Hamburger Menu Button
Thermo Fisher Scientific Logo
登录
没有账号?建立账号 注册
  • 产品
    • 抗体
    • 引物合成
    • GeneArt Gene Synthesis Instant Designer
    • TaqMan Assay and Array Search
    • PCR 设备和耗材
    • 色谱柱和纯化柱
    • 实验室离心机
    • 分子生物学试剂和试剂盒
    • 实验室塑料耗材及用品
    • 查看所有产品分类
  • 应用和技术
    • 色谱
    • 细胞转染和培养
    • 实时荧光定量PCR
    • 质谱
    • 实验室塑料耗材及用品
    • 电子显微镜
    • 蛋白质生物学
    • PCR
    • RNAi
    • 环境
    • 查看所有应用和技术
  • 服务
    • 定制服务
    • 企业级实验室信息化服务
    • 金融&租赁服务
    • 仪器服务
    • OEM和商业供应
    • 培训服务
    • 360° CDMO 和 CRO 服务
    • CDMO 服务
    • 临床试验 CRO 服务
    • Unity Lab Services
    • 查看所有帮助和支持
  • 帮助和支持
    • 学习中心
    • 联系我们
    • 更改国家或地区
    • 查看所有帮助和支持
  • 热门产品
    • TaqMan Real-Time PCR Assays
      TaqMan 实时荧光定量 PCR 试剂盒
    • Antibodies
      抗体
    • Oligos, Primers & Probes
      寡核苷酸、引物、探针
    • GeneArt Gene Synthesis
      GeneArt 基因合成
    • Cell Culture Plastics
      细胞培养耗材
  • Who We Serve
    • 抗体治疗解决方案
    • 细胞与基因治疗解决方案
    • 学术科研
    • 工业与应用
  • 联系我们
  • 货号直购
  • 订单查询
  • 查找文件&证书
Thermo Fisher Scientific Logo

Search

搜索全部或下列指定分类
Search button
          • 联系我们
          • 货号直购
          • 登录
            登录
            没有账号?建立账号 注册
            • 我的账号
            • 订单
            • 会员中心
            • 账单及发票查询
            • 定制产品及项目
          • Primary Antibodies ›
          • HSC70 Antibodies

          Abnova

          HSPA8 Recombinant Rabbit Monoclonal Antibody

          查看其他31个HSC70抗体

          {{$productOrderCtrl.translations['antibody.pdp.commerceCard.promotion.promotions']}}

          {{$productOrderCtrl.translations['antibody.pdp.commerceCard.promotion.viewpromo']}}

          {{$productOrderCtrl.translations['antibody.pdp.commerceCard.promotion.promocode']}}: {{promo.promoCode}} {{promo.promoTitle}} {{promo.promoDescription}}. {{$productOrderCtrl.translations['antibody.pdp.commerceCard.promotion.learnmore']}}

          说明书
          证书
          实验方案
          问题与答案
          技术支持
          说明书
          证书
          实验方案
          问题与答案
          技术支持
          说明书
          证书
          实验方案
          问题与答案
          技术支持

          Cite HSPA8 Recombinant Rabbit Monoclonal Antibody

          Additional Information:
          {{banner.description}}
          {{$ctrl.isSkuNotesCollapsed ? 'View more' : 'View less'}}
          • 抗体检测数据 (3)
          HSPA8 Antibody in Immunocytochemistry (ICC/IF)
          Group 53 Created with Sketch.
          HSPA8 Antibody in Immunocytochemistry (ICC/IF)
          Group 53 Created with Sketch.

          图: 1 / 3

          {{ $ctrl.currentElement.advancedVerification.fullName }}
          {{ $ctrl.currentElement.advancedVerification.text }}

          HSPA8 Antibody (RAB02702) in ICC/IF

          Immunocytochemical staining of NIH/3T3 cells using HSPA8 recombinant monoclonal antibody (Product # RAB02702) (green). The nuclear counter stain is DAPI (blue).Cells were fixed in paraformaldehyde, permeabilized with 0.25% Triton X-100/PBS. {{ $ctrl.currentElement.advancedVerification.fullName }} 验证信息 View more
          已发表图片由___提供 benchsci-logo
          PMID: {{$ctrl.currentElement.benchSciPubmedId}}
          查看产品

          {{$ctrl.videoDesc}}

          {{$ctrl.videoLongDesc}}

          HSPA8 Antibody in Immunocytochemistry (ICC/IF)
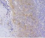
          HSPA8 Antibody in Immunohistochemistry (Paraffin) (IHC (P))
          HSPA8 Antibody in Western Blot (WB)

          产品信息

          RAB02702

          应用
          建议稀释比
          已发表文章

          免疫印迹 (WB)

          1:1,000-1:2,000
          -

          免疫组化(石蜡) (IHC (P))

          1:50-1:200
          -

          免疫细胞化学 (ICC/IF)

          1:50-1:200
          -
          产品规格

          种属反应

          Human, Mouse, Rat

          宿主/亚型

          Rabbit / IgG

          Expression System

          HEK293 cells

          分类

          Recombinant Monoclonal

          类型

          Antibody

          偶联物

          Unconjugated Unconjugated Unconjugated

          形式

          Liquid

          纯化类型

          Protein A

          保存液

          PBS, pH 7.2, with 50% glycerol

          内含物

          0.02% sodium azide

          保存条件

          Store at 4°C short term. For long term storage, store at -20°C, avoiding freeze/thaw cycles.

          运输条件

          Ambient (domestic); Wet ice (international)

          靶标信息

          The HSP70 family is a set of highly conserved proteins that are induced by a variety of biological stresses, including heat stress, in every organism in which the proteins have been examined. The human HSP70 family members include: HSP70, a protein which is strongly inducible in all organisms but which is also constitutively expressed in primate cells; HSP72, a 72 kDa protein that is induced exclusively under stress conditions; HSC70, or cognate protein, is a 72 kDa, constitutively expressed, protein which is involved in the uncoating of clathrin coated vesicles; GRP78, or BiP, is a glucose regulated 78 kDa protein localized in the endoplasmic reticulum; and p75, or HSP75, a 75 kDa protein that is found within the mitochondria. HSC70 (also known as HSC71, HSC73, HSP73, p72, prp73) is expressed constitutively and is slightly heat-inducible. HSC70 binds to the exposed loop of clathrin light chains to promote uncoating and can also bind the cytoskeleton which may facilitate cytoskeletal rearrangements. HSC70 has been shown to stimulate lysosomal degradation of intracellular proteins and to retard both aggregation and folding of mitochondrial precursor proteins in vitro.

          仅用于科研。不用于诊断过程。未经明确授权不得转售。

          篇参考文献 (0)

          您是否在文献中引用过该产品?请点击下方按钮邮件告知我们。
          引用该产品

          生物信息学

          蛋白别名: AAG2; ARABIDOPSIS THALIANA HEAT SHOCK COGNATE PROTEIN 70-1; AT-HSC70-1; AtHsp70-1; constitutive heat shock protein 70; epididymis luminal protein 33; epididymis secretory sperm binding protein Li 72p; FAM10A1; Heat shock 70 kDa protein 8; heat shock 70kd protein 10; heat shock 70kD protein 8; heat shock 70kDa protein 8; Heat shock cognate 71 kDa protein; heat shock cognate hsc73; heat shock cognate protein 54; HEAT SHOCK COGNATE PROTEIN 70; heat shock cognate protein 70-1; HEAT SHOCK PROTEIN 70-1; heat shock protein 8; heat shock protein A8; heat shock protein cognate 70; Heat shock protein family A member 8; HIP; HSC70; HSP70-1; LAP; LAP-1; Lipopolysaccharide-associated protein 1; LPS-associated protein 1; MGC131511; MGC29929; N-myristoyltransferase inhibitor protein 71; Protein FAM10A1; SNC6; T22P11.90; T22P11_90; unnamed protein product

          查看更多 收起

          基因别名: 2410008N15Rik; HEL-33; HEL-S-72p; HSC54; HSC70; HSC71; Hsc73; HSP71; HSP73; HSPA10; HSPA8; LAP-1; LAP1; NIP71

          查看更多 收起

          UniProt ID: (Human) P11142, (Rat) P63018, (Mouse) P63017

          查看更多 收起

          Entrez Gene ID: (Human) 3312, (Rat) 24468, (Mouse) 15481

          查看更多 收起

          功能
          nucleotide binding G-protein coupled receptor binding RNA binding protein binding ATP binding hydrolase activity ATPase activity enzyme binding MHC class II protein complex binding protein binding, bridging heat shock protein binding ubiquitin protein ligase binding protein binding involved in protein folding cadherin binding receptor agonist activity unfolded protein binding chaperone binding C3HC4-type RING finger domain binding ATP-dependent protein disaggregase activity ATP-dependent protein folding chaperone receptor binding ATPase activity, coupled ADP binding poly(A) RNA binding
          参与通路
          transcription, DNA-templated mRNA processing protein folding RNA splicing protein refolding negative regulation of transcription, DNA-templated positive regulation of mRNA splicing, via spliceosome chaperone mediated protein folding requiring cofactor regulation of cell cycle chaperone-mediated protein folding clathrin coat disassembly negative regulation of fibril organization mRNA splicing, via spliceosome autophagy response to unfolded protein signal transduction cellular response to starvation negative regulation of signal transduction protein catabolic process positive regulation of cell migration regulation of protein stability cellular response to stress regulation of cytoplasmic pattern recognition receptor signaling pathway regulation of protein complex assembly ATP metabolic process negative regulation of cellular component organization membrane organization regulation of protein complex stability chaperone-mediated autophagy protein targeting to lysosome involved in chaperone-mediated autophagy cellular response to steroid hormone stimulus negative regulation of NLRP3 inflammasome complex assembly regulation of fibril organization regulation of protein import chaperone-mediated autophagy translocation complex disassembly regulation of transcription, DNA-templated
          It has to be done as per old AB suggested Products section.

          Disclaimer

          Close

          Clicking the images or links will redirect you to a website hosted by BenchSci that provides third-party scientific content. Neither the content nor the BenchSci technology and processes for selection have been evaluated by us; we are providing them as-is and without warranty of any kind, including for use or application of the Thermo Fisher Scientific products presented.

          guarantee_icon

          性能保障

          只要您发现Invitrogen抗体在实验中的表现与网站或说明书的所述内容不符,您即可享受免费退换货服务。*

          了解更多
          help_icon

          随时为您服务

          获取常见问题的专家解答,或者直接联系我们的技术专家,咨询应用、设备、常规产品使用问题。

          联系技术支持
          订购 Plus Icon Minus Icon
          • 订单状态查询
          • 订单支持
          • 货号直购
          • 现货供应中心
          • 电子采购
          支持 Plus Icon Minus Icon
          • 帮助&支持
          • 联系我们 - 400 820 8982
          • 技术支持中心
          • 查找文件&证书
          • 报告网站问题
          资源 Plus Icon Minus Icon
          • 学习中心
          • 促销
          • 活动&研讨会
          • 社交媒体
          关于赛默飞 Plus Icon Minus Icon
          • 关于我们
          • 招聘 招聘
          • 投资者关系 投资者关系
          • 新闻 新闻
          • 社会责任 社会责任
          • 商标
          • 政策和通知
          品牌 Plus Icon Minus Icon
          • Thermo Scientific
          • Applied Biosystems
          • Invitrogen
          • Gibco
          • Ion Torrent
          • Unity Lab Services
          • Patheon
          • PPD
          • 服务条款
          • 隐私政策
          • 定价和运输保险政策
          © 2006-2026 Thermo Fisher Scientific Inc. All rights reserved. All trademarks are the property of Thermo Fisher Scientific and its subsidiaries unless otherwise specified.
          China flag icon
          China
          本网站销售的所有产品均不得用于人类或动物之临床诊断或治疗,仅可用于工业或者科研等非医疗目的。
             电子营业执照 | 经营证照公示 | ICP备案号:沪ICP备11003924号 | 沪公网安备 31011502006935号

          Your items have has been added!


          Host server : magellan-search-green-6479c7f679-jmhj8:80/100.66.74.142:80.
          git-commit: b70c0dceb888abc3b0dcebb5bc3a5b8753e7e816
          git-url: https://github.com/thermofisher/magellan-search
          git-branch: release/2.50.0-Offline