telomere maintenance DNA repair response to heat male meiosis male meiosis I spermatogenesis spermatid development response to cold positive regulation of G2/M transition of mitotic cell cycle cell differentiation synaptonemal complex disassembly negative regulation of protein phosphorylation negative regulation of gene expression positive regulation of protein binding negative regulation of DNA binding protein import into mitochondrial outer membrane negative regulation of cell death protein import into mitochondrial matrix response to ischemia response to radiation response to mechanical stimulus regulation of cell death neuron differentiation response to ethanol positive regulation of neuron differentiation kidney development positive regulation of angiogenesis positive regulation of protein phosphorylation multicellular organism development positive regulation of cyclin-dependent protein serine/threonine kinase activity involved in G2/M transition of mitotic cell cycle positive regulation of T cell mediated cytotoxicity defense response negative regulation of myeloid cell apoptotic process negative regulation of cysteine-type endopeptidase activity involved in apoptotic process negative regulation of vasoconstriction response to stress positive regulation of protein targeting to mitochondrion
          It has to be done as per old AB suggested Products section.

          Disclaimer

          Close

          Clicking the images or links will redirect you to a website hosted by BenchSci that provides third-party scientific content. Neither the content nor the BenchSci technology and processes for selection have been evaluated by us; we are providing them as-is and without warranty of any kind, including for use or application of the Thermo Fisher Scientific products presented.

          guarantee_icon

          性能保障

          只要您发现Invitrogen抗体在实验中的表现与网站或说明书的所述内容不符,您即可享受免费退换货服务。*

          了解更多
          help_icon

          随时为您服务

          获取常见问题的专家解答,或者直接联系我们的技术专家,咨询应用、设备、常规产品使用问题。

          联系技术支持
          订购 Plus Icon Minus Icon
          • 订单状态查询
          • 订单支持
          • 货号直购
          • 现货供应中心
          • 电子采购
          支持 Plus Icon Minus Icon
          • 帮助&支持
          • 联系我们 - 400 820 8982
          • 技术支持中心
          • 查找文件&证书
          • 报告网站问题
          资源 Plus Icon Minus Icon
          • 学习中心
          • 促销
          • 活动&研讨会
          • 社交媒体
          关于赛默飞 Plus Icon Minus Icon
          • 关于我们
          • 招聘 招聘
          • 投资者关系 投资者关系
          • 新闻 新闻
          • 社会责任 社会责任
          • 商标
          • 政策和通知
          品牌 Plus Icon Minus Icon
          • Thermo Scientific
          • Applied Biosystems
          • Invitrogen
          • Gibco
          • Ion Torrent
          • Unity Lab Services
          • Patheon
          • PPD
          • 服务条款
          • 隐私政策
          • 定价和运输保险政策
          © 2006-2026 Thermo Fisher Scientific Inc. All rights reserved. All trademarks are the property of Thermo Fisher Scientific and its subsidiaries unless otherwise specified.
          China flag icon
          China
          本网站销售的所有产品均不得用于人类或动物之临床诊断或治疗,仅可用于工业或者科研等非医疗目的。
             电子营业执照 | 经营证照公示 | ICP备案号:沪ICP备11003924号 | 沪公网安备 31011502006935号

          Your items have has been added!


          Host server : magellan-search-green-6479c7f679-fjg4p:80/100.66.76.236:80.
          git-commit: b70c0dceb888abc3b0dcebb5bc3a5b8753e7e816
          git-url: https://github.com/thermofisher/magellan-search
          git-branch: release/2.50.0-Offline