Hamburger Menu Button
Thermo Fisher Scientific Logo
登录
没有账号?建立账号 注册
  • 产品
    • 抗体
    • 引物合成
    • GeneArt Gene Synthesis Instant Designer
    • TaqMan Assay and Array Search
    • PCR 设备和耗材
    • 色谱柱和纯化柱
    • 实验室离心机
    • 分子生物学试剂和试剂盒
    • 实验室塑料耗材及用品
    • 查看所有产品分类
  • 应用和技术
    • 色谱
    • 细胞转染和培养
    • 实时荧光定量PCR
    • 质谱
    • 实验室塑料耗材及用品
    • 电子显微镜
    • 蛋白质生物学
    • PCR
    • RNAi
    • 环境
    • 查看所有应用和技术
  • 服务
    • 定制服务
    • 企业级实验室信息化服务
    • 金融&租赁服务
    • 仪器服务
    • OEM和商业供应
    • 培训服务
    • 360° CDMO 和 CRO 服务
    • CDMO 服务
    • 临床试验 CRO 服务
    • Unity Lab Services
    • 查看所有帮助和支持
  • 帮助和支持
    • 学习中心
    • 联系我们
    • 更改国家或地区
    • 查看所有帮助和支持
  • 热门产品
    • TaqMan Real-Time PCR Assays
      TaqMan 实时荧光定量 PCR 试剂盒
    • Antibodies
      抗体
    • Oligos, Primers & Probes
      寡核苷酸、引物、探针
    • GeneArt Gene Synthesis
      GeneArt 基因合成
    • Cell Culture Plastics
      细胞培养耗材
  • Who We Serve
    • 抗体治疗解决方案
    • 细胞与基因治疗解决方案
    • 学术科研
    • 工业与应用
  • 联系我们
  • 货号直购
  • 订单查询
  • 查找文件&证书
Thermo Fisher Scientific Logo

Search

搜索全部或下列指定分类
Search button
          • 联系我们
          • 货号直购
          • 登录
            登录
            没有账号?建立账号 注册
            • 我的账号
            • 订单
            • 会员中心
            • 账单及发票查询
            • 定制产品及项目
          • Primary Antibodies ›
          • HSP60 Antibodies

          OriGene

          Hsp60 (HSPD1) Monoclonal Antibody (OTI3A2), TrueMAB™

          查看其他66个HSP60抗体

          {{$productOrderCtrl.translations['antibody.pdp.commerceCard.promotion.promotions']}}

          {{$productOrderCtrl.translations['antibody.pdp.commerceCard.promotion.viewpromo']}}

          {{$productOrderCtrl.translations['antibody.pdp.commerceCard.promotion.promocode']}}: {{promo.promoCode}} {{promo.promoTitle}} {{promo.promoDescription}}. {{$productOrderCtrl.translations['antibody.pdp.commerceCard.promotion.learnmore']}}

          说明书
          证书
          实验方案
          问题与答案
          技术支持
          说明书
          证书
          实验方案
          问题与答案
          技术支持
          说明书
          证书
          实验方案
          问题与答案
          技术支持

          Cite Hsp60 (HSPD1) Monoclonal Antibody (OTI3A2), TrueMAB™

          Additional Information:
          {{banner.description}}
          {{$ctrl.isSkuNotesCollapsed ? 'View more' : 'View less'}}
          • 抗体检测数据 (15)
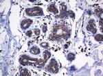
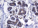
          Hsp60 (HSPD1) Antibody in Immunohistochemistry (Paraffin) (IHC (P))
          Group 53 Created with Sketch.
          Hsp60 (HSPD1) Antibody in Immunohistochemistry (Paraffin) (IHC (P))
          Group 53 Created with Sketch.

          图: 1 / 15

          {{ $ctrl.currentElement.advancedVerification.fullName }}
          {{ $ctrl.currentElement.advancedVerification.text }}

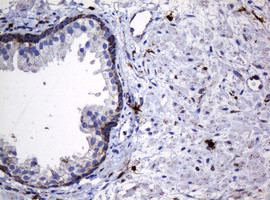
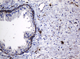
          Hsp60 (HSPD1) Antibody (CF800758) in IHC (P)

          Immunohistochemical staining of paraffin-embedded human prostate tissue within the normal limits using anti-Hsp60 (HSPD1) mouse monoclonal antibody. (Heat-induced epitope retrieval by 10mM citric buffer, pH6.0, 120°C for 3min, TA800758) {{ $ctrl.currentElement.advancedVerification.fullName }} 验证信息 View more
          已发表图片由___提供 benchsci-logo
          PMID: {{$ctrl.currentElement.benchSciPubmedId}}
          查看产品

          {{$ctrl.videoDesc}}

          {{$ctrl.videoLongDesc}}

          Hsp60 (HSPD1) Antibody in Immunohistochemistry (Paraffin) (IHC (P))
          Hsp60 (HSPD1) Antibody in Immunohistochemistry (Paraffin) (IHC (P))
          Hsp60 (HSPD1) Antibody in Immunohistochemistry (Paraffin) (IHC (P))
          Hsp60 (HSPD1) Antibody in Immunohistochemistry (Paraffin) (IHC (P))
          Hsp60 (HSPD1) Antibody in Immunohistochemistry (Paraffin) (IHC (P))
          Hsp60 (HSPD1) Antibody in Immunohistochemistry (Paraffin) (IHC (P))
          Hsp60 (HSPD1) Antibody in Immunohistochemistry (Paraffin) (IHC (P))
          Hsp60 (HSPD1) Antibody in Immunohistochemistry (Paraffin) (IHC (P))
          Hsp60 (HSPD1) Antibody in Immunohistochemistry (Paraffin) (IHC (P))
          Hsp60 (HSPD1) Antibody in Immunohistochemistry (Paraffin) (IHC (P))
          Hsp60 (HSPD1) Antibody in Immunohistochemistry (Paraffin) (IHC (P))
          Hsp60 (HSPD1) Antibody in Immunohistochemistry (Paraffin) (IHC (P))
          Hsp60 (HSPD1) Antibody in Immunohistochemistry (Paraffin) (IHC (P))
          Hsp60 (HSPD1) Antibody in Western Blot (WB)
          Hsp60 (HSPD1) Antibody in Western Blot (WB)
          Hsp60 (HSPD1) Monoclonal Antibody (OTI3A2), TrueMAB™

          产品信息

          CF800758

          应用
          建议稀释比
          已发表文章

          免疫印迹 (WB)

          1:2,000
          -

          免疫组化(石蜡) (IHC (P))

          1:150
          -
          产品规格

          种属反应

          Dog, Human, Mouse

          宿主/亚型

          Mouse / IgG2a

          分类

          Monoclonal

          类型

          Antibody

          克隆号

          OTI3A2

          抗原

          Full length human recombinant protein of human HSPD1 produced in E.coli.
          3D表位/免疫原

          偶联物

          Unconjugated Unconjugated Unconjugated

          形式

          Lyophilized

          浓度

          1 mg/mL

          规格

          100 µg

          纯化类型

          Affinity chromatography

          保存液

          PBS, pH 7.3, with 8% trehalose

          内含物

          no preservative

          保存条件

          -20°C, Avoid Freeze/Thaw Cycles

          运输条件

          Ambient (domestic); Wet ice (international)

          产品详细信息

          For reconstitution, we recommend adding 100 µL distilled water to a final antibody concentration of about 1 mg/mL. To use this carrier-free antibody for conjugation experiments, we strongly recommend performing another round of desalting. (Zeba Spin Desalting Columns, 7KMWCO, 0.5 mL, Product # 89882)

          靶标信息

          This gene encodes a member of the chaperonin family. The encoded mitochondrial protein may function as a signaling molecule in the innate immune system. This protein is essential for the folding and assembly of newly imported proteins in the mitochondria. This gene is adjacent to a related family member and the region between the 2 genes functions as a bidirectional promoter. Several pseudogenes have been associated with this gene. Two transcript variants encoding the same protein have been identified for this gene. Mutations associated with this gene cause autosomal recessive spastic paraplegia 13.

          仅用于科研。不用于诊断过程。未经明确授权不得转售。

          篇参考文献 (0)

          您是否在文献中引用过该产品?请点击下方按钮邮件告知我们。
          引用该产品

          生物信息学

          蛋白别名: 60 kDa chaperonin; 60 kDa heat shock protein; 60 kDa heat shock protein, mitochondrial; chaperonin; chaperonin (HSP60); Chaperonin 60; CPN60; epididymis secretory sperm binding protein; heat shock 60kDa protein 1 (chaperonin); heat shock 60kDa protein 1 (chaperonin) isoform HSPD1_1; heat shock 60kDa protein 1 (chaperonin) isoform HSPD1_2; heat shock 60kDa protein 1 (chaperonin) isoform HSPD1_4; Heat shock protein; Heat shock protein 60; heat shock protein 65; Heat shock protein family D member 1; heat shock protein, 60 kDa; HSP; HSP-60; HSP-65; Hsp60s1; HuCHA60; Mitochondrial matrix protein P1; P60 lymphocyte protein; short heat shock protein 60 Hsp60s1; unnamed protein product

          查看更多 收起

          基因别名: 60kDa; CPN60; GROEL; HLD4; HSP-60; HSP60; HSP65; HSPD1; HuCHA60; SPG13

          查看更多 收起

          UniProt ID: (Human) P10809, (Mouse) P63038

          查看更多 收起

          Entrez Gene ID: (Dog) 478854, (Human) 3329, (Mouse) 15510

          查看更多 收起

          功能
          ATP binding isomerase activity nucleotide binding lipopolysaccharide binding p53 binding DNA replication origin binding single-stranded DNA binding RNA binding double-stranded RNA binding protein binding high-density lipoprotein particle binding ATPase activity enzyme binding ubiquitin protein ligase binding apolipoprotein binding apolipoprotein A-I binding unfolded protein binding chaperone binding cysteine-type endopeptidase activator activity ATP-dependent protein folding chaperone protease binding protein complex binding insulin binding poly(A) RNA binding protein heterodimerization activity misfolded protein binding
          参与通路
          positive regulation of cytokine production MyD88-dependent toll-like receptor signaling pathway positive regulation of T cell mediated immune response to tumor cell protein folding 'de novo' protein folding response to unfolded protein apoptotic mitochondrial changes response to cold positive regulation of interferon-alpha production positive regulation of interferon-gamma production positive regulation of interleukin-10 production positive regulation of interleukin-12 production positive regulation of interleukin-6 production mitochondrial unfolded protein response protein refolding B cell proliferation T cell activation B cell activation positive regulation of macrophage activation negative regulation of apoptotic process adhesion of symbiont to host protein import into mitochondrial intermembrane space isotype switching to IgG isotypes protein stabilization positive regulation of T cell activation chaperone-mediated protein complex assembly protein maturation interaction with symbiont cellular response to interleukin-7 negative regulation of execution phase of apoptosis positive regulation of execution phase of apoptosis detection of misfolded protein B cell cytokine production activation of cysteine-type endopeptidase activity involved in apoptotic process positive regulation of apoptotic process negative regulation of neuron apoptotic process positive regulation of inflammatory response chaperone mediated protein folding requiring cofactor
          It has to be done as per old AB suggested Products section.

          Disclaimer

          Close

          Clicking the images or links will redirect you to a website hosted by BenchSci that provides third-party scientific content. Neither the content nor the BenchSci technology and processes for selection have been evaluated by us; we are providing them as-is and without warranty of any kind, including for use or application of the Thermo Fisher Scientific products presented.

          guarantee_icon

          性能保障

          只要您发现Invitrogen抗体在实验中的表现与网站或说明书的所述内容不符,您即可享受免费退换货服务。*

          了解更多
          help_icon

          随时为您服务

          获取常见问题的专家解答,或者直接联系我们的技术专家,咨询应用、设备、常规产品使用问题。

          联系技术支持
          订购 Plus Icon Minus Icon
          • 订单状态查询
          • 订单支持
          • 货号直购
          • 现货供应中心
          • 电子采购
          支持 Plus Icon Minus Icon
          • 帮助&支持
          • 联系我们 - 400 820 8982
          • 技术支持中心
          • 查找文件&证书
          • 报告网站问题
          资源 Plus Icon Minus Icon
          • 学习中心
          • 促销
          • 活动&研讨会
          • 社交媒体
          关于赛默飞 Plus Icon Minus Icon
          • 关于我们
          • 招聘 招聘
          • 投资者关系 投资者关系
          • 新闻 新闻
          • 社会责任 社会责任
          • 商标
          • 政策和通知
          品牌 Plus Icon Minus Icon
          • Thermo Scientific
          • Applied Biosystems
          • Invitrogen
          • Gibco
          • Ion Torrent
          • Unity Lab Services
          • Patheon
          • PPD
          • 服务条款
          • 隐私政策
          • 定价和运输保险政策
          © 2006-2026 Thermo Fisher Scientific Inc. All rights reserved. All trademarks are the property of Thermo Fisher Scientific and its subsidiaries unless otherwise specified.
          China flag icon
          China
          本网站销售的所有产品均不得用于人类或动物之临床诊断或治疗,仅可用于工业或者科研等非医疗目的。
             电子营业执照 | 经营证照公示 | ICP备案号:沪ICP备11003924号 | 沪公网安备 31011502006935号

          Your items have has been added!


          Host server : magellan-search-blue-fcf5f9d6d-svqt6:80/100.66.77.77:80.
          git-commit: 856de8fa7eff2d55603d92afdf035972e45c3e8a
          git-url: https://github.com/thermofisher/magellan-search
          git-branch: release/2.51.0-2026.05.21-1.0