Hamburger Menu Button
Thermo Fisher Scientific Logo
登录
没有账号?建立账号 注册
  • 产品
    • 抗体
    • 引物合成
    • GeneArt Gene Synthesis Instant Designer
    • TaqMan Assay and Array Search
    • PCR 设备和耗材
    • 色谱柱和纯化柱
    • 实验室离心机
    • 分子生物学试剂和试剂盒
    • 实验室塑料耗材及用品
    • 查看所有产品分类
  • 应用和技术
    • 色谱
    • 细胞转染和培养
    • 实时荧光定量PCR
    • 质谱
    • 实验室塑料耗材及用品
    • 电子显微镜
    • 蛋白质生物学
    • PCR
    • RNAi
    • 环境
    • 查看所有应用和技术
  • 服务
    • 定制服务
    • 企业级实验室信息化服务
    • 金融&租赁服务
    • 仪器服务
    • OEM和商业供应
    • 培训服务
    • 360° CDMO 和 CRO 服务
    • CDMO 服务
    • 临床试验 CRO 服务
    • Unity Lab Services
    • 查看所有帮助和支持
  • 帮助和支持
    • 学习中心
    • 联系我们
    • 更改国家或地区
    • 查看所有帮助和支持
  • 热门产品
    • TaqMan Real-Time PCR Assays
      TaqMan 实时荧光定量 PCR 试剂盒
    • Antibodies
      抗体
    • Oligos, Primers & Probes
      寡核苷酸、引物、探针
    • GeneArt Gene Synthesis
      GeneArt 基因合成
    • Cell Culture Plastics
      细胞培养耗材
  • Who We Serve
    • 抗体治疗解决方案
    • 细胞与基因治疗解决方案
    • 学术科研
    • 工业与应用
  • 联系我们
  • 货号直购
  • 订单查询
  • 查找文件&证书
Thermo Fisher Scientific Logo

Search

搜索全部或下列指定分类
Search button
          • 联系我们
          • 货号直购
          • 登录
            登录
            没有账号?建立账号 注册
            • 我的账号
            • 订单
            • 会员中心
            • 账单及发票查询
            • 定制产品及项目
          • Primary Antibodies ›
          • Huntingtin Antibodies

          Proteintech

          Huntingtin Monoclonal Antibody (2F6C9)

          查看其他27个Huntingtin抗体

          {{$productOrderCtrl.translations['antibody.pdp.commerceCard.promotion.promotions']}}

          {{$productOrderCtrl.translations['antibody.pdp.commerceCard.promotion.viewpromo']}}

          {{$productOrderCtrl.translations['antibody.pdp.commerceCard.promotion.promocode']}}: {{promo.promoCode}} {{promo.promoTitle}} {{promo.promoDescription}}. {{$productOrderCtrl.translations['antibody.pdp.commerceCard.promotion.learnmore']}}

          说明书
          证书
          实验方案
          问题与答案
          技术支持
          说明书
          证书
          实验方案
          问题与答案
          技术支持
          说明书
          证书
          实验方案
          问题与答案
          技术支持

          Cite Huntingtin Monoclonal Antibody (2F6C9)

          Additional Information:
          {{banner.description}}
          {{$ctrl.isSkuNotesCollapsed ? 'View more' : 'View less'}}
          • 抗体检测数据 (4)
          Huntingtin Antibody in Immunohistochemistry (Paraffin) (IHC (P))
          Group 53 Created with Sketch.
          Huntingtin Antibody in Immunohistochemistry (Paraffin) (IHC (P))
          Group 53 Created with Sketch.

          图: 1 / 4

          {{ $ctrl.currentElement.advancedVerification.fullName }}
          {{ $ctrl.currentElement.advancedVerification.text }}

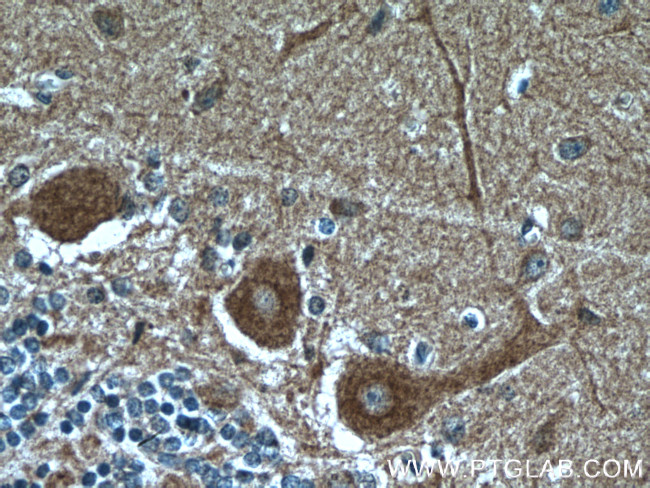
          Huntingtin Antibody (66553-1-IG) in IHC (P)

          Immunohistochemistry of paraffin-embedded human cerebellum tissue slide using 66553-1-IG (Huntingtin antibody) at dilution of 1:400 (under 40x lens) heat mediated antigen retrieved with Tris-EDTA buffer (pH 9). {{ $ctrl.currentElement.advancedVerification.fullName }} 验证信息 View more
          已发表图片由___提供 benchsci-logo
          PMID: {{$ctrl.currentElement.benchSciPubmedId}}
          查看产品

          {{$ctrl.videoDesc}}

          {{$ctrl.videoLongDesc}}

          Huntingtin Antibody in Immunohistochemistry (Paraffin) (IHC (P))
          Huntingtin Antibody in Immunohistochemistry (Paraffin) (IHC (P))
          Huntingtin Antibody in Immunohistochemistry (Paraffin) (IHC (P))
          Huntingtin Antibody in Immunohistochemistry (Paraffin) (IHC (P))
          Huntingtin Monoclonal Antibody (2F6C9)

          产品信息

          66553-1-IG

          应用
          建议稀释比
          已发表文章

          免疫组化(石蜡) (IHC (P))

          1:200-1:800
          -
          产品规格

          种属反应

          Human, Mouse

          宿主/亚型

          Mouse / IgG1

          分类

          Monoclonal

          类型

          Antibody

          克隆号

          2F6C9

          抗原

          Huntingtin Fusion Protein Ag25922 (2845-3000 aa encoded by NM_002111)
          3D表位/免疫原

          偶联物

          Unconjugated Unconjugated Unconjugated
          • CoraLite Plus 488
          • Request custom conjugation

          形式

          Liquid

          浓度

          0.83 mg/mL

          规格

          124.5 µg

          纯化类型

          Protein G

          保存液

          PBS, pH 7.3, with 50% glycerol

          内含物

          0.02% sodium azide

          保存条件

          -20°C

          运输条件

          Wet ice (domestic); Dry ice (international)

          产品详细信息

          Immunogen sequence: LDVGPEFSA SIIQMCGVML SGSEESTPSI IYHCALRGLE RLLLSEQLSR LDAESLVKLS VDRVNVHSPH RAMAALGLML TCMYTGKEKV SPGRTSDPNP AAPDSESVIV AMERVSVLFD RIRKGFPCEA RVVARILPQF LDDFFPPQDI MNKVIGE (2845-3000 aa encoded by NM_002111)

          靶标信息

          Huntingtin is a disease gene linked to Huntington's disease (HD), a neurodegenerative disorder characterized by loss of striatal neurons. This is thought to be caused by an expanded, unstable trinucleotide repeat in the huntingtin gene, which translates as a polyglutamine repeat in the protein product. HD is a mid-life onset autosomal dominant neurodegenerative disease that is characterized by psychiatric disorders, dementia, and involuntary movements (chorea), leading to death in 10-20 years.The huntingtin locus is large, spanning 180 kb and consisting of 67 exons. The huntingtin gene is widely expressed and is required for normal development. It is expressed as 2 alternatively polyadenylated forms displaying different relative abundance in various fetal and adult tissues. The larger transcript is approximately 13.7 kb and is expressed predominantly in adult and fetal brain whereas the smaller transcript of approximately 10.3 kb is more widely expressed. The genetic defect leading to Huntington's disease may not necessarily eliminate transcription, but may confer a new property on the mRNA or alter the function of the protein.

          仅用于科研。不用于诊断过程。未经明确授权不得转售。

          篇参考文献 (0)

          您是否在文献中引用过该产品?请点击下方按钮邮件告知我们。
          引用该产品

          生物信息学

          蛋白别名: HD protein; HD protein homolog; Huntingtin; Huntington disease gene homolog; Huntington disease protein; huntington disease protein homolog; unnamed protein product

          查看更多 收起

          基因别名: AI256365; C430023I11Rik; HD; Hdh; HTT; IT15; LOMARS

          查看更多 收起

          UniProt ID: (Human) P42858

          查看更多 收起

          Entrez Gene ID: (Human) 3064, (Mouse) 15194

          查看更多 收起

          功能
          p53 binding phosphoprotein phosphatase activity protein binding profilin binding kinase binding heat shock protein binding dynactin binding identical protein binding ion channel binding dynein intermediate chain binding beta-tubulin binding receptor binding transcription factor binding diazepam binding
          参与通路
          establishment of mitotic spindle orientation retrograde vesicle-mediated transport, Golgi to ER apoptotic process microtubule-based process Golgi organization central nervous system development regulation of signal transduction neurogenesis positive regulation of inositol 1,4,5-trisphosphate-sensitive calcium-release channel activity protein destabilization vocal learning positive regulation of apoptotic process negative regulation of apoptotic process positive regulation of cilium assembly vesicle transport along microtubule synaptic vesicle transport positive regulation of mitophagy positive regulation of lipophagy regulation of CAMKK-AMPK signaling cascade positive regulation of CAMKK-AMPK signaling cascade positive regulation of aggrephagy negative regulation of extrinsic apoptotic signaling pathway urea cycle citrulline metabolic process protein import into nucleus mitochondrial transport ER to Golgi vesicle-mediated transport mitochondrion organization endoplasmic reticulum organization dopamine receptor signaling pathway spermatogenesis gastrulation brain development cell aging learning or memory learning grooming behavior locomotory behavior axo-dendritic transport associative learning determination of adult lifespan visual learning anatomical structure morphogenesis embryo development anterior/posterior pattern specification endosomal transport lactate biosynthetic process from pyruvate quinolinate biosynthetic process striatum development olfactory lobe development neural plate formation peptide hormone secretion insulin secretion regulation of protein phosphatase type 2A activity social behavior hormone metabolic process negative regulation of neuron apoptotic process regulation of mitochondrial membrane permeability regulation of synaptic plasticity paraxial mesoderm formation neuron development mRNA transport neuron apoptotic process response to calcium ion regulation of mitochondrial membrane potential L-glutamate import iron ion homeostasis negative regulation of neuron death negative regulation of cysteine-type endopeptidase activity
          It has to be done as per old AB suggested Products section.

          Disclaimer

          Close

          Clicking the images or links will redirect you to a website hosted by BenchSci that provides third-party scientific content. Neither the content nor the BenchSci technology and processes for selection have been evaluated by us; we are providing them as-is and without warranty of any kind, including for use or application of the Thermo Fisher Scientific products presented.

          guarantee_icon

          性能保障

          只要您发现Invitrogen抗体在实验中的表现与网站或说明书的所述内容不符,您即可享受免费退换货服务。*

          了解更多
          help_icon

          随时为您服务

          获取常见问题的专家解答,或者直接联系我们的技术专家,咨询应用、设备、常规产品使用问题。

          联系技术支持
          订购 Plus Icon Minus Icon
          • 订单状态查询
          • 订单支持
          • 货号直购
          • 现货供应中心
          • 电子采购
          支持 Plus Icon Minus Icon
          • 帮助&支持
          • 联系我们 - 400 820 8982
          • 技术支持中心
          • 查找文件&证书
          • 报告网站问题
          资源 Plus Icon Minus Icon
          • 学习中心
          • 促销
          • 活动&研讨会
          • 社交媒体
          关于赛默飞 Plus Icon Minus Icon
          • 关于我们
          • 招聘 招聘
          • 投资者关系 投资者关系
          • 新闻 新闻
          • 社会责任 社会责任
          • 商标
          • 政策和通知
          品牌 Plus Icon Minus Icon
          • Thermo Scientific
          • Applied Biosystems
          • Invitrogen
          • Gibco
          • Ion Torrent
          • Unity Lab Services
          • Patheon
          • PPD
          • 服务条款
          • 隐私政策
          • 定价和运输保险政策
          © 2006-2026 Thermo Fisher Scientific Inc. All rights reserved. All trademarks are the property of Thermo Fisher Scientific and its subsidiaries unless otherwise specified.
          China flag icon
          China
          本网站销售的所有产品均不得用于人类或动物之临床诊断或治疗,仅可用于工业或者科研等非医疗目的。
             电子营业执照 | 经营证照公示 | ICP备案号:沪ICP备11003924号 | 沪公网安备 31011502006935号

          Your items have has been added!


          Host server : magellan-search-green-6479c7f679-2z78h:80/100.66.76.236:80.
          git-commit: b70c0dceb888abc3b0dcebb5bc3a5b8753e7e816
          git-url: https://github.com/thermofisher/magellan-search
          git-branch: release/2.50.0-Offline